Medlem i

13 years 1 month
Indholdselementer

Lymfangioleiomyomatose (LAM) er en sjælden sygdom, der næsten udelukkende rammer kvinder. Primært ses lungeaffektion med progredierende proliferation af glatmuskelceller, der omgiver lymfe- og blodkar samt alveoler. Der dannes cyster i lungerne, og lungefunktionen kompromitteres. Symptomerne debuterer oftest hos personer i midten af 30’erne og består af progredierende funktionsdyspnø, hoste, ekspektoration og sjældnere hæmoptyse og kyloptyse. Spontan pneumothorax er debutsymptom hos ca. en tredjedel [1, 2]. Parakliniske fund ses i Tabel 1. Prævalensen anslås til 1 pr. mio. indbyggere og ubehandlet er medianoverlevelsen er ca. ti år [2, 3]. Lungetransplantation er ofte nødvendig [2]. Diagnosen stilles ud fra anamnese, kliniske fund og high resolution-CT (HRCT) [2, 4]. Ofte ses debut eller forværring af symptomer ved graviditet og østrogenbehandling. Debut efter menopause er sjælden [2, 4]. Hos ca. 40% er LAM associeret med tuberøs sklerose [2, 4]. Der findes ingen dokumenteret behandling for LAM. Hormonel manipulation, ooforektomi og behandling med sirolimus og doxycyclin har været forsøgt, men større randomiserede studier til belysning af effekten findes ikke [2, 4].

SYGEHISTORIE

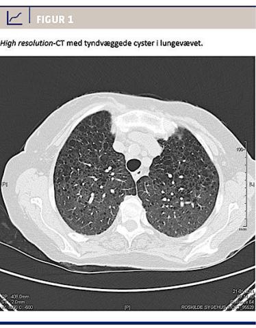
En 75-årig kvinde blev henvist til en lungemedicinsk afdeling til udredning af langvarig dyspnø, der ikke responderede på inhalationssteroid. Hun havde aldrig røget eller været udsat for passiv rygning, asbest eller andre kendte patogener. Som 33-årig og 35-årig gennemgik hun to graviditeter, hvoraf den første var kompliceret af præeklampsi, men ikke dyspnø. Hun havde aldrig været i hormonbehandling og havde ingen neurologiske symptomer i anamnesen, heller ikke krampeanfald, og der var ingen kognitive deficit, der kunne tyde på tuberøs sklerose. Som 47-årig var hun indlagt pga. dyspnø, recidiverende kylothorax og pleuraempyem. Behandlingen bestod i pleuracentese og antibiotika, og patienten angav, at lungehinderne blev »klistret sammen« ved injektion af et ukendt stof. Man fremkom ikke med en diagnose. Hendes behandling blev afsluttet efter fire års ambulant opfølgning uden medicinsk behandling, og uden at der i øvrigt var noget at bemærke. Hun oplevede fortsat let aktivitetsdyspnø, der blev mere udtalt ved 70-årsalderen. På baggrund af spirometri med obstruktivt præg forsøgte patientens egen læge behandling med inhalationspræparater, hvilket dog var uden større effekt. I en alder af 74 år fik patienten en formodet behandlingsrefraktær (penicillinbehandlet) pneumoni, som førte til indlæggelse. Ved en røntgenundersøgelse af thorax sås øget retikulær tegning, hvorfor der blev foretaget HRCT, som viste udbredt affektion af lungevævet med multiple, tyndvæggede, runde cyster af varierende størrelse bilateralt (Figur 1) foruden mediastinal og retrokrural adenopati og venstresidig pleuraeffusion, hvilket var foreneligt med LAM. Alfa-1-antitrypsinniveauet var upåfaldende. Fjorten måneder senere foretog man PET-CT pga. et nytilkommet suspekt infiltrat, som ved røntgenundersøgelse af thorax var set på højre lunge. Mistanken om lungetumor blev frafaldet, men der fandtes en 1 × 1 cm uspecifik proces i venstre nyre samt flere små processer i gl. thyroidea – alle uden fluordeoxyglucoseoptagelse. Ved en objektiv undersøgelse af huden var der ingen tegn på tuberøs sklerose (negle- eller hudforandringer). Der blev foretaget finnålsaspirat af den største proces i gl. thyroidea. Aspiratet viste, at der var tale om et benignt adenom. Processen i nyren fremtrådte radiologisk ikke som et angiomyolipom. Ud fra størrelse og udseende vurderede man fra urologisk side, at watchful waiting med årlig ultralydskanning var tilstrækkelig. I forløbet fik patienten konstateret svær pulmunal hypertension, dilateret højre ventrikel med normal uddrivningsfraktion og atrieflimren. Der blev påbegyndt behandling med marevan, enalapril, furosemid og verapamil med god symptomatisk effekt, og pleuravæsken forsvandt.

Sidebar placering
Venstrestillet
Billede
Sidebar placering
Venstrestillet
Billede
Sidebar placering
Venstrestillet

DISKUSSION

Sædvanligvis debuterer LAM hos kvinder i den fødedygtige alder, og der ses ofte forværring under en graviditet eller østrogenbehandling samt støt progression over tid. Det usædvanlige i forløbet i sygehistorien var, at tilstanden debuterede nær ved menopausen samt havde langsom klinisk og lungefunk-
tionsmæssig forværring over mere end 20 år. Årsagen til, at diagnosen ikke blev stillet, da sygdommen debuterede, har formentlig været den manglende mulighed for at foretage skanninger. I dag ville udredningen af patienten næppe være blevet afsluttet, uden at der var blevet foretaget CT og HRCT. LAM er en sjælden, men vigtig differentialdiagnose hos yngre kvinder, som har respiratoriske symptomer og nedsat lungefunktion, og bør haves in mente hos kvinder, som formodes at have astma, og som ikke responderer på behandling samt ved spontan pneumothorax [1-5]. Selv om det er mindre sandsynligt, er LAM også fortsat en diagnostisk mulighed hos aldrigrygende ældre kvinder med obstruktiv nedsat lungefunktion og bør udelukkes med en HRCT af thorax.

Korrespondance: Eva Rye Rasmussen, Øre-næse-hals-afdelingen, Køge
Sygehus, Lykkebækvej 1, 4600 Køge. E-mail: eva.rye.rasmussen@dadlnet.dk

Antaget: 4. juni 2013

Publiceret på Ugeskriftet.dk: 12. august 2013

Interessekonflikter:

Sidebar placering
Venstrestillet
Article type
Journal
Magazine
Section
References

<h2>
<h2>Litteratur</h2>
<ol type="d">
<li><p>Ryu JH, Moss J, Beck GJ et al. The NHLBI lymphangioleiomyomatosis registry: characteristics of 230 patients at enrollment. Am J Respir Crit Care Med 2006;173:105.</p></li>
<li><p>Johnson S. Lymphangioleiomyomatosis: clinical features, management and <br>basic mechanisms. Thorax 1999;54:254-64.</p></li>
<li><p>Taylor JR, Ryu J, Colby TV et al. Lymphangioleiomyomatosis. N Engl J Med 1990;323:1254.</p></li>
<li><p>Mavroudi M, Zarogoulidis P, Katsikogiannis N et al. Lymphangioleiomyomatosis: current and future. J Thorac Dis 2013;5:74-9.</p></li>
<li><p>Palissa E, Sanz P, Roman A et al. Lymphangioleiomyomatosis: pulmonary and abdominal findings with pathologic correlation. Radiographics 2002;22:S185-98.</p></li>
</ol>
</h2>

Woodwing Id
48753
Fil
Conflict of interest
English title
Unusually late debut of lymphangioleiomyomatosis
English summary

The rare, severe lung disease lymphangioleiomyomatosis (LAM) usually presents with dyspnoea on exertion, cough and expectoration in females in the third decade and is worsened by pregnancy or hormone therapy. Lung transplant is often needed within ten years since no specific treatment is available. The patient in this case report was a mother of two, who had never received hormone therapy. Once, when she was 47-years-old, she had had a period of dyspnoea and pleural empyema and no diagnosis was made, but being 75-years-old she was admitted with moderate dyspnoea on exertion, and high resolution CT showed cysts of the lungs classical for LAM.

Authors workplaces

1) Øre-næse-hals-afdelingen, Køge Sygehus
2) Panum Instituttet, Det Sundhedsvidenskabelige Fakultet,
Københavns Universitet
3) Radiologisk Afdeling, Roskilde Hospital
4) Medicinsk Afdeling, Roskilde Hospital

Ugeskr Læger 2015;177:V03130157

Bib ref
Ugeskr Læger 2015;177:V03130157
Article number
V03130157
Authors

Eva Rye Rasmussen1, Kristian K. Moesgaard2, Mette Marklund3 & Peder Gunnar Fabricius4

0 likes