Medlem i

12 years 10 months
Indholdselementer

Pneumoni er en af de hyppigste sygdomme på de danske hospitaler med en årlig incidens på 18.000 og både nationalt og globalt den førende infektionsmedicinske årsag til død. I primærsektoren skønnes det, at der årligt behandles > 100.000 tilfælde. I takt med fremskridt i diagnostik og udviklingen af nukleinsyreamplifikationsteknologier er der kommet øget fokus på virus’ involvering i pneumoni.

Sidebar placering
Venstrestillet
Hovedbudskaber
  • Luftvejsvirus kan detekteres i 25% af alle tilfælde af pneumoni på hospitaler.

  • Stort set alle patienter, der indlægges med pneumoni, behandles med antibiotika.

  • Forbedret forskning i diagnostik og klinisk konsekvens af virusfund i pneumoni har potentiale til at forbedre behandlingsforløb og -regimer i pneumoni

Ombryd tekst
0
Brødtekst
  • Luftvejsvirus kan detekteres i 25% af alle tilfælde af pneumoni på hospitaler.

  • Stort set alle patienter, der indlægges med pneumoni, behandles med antibiotika.

  • Forbedret forskning i diagnostik og klinisk konsekvens af virusfund i pneumoni har potentiale til at forbedre behandlingsforløb og -regimer i pneumoni

VIRUSPNEUMONI

Det er velkendt, at influenzavirus kan inducere pneumoni, som har potentiale til at udvikle sig til svær pneumoni med acute respiratory distress syndrome (ARDS) og i sidste instans død. Foruden influenza har fokus i pneumoniregi primært været på virus med epidemi-/pandemipotentiale, bl.a. severe acute respiratory syndrome coronavirus (SARS-CoV)-1, Middle Eastern respiratory syndrome (MERS)-CoV og senest SARS-CoV-2.

Mindre present i diagnostik og behandling af pneumoni er de mere almindelige virus, selvom studier viser, at disse forekommer hyppigt blandt immunkompetente patienter [1, 2]. Trods et overordnet lavt diagnostisk udbytte med fund af patogen i under halvdelen af tilfældene viser det sig i en metaanalyse fra 2016, at virus er involveret i op mod 23% af alle pneumonier. De hyppigste af disse virus er: influenzavirus, humant rhinovirus (HRV), coronavirus og respiratorisk syncytialvirus (RSV). I det nedre spektrum finder man human metapneumovirus, parainfluenzavirus og adenovirus [1]. Virus og deres karakteristika er angivet i Tabel 1. I det følgende vil litteraturen på de tre hyppigste noninfluenzaårsager til viruspneumoni blive gennemgået.

Sidebar placering
Venstrestillet
Billede
Sidebar placering
Venstrestillet

Human rhinovirus

HRV er en RNA-virus inden for familien af Picornaviridae og er særdeles velkendt som patogen i øvre luftvej-infektioner, hvor den anses for at udløse relativt benigne lidelser. Derudover er HRV anerkendt som en udløsende faktor i eksacerbationer af astma og kronisk obstruktiv lungelidelse (KOL) samt alvorlig pneumoni hos børn og immunkompromitterede. Studier har ligeledes vist, at HRV spiller en rolle i udvikling af nedre luftvej-infektioner hos immunkompetente patienter – i en population af patienter med røntgenverificeret pneumoni fandt man HRV som monopatogen hos 6% [2].

HRV hæfter sig på overfladereceptoren intercellular adhesion molecule 1, som er udtrykt på epitelcelleoverfladen. Som i mange andre virale luftvejsinfektioner, opreguleres cytokiner under HRV, deriblandt interleukin (IL)-6, IL-8 og granulocyte macrophage colony stimulating factor [3], som også ses forhøjet ved KOL og astma i eksacerbation såvel som ved ARDS.

I retrospektive opgørelser har man sammenlignet patienter, som er indlagt med HRV, med patienter, som har influenza. Det er fundet, at blandt patienter med HRV er symptomer som feber, tør og/eller ekspektorerende hoste til stede hos omkring halvdelen svarende til andelen ved influenza. Patienter med HRV har røntgenverificeret pneumoni i 40% af tilfældene med den hyppigste lokalisation for konsolidering ligesom influenza basalt i højre side [4]. I opgørelsen fik flere patienter med HRV komplikationer, havde større iltbehov, længere hospitalisering og øget mortalitet end patienterne med influenza. Signifikant flere i HRV-gruppen havde mere end én dødsårsag, men fire ud af fem døde blandt andet af pneumoni, hvilket kunne betyde, at HRV kunne bidrage til død. I populationen var HRV en uafhængig risikofaktor for etårsdødelighed. Tredivedagesdødeligheden var 9,6% for patienter med HRV mod 7,1% for patienter med influenzavirus, men forskellen i dødelighed blev forklaret ved, at en større andel af patienter med HRV havde kroniske lungesygdomme og var plejehjemsbeboere trods samme gennemsnitsalder i de to grupper [4].

Coronavirus

CoV er ligeledes en RNA-virus – af familien Coronaviridae. CoV spreder sig via direkte kontakt med store aerosoler og har en inkubationsperiode på 2-10 dage [5]. CoV blev først identificeret i 1960’erne, og der kendes syv forskellige humanpatogene typer. De fire »almindelige«, 229E, NL63, OC43 og HKU1, medfører som oftest selvlimiterende milde til moderate luftvejsinfektioner. Mindre hyppigt kan de inducere svær pneumoni hos både immunkompromitterede og immunkompetente voksne med komplikationer i form af ARDS samt behov for intensiv behandling [1, 2, 6]. CoV er påvist hos 3,3% af patienterne med indlæggelseskrævende pneumoni [1]. Blandt hospitaliserede patienter er CoV hyppigst hos børn under fem år og ældre over 65 år. De hyppigste symptomer på CoV er tør og/eller produktiv hoste og feber [7].

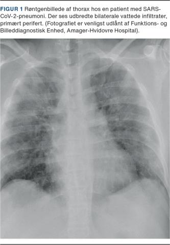
De senest introducerede CoV: SARS-CoV-1 fra 2003, MERS fra 2012 og SARS-CoV-2 har en høj aldersafhængig dødelighed. Alle tre menes at være zoonoser, som via mutation og menneskekontakt er blevet humant patogene. For SARS-CoV-1 er den samlede dødelighed omkring 15% [8] og for MERS omkring 34% [9]. For den ubehandlede SARS-CoV-2 er hospitalsdødeligheden 15-25% mens den samlede dødelighed i Danmark er < 1%, når der er justeret for alder og køn [10]. Typisk røntgenbillede af thorax af SARS-CoV-2 pneumoni med interstitielle infiltrater ses på Figur 1.

Sidebar placering
Venstrestillet
Billede
Sidebar placering
Venstrestillet

Respiratorisk syncytialvirus

RSV er den hyppigste årsag til pneumoni og bronchiolitis hos børn under fem år [11] og kan blandt voksne med pneumoni påvises i 2-5% af tilfældene [1, 12]. RSV forekommer hyppigst hos patienter over 65 år med underliggende komorbiditet med symptomer såsom hoste, ekspektoration, dyspnø, muskelømhed og feber [13]. 30-70% af patienterne har radiologisk påviste forandringer med infiltrationer, hvoraf unilaterale matglasforandringer og konsolidering er de hyppigste fund Figur 2 [14]. Ældre patienter med komorbiditet er i risiko for at få respirationssvigt, idet en tredjedel får brug for respiratorbehandling, og dødeligheden hos voksne er fundet at være op mod 15% [12].

Sidebar placering
Venstrestillet
Billede
Sidebar placering
Venstrestillet

DIAGNOSTIK AF LUFTVEJSVIRUS

Historisk set har det været udfordrende at teste for virus. Virusdyrkning og antigendetektion ved immunofluorescens var de tidligst benyttede metoder, men havde hhv. lang analysetid og lav sensitivitet [15]. I takt med udviklingen af polymerasekædereaktion (PCR) er der kommet øget fokus på virus i pneumoni, og metoden har vist sig at have en ligeværdig eller bedre sensitivitet end virusdyrkning [16] og kan øge andelen af detekterede agens i pneumonidiagnostik fra under 50% til op mod 89% [17].

Diagnostik af nedre luftvej-infektion er en kompleks sag. Risikoen for forurening af prøvematerialet er stor, da infektionens lokalisation kræver, at materialet fragtes fra de nedre luftveje op gennem de øvre luftveje. Flere forskellige prøvetyper kan benyttes i diagnostikken med PCR: næse- og mundsvælgpodning, ekspektorat, trakealsekret, mundspyt og bronkoalveolær lavagevæske. Fælles for dem alle er, at man pga. den høje sensitivitet risikerer falsk positive svar ved enten bærertilstand af agens, lokal øvre luftvej-infektion eller detektion af normal mundflora, hvilket skaber udfordringer i tolkningen af et positivt resultat.

I studier har man sammenlignet andelen af virus hos patienter med pneumoni med andelen hos asymptomatiske personer, og hos voksne er bærertilstanden ikke fundet at være høj (24,5% hos patienter med pneumoni vs. 2,1% hos asymptomatiske personer) [18, 19]. Trods dette mangler vi fortsat at afklare præcis, hvilken rolle virus spiller ved pneumoni og ikke mindst, hvordan vi i klinikken konkret skal forholde os til et positivt svar.

I et nyligt publiceret, randomiseret klinisk studie har man set på indvirkning og effekt af en af de nyeste PCR-paneler til nedre luftvej-diagnostik, og her blev der fundet effekt på reduktion af antal dages intravenøs behandling, hospitalisering og antibiotikadeeskalering [20].

Yderligere store, randomiserede kontrollerede studier af nedre luftvej-diagnostik vil forhåbentligt have potentiale til at afdække virus’ rolle ved pneumoni samt mindske hospitalserhvervet smitte, hospitalsindlæggelse og antibiotikaforbrug.

TVÆRREGIONAL PNEUMONIGUIDELINE

Hverken virus eller biomarkører såsom CRP indgår i de danske tværregionale guidelines for pneumonidiagnostik og behandling af hospitaliserede patienter. Dette til trods for at der i vejledningen fra Rådet for Anvendelse af Dyr Sygehusmedicin er angivet, at man ved luftvejsinfektioner anbefaler at afholde sig fra antibiotika ved et CRP-niveau < 50 mg/l [21]. I mangel af hurtig diagnostik med høje prædiktive værdier indgår der derimod risikostratificering vha. en scoring af konfusion, uræmi, respirationsfrekvens og blodtryk, CURB-65-score, som tager højde for patientens kliniske tilstand, men ikke agens. Selv ved en risikostratificering på 0 anbefales påbegyndelse af penicillinbehandling, og stort set alle hospitaliserede patienter med pneumoni behandles med antibiotika [22]. Herefter anbefales omlægning af behandlingen i henhold til mikrobiologisvar, men da detektion af agens er lav, og test for udvidet luftvejsvirus ikke indgår som en del af den generelle anbefaling, vil man ved brug af guidelines forventeligt behandle med empiriske antibiotika i kortere eller længere tid samt være uopmærksom på en eventuelt viralt udløst pneumoni.

ANTIVIRAL, IMMUNDÆMPENDE OG UNDERSTØTTENDE BEHANDLING AF LUFTVEJSVIRUS

Under den igangværende COVID-19-pandemi har interessen for forskning i bl.a. diagnostik og behandling været enorm, hvorfor man allerede et år efter pandemiens start står med godkendte behandlinger og vacciner. Anderledes ser det ud for de andre noninfluenzavirus.

Antivirale midler

Der findes ingen godkendte antivirale midler til behandling af immunkompetente voksne, som har HRV-, RSV- eller non-SARS-/non-MERS-CoV-pneumoni.

Remdesivir, som bruges hos de moderat syge patienter, der er indlagt med SARS-CoV-2, er en inhibitor af RNA-polymerasen, som den virale RNA er afhængig af for at replikere sig selv. Remdesivir har vist sig at forkorte tiden til klinisk bedring [23].

Kombinationen af lopinavir-ritonavir og interferon-beta-1b har vist sig at nedsætte dødeligheden af MERS-CoV, når behandlingen iværksættes inden for de første syv dage [24].

Ligeledes er kombinationsbehandling med lopinavir-ritonavir, interferon-beta-1b og ribavirin påvist at have potentiale til at nedsætte antallet af dage til negativ SARS-CoV-2-podning [25], men den har ikke haft overbevisende klinisk effekt til at kunne benyttes som behandling.

Cidofovir har været benyttet i sjældne tilfælde af adenoviruspneumoniudbrud [26]. Evidensen af effekt er dog baseret på caseserier og retrospektive opgørelser.

Immunterapi

Behandling med rekonvalescent plasma har været forsøgt benyttet første gang under influenzapandemien i 1918. Teorien er, at patienter, der modtager plasma fra personer med overstået infektion, vil modtage neutraliserende antistoffer, som kan forhindre klinisk forværring, mens patientens eget immunsystem opbygger det nødvendige antistofrespons. Dette kan ske dels ved indgift af plasma fra enkeltpersoner, dels ved oprensning af monoklonalt antistof fra plasma og hyperimmun intravenøs immunglobulin (hIVIG).

Under udbruddet af SARS-CoV-1 i 2003 fandt man bedring hos de patienter, der var behandlet med rekonvalescent plasma før dag 14 i sygdomsforløbet [27].

Der er under SARS-CoV-2-pandemien undersøgt forskellige antistoffer og kombinationer heraf til behandling COVID-19, og i flere lande (herunder Danmark) benyttes rekonvalescent plasma for nuværende som compassionate care hos hæmatologiske patienter. Et stort nyligt udgivet britisk studie, med over 5.500 patienter inkluderet, viste ingen effekt af rekonvalescent plasma hos patienter med COVID-19 [28]. Studiet var dog open-label, og vi mangler fortsat resultater på nationale og internationale randomiserede kontrollede studier.

Understøttende behandling

Dexamethason er standardbehandling ved moderat til svær COVID-19 og nedsætter dødeligheden hos patienter, der får iltterapi eller har behov for respiratorstøtte – med særlig god effekt hos patienter i den sidstnævnte gruppe [29].

Ved KOL og astma i eksacerbation, som ofte er forbundet med virusinfektion, er en af grundstenene i behandlingen højdosisglukokortikoid, hvilket giver reduktion af behandlingssvigt, men ikke dødelighed [30].

KONKLUSION

Hos ca. en fjerdedel af de patienter, som er indlagt med pneumoni, kan der med moderne molekylærbiologisk diagnostik detekteres virus, heraf er de hyppigste HRV, RSV og non-SARS-/non-MERS-coronavirus, som alle giver influenzalignende symptomer. Med PCR-diagnostik kan man hurtigt og med høj sensitivitet detektere virus i luftvejssekreter, og håbet er, at forbedret luftvejsdiagnostik kan øge fokus på virus’ rolle i pneumoni, reducere andelen af patienter, der behandles med antibiotika, og bidrage til at udvikling af flere og bedre behandlinger mod luftvejsvirus accelereres.



Korrespondance Clara Lundetoft Clausen
E-mail: clara.lundetoft.clausen@regionh.dk
Antaget 16. marts 2021
Publiceret på ugeskriftet.dk 3. maj 2021
Interessekonflikter: Der er anført potentielle interessekonflikter. Forfatternes ICMJE-formularer er tilgængelige sammen med artiklen på ugeskriftet.dk
Referencer findes i artiklen publiceret på ugeskriftet.dk
Artikelreference Ugeskr Læger 2021;183:V11200833

Sidebar placering
Venstrestillet
Article type
Journal
Magazine
Section
References

Referencer

  1. Burk M, El-Kersh K, Saad M et al. Viral infection in community-acquired pneumonia: a systematic review and meta-analysis. Eur Respir Rev 2016;25:178-88.

  2. Jain S, Williams D, Arnold S. et al. Community-acquired pneumonia requiring hospitalization among U.S. adults. N Engl J Med 2015;373:415-27.

  3. Subauste MC, Jacoby DB, Richards SM, Proud D. Infection of a human respiratory epithelial cell line with rhinovirus. Induction of cytokine release and modulation of susceptibility to infection by cytokine exposure. J Clin Invest 1995;96:549-57.

  4. Hung I, Zhang AJ, To KKW et al. Unexpectedly higher morbidity and mortality of hospitalized elderly patients associated with rhinovirus compared with influenza virus respiratory tract infection. Int J Mol Sci 2017;18:259.

  5. Lessler J, Reich N, Brookmeyer R et al. Incubation periods of acute respiratory viral infections: a systematic review. Lancet Infect Dis 2009;9:291-300.

  6. Zhou JA, Schweinle JE, Lichenstein R et al. Severe illnesses associated with outbreaks of respiratory syncytial virus and influenza in adults. Clin Infect Dis 2020;70:773-9.

  7. Lau SKP, Woo PCY, Yip CCY et al. Coronavirus HKU1 and other coronavirus infections in Hong Kong. J Clin Microbiol 2006;44:2063-71.

  8. Hui DS, Azhar EI, Memish ZA, Zumla A. Human coronavirus infections – severe acute respiratory syndrome (SARS), Middle East respiratory syndrome (MERS), and SARS-CoV-2. Reference Module in Biomedical Sciences (online 20. maj 2020).

  9. Memish ZA, Perlman S, Van Kerkhove MD, Zumla, A. Middle East respiratory syndrome. Lancet 2020;395:1063-77.

  10. O’Driscoll M, Dos Santos GR, Wang L et al. Age-specific mortality and immunity patterns of SARS-CoV-2. Nature 2021;590:140-5.

  11. Jain S, Williams D, Zhu Y et al. Community-acquired pneumonia requiring hospitalization among U.S. children. N Engl J Med 2015;372:835-45.

  12. Chuaychoo B, Ngamwongwan S, Kaewnaphan B, Athipanyasilp N et al. Clinical manifestations and outcomes of respiratory syncytial virus infection in adult hospitalized patients. J Clin Virol 2019;117:103-8.

  13. Lee N, Lui G, Wong K et al. High morbidity and mortality in adults hospitalized for respiratory syncytial virus infections. Clin Infect Dis 2013;57:1069-77.

  14. Wong SSM, Yu JWL, Wong KT et al. Initial radiographic features as outcome predictor of adult respiratory syncytial virus respiratory tract infection. Am J Roentgenol 2014;203:280-6.

  15. Xiang X, Qiu D, Chan K et al. Comparison of three methods for respiratory virus detection between induced sputum and nasopharyngeal aspirate specimens in acute asthma. J Virol Methods 2002;101:127-33.

  16. Puppe W, Weigl J, Aron G et al. Evaluation of a multiplex reverse transcriptase PCR ELISA for the detection of nine respiratory tract pathogens. J Clin Virol 2004;30:165-74.

  17. Gadsby NJ, Russell CD, McHugh MP et al. Comprehensive molecular testing for respiratory pathogens in community-acquired pneumonia. Clin Infect Dis 2016;62:817-23.

  18. Self WH, Williams DH, Zhu Y et al. Respiratory viral detection in children and adults: comparing asymptomatic controls and patients with community-acquired pneumonia. J Infect Dis 2016;213:584-91.

  19. Ruthhie B, Morita H, Comito D et al. Asymptomatic shedding of respiratory virus among an ambulatory population across seasons. mSphere 2018;3:e00249-18.

  20. Shengchen D, GU X, Fan G et al. Evaluation of a molecular point-of-care testing for viral and atypical pathogens on intravenous antibiotic duration in hospitalized adults with lower respiratory tract infection: a randomized clinical trial. Clin Microbiol Infect 2019;25:1415-21.

  21. Baggrundsnotat for hensigtsmæssig anvendelse af antibiotika ved nedre luftvejsinfektioner i almen praksis og på hospital. Rådet for Anvendelse af Dyr Sygehusmedicin, 2016.

  22. Egelund GB, Jensen AV, Andersen SB et al. Penicillin treatment for patients with Community-Acquired Pneumonia in Denmark: a retrospective cohort study. BMC Pulm Med 2017;17:66.

  23. Beigel JH, Tomashek KM, Dodd LE et al. Remdesivir for the treatment of Covid-19 – final report. N Engl J Med 2020;383:1813-26.

  24. Arabi YM, Asiri AY, Assiri AM et al. Interferon beta-1b and lopinavir–ritonavir for Middle East respiratory syndrome. N Engl J Med 2020;383:1645-56.

  25. Hung IFN, Lung KC, Tso EYK, et al. Triple combination of interferon beta-1b, lopinavir–ritonavir, and ribavirin in the treatment of patients admitted to hospital with COVID-19: an open-label, randomised, phase 2 trial. Lancet 2020;395:1695-704.

  26. Ko JH, Lim JU, Choi JY et al. Early cidofovir administration might be associated with a lower probability of respiratory failure in treating human adenovirus pneumonia: a retrospective cohort study. Clin Microbiol Infect 2020;26:646.e9-646.e14.

  27. Cheng Y, Wong R, Soo YOY et al. Use of convalescent plasma therapy in SARS-patients in Hong Kong. Eur J Clin Microbiol Infect Dis 2005;24:44-6.

  28. The RECOVERY Collaborative Group et al. Convalescent plasma in patients admitted to hospital with COVID-19 (RECOVERY): a randomised, controlled, open-label, platform trial. http://medrxiv.org/lookup/doi/10.1101/2021.03.09.21252736 (12. apr 2021).

  29. The RECOVERY Collaborative Group. Dexamethasone in hospitalized patients with Covid-19 – preliminary report. N Engl J 2021;384:693-704.

  30. Walters JA, Tan DJ, White CJ et al. Systemic corticosteroids for acute exacerbations of chronic obstructive pulmonary disease. Cochrane Database Syst Rev 2014;9:CD001288.

Woodwing Id
45645
Fil
Conflict of interest
English title
Viral pneumonia in immunocompetent adults
English summary

Clara Lundetoft Clausen & Thomas Benfield

Ugeskr Læger 2021;183:V11200833

In this review, we discuss viral pneumonias in an overall setting. Viruses are involved in about a quarter of all pneumonias, but despite literature in the past couple of decades emphasising this, the clinical effect remains elusive, and almost all hospitalised patients with pneumonia are treated with antibiotics. Thus, improved diagnostic methods and further research on the subject have the potential to benefit the overall treatment of patients with pneumonia, decrease antibiotic overconsumption and accelerate development of new antiviral therapeutics.

Authors workplaces

Infektionsmedicinsk Afdeling, Københavns Universitetshospital – Hvidovre Hospital

Ugeskr Læger 2021;183:V11200833

Bib ref
UgeskrLæger 2021;183:V11200833
Article number
V11200833
Authors

Clara Lundetoft Clausen & Thomas Benfield

0 likes