Medlem i

12 years 10 months
Indholdselementer
Billede
Sidebar placering
Venstrestillet


Ogilvies syndrom (OS) er en tilstand, hvor symptomer og kliniske fund tyder på obstruktion af colon uden påviselig radiologisk mekanisk årsag. Patofysiologisk skyldes OS et resultat af ubalance i det autonome nervesystem og er associeret med f.eks. sepsis, kirurgi, anæstesi og maligne tilstande. Tilstanden er vigtig at diagnosticere, da den er forbundet med høj morbiditet og mortalitet [1]. I en gennemgang af 400 rapporterede cases fandt man, at risikoen for perforation ved OS var op til 23% ved en caecumdiameter på over 14 cm [2]

SYGEHISTORIE

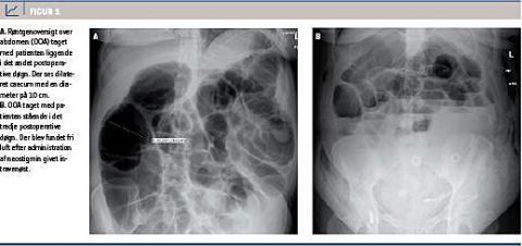
En 37-årig, gravid kvinde blev indlagt ved gestationsalder 29 uger + fem dage grundet kraftig vaginalblødning og delvis abruptio placenta. Det estimerede blodtab efter ankomst til hospitalet var 1.000 ml, og der blev foretaget akut sectio på vital indikation. Postoperativt blev patienten sat i behandling med intravenøst (i.v.) givet cefuroxim og metronidazol. Patienten var ved ankomst allerede i behandling med erytromycin, hvilket var påbegyndt af egen læge pga. pneumoni. Patienten havde det første postoperative døgn (POD) tiltagende diffuse abdominalsmerter, kvalme, opkastninger og flatus, men ingen afføring. En røntgenoversigt over abdomen (OOA) viste pseudoobstruktion med en caecumdiameter på 9 cm (Figur 1). Der blev ordineret sonde til svagt sug og flydende kost. En kontrol-OOA på 2. POD viste tiltagende caecumdiameter på nu 10 cm, og colonindhældning var uden mekanisk årsag. Jævnfør afdelingens instruks blev der ordineret neostigmin 2,5 mg givet i.v. over 5 min, hvilket medførte flatusafgang og klinisk bedring. En OOA på 3. POD blev af vagthavende bagvagt tolket som fortsat dilateret caecum, hvorfor der igen blev givet neostigmin i.v.. På en røntgenkonference dagen efter fandt man nytilkommen fri luft og subkutant emfysem, der var blevet overset på den seneste OOA (Figur 1B). Ved et efterfølgende kirurgisk tilsyn fandt man dog patienten afebril, oppegående og upåvirket med en leukocytkoncentration på 21,9 mia./l og et CRP-niveau på 187 mg/l. Hun blev herefter behandlet konservativt og under uændret antibiotisk behandling observeret tæt af seniorkirurger. Hun fik fuldkost og havde normaliseret tarmfunktion. En computertomografi (CT) af abdomen på det 7. POD viste ikke ansamlinger eller fri væske intraabdominalt. Efter normalisering af infektionsparametre på det 9. POD seponeredes den antibiotiske behandling, og den kirurgiske behandling af patienten blev afsluttet. Efterfølgende blev der ikke rapporteret om komplikationer.

DISKUSSION

Standardbehandlingen af perforationer efter koloskopi er operation, hvorimod konservativ behandling fortsat er kontroversiel. Succesraten ved konservativ behandling er beskrevet til at være 33-73%, og behandlingen anbefales kun til patienter med følgende karakteristika: godt alment helbred, tidlig diagnose, manglende kliniske tegn på diffus peritonitis, tilstrækkelig udrensning af colon og perforationer, hvor man ikke har mistanke om, at koloskopet er primær årsag [3]. Der findes samme mortalitet og morbiditet, når man sammenligner konservativ behandling af perforeret ulcus med kirurgisk behandling. Dette er under forudsætning af hurtigt iværksat i.v. antibiotisk behandling, hæmodynamisk stabil patient og akut kirurgisk intervention ved manglende bedring [4].

Erkendelse af OS er yderst vigtig pga. perforationsrisiko. Radiologisk vurdering og diagnosticering (CT eller OOA) skal foretages hurtigt. Samtidigt bør der foretages colonindhældning hver gang for at afkræfte en mekanisk årsag, medmindre dette kan udelukkes ved primær diagnostik. Beslutningen om, hvilken behandling der bør indledes, beror på en vurdering af caecums diameter. Normalværdien af caecumdiameter er angivet til 9 cm, og værdier på 10-12 cm kræver tæt overvågning gerne med OOA hver 12. time. Dette bør dog altid sammenholdes med patientens kliniske tilstand [5]. Læsionen, der er beskrevet i sygehistorien, må vurderes at være forårsaget af et barotraume sekundært til OS, formentlig delvist retroperitonealt. Dette kan til en vis grad sidestilles med fri luft efter perforeret ulcus eller divertikulitis. I selekterede tilfælde og ved sealed leasions kan man som tidligere nævnt behandle disse tilfælde konservativt under tæt observation. Man kan også drage sammenligninger til mindre perforationer efter koloskopi, hvor man også tidligere har behandlet konservativt med en vis succes. Der er dog stor forskel på de to typer perforationer, idet tarmen udrenses inden endoskopi. Konservativ behandling af perforationer, der er relateret til OS, er stærkt kontroversiel. Det bør kun overvejes under optimale forhold, hos højtselekterede patienter og under tæt observation med mulighed for akut kirurgisk intervention.



KORRESPONDANCE: Christian Lyngsaa Lang, Gastroenheden – Kirurgisk Sektion, Herlev Hospital, Herlev Ringvej 75, 2730 Herlev. E-mail: c.lyngsaa@gmail.com

ANTAGET: 11. juli 2012

FØRST PÅ NETTET: 28. januar 2013

INTERESSEKONFLIKTER: Hent PDF


Summary

Christian Lyngsaa Lang, Maria Cecilie Haveman & Michael Achiam:

Successful conservative treatment of coecal perforation in a patient with Ogilvie‘s syndrome

Ugeskr Læger 2013;175:1120-1121

The case report describes a 37-year-old woman who was diagnosed with Ogilvie‘s syndrome after caesarean section. Conservative treatment was initiated with minimal effect, and the patient was subsequently treated with IV neostigmine. A computed tomography of the abdomen revealed enlanged peritoneal cavity. However the patient was clinically unaffected without fever or signs of peritonitis. The perforation was managed with a conservative approach including antibiotics and close observation of the patient. After nine days the patient was discharged with normal gastrointestinal function and without further reported complications.





  1. Roberts CA. Ogilvie’s syndrome after ce sarean delivery. J Obstet Gynecol Neonatal Nurs 2000;29:239-46.

  2. Vanek VW, Al-Salti M. Acute pseudo-obstruction of the colon. Dis Colon Rectum 1986;29:203-10.

  1. Castellvi J, Bollo J, Caballero F. Colonoscopic perforation: useful parameters for early diagnosis and conservative treatment. Int J Colorectal Dis 2011;26:1183-90.

  2. Gul YU, Shine MF, Lennon F. Nonoperative management of perforated duodenal ulcer. Ir J Med So 1999;168:254-6.

  3. Schjoldager BT, Christensen JK. Ogilvies syndrom. Ugeskr Læger 2001;163:3056.




Sidebar placering
Venstrestillet
Article type
Journal
Magazine
Section
Woodwing Id
245655
Fil
Conflict of interest
Bib ref
Ugeskr Læger 2013;175(16):1120-1121
Authors

Christian Lyngsaa Lang 1 , Maria Cecilie Haveman 2 & Michael Achiam 1 1) Gastroenheden Kirurgisk Sektion, Herlev Hospital 2) Gynækologisk-obstetrisk Afdeling, Herlev Hospital

0 likes