Medlem i

13 years 1 month
Indholdselementer
Billede
Sidebar placering
Venstrestillet
Billede
Sidebar placering
Venstrestillet
Billede
Sidebar placering
Venstrestillet
Billede
Sidebar placering
Venstrestillet
Billede
Sidebar placering
Venstrestillet
Billede
Sidebar placering
Venstrestillet
Billede
Sidebar placering
Venstrestillet
Billede
Sidebar placering
Venstrestillet
Billede
Sidebar placering
Venstrestillet
Billede
Sidebar placering
Venstrestillet
Billede
Sidebar placering
Venstrestillet


UL-diagnostik har for længst vundet indpas i en række medicinske specialer, hvor den kliniske undersøgelse rutinemæssigt støttes af en samtidig billeddiagnostisk vurdering. Mulighederne for at udnytte UL-diagnostik inden for reumatologien er først senere blevet erkendt, men er vokset støt i de senere år. Et udbredt kendskab til UL-diagnostikkens muligheder og begrænsninger er essentielt, hvis teknikken skal fremstå som »reumatologens forlængede finger«. I denne artikel belyses den nuværende brug af reumatologisk gråtoneultralyd som diagnostisk og interventionelt redskab.

UL-diagnostik har for længst vundet indpas i en række medicinske specialer pga. den fleksibilitet, hvormed den kliniske undersøgelse rutinemæssigt støttes af en samtidig billeddiagnostisk vurdering [1, 2]. Selv om dette i høj grad kan udnyttes inden for mange af bevægeapparatets sygdomme, er UL-diagnostik først nu ved at blive etableret som hjælpemiddel i det reumatologiske speciale [3, 4], et interesseområde, der tidligere har været forbeholdt radiologien [5, 6]. Ud over de diagnostiske perspektiver er det især muligheden for mere præcise lokalbehandlinger ved UL-vejledte punkturer og injektioner, der er interessante for reumatologien.

I denne oversigt beskrives muligheder og begrænsninger på de områder inden for den reumatologiske dagligdag, hvor UL-gråtoneundersøgelse kan give diagnostik og behandling en billedmæssig underbygning.

Gråtoneultralyd

Lyd reflekteres ikke ved passage gennem homogene substanser, og væskefyldte hulrum fremtræder oftest sorte eller mørke på UL-billeder. Derfor er den konventionelle UL-undersøgelse velegnet til at påvise væskeansamlinger eller f.eks. ødematøse væv, herunder synovialis, som netop karakteriserer lokale forandringer ved mange reumatologiske sygdomme. UL-undersøgelse er derudover en i radiologien etableret metode til undersøgelse af kontinuitet og sammensætning af tendinøse strukturer og kan derfor give væsentlige oplysninger om skader på traumatisk eller inflammatorisk basis [7]. Endelig kan UL-undersøgelse i reumatologisk sammenhæng i et vist omfang anvendes til karakterisering af knogleoverflader, der er tilgængelige for undersøgelse, dvs. vender ud mod en legemsoverflade [8].

UL-undersøgelse anvendes i reumatologien på forskellig indikation, og det er ofte diagnostik i og omkring led, der har størst interesse (Tabel 1 ). Den normale synovialis ses som en tynd, ekkofattig bræmme over et led, mens synovit ofte kan erkendes som en yderligere fortykkelse af denne struktur og derved skelnes fra ledbrusken [9].

Brugen af ultralyd fører i visse tilfælde til en ændret praksis, hvor der f.eks. nu udføres ledpunktur i knæled i stedet for den vanlige adgang, hvis væsken kan ses ved skanning, hvad enten den findes over ledlinjer eller i recessus suprapatellaris. Påvisningen af ekssudater har oplagte terapeutiske konsekvenser, idet udtømning kan medføre en øjeblikkelig lindring for patienten, og selve punkturen af og injektionen i tilgængelige led, bursae m.m. i princippet er enkel. Tilsyneladende er sikkerheden ved palpationsvejledte procedurer imidlertid begrænset [20], og om end der ikke er fuld enighed om omfanget af problemerne, vil alle uanset træning opleve en vis procentdel »forbiere« [21]. Tømning af væskefyldte hulrum er derfor en almindelig indikation for reumatologisk UL-skanning, som minimerer risikoen for fejlplaceret nål ved samtidig monitorering af både indstikket og selve udtømningen.

Med ultralyd følger man uden problemer nålevandringen i selv dybere væv, og med anvendelse af luft-kontrast kan injektioner f.eks. gives med stor træfsikkerhed i hofteleddet [17, 22], som man hidtil i almindelighed er veget tilbage fra at behandle pga. besværet med indgreb under røntgengennemlysning.

Når den undersøgte struktur er større end UL-billedet, typisk mellem 3 cm og 5 cm bredt, kan der på visse maskiner anvendes panoramafunktion til fremstilling af brede billeder: Lydhovedet føres i billedplanets retning hen over området, og UL-apparatet fletter den optagne sekvens [ca. 21-24 billeder pr. sekund) til et bredt stillbillede (Fig. 1 ).

Led

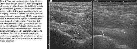
Synovialis' forhold omkring de fleste perifere og overfladenære led kan vurderes med ultralyd. Ved artrit og i mange tilfælde af artrose ses en tydelig hypertrofi af synovialis. De enkelte led har karakteristiske områder med en sådan hævelse af synovialis. Således vil synovialis over finger- eller tåled pose ud i omgivelserne over strækflader, formodentlig afhængig af mulighederne for udvidelse (Fig. 2 ). Ud over selve den hypertrofiske synovialis kan væskeansamlinger i mange tilfælde identificeres som ekkotomme strøg (Figur 2). Ganske svarende til den kliniske erfaring ses væskedannelsen mest udtalt i knæled, hvor fordelingen af ansamling i den suprapatellare reces og over ledlinjer kan afklares med UL-skanning. I hofteregionen kan man ved UL-skanning afsløre en fortykket synovialis, mens tilstedeværelsen af eventuel væskeansamling ofte først vil kunne afgøres i forbindelse med selve punkturen (Fig. 3 ). I disse led kan UL-vejledt aspiratio n give materiale til bakteriologisk differentialdiagnostik.

Baker-cyster og tilsvarende hernierende strukturer er overvejende lokaliseret omkring knæ, men findes også omkring albuer med forskellige dissektionsretninger i forhold til leddene (Fig. 4 ). Ultralyd anvendes bl.a., når nålens placering ved ledinjektioner og under tømning af disse cyster skal bestemmes, og ultralyd anvendes også til styring af en evt. ændring af nålebeliggenheden for at undgå tilstopning af lumen pga. indsugning af debris, septa eller ledkapslen (Figur 4). Forbindelsen fra cysterne ind til leddet ses kun i få tilfælde klart.

UL-undersøgelse af knogleoverflader er kun mulig på »fritliggende« partier af knoglen, der muliggør lydbølgernes vandring dertil. De erosive knogleforandringer, der kan ses på UL-billeder, er tydelige på tilgængelige knogleoverflader, hvor de påvises med stor sensitivitet og formentlig oftest, inden forandringerne kan ses på røntgenbilleder [23]. Uregelmæssige ledflader og randudbygninger i store led (knæ og hofte) kan således afbildes i et vist omfang (Figur 3), og erosioner i fingerled påvises (Fig. 5 ). I Tabel 1 vises et resume af indikationerne for UL-undersøgelse af de enkelte led.

I de små perifere led kan man med ultralyd med en høj MHz (> 10 MHz) let afsløre hypertrofi af synovialis og ansamling i leddet (Figur 1) [24], og erosioner kan påvises med god sensitivitet på de tilgængelige overflader [6, 10].

I knæled er der ligeledes gode muligheder for at undersøge for synovialishypertrofi, og man kan skelne ekssudater fra synovialisvæv [25]. En samtidig skanning af knæet bagpå afslører i talrige tilfælde Baker-cyster, som ofte går upåagtet hen ved en ren klinisk undersøgelse [26] (Figur 2). Differentialdiagnosen mellem dyb venøst tromboflebit og rumperet Baker-cyste er mulig med UL-skanning, og denne undersøgelse kan anbefales som rutine ved akutte smerter i læggen [27]. UL-skanning af menisker, korsbånd og forhold omkring brusk er mulig; men da ultralyd ikke kan passere knoglevæv, er man oftest udelukket fra at gennemse de relevante strukturer, og metoderne kan derfor næppe anbefales til anvendelse i daglig klinik [4, 28-30].

I skulderleddet kan UL-skanning med fordel anvendes ved undersøgelse af leddets omgivelser, herunder rotatorcuffen [31]. Derimod er selve ledhulen i glenohumeralleddet ikke tilgængelig for UL-undersøgelse. Kun særlig kyndige vil kunne benytte UL-skanning til diagnostik af labrumafsprængninger [5].

Hofteleddet kan også med stor nøjagtighed ses med hensyn til synovialis- og overfladeforhold fortil [16].

Sternoklavikulærleddet kan være afficeret ved både degenerative og inflammatoriske lidelser og ligger ganske som de små perifere led lige tilgængeligt for undersøgelse [32]. Også her vil UL-vejledt aspiration af effusion give mulighed for bakteriologisk differentialdiagnostik.

Derimod kan ultralyd ikke anvendes til undersøgelse af ryggens led, hverken i selve columna eller i sakroiliakale led. Det er ganske vist muligt visuelt at erkende de nederste disci ved transabdominal skanning [19], men den store dybde stiller store krav til både maskine og undersøger, og sensitivitet og specificitet af denne undersøgelse er ikke afklaret.

Sener og seneskeder

Skader eller inflammation i sener er ledsaget af ændringer i fiberstrukturen og/eller af ødem og hæmatom, hvilket gør UL-diagnostik til et vigtigt redskab i udredningen af senenære smertetilstande, f.eks. hos sportsfolk [33, 14].

Senernes struktur skal ved UL-undersøgelse vurderes i både tvær- og længdesnit. Ved mistanke om inflammation og/eller skader i de store sener f.eks. akilles- og quadricepssenerne fokuseres der på forekomst af granulomdannelse og hel eller partiel ruptur (Fig. 6 og Fig. 7 ).

Inflammation omkring sener ved tenosynovit fremstår på gråtonebilledet som en relativt ekkofattig struktur med uregelmæssigt fordelt synovialisvæv og områder med væskeansamling. En påvisning af disse forandringer kan lede direkte over i behandling, og på Fig. 8 ses en tenosynovit med nål placeret i seneskeden lige over selve senen. I mere kroniske tilfælde forekommer der i seneskeder ofte ekkoer fra vævsrester, der ligesom ganglier kan give et meget uensartet skanningsbillede. I skulderen kan kalkansamling, defekter eller ruptur i supraspinatussenen diagnosticeres.

Dynamisk UL-undersøgelse gør det muligt at skanne efter abnormiteter under samtidig bevægelse. Denne egenskab er unik i billeddiagnostisk sammenhæng, og ultralyd supplerer således på væsentlig vis røntgen og MR. Som eksempler herpå kan man følge supraspinatussenen under en abduktion for at diagnosticere evt. impingement, dvs. at tuberculum majus ikke glider ind under acromion ved abduktion af skulderen (Fig. 9 ), eller man kan følge den atypiske bevægelse af den fortykkede sene under seneskeden ved en springfinger.

Også mere usædvanlige diagnoser som luksation af bicepssenen kan stilles på baggrund af UL-undersøgelse (Fig. 10 ).

Begrænsningen i UL-undersøgelses anvendelighed i reumatologien

UL-diagnostik er som anført afhængig af ændringer i vævssammensætning og -struktur, for at man kan lokalisere forandringer i vævet. Doppler-undersøgelsen er ydermere afhængig af ændret gennemblødning. Der er således kun kasuistiske meddelelser om påvisning af muskelforandringer med UL-diagnostik [34]. Man må erkende, at brugen af ultralyd i hvert fald ikke endnu har kunnet løse opgaven med billeddiagnostisk verifikation af disse bløddelsskader, idet selv palpatorisk oplagte myoser ikke modsvares af en ændring på UL-billedet.

Diskussion

Det vil endnu kun være et begrænset antal diagnostikere, der mestrer ultralyd tilstrækkelig godt til at kunne anvende metoden på alle muskuloskelettale områder. UL-undersøgelse er en udpræget observatørafhængig undersøgelse, som med de mange nuancer af gråtoner kræver en betydelig erfaring og et nøje kendskab til de anatomiske strukturer. Derimod er f.eks. diagnostikken af væske så simpel, at enhver læge i fase 3-uddannelsen i reumatologi vil kunne tilegne sig denne færdighed vedr. de gængse led, bursae og seneskeder. Der bliver i Danmark givet omkring 500.000 injektioner af depotglukokortikosteroid årlig, og man må formode, at en meget væsentlig del af disse behandlinger gives på indikationen lokal inflammation. Injektionsbehandlinger har fundet udbredt anvendelse inden for de inflammatoriske ledsygdomme [13], men også andre lokale inflammationer kan effektivt behandles på denne måde [35]. Mange af disse injektioner gives i områder, hvor dokumentation af placeringen vil være af betydning; og dette kan i praksis kun ske ved at give injektionerne vejledt af ultralyd.

Med forbehold for lokale muligheder og prioriteringer burde UL-diagnostik derfor være et af de naturlige tilbud til patienterne i det reumatologiske ambulatorium [6]. Fordelene er oplagte i forbindelse med indgreb som f.eks. injektioner eller artrocenteser, hvor tidsbestilling og logistik vil begrænse anvendelsen, hvis patienten skal henvises til en anden afdeling. Kravene til de billeddiagnostiske specialafdelinger er samtidig så omfattende, at der selv her vil være mangel på billeddiagnostikere med speciel interesse for og uddannelse inden for UL-diagnostik af bevægeapparatet.

På flere lidt større danske reumatologiske afdelinger anvendes ultralyd allerede nu rutinemæssigt. Fra de internationale reumatologiske organisationer anbefales uddannelse i UL-diagnostik [36], og der er gode muligheder for kurser i bevægeapparatets UL-diagnostik både i Danmark og i udlandet. Mulighederne for at benytte UL-diagnostik skal dog forbedres væsentligt. I en spørgeskemaundersøgelse blandt danske reumatologiske afdelinger har 80% anført, at de mangler UL-apparatur til dette formål. Med et stigende krav om evidensbaserede indgreb vil det være nødvendigt at rette op på netop den manglende adgang til UL-vejledt behandling af bl.a. gigtpatienter. Man vil formentlig i fremtiden se en subspecialisering, hvor mere avanceret diagnostik og behandling sker på enkelte reumatologiske enheder med særlig interesse derfor, mens de fleste afdelinger på større sygehuse vil benytte ultralyd til vejledning af simple indgreb.

Reumatologisk gråtoneultralyd er et udviklingsområde, hvor der fortsat skabes ny teknologi med bedre gengivelse af dybereliggende strukturer. Transabdominal UL-skanning af diskus er således en endnu ikke fuldt udforsket mulighed [19].

Den endelige validering af UL-skanningens muligheder ved diagnostik af sygdomme i bevægeapparatet vil være en betydende opgave for de forskningsaktive reumatologiske afdelinger i de kommende år.

Konklusion

Gråtoneultralyd kan give en god bedømmelse af de fleste perifere led, hvor den muliggør en beskrivelse af synovialis' forhold, både med hensyn til tykkelse og udbredelse. Undersøgelsen kan i de fleste tilfælde skelne mellem væske og væv i både præformerede hulrum som led og seneskeder og i Baker-cyster og andre tilsvarende hernierende strukturer omkring led. I forlængelse af denne diagnostik kan ultralyd bruges til vejledning for en punktur med udtømmelse af væsken og evt. injektion af medicin.

UL-undersøgelsen af knogleoverflader kan foretages på tilgængelige dele af knoglerne, hvor der kan påvises randudbygninger og erosioner. Sener kan vurderes mhp. defekter, granulomdannelse eller kalkansamling, idet dynamiske optagelser giver værdifulde oplysninger om funktionelle defekter.

Gråtone-UL-skanning kan supplere den kliniske undersøgelse på væsentlige områder ved udredning og behandling af reumatologiske sygdomme omkring led og sener. UL-skanning anbefales som rutinemæssig undersøgelse ved punkturer i vanskeligt tilgængelige områder, og det anbefales, at reumatologiske afdelinger udbygger mulighederne for UL-undersøgelser i hverdagen.


Henning Bliddal, Parker Instituttet, H:S Frederiksberg Hospital, DK-2000 Frederiksberg. E-mail: henning.bliddal@fh.hosp.dk

Antaget: 29. juli 2003

Interessekonflikt: Ingen angivet

Taksigelse: Oak Foundation takkes for økonomisk støtte.


  1. Egeblad H. Ekkokardiografi i klinisk praksis. Ugeskr Læger 1995;157:4439.
  2. Larsen T, Larsen JF. Uddannelse i gynækologisk-obsetrisk ultralyddiagnostik. Ugeskr Læger 1996;158:2718-9.
  3. Balint PV, Kane D, Sturrock RD. Modern patient management in rheumatology: interventional musculoskeletal ultrasonography. Osteoarthritis Cartilage 2001;9:509-11.
  4. Larsen LPS, Rasmussen OS. Diagnosis of acute rupture of the anterior cruciate ligament of the knee by sonography. Eur J Ultrasound 2000;12:163-7.
  5. Schydlowsky P, Strandberg C, Galbo H et al. The value of ultrasonography in the diagnosis of labral lesions in patients with anterior shoulder dislocation. Eur J Ultrasound 1998;8:107-13.
  6. Backhaus M, Burmester GR, Gerber T et al. Guidelines for musculoskeletal ultrasound in rheumatology. Ann Rheum Dis 2001;60:641-9.
  7. Gibbon WW, Cooper JR, Radcliffe GS. Distribution of sonographically detected tendon abnormalities in patients with a clinical diagnosis of chronic achilles tendinosis. J Clin Ultrasound 2000;28:61-6.
  8. Grassi W, Filippucci E, Farina A et al. Ultrasonography in the evaluation of bone erosions. Ann Rheum Dis 2001;60:98-103.
  9. Grassi W, Tittarelli E, Pirani O et al. Ultrasound examination of metacarpophalangeal joints in rheumatoid arthritis. Scand J Rheumatol 1993;22:243-7.
  10. Backhaus M, Kamradt T, Sandrock D et al. Arthritis of the finger joints: a comprehensive approach comparing conventional radiography, scintigraphy, ultrasound, and contrast-enhanced magnetic resonance imaging. Arthritis Rheum 1999;42:1232-45.
  11. Koski JM. Ultrasonography in detection of effusion in the radiocarpal and midcarpal joints. Scand J Rheumatol 1992;21:79-81.
  12. Koski JM. Ultrasonography of the subtalar and midtarsal joints. J Rheumatol 1993;20:1753-5.
  13. Østergaard M, Halberg P. Intraartikulær injektion af glukokortikoider ved ledsygdomme. Ugeskr Læger 1999;161:582-6.
  14. Terslev L, Qvistgaard E, Torp-Pedersen S et al. Ultrasound and Power Doppler findings in jumper's knee - preliminary observations. Eur J Ultrasound 2001; 13:183-9.
  15. Gibbon WW, Wakefield RJ. Ultrasound in inflammatory disease. Radiol Clin North Am 1999;37:633-51.
  16. Cho KH, Park BH, Yeon KM. Ultrasound of the adult hip. Semin Ultrasound CT MR 2000;21:214-30.
  17. Qvistgaard E, Kristoffersen H, Terslev L et al. Guidance by ultrasound of intra-articular injections in the knee and hip joints. Osteoarthritis Cartilage 2001;9:512-7.
  18. Rasmussen OS. Sonography of tendons. Scand J Med Sci Sports 2000;10: 360-4.
  19. Jerosch J, Strauss JM, Castro WH et al. Sonographische Diagnostik des lumbalen Bandscheibenvorfalles - eine klinisch relevante Methode? Ultraschall Med 1992;13:187-92.
  20. Jones A, Regan M, Ledingham J et al. Importance of placement of intra-articular steroid injections. BMJ 1993;307:1329-30.
  21. Bliddal H. Placement of intra-articular injections verified by mini air-arthrography. Ann Rheum Dis 1999;58:641-3.
  22. Qvistgaard E, Torp-Pedersen S, Bliddal H. Luft: et velegnet kontrastmiddel til brug ved muskuloskelettal UL-diagnostik. Ugeskr Læger 2004;166:375-7.
  23. Wakefield RJ, Gibbon WW, Conaghan PG et al. The value of sonography in the detection of bone erosions in patients with rheumatoid arthritis: a comparison with conventional radiography. Arthritis Rheum 2000;43:2762-70.
  24. Koski JM, Hermunen H. Intra-articular glucocorticoid treatment of the rheumatoid wrist. Scand J Rheumatol 2001;30:268-70.
  25. Ostergaard M, Court-Payen, Gideon P et al. Ultrasonography in arthritis of the knee. Acta Radiol 1995;36:19-26.
  26. Andonopoulos AP, Yarmenitis S, Sfountouris H et al. Baker's cyst in rheumatoid arthritis: an ultrasonographic study with a high resolution technique. Clin Exp Rheumatol 1995;13:633-6.
  27. Volteas SK, Labropoulos N, Leon M et al. In
Sidebar placering
Venstrestillet
Article type
Journal
Magazine
Section
References

<ol class="Litt-list">
<li>Egeblad H. Ekkokardiografi i klinisk praksis. Ugeskr Læger 1995;157:4439.</li>
<li>Larsen T, Larsen JF. Uddannelse i gynækologisk-obsetrisk ultralyddiagnostik. Ugeskr Læger 1996;158:2718-9.</li>
<li>Balint PV, Kane D, Sturrock RD. Modern patient management in rheumatology: interventional musculoskeletal ultrasonography. Osteoarthritis Cartilage 2001;9:509-11.</li>
<li>Larsen LPS, Rasmussen OS. Diagnosis of acute rupture of the anterior cruciate ligament of the knee by sonography. Eur J Ultrasound 2000;12:163-7.</li>
<li>Schydlowsky P, Strandberg C, Galbo H et al. The value of ultrasonography in the diagnosis of labral lesions in patients with anterior shoulder dislocation. Eur J Ultrasound 1998;8:107-13.</li>
<li>Backhaus M, Burmester GR, Gerber T et al. Guidelines for musculoskeletal ultrasound in rheumatology. Ann Rheum Dis 2001;60:641-9.</li>
<li>Gibbon WW, Cooper JR, Radcliffe GS. Distribution of sonographically detected tendon abnormalities in patients with a clinical diagnosis of chronic achilles tendinosis. J Clin Ultrasound 2000;28:61-6.</li>
<li>Grassi W, Filippucci E, Farina A et al. Ultrasonography in the evaluation of bone erosions. Ann Rheum Dis 2001;60:98-103.</li>
<li>Grassi W, Tittarelli E, Pirani O et al. Ultrasound examination of metacarpophalangeal joints in rheumatoid arthritis. Scand J Rheumatol 1993;22:243-7.</li>
<li>Backhaus M, Kamradt T, Sandrock D et al. Arthritis of the finger joints: a comprehensive approach comparing conventional radiography, scintigraphy, ultrasound, and contrast-enhanced magnetic resonance imaging. Arthritis Rheum 1999;42:1232-45.</li>
<li>Koski JM. Ultrasonography in detection of effusion in the radiocarpal and midcarpal joints. Scand J Rheumatol 1992;21:79-81.</li>
<li>Koski JM. Ultrasonography of the subtalar and midtarsal joints. J Rheumatol 1993;20:1753-5.</li>
<li>Østergaard M, Halberg P. Intraartikulær injektion af glukokortikoider ved ledsygdomme. Ugeskr Læger 1999;161:582-6.</li>
<li>Terslev L, Qvistgaard E, Torp-Pedersen S et al. Ultrasound and Power Doppler findings in jumper's knee - preliminary observations. Eur J Ultrasound 2001; 13:183-9.</li>
<li>Gibbon WW, Wakefield RJ. Ultrasound in inflammatory disease. Radiol Clin North Am 1999;37:633-51.</li>
<li>Cho KH, Park BH, Yeon KM. Ultrasound of the adult hip. Semin Ultrasound CT MR 2000;21:214-30.</li>
<li>Qvistgaard E, Kristoffersen H, Terslev L et al. Guidance by ultrasound of intra-articular injections in the knee and hip joints. Osteoarthritis Cartilage 2001;9:512-7.</li>
<li>Rasmussen OS. Sonography of tendons. Scand J Med Sci Sports 2000;10: 360-4.</li>
<li>Jerosch J, Strauss JM, Castro WH et al. Sonographische Diagnostik des lumbalen Bandscheibenvorfalles - eine klinisch relevante Methode? Ultraschall Med 1992;13:187-92.</li>
<li>Jones A, Regan M, Ledingham J et al. Importance of placement of intra-articular steroid injections. BMJ 1993;307:1329-30.</li>
<li>Bliddal H. Placement of intra-articular injections verified by mini air-arthrography. Ann Rheum Dis 1999;58:641-3.</li>
<li>Qvistgaard E, Torp-Pedersen S, Bliddal H. Luft: et velegnet kontrastmiddel til brug ved muskuloskelettal UL-diagnostik. Ugeskr Læger 2004;166:375-7.</li>
<li>Wakefield RJ, Gibbon WW, Conaghan PG et al. The value of sonography in the detection of bone erosions in patients with rheumatoid arthritis: a comparison with conventional radiography. Arthritis Rheum 2000;43:2762-70.</li>
<li>Koski JM, Hermunen H. Intra-articular glucocorticoid treatment of the rheumatoid wrist. Scand J Rheumatol 2001;30:268-70.</li>
<li>Ostergaard M, Court-Payen, Gideon P et al. Ultrasonography in arthritis of the knee. Acta Radiol 1995;36:19-26.</li>
<li>Andonopoulos AP, Yarmenitis S, Sfountouris H et al. Baker's cyst in rheumatoid arthritis: an ultrasonographic study with a high resolution technique. Clin Exp Rheumatol 1995;13:633-6.</li>
<li>Volteas SK, Labropoulos N, Leon M et al. Incidence of ruptured Baker's cyst among patients with symptoms of deep vein thrombosis. Br J Surg 1997;84: 342.</li>
<li>Adam C, Eckstein F, Milz S et al. The distribution of cartilage thickness in the knee-joints of old-aged individuals - measurement by A-mode ultrasound. Clin Biomech (Bristol, Avon ) 1998;13:1-10.</li>
<li>Von Eisenhart R, Adam C, Steinlechner M et al. Quantitative determination of joint incongruity and pressure distribution during simulated gait and cartilage thickness in the human hip joint. J Orthop Res 1999;17:532-9.</li>
<li>Grobbelaar N, Bouffard JA. Sonography of the knee, a pictorial review. Semin Ultrasound CT MR 2000;21:231-74.</li>
<li>Allen GM, Wilson DJ. Ultrasound of the shoulder. Eur J Ultrasound 2001;14: 3-9.</li>
<li>Mahlfeld A, Merk H, Franke J et al. Sonographische Diagnostik am Sternoklavikulargelenk. Ultraschall Med 1999;20:74-7.</li>
<li>Huang HH, Qureshi AA, Biundo JJ Jr. Sports and other soft tissue injuries, tendinitis, bursitis, and occupation-related syndromes. Curr Opin Rheumatol 2000;12:150-4.</li>
<li>Gerwin RD, Duranleau D. Ultrasound identification of the myofacial trigger point. Muscle Nerve 1997;20:767-8.</li>
<li>Grassi W, Farina A, Filippucci E et al. Sonographically guided procedures in rheumatology. Semin Arthritis Rheum 2001;30:347-53.</li>
<li>Fraser A, Veale DJ. What practical skills do rheumatologists of the future need? Baillieres Best Pract Res Clin Rheumatol 2000;14:635-48.</li>
</ol>

Woodwing Id
260149
Fil
English summary

Summary Diagnosis by ultrasonography in rheumatological illnesses Ugeskr L&aelig;ger 20004;166:351-357 Ultrasound (US) has gained general use in several medical specialties in which the physical examination is supplemented on a routine basis by imaging. The possible applications of US within rheumatology have been acknowledged relatively recently. However, the use of US within rheumatology has been increasing over the last few years. General knowledge of the possibilities and limitations of US is essential if the technique is to evolve into "the extended finger of the rheumatologist". This paper reviews the current use of grayscale US as a diagnostic and interventional tool for the rheumatologist.

Bib ref
Ugeskr Læger 2004;166(05):351-357
Authors

Klinisk assistent Etienne Qvistgaard, reservelæge Lene Terslev, professor Henning Bliddal & overlæge Søren Torp-Pedersen H:S Frederiksberg Hospital, Parker Instituttet

0 likes
Read time
16