Medlem i

12 years 10 months
Indholdselementer

Den superficielle beliggenhed af gl. thyroidea, spytkirtler, kar og lymfeknuder på hoved og hals gør UL-skanning til et ideelt billeddannende redskab [1]. I takt med den hastige tekniske udvikling af billedkvaliteten samt transportable UL-skanningsapparater øges brugen af såkaldt kliniskUL-skanning [2], og ud over radiologer udfører øre-næse-hals-kirurger, endokrinologer, anæstesiologer, karkirurger og børnelæger diagnostisk UL-skanning af halsen [3, 4]. Derudover bruges UL-skanning som præoperativ planlægning af og vejledning ved procedurer såsom biopsitagning, lokalbehandling og anlæggelse af centralt venekateter. Over de seneste årtier har øre-næse-hals-kirurger integreret UL-skanning i den objektive undersøgelse, og der er således sket en udvikling fra, at patienterne er blevet henvist til UL-skanning på en radiologisk afdeling, til at dette varetages selvstændigt. Prognosen for hoved-hals-kræft er afhængig af hurtig diagnostik og behandlingsstart, hvorfor alle patienter, der henvises i et kræftpakkeforløb, får udført UL-skanning og eventuelt UL-vejledt biopsi ved første ambulante undersøgelse på en øre-næse-hals-kirurgisk afdeling. Ved fund af mulig hoved-hals-patologi bør patienterne derfor henvises til en praktiserende øre-næse-hals-læge eller en hospitalsafdeling til videre udredning. I denne artikel vil vi gennemgå en systematisk skanningsteknik af hoved og hals samt fremhæve relevant UL-anatomi og -patologi. UL-skanning af halsens kar og UL-vejledte interventioner er uden for formålet med artiklen.

Sidebar placering
Venstrestillet
Hovedbudskaber
  • UL-skanning af hoved og hals bliver i stigende grad brugt til point of care-diagnostik.

  • Der bør bruges en højfrekvent lineær probe, og patienten bør ligge med let hyperekstenderet hals ved undersøgelse.

  • Kendskab til halsanatomien, undersøgelsesteknikken, begrænsninger ved UL-skanning og hyppige diagnostiske fund er vigtigt.

Ombryd tekst
0
Brødtekst
  • UL-skanning af hoved og hals bliver i stigende grad brugt til point of care-diagnostik.

  • Der bør bruges en højfrekvent lineær probe, og patienten bør ligge med let hyperekstenderet hals ved undersøgelse.

  • Kendskab til halsanatomien, undersøgelsesteknikken, begrænsninger ved UL-skanning og hyppige diagnostiske fund er vigtigt.

Billede
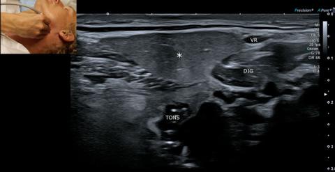
Skanning af gl. submandibularis (*) med tonsilla palatina (TONS) posterier herfor og m. digasticus venter posterior (DIG) og v. retromandibularis (VR) lateralt.
Caption
Skanning af gl. submandibularis (*) med tonsilla palatina (TONS) posterier herfor og m. digasticus venter posterior (DIG) og v. retromandibularis (VR) lateralt.
Sidebar placering
Venstrestillet

UDSTYR OG FORBEREDELSE

Som standard benyttes en højfrekvent lineær UL-transducer (8-15 mHz), og patientenlægges fladt på et leje med en pude under skuldrene, så halsen bliver let hyperekstenderet. Skanning af børn kan eventuelt også udføres med barnet siddende hos en af forældrene. Inden man skanner, er det vigtigt at være bekendt med »knappologien« på det udstyr, man bruger, for at kunne optimere skanningen undervejs. Mindre, mobile UL-apparater er nyttige til klinisk diagnostik, hvor der er behov for svar på et simpelt klinisk spørgsmål, f.eks.: Er der tegn på en absces: ja/nej? Ved UL-undersøgelse af en knude i gl. thyroidea eller til stadieinddeling af kræft er der i stedet behov for et mere high-end UL-skanningsapparat.

Med UL-skanning af hoved og hals kan man ikke sufficient visualisere gl. parotis’ dybe lap og retrofaryngeale lymfeknuder, mens et fuldskæg eller en meget adipøs hals også kan vanskeliggøre UL-diagnostikken. UL-skanning er desuden en meget operatørafhængig undersøgelse, som kræver sufficient uddannelse og eventuelt certificering, før man selvstændigt kan foretage diagnostiske undersøgelser [5, 6].

SYSTEMATISK UL-UNDERSØGELSE AF HOVED OG HALS

Traditionelt anvendes en række standardisererede sweeps for at sikre en systematisk UL-undersøgelse af hoved og hals, se tilhørende video [7] for gennemgang af UL-anatomi og skanningsteknik. Start med at skanne mundbunden fra midtpunktet af mandiblen og ned til os hyoideum i det tranverselle plan. Skan herefter gl. submandibularis igennem i det transverselle og longitudinelle plan og fortsæt til gl. parotis, der også skannes i begge plan. Skan nu ned igennem level 2-4 (Figur 1) med brug af a. carotis communis som orienteringspunkt i det transverselle plan. Skan supraklavikulært til level 5 og følg bagkanten af m. sternocleidomastoideus (SCM) eller forkanten af m. trapezius i det transverselle plan op til mastoidet. Herefter afsluttes UL-undersøgelsen af halsen med en gennemskanning midt på halsen fra os hyoideum ned til gl. thyroidea, som gennemskannes i to plan. Afslut med at skanne level 7 ned til jugulum sterni.

Sidebar placering
Venstrestillet
Billede
Sidebar placering
Venstrestillet

Ved fund af patologi skal størrelse (målt i tre plan), ekkogenicitet (hypo-, iso- og hyperekkoisk), marginer (uskarp afgrænset?), artefakter (profund slagskygge/enhancement) og vaskularitet (Doppleraktivitet) af processen beskrives. Derudover skal den præcise lokalisation og relation til tilstødende strukturer (indvækst, ødem etc.) beskrives og afsluttes med diagnose. Det anbefales, at man også gemmer billeder inklusive piktogram som dokumentation for de diagnostiske fund.

LYMFEKNUDER

Ved skanning af halsen vil der ses multiple normale lymfeknuder som en velafgrænset bønneformet/oval struktur med homogen hypoekkoisk cortex og let hyperekkoisk hilus (Figur 2). UL-skanning af lymfeknuder bruges oftest til diagnosticering af en eventuel abscedering hos børn eller til udelukkelse af malignitet (metastase eller lymfom). Lymfeknudemetastasering ses ofte i bestemte levels af halsen (Figur 1), og kan derfor også bruges til at guide diagnostik af en primærtumor. Fjernmetastaser til lymfeknuder på halsen kan forekomme fra lunger og abdomen og skal især mistænkes ved fund af en malignitetssuspekt lymfeknude i level 5 [8]. Man skal havde mistanke om malignitet ved fund af en forstørret lymfeknude (≥ 8 mm i korteste aksiale mål), rund form (bredde-højde-ratio < 2), manglende hilus, intranodal nekrose, uskarp afgrænsning, perifert flow, kalcificering eller pseudocystisk morfologi [9]. En enkelt af ovenstående karakteristika er ikke specifik for malignitet, men skal indgå i den samlede diagnostik.

Sidebar placering
Venstrestillet
Billede
Sidebar placering
Venstrestillet

Reaktive lymfeknuder kan ses med let forstørret hypoekkoisk oval form med bevaret hilus, men afgrænsningen kan være lidt utydelig pga. periadenitis. Vær opmærksom på, at lymfeknuder i relation til gl. submandibularis naturligt kan have en mere rund form, og at reaktive lymfeknuder hos børn ofte kan blive meget store (> 2 cm i største diameter) [10]. Desuden kan et hyperekkoisk hilus ikke altid visualiseres med B-mode-UL-skanning, hvorfor der i stedet skal tilføjes Doppler for at undersøge vaskulariseringen af hilus. Ved en abscederet lymfeknude er der manglende hilus (hypoekkoisk/anekkoisk center uden flow), hvortil der ofte ses hypervaskularisering af periferien og det omgivende inflammerede væv [11] (Figur 2).

Planocellulære karcinomer udgående fra slimhinderne er den hyppigste hoved-hals-cancer [12]. Metastasering til de regionale lymfeknuder forekommer hyppigt og har betydning for valg af terapi, hvorfor UL-skanning af halsen er vigtig som led i stadieinddeling [9]. Metastaser af planocellulært karcinom ses runde og udtalt hypoekkoiske eller cystisk/nekrotiske med skarp afgrænsning til omkringliggende væv, mens diffus afgrænsning tyder på kapselgennemvækst. Hilus er ofte manglende, og ved Dopplerundersøgelse ses der perifer vaskularisering, men maligne lymfeknuder kan også have samtidigt bevaret hilusvaskularisering [13]. Mikrokalcifikationer ses sjældent ved planocellulært karcinom, og metastase fra et papillært eller medullært thyroideakarcinom skal i stedet overvejes som differentialdiagnose. Lymfom (oftest non-Hodgkin) skal mistænkes ved multiple forstørrede, runde, hypoekkoiske lymfeknuder i level 2-5 og skarp afgrænsning [14].

SPYTKIRTLER

De store spytkirtler udgøres af gl. parotidea, gl. submandibularis og gl. sublingualis og ses som homogene og let hyperekkoiske strukturer sammenlignet med den omkringliggende muskulatur (Figur 3). UL-skanning bruges oftest som led i diagnostikken af palpapel spytkirteltumor eller ved mistanke om spytsten/absces. Pleomorft adenom er en benign tumor, som kan findes i alle spytkirtler og kan undergå malign transformation. Små tumorer ses som en homogen, solid, hypoekkoisk proces med posteriort enhancement og perifer vaskularisering [15] (Figur 3). Store tumorer kan være mere heterogene og have en diffus afgrænsning til det omkringliggende spytkirtelvæv. Warthins tumor udspringer fra lymfoidt væv i gl. parotis [16] og ses som en hypoekkoisk proces med heterogen cystisk-solid opbygning. Mindre tumorer er udelukkende solide og kan ved Dopplerundersøgelse forveksles med lymfeknuder med samme hilusflow [17]. Man bør få mistanke om malign spytkirteltumor ved manglende afgrænsning af tumoren, øget heterogent udseende og eventuel nekrose. Vær opmærksom på, at der ikke findes lymfeknuder i gl. submandibularis, så en tumor i denne lokalisation bør altid vække mistanke om malignitet.

Sidebar placering
Venstrestillet
Billede
Sidebar placering
Venstrestillet

Ved akut parotitis er spytkirtlen unilateral eller bilateral diffus forstørret og inflammeret med eventuelt fund af spytsten/dilaterede spytgange eller absces, afhængig af årsagen til inflammationen [18]. Samme fund kan ses ved sialoadentitis, der oftest afficerer gl. submandibularis ensidigt [19]. Ved Sjøgrens syndrom er der ofte bilateralt involvering af gl. parotis ± involvering af gl. submandibularis med heterogent diffust forstørret parenkym med øget Doppleraktivitet og hypo-/anekkoiske områder indlejret [20].

THYROIDEA

Gl. thyroidea ses kaudalt for cartilago thyroidea med to elongerede lapper forbundet med en tynd isthmus over midten af trachea (Figur 4). Gl. thyroidea-parenkymet ses på UL-skanning fint homogent og hyperekkoisk sammenlignet med den omkringliggende muskulatur. Gll. parathyroideae findes oftest ved øvre og nedre thyroideapol og kan normalt ikke visualiseres med UL-skanning.

Sidebar placering
Venstrestillet
Billede
Sidebar placering
Venstrestillet

Benigne adenomer er meget hyppige i gl. thyroidea, hvorfor UL-skanning heraf anvendes rutinemæssigt som screening [21]. EU-TIRADS-klassifikationssystem indeholder guidelines til selektering af de adenomer, hvor man har behov for yderligere udredning med finålsbiopsi pga. malignitetssuspicio [22]. Overordnet er rene cyster altid benigne, mens et solidt hypoekkoisk adenom i gl. thyroidea er mere malignitetsuspekt end et hyperekkoisk adenom [23]. Desuden øger UL-skanningskarakteristika såsom diffus afgrænsning, mikrokalcificeringer samt højere end bred-konfiguration risikoen for malignitet. Ved Graves’ sygdom og tyroiditis kan der ses diffust forstørret gl. thyroidea samt øget parenkymal Doppleraktivitet [24]. Gll. parathyroidea-adenomer kan oftest visualiseres ved UL-skanning modsat normale kirtler og er kendetegnede ved hypervaskularisering sammenlignet med omkringliggende thyroideavæv.

ØVRIGE UDFYLDNINGER PÅ HALSEN

Hvis der findes en proces, der ikke har relation til thyroidea eller spytkirtler, er det vigtigt at differentiere mellem en cystisk eller en solid proces på UL-skanningsbilleder.

Ved fund af en cystisk proces på halsen kan halscyste, metastatisk lymfeknude, ranula, dermoidcyste samt lymfatisk og venøs malformation alle give et sådant skanningsbillede. Derved er det især den anatomiske placering, der kan hjælpe differentialdiagnostisk: Ranula udgår fra gl. sublingualis [25], dermoidcyste udgår oftest fra midtlinjen af mundbunden [26], mediane halscyster ses oftest i relation til tungebenet, og laterale halscyster er typisk placereret anteromedialt for SCM (level 2) eller lateralt for gl. submandibularis (level 1-2). Laterale halscyster kan ikke sikkert differentieres fra cystisk metastatiske lymfeknuder med UL-skanning, hvorfor der er behov for finnålsaspiration fra cystevæggen for at komme diagnosen nærmere [27]. Lymfatisk malformation har ikke en præcis anatomisk lokalisation og skelnes fra venøs malformation ved, at der typisk kan ses mere flow i processen ved kompression/dekompression, og at den dilateres op ved brug af Vasalvas manøvre. Alle ovenstående nævnte differentialdiagnoser kan også ses inflammeret med eventuel abscesdannelse, hvilket ændrer det ultrasoniske udseende. Generelt er UL-skanning en god undersøgelse til diagnosticering af abscesser på halsen og til diagnostik af peritonsillære abscesser [28, 29].

Mindre hyppige differentialdiagnoser ved en solid proces i den øvre hals er lipom, schwannom (fra vagus eller truncus sympathicus) eller carotis paragangliom. Med UL-skanning kan det ses, om den solide proces har relation til nerve (schwanom) eller kar (carotisparagangliom), da et paragangliom er meget vaskulariseret i forhold til et schwannom [30]. Lipomer ses oftest i level 5 som en hyperekkoisk oval komprimerbar proces med karakteristiske reflektoriske striber.

KONKLUSION

UL-skanning af hoved og hals er et effektivt diagnostisk værktøj, der i stigende grad bruges til klinisk diagnostik. I denne artikel gennemgås udførelsen af systematisk UL-skanning af hoved og hals og relevante diagnoser, der kan stilles ved brug af UL-skanning.



Korrespondance Tobias Todsen. E-mail: tobiastodsen@gmail.com
Antaget 11. januar 2021
Publiceret på ugeskriftet.dk 15. februar 2021
Interessekonflikter ingen. Forfatternes ICMJE-formularer er tilgængelige sammen med artiklen på ugeskriftet.dk
Referencer findes i artiklen publiceret på ugeskriftet.dk
Artikelreference Ugeskr Læger 2021;183:V09200663

Sidebar placering
Venstrestillet
Article type
Journal
Magazine
Section
References

Referencer

  1. McQueen AS, Bhatia KS. Head and neck ultrasound: technical advances, novel applications and the role of elastography. Clin Radiol 2018;73:81-93.

  2. Nolsøe CP, Konge L. Ultralydskanning bør være en del af den objektive undersøgelse. Ugeskr Læger 2019;181:V70555.

  3. Slough CM, Kamani D, Randolph GW. In-office ultrasonographic evaluation of neck masses/thyroid nodules. Otolaryngol Clin North Am 2019;52:559-75.

  4. Moore CL, Copel JA. Point-of-care ultrasonography. N Engl J Med 2011;364:749-57.

  5. Todsen T. Surgeon-performed ultrasonography. Dan Med J 2017;64(11):B5421.

  6. Todsen T, Melchiors J, Charabi B et al. Competency-based assessment in surgeon-performed head and neck ultrasonography: a validity study. Laryngoscope 2018;128:1346-52.

  7. Video demonstration af ultralydsskanning af hoved og hals. https://vimeo.com/456494811. (25. jan 2021).

  8. Ahuja AT, Ying M, Ho SY et al. Ultrasound of malignant cervical lymph nodes. Cancer Imaging 2008;8:48-56.

  9. Norling R, Buron BMD, Therkildsen MH et al. Staging of cervical lymph nodes in oral squamous cell carcinoma: adding ultrasound in clinically lymph node negative patients may improve diagnostic work-up. PLoS ONE 2014;9:e90360.

  10. Papakonstantinou O, Bakantaki A, Paspalaki P et al. High-resolution and color Doppler ultrasonography of cervical lymphadenopathy in children. Acta Radiol 2001;42:470-6.

  11. Thavagnanam S, McLoughlin LM, Hill C et al. Atypical Mycobacterial infections in children: the case for early diagnosis. Ulster Med J 2006;75:192-4.

  12. Larsen CG, Channir HI, Kiss K et al. Udredning af knude på halsen hos voksne. Ugeskr Læger 2015;177:V02150131.

  13. Ahuja AT, Ying M, Ho SS et al. Distribution of intranodal vessels in differentiating benign from metastatic neck nodes. Clin Radiol 2001;56:197-201.

  14. Ying M, Bhatia KSS, Lee YP et al. Review of ultrasonography of malignant neck nodes: greyscale, Doppler, contrast enhancement and elastography. Cancer Imaging 2013;13:658-69.

  15. Rzepakowska A, Osuch-Wójcikiewicz E, Sobol M et al. The differential diagnosis of parotid gland tumors with high-resolution ultrasound in otolaryngological practice. Eur Arch Otorhinolaryngol 2017;274:3231-40.

  16. Limaiem F, Jain P. Warthin tumor. StatPearls Publishing, 2020.

  17. Ryoo I, Suh S, Lee YH et al. Vascular pattern analysis on microvascular sonography for differentiation of pleomorphic adenomas and warthin tumors of salivary glands. J Ultrasound Med 2018;37:613-20.

  18. Orlandi MA, Pistorio V, Guerra PA. Ultrasound in sialadenitis. J Ultrasound 2013;16:3-9.

  19. Huang F, Caton R, Colla J. Point-of-care ultrasound diagnosis of acute sialolithiasis with sialadenitis. Clin Pract Cases Emerg Med 2017;1:437-8.

  20. Jousse-Joulin S, Nowak E, Cornec D et al. Salivary gland ultrasound abnormalities in primary Sjögren's syndrome: consensual US-SG core items definition and reliability. RMD Open 2017;3:e000364.

  21. Hegedüs L. Down-sizing the overzealous search for low-risk thyroid malignancy. Endocrine 2016;52:408-10.

  22. Russ G, Bonnema SJ, Erdogan MF et al. European Thyroid Association guidelines for ultrasound malignancy risk stratification of thyroid nodules in adults: The EU-TIRADS. Eur Thyroid J 2017;6:225-37.

  23. Bennedbæk FN, Bonnema SJ. Nye kriterier for risikostratificering af knuder i glandula thyroidea baseret på ultralydskanning. Ugeskr Læger 2019;181:V07180472.

  24. Hegedus L. Thyroid ultrasound. Endocrinol Metab Clin North Am 2001;30:339-60.

  25. Jain P, Jain R. Types of sublingual gland herniation observed during sonography of plunging ranulas. J Ultrasound Med 2014;33:1491-7.

  26. Bansal AG, Oudsema R, Masseaux JA et al. US of pediatric superficial masses of the head and neck. Radiographics 2018;38:1239-63.

  27. Białek EJ, Jakubowski W. Mistakes in ultrasound diagnosis of superficial lymph nodes. J Ultrason 2017;17:59-65.

  28. Todsen T, Stage MG, Holst Hahn C. A novel technique for intraoral ultrasound-guided aspiration of peritonsillar abscess. Diagnostics (Basel) 2018;8:50.

  29. Costantino TG, Satz WA, Dehnkamp W, Goett H. Randomized trial comparing intraoral ultrasound to landmark-based needle aspiration in patients with suspected peritonsillar abscess. Acad Emerg Med 2012;19:626-31.

  30. Stoeckli SJ, Schuknecht B, Alkadhi H et al. Evaluation of paragangliomas presenting as a cervical mass on color-coded Doppler sonography. Laryngoscope Investig Otolaryngol 2002;112:143-6.

Woodwing Id
39923
Fil
Conflict of interest
English title
Head and neck ultrasound examination
English summary

Tobias Todsen, Jacob Melchiors, Kasper Daugaard Larsen, Birgitte Charabi & Christian von Buchwald

Ugeskr Læger 2021;183:V09200663

Head and neck ultrasound examination is increasingly used as point-of-care imaging among clinicians from different specialities to improve the diagnostic workup and perform ultrasound-guided interventions. Ultrasound can provide immediate information about morphology and anatomic relation of lumps and bumps of the neck and guide treatment of various lesions varying from patients with putative head and neck cancer to patients with acute neck abscess. This review describes the principles of a systematic head and neck ultrasound examination and the most common pathologies diagnoses with benefit by ultrasound.

Authors workplaces

1) Afdeling for Øre-Næse-Halskirurgi og Audiologi, Rigshospitalet, 2) Copenhagen Academy for Medical Education and Simulation, Rigshospitalet

Ugeskr Læger 2021;183:V09200663

Bib ref
UgeskrLæger 2020;182:V09200663
Article number
V09200663
Authors

Tobias Todsen1, 2, Jacob Melchiors1, Kasper Daugaard Larsen1, Birgitte Charabi1 & Christian von Buchwald1

0 likes