Medlem i

13 years 1 month
Indholdselementer
Billede
Sidebar placering
Venstrestillet


Vena cava inferior (VCI) dannes i 6.- 8. fosteruge. Inkomplet morfogenese kan føre til mange forskellige udviklingsanomalier, som ofte er asymptomatiske (1). Atresi af VCI (VCIA) er en af de sjældne udviklingsanomalier, men den er væsentlig, fordi den kan føre til proksimal bilateral dyb venetrombose (DVT) hos unge mennesker.

Sygehistorie

En 18-årig tidligere rask kvinde blev indlagt akut på grund af tre uger varende kraftige lændesmerter med udstråling til benene. På grund af smerterne havde patienten været sengeliggende. Ved indlæggelsen fandtes ingen neurologiske udfald, og en MR-scanning viste normale forhold i rygsøjlen. På grund af let hævede underben, lægømhed og forhøjede infektionsparametre blev der foretaget en UL-scanning, der viste bilateral trombose af v. ilaca, v. femoralis og v. poplitea. En CT viste ingen VCI proksimalt for bifurkaturen, og først ved nyrerne blev VCI gendannet. Der sås et veludviklet kollateralt netværk af vener retroperitonealt, paravertebralt og intraspinalt. Efterfølgende trombofiliudredning viste, at patienten var heterozygot for faktor V Leiden, hvortil kom, at hun to måneder før den her omtalte episode var begyndt at tage tredjegenerations p-piller.

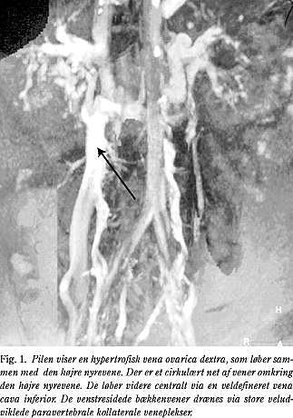
Der blev påbegyndt antikoagulations (AK)-behandling, og p-pillerne blev seponeret. Patienten fik høje kompressionsstrømper og blev mobiliseret i takt med, at rygsmerterne svandt i løbet af de næste dage. Ved udskrivelsen blev kompressionsstrømperne erstattet af knælange kompressionsstrømper klasse 3 (2). CT og UL-scanning 6 mdr. senere viste rekanalisering af venerne i bækkenet og i benene og VCIA blev igen bekræftet med en MR-scanning (Fig. 1 ). AK-behandlingen blev seponeret efter 8 mdr. To år efter symptomdebut anvendte patienten fortsat kompressionsstrømper og var velbefindende uden ødemer, venøs claudicatio eller recidiv af DVT.

Diskussion

VCIA kan være en af en række udviklingsanomalier i forskellige syndromer (3), men det kan også være den eneste påviste defekt. Diagnosen stilles bedst med CT og MR-scanning (1, 4). VCIA kan være den eneste årsag til DVT (4, 5), men DVT er ofte en multikausal sygdom (6), og hos vores patient var der tre andre årsager til venetrombosen: det lange sengeleje, p-pillerne og den medfødte koagulationsdefekt. En faktor V Leiden-positiv kvinde, som får p-piller, har endog 30 gange større risiko for at få DVT end den raske kvinde, som ikke får p-piller (7). De fleste patienter med VCIA og DVT får AK-behandling. Enkelte centre har forsøgt trombolyse og akut trombektomi (8) uden held. Varigheden af AK-behandlingen angives forskelligt. Mange anbefaler livslang behandling (8), mens andre har seponeret behandlingen efter en periode (4, 5). Vi valgte at seponere AK-behandlingen hos vores patient, fordi hendes tromboserisiko kunne nedsættes i forhold til tidspunktet for symptomdebut ved ophør med p-pillerne og ved mobiliseringen, da rygsmerterne forsvandt. På grund af de veludviklede kollaterale vener i blandt andet spinalkanalen har vi frarådet patienten fremtidig epiduralanæstesi på grund af øget risiko for blødning i spinalkanalen. Trods den udbredte venetrombose, har patienten endnu ikke udviklet symptomer på posttrombotisk syndrom eller recidiv, hvilket kan skyldes den tidlige påbegyndelse af kompressionsstrømpebehandlingen (2).


Santa Puspure Pilgaard, Baunevænget 7, Snoghøj, DK-7000 Fredericia. E-mail: santa@pilgaard.dk

Antaget den 26. februar 2003.

Kolding Sygehus, Medicinsk Afdeling og Karkirurgisk Afdeling.



Sidebar placering
Venstrestillet
Article type
Journal
Magazine
Section
References

<ol class="Litt-list">
<li>Bass JE, Redwine MD, Kramer LA et al. Spectrum of congenital anomalies of the inferior vena cava: cross-sectional imaging findings. Ragiographics 2000;20:639-52.</li>
<li>Brandjes DPM, Büller HR, Heijboer H et al. Randomised trial of effect of compression in patients with symptomatic proximal-vein thrombosis. Lancet 1997;349:759-62.</li>
<li>Vanhoenacker FM, de Ruysscher D, de Backer AI et al. Heterotaxy syndrome in an adult, with polysplenia, visceral and cardiovascular malposition. JBR-BTR 2001;84:1-4.</li>
<li>Ruggeri M, Tosetto A, Castaman G et al. Congenital absence of the inferior vena cava: a rare risk factor for idiopathic deep-vein thrombosis. Lancet 2001;357:441.</li>
<li>Chee YL, Culligan DJ, Watson HG. Inferior vena cava malformation as a risk factor for deep venous thrombosis in the young. Br J Haematol 2001;114:878-80.</li>
<li>Rosendaal FR. Venous thrombosis: a multicausal disease. Lancet 1999; 353:1167-73.</li>
<li>Sarasin FP, Bounameaux H. Decision analysis model of prolonged oral anticoagulant treatment in factor V Leiden carries with first episode of deep vein thrombosis. BMJ 1998;316:95-9.</li>
<li>Tiesenhausen K, Amann E, Thalhammer M et al. Aplasia of the vena cava inferior as a cause for recurreing thrombosis of the lower extremities and pelvic veins. VASA 1999;28:289-92.</li>
</ol>

Woodwing Id
239165
Fil
Bib ref
Ugeskr Læger 2003;165(18):1880-1.
Authors

Santa Puspure Pilgaard & Morten Stahl Madsen

0 likes