Medlem i

12 years 10 months
Indholdselementer

Whipples sygdom (WS) er en sjælden, kronisk, systemisk infektion forårsaget af bakterien Tropheryma whipplei.

Sygdommen blev første gang beskrevet af patologen G. Whipple i 1907 hos en 36-årig mand, som døde efter fem år af en indtil da ukendt sygdom med artritis, vægttab, diarré og svær malabsortion. Ved obduktionen beskrev Whipple ansamlinger af lipidholdigt materiale i tarmmucosa og kaldte sygdommen intestinal lipodystrofi.

I 1949 blev det observeret, at makrofager fra patienters tyndtarm farvedes stærkt af periodic acid-Schiff (PAS)-farvning. Man blev først opmærksom på sygdommens infektiøse genese i 1952, da en patient blev kureret med chloramphenicol, og fik den endeligt bekræftet i 1961 ved hjælp af elektronmikroskopi.

Det var først 30 år senere, i 1991, at Whipples bacillus blev identificeret ved hjælp af polymerasekædereaktion (PCR)-analyse af 16 S ribosomal RNA-sekvens, som tydede på en grampositiv bakterie relateret til Actinomyces-familien. Navnet T. whipplei stammer fra græsk trophe (ernæring) og eryma (barriere) og refererer til malabsortionen, der karakteriserer sygdommen. I 2000 blev bakterien dyrket i human cellekultur [1]. Hele genomet blev sekvenseret i 2003, hvilket efterfølgende muliggjorde dyrkningen af T. whipplei uden humane celler [2-4].

Sidebar placering
Venstrestillet
Billede
Sidebar placering
Venstrestillet

EPIDEMIOLOGI OG PATOGENESE

T. whipplei forekommer hyppigere end indtil for nylig antaget. Bakteriens DNA er ved PCR påvist i fæces og spytprøver fra raske personer, og prævalensen svinger afhængigt af geografi, erhvervseksponering, tæthed til en patient med WS eller en rask bærer samt de sanitære forhold. De fleste tilfælde er beskrevet i Frankrig, og spørgsmålet er, om bakterien er specielt prævalent her, eller om det snarere afspejler den medicinske interesse for WS i området. Hos den generelle befolkning i Frankrig har man påvist T. whipplei-DNA i 2-4% af fæcesprøver og i 0,2-1,5% i spytprøver [5, 6]. Prævalensen, der blev målt i fæcesprøver, var højere blandt kloakarbejdere (2-26%) og blandt pårørende til patienter med WS (38%) end hos resten af befolkningen [7, 8]. I landsbyområder i Senegal er der målt prævalens på op til 75% blandt raske børn under fem år [9].

Ud over asymptomatisk bærertilstand, har T. whipplei været associeret med akut selvlimiterende gastroenteritis hos børn [10]. Det formodes, at bakterien oftest elimineres efter primærinfektionen, og at der udvikles specifikke antistoffer. Dette kunne forklare, at ca. 50% af Frankrigs befolkning og op til 77% blandt pårørende til patienter med WS har specifikke antistoffer [8].

Der er rapporteret om 72 forskellige genotyper af T. whipplei i Europa, hvoraf genotype 3 og 1 er de mest prævalente. Genotype 3 er registreret i Frankrig, Schweiz og Italien og har været associeret med små udbrud af gastroenteritis hos børn og er blevet fundet hos hjemløse i Marseille. Genotype 1 er specielt endemisk i Tyskland og Østrig [11].

Gennem længere tid har man troet, at der eksisterede et naturligt reservoir af bakterien, men nyere data peger i en anden retning. Ophobning af tilfælde af specifikke kloner af T. whipplei i landsbyområder i Senegal, blandt børn med T. whipplei-gastroenteritis, blandt pårørende til patienter med WS og blandt hjemløse, som sover under samme tag, tyder på interhuman smitte af T. Whipplei, som sandsynligvis smitter oralt og fækooralt [8, 12, 13].

Selvom T. whipplei er hyppigt forekommende, er WS meget sjælden, hvilket kunne tyde på tilstedeværelsen af immungenetiske prædisponerende faktorer, der endnu ikke er blevet klarlagt. Patienterne med WS synes ikke at være specielt disponerede for andre infektioner, men recidiv af WS efter reinfektion med en anden genotype er observeret, hvilket understøtter immundefektmistanken [14]. T. whipplei har tropisme for makrofager, og det er foreslået, at makrofagdysfunktion kan spille en vigtig rolle i sygdom-
men. Der er hos patienter med WS påvist svækkelser i det cellulære immunrespons med nedsat TH-1-immunrespons og nedsat produktion af interleukin-12. Niveauet af specifikke antistoffer mod T. whipplei i serum er ligeledes fundet lavt eller manglende hos patienterne i modsætning til hos asymptomatiske bærere, som har høje titre.

Der estimeres en årlig incidens af WS på ≤ 1/1.000.000. I Danmark er der ved PCR blevet påvist 2-3 tilfælde af WS om året i de seneste år [15]. Den typiske patient er en midaldrende hvid mand.

SYMPTOMER

Klassisk WS er den hyppigste form og er en systemisk, kronisk infektion, som typisk viser sig i form af artralgier, diarré, vægttab og mavesmerter samt histologisk påvisning af PAS-positive bacilli i makrofager fra tyndtarmsbiopsier. Mulighed for molekylær diagnostik og dyrkning af T. whipplei har forbedret diagnosen af infektionen i det seneste årti, hvilket har ført til beskrivelsen af nye kliniske symptomer, såsom isoleret infektion uden histologisk affektion af tyndtarmen, hvilket forekommer i ca. 15% af tilfældene og kan inkludere osteoartikulære infektioner, uveitis, endokarditis, centralnervesystem (CNS)-infektion, bakteriæmi eller pneumoni.

Klassisk WS kan inddeles i to stadier: en prodromal fase og en kronisk fase. Den første fase er karakteriseret ved ledsymptomer. Disse er ret uspecifikke, og en forsøgsvis immunsuppressiv behandling kan accelerere debutten af de gastrointestinale manifestationer. Patienterne kan angive bedring af symptomerne på antibiotisk behandling, der er ordineret for andre infektioner.

De hyppigste gastrointestinale manifestationer i den kroniske fase af WS er diarré, vægttab og malabsorption, hvilket kan udvikle sig til udtalt wasting-syndrome. Hos nogle patienter udvikles der svær malabortion med ødemer og ascites. Den gennemsnitlige tid mellem de to stadier er seks år [16]. De forskellige kliniske manifestationer ved klassisk WS er opsummerede i Tabel 1. Ubehandlet kan sygdommen være fatal.

Sidebar placering
Venstrestillet
Billede
Sidebar placering
Venstrestillet

CNS-involvering kan forekomme hos 10-43% af patienterne med klassisk WS, specielt i de sene stadier af sygdommen (Tabel 2). Alle patienter med klassisk WS bør undersøges med lumbalpunktur med specifik PCR for T. whipplei uanset fravær af neurologiske symptomer, da asymptomatisk infektion i CNS er beskrevet hos op til 39% af patienterne med klassisk veletableret WS. Dette har betydning for både behandling og prognose. Spinalvæsken kan være normal eller have let forhøjet proteinniveau og/eller moderat pleocytose [18, 19]. MR-skanning af cerebrum anbefales ved CNS-symptomer og/eller ved positiv PCR i spinalvæsken. Skanningen kan vise normale forhold eller typisk diffuse unilaterale eller bilaterale symmetriske læsioner med høj T2-signal-intensitet mest evident i fluid-attenuated inversion
recovery
(FLAIR)-sekvens som involverer temporallapper, mellemhjernen og pons med minimal opladning. Mindre hyppigt beskrives læsioner omkring den grå-hvide overgang, nodulære parenkymale læsioner, leptomeningeal opladning eller infarktforandringer [20].

Sidebar placering
Venstrestillet
Billede
Sidebar placering
Venstrestillet

Isoleret neurologisk infektion med T. whipplei uden tegn på intestinal involvering er beskrevet, men er sjælden med ca. 20 rapporterede tilfælde [21].

Der er rapporteret om hjertemanifestationer hos 17-55% af patienterne med klassisk WS i forskellige serier. I ældre autopsistudier så man, at næsten alle patienterne havde PAS-positive makrofager i pericardium, myocardium og/eller endocardium [17]. Den hyppigste manifestation er perikarditis, som ofte er asymptomatisk. Infektiøs endokarditis, myokarditis og koronararteritis rapporteres i meget mindre grad og kan manifesterer sig med hjerteinsufficiens og pludselig død [22, 23].

Ved isoleret T. whipplei-infektiøs endokarditis har patienterne ofte ledsymptomer igennem nogle år, før endokarditisdiagnosen bliver stillet. T. whipplei-infektiøs endokarditis forekommer formentlig hyppigere end tidligere antaget og var den hyppigste dyrkningsnegative endokarditisform i et nyligt publiceret observationsstudie, hvor man fandt, at 6% af endokarditistilfældene ved ekstraherede hjerteklapper var forårsaget af T. whipplei [24]. Aortaklappen er hyppigst inddraget, og infektionen progredierer langsomt med udtalt fibrose og kun beskeden inflammation. Mortaliteten er høj, op til 57%.

Som differentialdiagnose til WS skal der inkluderes en bred vifte af sygdomme, bl.a. inflammatoriske bindevævssygdomme, reumatologiske sygdomme, sarkoidose, lymfom, glutenallergi, binyrebarkinsufficiens og diverse neurologiske sygdomme.

DIAGNOSTIK

Ved duodenoskopi finder man typisk inflammeret, let blødende mucosa med gullighvide områder med ulcerationer. Ved kapselendoskopi kan sygdommens udbredelse i tyndtarmen vurderes.

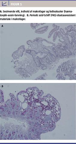
Den histologiske diagnose stilles ud fra duodenalbiopsier, hvor der ses villusatrofi og i lamina propia ophobning af makrofager med indhold af et PAS-positivt, diastaseresistent materiale, der består af bakterier og bakterierester lejret omkring fedtvakuoler (Figur 1). Der ses udbredt fedtaflejring og granulomer i mucosa og intraabdominale lymfeknuder. Mucosa kan ved mild og lokaliseret sygdom se normal ud, og flere biopsier kan være nødvendige for at stille diagnosen.

Dyrkning er kompliceret og ikke en rutineanalyse i Denmark. Diagnosen kan verificeres ved påvisning af bakterien i tyndtarmsvæv ved hjælp af PCR. Metoden har en høj specificitet og sensitivitet (hhv. 100% og 96%). Positiv PCR i andre sterile vævsmaterialer (spinalvæske, ledvæske og hjerteklapper) betragtes som udtryk for infektion i disse områder.

Ved CT af abdomen kan der observeres vægfortykkelse i den afficerede tyndtarm samt forstørrede lymfeknuder i krøset og retroperitonealt.

Sidebar placering
Venstrestillet
Billede
Sidebar placering
Venstrestillet

BEHANDLING

Der foreligger beskedne data om effektiviteten af forskellige behandlingsregimer og nogle modsigende resultater. Fra tysk og amerikansk side anbefales klassisk WS behandlet med i.v. ceftriaxon 2 g × 1 dagligt eller i.v. meropenem 1 g × 3 dagligt i to uger efterfulgt af trimethoprim med sulfamethoxazol 400/80 mg 2 stk. × 2 dagligt i et år eller evt. forsøgsvis kun i tre måneder med tæt opfølgning [25, 26]. Intravenøs behandling kan forlænges til fire uger ved endokarditis eller neurologisk involvering/relaps med evt. øgning i dosis.

En fransk gruppe har imidlertid haft behandlingssvigt hos 16 patienter, der blev behandlet med trimethoprim med sulfamethoxazol med eller uden initial i.v. antibiotika, hvilket dog ikke er blevet observeret i andre undersøgelser. Endvidere påpeges det, at T. whipplei er helt ufølsomt over for trimethoprim, at der kan udvikles klinisk og in vitro-resistens over for sulfapræparater, og at penetrationen af ceftriaxon og meropenem ved intakte meninges er meget dårlig [27, 28]. Derimod har doxycyclin kombineret med hydroxychloroquin rimelig penetrans til cerebrum og virker baktericidt in vitro [28, 29]. Fra fransk side anbefales således doxycyclin 200 mg dagligt og hydroxychloroquin 200 mg × 3 dagligt i mindst 12-18 måneder. Ved cerebral involvering anbefales tillæg af sulfadiazin i hele behandlingsforløbet, da dette præparat har god penetrans til cerebrum [29].

Der er sædvanligvis effekt i løbet af få uger. Man anbefaler løbende klinisk kontrol og PCR-monitorering af tyndtarmsbiopsi og spinalvæske efter seks og 12 måneders behandling (PAS-farvning i tyndtarmbiopsier kan forblive positiv i nogle år), indtil denne er negativ [29]. Dyrkning og resistensbestemmelse anbefales, hvis det er muligt, da udvikling af resistens over for sulfamethoxazol under behandling er beskrevet.

Nogle får feber efter påbegyndelse af behandlingen, formentlig som en Herxheimers reaktion eller et immunrekonstitutionssyndrom [30]. Steroidbehandling kan forsøges. Der er meget varierende hyppighed af relaps (2-35%), som opstår efter gennemsnitligt fire år og typisk er karakteriseret ved CNS-involvering [21, 29]. Ved relaps kan man forsøge den af de to behandlingsstrategier, der ikke blev forsøgt i første omgang. To års behandling kan forsøges ved relaps, og nogle har også haft behov for livslang behandling.

KONKLUSION

WS er en sjælden, kronisk, systemisk infektion, der er forårsaget af bakterien T. whipplei. Vores forståelse af sygdommen har ændret sig i det seneste årti takket være nye molekylærdiagnostiske metoder og epidemiologiske studier. Nye studier er nødvendige for at afklare de epidemiologiske aspekter yderligere og etablere de mest optimale behandlingsregimer.

Korrespondance: Raquel Martin-Iguacel, Infektionsmedicinsk Afdeling, Roskilde Sygehus, Køgevej 1-3, 4000 Roskilde. E-mail: raquel@bisaurin.org

Antaget: 4. september 2013

Publiceret på Ugeskriftet.dk: 6. januar 2014

Interessekonflikter:

Sidebar placering
Venstrestillet
Article type
Journal
Magazine
Section
References

<h2>Litteratur</h2>
<ol type="d">
<li><p>Raoult D, Birg ML, La Scola B et al. Cultivation of the bacillus of Whipple‘s <br>disease. N Engl J Med 2000;342:620-5. </p></li>
<li><p>Bentley SD, Maiwald M, Murphy LD et al. Sequencing and analysis of the <br>genome of the Whipple‘s disease bacterium Tropheryma whipplei. Lancet 2003;361:637-44. </p></li>
<li><p> Raoult D, Ogata H, Audic S et al. Tropheryma whipplei twist: a human pathogenic Actinobacteria with a reduced genome. Genome Res 2003;13:1800-9. </p></li>
<li><p> Renesto P, Crapoulet N, Ogata H et al. Genome-based design of a cell-free culture medium for Tropheryma whipplei. Lancet 2003;362:447-9. </p></li>
<li><p> Fenollar F, Laouira S, Lepidi H et al. Value of Tropheryma whipplei quantitative polymerase chain reaction assay for the diagnosis of Whipple disease: usefulness of saliva and stool specimens for first-line screening. Clin Infect Dis 2008;47:659-67. </p></li>
<li><p> Fenollar F, Trani M, Davoust B et al. Prevalence of asymptomatic Tropheryma whipplei carriage among humans and nonhuman primates. J Infect Dis 2008;197:880-7. </p></li>
<li><p> Puechal X. Whipple‘s disease. Ann Rheum Dis 2013;72:797-803. </p></li>
<li><p> Fenollar F, Keita AK, Buffet S et al. Intrafamilial circulation of Tropheryma <br>whipplei, France. Emerging Infect Dis 2012;18:949-55. </p></li>
<li><p> Keita AK, Bassene H, Tall A et al. Tropheryma whipplei: a common bacterium in rural Senegal. PLoS Negl Trop Dis 2011;5:e1403. </p></li>
<li><p>Raoult D, Fenollar F, Rolain J-M et al. Tropheryma whippleiin children with gastroenteritis. Emerging Infect Dis 2010;16:776-82. </p></li>
<li><p>Wetzstein N, Fenollar F, Buffet S et al. Tropheryma whipplei genotypes 1 and 3, Central Europe. Emerging Infect Dis 2013;19:341-2. </p></li>
<li><p>Keita AK, Mediannikov O, Ratmanov P et al. Looking for Tropheryma whipplei source and reservoir in Rural Senegal. Am J Trop Med Hygiene 2013;88:339-43. </p></li>
<li><p>Keita AK. Tropheryma whipplei prevalence strongly suggests human transmission in homeless shelters. Int J Infect Dis 2013;17:e957-8. </p></li>
<li><p>Lagier JC, Fenollar F, Lepidi H et al. Evidence of lifetime susceptibility to <br>Tropheryma whipplei in patients with Whipple‘s disease. J Antimicrob <br>Chemother 2011;66:1188-9. </p></li>
<li><p>Voldstedlund M, Pedersen LN, Baandrup U et al. Morbus Whipple – en årsag til dyrkningsnegativ endokardit. Ugeskr Læger 2004;166:3731-2. </p></li>
<li><p>Lagier J-C, Lepidi H, Raoult D et al. Systemic Tropheryma whipplei. Medicine (Baltimore) 2010;89:337-45. </p></li>
<li><p>Fenollar F, Puéchal X, Raoult D. Whipple‘s disease. N Engl J Med 2007;356:55-66. </p></li>
<li><p>Scheld WM. Whipple disease of the central nervous system. J Infect Dis 2003;188:797-800. </p></li>
<li><p>Panegyres PK. Diagnosis and management of Whipple‘s disease of the brain. Pract Neurol 2008;8:311-7. </p></li>
<li><p>Black DF, Aksamit AJ, Morris JM. MR imaging of central nervous system Whipple Disease: a 15-year review. Am J Neuroradiol 2010;31:1493-7. </p></li>
<li><p>Panegyres PK. Primary Whipple‘s disease of the brain: characterization of the clinical syndrome and molecular diagnosis. QJM 2006;99:609-23. </p></li>
<li><p>Durand DV, Lecomte C, Cathébras P et al. Whipple disease. Medicine (Baltimore) 1997;76:170-84. </p></li>
<li><p>Fenollar F, Lepidi H, Raoult D. Whipple‘s endocarditis: review of the literature and comparisons with Q fever, Bartonella infection, and blood culture-positive endocarditis. Clin Infect Dis 2001;33:1309-16. </p></li>
<li><p>Geißdörfer W. High frequency of Tropheryma whipplei in culture-negative endocarditis. J Clin Microbiol 2012;50:216-22. </p></li>
<li><p>Feurle GE, Moos V, Bläker H et al. Intravenous ceftriaxone, followed by 12 or three months of oral treatment with trimethoprim-sulfamethoxazole in <br>Whipple‘s disease. J Infect 2013;66:263-70. </p></li>
<li><p>Feurle GE, Junga NS, Marth T. Efficacy of ceftriaxone or meropenem as initial therapies in Whipple‘s disease. YGAST 2010;138:478-86. </p></li>
<li><p>Lagier JC, Fenollar F, Lepidi H et al. Failure and relapse after treatment with trimethoprim/sulfamethoxazole in classic Whipple‘s disease. J Antimicrob <br>Chemother 2010;65:2005-12. </p></li>
<li><p>Fenollar F, Lagier J-C, Rolain J-M et al. Tropheryma whipplei endocarditis relapses after treatment with trimethoprim/sulfamethoxazole. Int J Antimicrob Agents 2013;41:1-2. </p></li>
<li><p>Sears CL, Cosgrove SE. Iv or not iv? Just one of the antibiotic questions in Whipple‘s disease. YGAST 2010;138:422-6. </p></li>
<li><p>Feurle GE, Moos V, Schinnerling K et al. The immune reconstitution inflammatory syndrome in whipple disease: a cohort study. Ann Intern Med 2010;153:710-7. </p></li>
</ol>

Woodwing Id
47729
Fil
Conflict of interest
English title
Whipple&rsquo;s disease
English summary

Whipple&rsquo;s disease (WD) is a rare, chronic, systemic infection caused by the bacterium Tropheryma whipplei. New molecular techniques and epidemiological data over the latest decade have contributed to better understanding of this infection. The classical form of WD is characterized by arthritis followed years after by diarrhoea, weight loss and malabsorption but other clinical forms without intestinal involvement have been described. Prompt recognition and treatment of the infection is important, as the disease can be fatal if untreated. New studies are required to establish the optimal therapy regimen.

Authors workplaces

1) Infektionsmedicinsk Afdeling, Roskilde Sygehus
2) Klinisk Patologisk Afdeling, Slagelse Sygehus

Ugeskr Læger 2014;176:V05130309

Bib ref
Ugeskr Læger 2015;177:V05130309
Article number
V05130309
Authors

Raquel Martin-Iguacel1, Pia Susanne Clark2 & Toke S. Barfod1

0 likes