Medlem i

12 years 10 months
Indholdselementer

Galdestase, eller kolestase er en relativt hyppig tilstand, som defineres ved, at leverens evne til at udskille galde er nedsat. Årsager til galdestase spænder fra hepatocellulær sygdom til mekanisk ofte ekstrahepatisk obstruktion af galdeafløbet, oftest forårsaget af galdesten, malign sygdom i lever og pancreas, metastaserende sygdom, og også benigne strikturer i galdetræet (Tabel 1). Kolestase leder til ophobning af galde i blodet og hepatocytterne, hvilket har en hepatotoksisk og proinflammatorisk effekt i leveren. Galden består hovedsageligt af galdesyrer og affaldsprodukter, herunder bilirubin, som udskilles via leveren. Hyperbilirubinæmi viser sig klinisk som gulfarvning af hud og sclerae (ikterus), mens ophobning af galdesyrer leder til hudkløe. Endvidere leder nedsat udskillelse af galde til malabsorption af fedt og fedtopløselige vitaminer [3].

Sidebar placering
Venstrestillet
Hovedbudskaber
  • Obstruktiv galdestase defineres som mekanisk obstruktion af galdeafløbet.

  • Galdesten er den hyppigste årsag til obstruktiv galdestase.

  • Trinvis brug af diagnostiske modaliteter startende fra den mest omkostningseffektive og mindst invasive minimerer komplikationer og sikrer effektiv brug af ressourcer.

Ombryd tekst
0
Brødtekst
  • Obstruktiv galdestase defineres som mekanisk obstruktion af galdeafløbet.

  • Galdesten er den hyppigste årsag til obstruktiv galdestase.

  • Trinvis brug af diagnostiske modaliteter startende fra den mest omkostningseffektive og mindst invasive minimerer komplikationer og sikrer effektiv brug af ressourcer.

Billede
Sidebar placering
Venstrestillet

I et amerikansk retrospektivt studie fandt man, at 326 (45%) af 732 patienter med akut opstået ikterus havde en underliggende sygdom af ekstrahepatisk ætiologi. Choledochussten er den mest almindelige mekaniske årsag til galdeobstruktion og udgør 31% af alle nye tilfælde [1, 2]. Malign sygdom står for 14% af nye tilfælde af ikterus, og den hyppigste årsag er kræft i caput pancreatis [1, 4]. Andre årsager til galdestase er strikturer forårsaget af iatrogene skader på galdeveje, kronisk pankreatitis og primær skleroserende kolangitis [5]. Metodisk vurdering af anamnese, biokemi, noninvasiv såvel som invasiv billeddiagnostik samt terapeutisk intervention er essentiel for at undgå komplikationer, minimere omkostninger og sikre effektive behandlingsforløb for patienter. I denne artikel har vi valgt at fokusere på mekaniske årsager med præsentation af en algoritme til diagnosticering og behandling af obstruktiv galdestase.

ANAMNESE OG KLINIK

Præsentationen af symptomer ved galdestase er forskellig ved akut og kronisk eller malign sygdom. Hepatocellulær sygdom adskilles fra galdevejssygdom og mekanisk galdestase. Kolikagtige, anfaldsvise smerter under højre kurvatur samt palpationsømhed taler for galdestenssygdom. I forbindelse med infektion må man have formodning om kolecystitis eller mere sjældent, kolangitis. Snigende udvikling af symptomer, palpable processer i leverlejet, med eller uden ømhed og sammen med B-symptomer tyder mere på malignitet. Hyperbilirubinæmi samt forhøjelse af basisk fosfatase- og gamma-glutamyltransferase (GGT)-niveauerne er kendetegnende for biliær dysfunktion. Gulfarvning af hud og sclerae ses først ved et hyperbilirubinæminiveau over ca. 50 µmol/l [6]. Hepatocellulær sygdom kan også manifestere sig med et beskedent kolestatisk mønster i form af let forhøjede niveauer af basisk fosfatase, bilirubin og gamma-GGT samtidig med overvejende forhøjede niveauer af transaminaser. Forhøjede niveauer af bilirubin og basisk fosfatase mere end tre gange referenceværdien sammen med normale eller let forhøjede niveauer af transaminaser taler stærkt for obstruktiv galdestase (Figur 1). Påvirket udskillelse af bilirubin er dog ikke obligat for en tilstand af galdestase, og niveauerne af basisk fosfatase og GGT er mere følsomme som markører for galdestase. Forhøjede niveauer af basisk fosfatase eller bilirubin er heller ikke nødvendigvis leverspecifikke. I tilfælde af diagnostiske vanskeligheder med at identificere årsagen til forhøjet niveau af basisk fosfatase bør der suppleres med gamma-GGT-måling og evt. måling af fraktioneret basisk fosfatase for at indsnævre diagnostikken yderligere. Tumormarkører som f.eks. karcinoembryonalt antigen, cancerantigen (CA)-19-9 og CA125 er ofte forhøjede ved både benign og malign biliær obstruktion og således ikke velegnede til differentialdiagnostik i de tidlige stadier [1, 7-9].

Sidebar placering
Venstrestillet
Billede
Sidebar placering
Venstrestillet

BILLEDDIAGNOSTIK

Ved mistanke om galdevejsobstruktion er UL-skanning af øvre abdomen oftest førstevalg i udredningen. UL-skanning har en sensitivitet på ca. 90% til påvisning af dilaterede galdeveje (Tabel 2). I nogle tilfælde kan ductus choledochus ikke visualiseres i sin helhed, hvorfor sensitiviteten for choledochussten og strikturer er lav. CT bruges normalt ikke til udredning af stensygdom, fordi mange konkrementer ikke er røntgenfaste, og fordi man ønsker at undgå at udsætte patienten for stråling. Ved mistanke om malignitet benyttes CT dog oftest tidligt til diagnostik af pancreaskræft og kolangiokarcinom samt levermetastaser med høj sensitivitet og specificitet. I tilfælde af inkonklusive resultater af UL-skanning, men fortsat høj klinisk og biokemisk mistanke om obstruktiv galdestase, er næste trin sædvanligvis MR-kolangiopankreatikografi (MRCP) eller endoskopisk UL-skanning (EUL). MRCP er mere ressourcekrævende end EUL, men giver detaljerede billeder af galdetræet og udsætter ikke patienten for skadelig stråling. Modaliteten har stort set erstattet diagnostisk intenderet endoskopisk retrograd kolangiopankreatikografi (ERCP), som dog bruges udbredt til terapeutiske formål. Med MRCP kan man diagnosticere dilaterede galdeveje, obstruktionsniveau og choledochussten med høj præcision. Ved kombination af MRCP og MR-skanning af leveren opnås der samtidig detaljeret information om eventuel tumorvækst og resektabilitet. Ved choledochussten med små konkrementer < 5 mm falder sensitiviteten og specificiteten dog [11]. Undersøgelsen er kontraindiceret hos patienter med ferromagnetiske implantater og klaustrofobi.

Sidebar placering
Venstrestillet
Billede
Sidebar placering
Venstrestillet

EUL er i princippet ækvivalent til ERCP ved diagnostik af choledochussten, og vha. EUL kan man i modsætning til MRCP detektere selv meget små konkrementer. Risikoen for komplikationer er markant mindre end ved ERCP, og EUL giver desuden mulighed for at foretage en detaljeret inspektion af galdeveje og pancreas samt foretage UL-vejledte biopsier af suspekte processer i det vanskeligt tilgængelige pankreatikobiliære område [6-8, 12].

BEHANDLING

Formålet med behandling af galdevejsobstruktion er at genoprette adækvat drænage af galde. Afhængigt af den tilgrundliggende ætiologi er behandlingen kurerende, temporært aflastende inden definitiv behandling, eller, ved terminale tilstande, pallierende. Kolangitis er den mest truende tilstand, der generelt kræver endoskopisk aflastning inden for et døgn, og kan diagnosticeres ud fra Tokyo-kriterierne [13]. Malignitet vurderes mhp. resektabilitet, hvor andelen af radikalt resektable tumorer imidlertid er lav, hhv. ca. 15% for pancreaskræft og ca. 30% for kolangiokarcinomer, hvor der desuden er en høj recidivrisiko [14, 15].

Choledochussten

Choledochussten behandles primært ved ERCP med sfinkterotomi og stenekstraktion vha. endoskopisk kurv eller ballon (Figur 2). Hvis konkrementerne er talrige eller for store til ekstraktion, kan midlertidig stentning bruges til opretholdelse af galdedrænage i afventning af definitiv ekstraktion. Store konkrementer kan fjernes vha. kolangioskopi, hvor man med et styrbart skop kan visualisere de dybe galdeveje og aflevere chokbølger ved elektrohydraulisk litotripsi, som fragmenterer konkrementet og muliggør ekstraktion af stykkerne [7]. ERCP er dog en invasiv procedure med risiko for komplikationer. Post-ERCP-pankreatitis ses med en incidens på 3-10%, og desuden er der risiko for kolangitis (0,5-3%), blødning (0,3-2%) samt perforation af galdeveje og duodenum (0,08-0,6%) [16].

Sidebar placering
Venstrestillet
Billede
Sidebar placering
Venstrestillet

European Society of Gastrointestinal Endoscopy anbefaler, at patienter med Choledochussten gennemgår laparoskopisk kolecystektomi efter stenekstraktion, hvis der ikke foreligger kontraindikationer [17]. choledochussten kan også fjernes peroperativt under laparoskopisk kolecystektomi ved intraoperativ ERCP med rendezvousteknik, hvor man laparoskopisk introducerer en guidewire i galdeblæren eller ductus cysticus. Via galdevejene går man efterfølgende videre ned i duodenum, hvor man fanger ERCP-kateteret. Wirevejledt kanylering af papilla Vateri er derefter mindre traumatisk og medfører lavere risiko for post-ERCP-pankreatitis [18].

For nylig har også laparoskopisk kolecystektomi med samtidig stenekstraktion ved eksploration af enten ductus cysticus eller ductus choledochus som one-step procedure vist lovende resultater [19]. Proceduren er dog teknisk udfordrende, muliggør ikke papillotomi og er overvejende reserveret til ukomplicerede tilfælde uden kolecystitis, kolangitis eller store sten i de dybe galdeveje [20-22].

Strikturer

Strikturer behandles typisk ved ERCP med dilatation og stentanlæggelse. Maligne strikturer vurderes mhp. resektabilitet. Aflastning i afventning på kurativ resektion foretages ikke rutinemæssigt, men er indikeret ved manifest eller overhængende risiko for kolangitis og symptomatisk kolestase samt ved forsinket operation f.eks. pga. af neoadjuvant kemoterapi. Ikkeresektable maligne stenoser behandles palliativt med aflastning. Valg af stenttype afhænger af lokalisationen af stenose og patientens forventede restlevetid. For længere holdbarhed bruges der selvekspanderende metalstents (SEMS) i forskellige design. Der er covered, uncovered og partiallly covered SEMS, som vælges skræddersyet til lokalisation, stenosetype og endoskopørens præferencer. Covered SEMS forhindrer hyperplasi og overvækst, men har højere risiko for dislokation, end uncovered har. Benigne strikturer behandles primært med ballondilatation og stentanlæggelse, ofte med covered SEMS [5, 23].

Sidebar placering
Venstrestillet
Billede
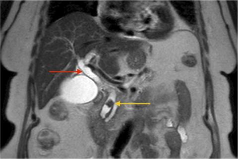
MR-kolangiopankreatografi, som viser tydeligt dilateret ductus choledochus (rød pil) med fyldningsdefekt distalt på baggrund af en konkrement (gul pil).
Caption
MR-kolangiopankreatografi, som viser tydeligt dilateret ductus choledochus (rød pil) med fyldningsdefekt distalt på baggrund af en konkrement (gul pil).
Sidebar placering
Venstrestillet

I 5-7% af tilfældene er det ikke muligt at udføre konventionel ERCP, f.eks. pga. duodenaldivertikler eller tidligere operationer såsom gastrisk bypass eller gastroenteroanastomose. Hvis patienterne har kirurgisk ændret anatomi (SAA), kan ERCP stadig foretages ved ballonassisteret enteroskopi, hvor man bruger balloner, som insuffleres alternerende og forankrer endoskopet trinsvist. Dette muliggør dybere avancement ind til det biliære ben, som består af den udshuntede ventrikel og duodenum. Hvis det biliære ben ikke kan nås endoskopisk, kan der foretages laparoskopiassisteret ERCP, hvor man anlægger en temporær gastrostomi i den udshuntede ventrikel, så man derigennem kan få adgang med et klassisk duodenoskop [24]. Hvis aflastning ikke er muligt med de ovennævnte procedurer, kan der foretages radiologisk intervention i form af perkutan transhepatisk kolangiografi (PTC), hvor der lægges et dræn transkutant ind i de intrahepatiske galdeveje. PTC er imidlertid forbundet med stor morbiditet pga. den eksterne drænage og betydelig risiko for recidiverende infektioner, kolangitis, kateterdislokation m.m. [25]. EUL-vejledt drænage af galdevejsobstruktioner er et alternativ til PTC og benyttes i stigende grad, når ERCP ikke er teknisk mulig. Metoden kan også foretages som rendezvousteknik, hvor man EUL-vejledt indfører en guidewire i ductus choledochus og antegradt videre gennem papilla Vateri, hvorefter guidewiren benyttes til vejledt kanylering ved ERCP. Nyere EUL-vejledte drænagemetoder er desuden anerkendt som alternativ til PTC-drænage. Transmurale stents anlægges enten transgastrisk eller transduodenalt til intern drænage af de intra- eller ekstrahepatiske galdegange [26]. EUL-anlagte transmurale stents kan også bruges ved ERCP hos patienter med SAA, hvor man forbinder restventriklen, den såkaldte pouch, med den udshuntende ventrikel og således får adgang till det bililære ben med et almindeligt duodenoskop. Når proceduren er overstået, seponeres den transmurale stent, fistelgangen lukkes med clips, og gastrisk bypass er således reetableret [27]. Galdevejsobstruktion pga. kompression fra cyster eller abscesser uden for galdevejene, f.eks. ved kompliceret og kronisk pankreatitis med pseudocystdannelse kan ligeledes ofte effektivt dræneres vha. EUL [23, 25, 28-30].

KONKLUSION

Nøglen til effektiv behandling af patienter med obstruktiv galdestase er nøjagtig og systematisk gennemgang af anamnese, klinisk undersøgelse, biokemi samt brug af billeddiagnostik. Korrekt brug af billeddiagnostik og behandling, startende fra den mindst invasive og mest omkostningseffektive, sikrer effektive patientforløb og minimerer risikoen for komplikationer. Invasiv undersøgelse og behandling af galdevejssygdomme er ofte en multidisciplinær opgave, og ved uklarhed om sygdommens ætiologi eller svigt af de konventionelle behandlingsformer bør patienterne henvises til det nærmeste højtspecialiserede center.



Korrespondance Fredrik Hertervig. E-mail: fredrik.axel.hertervig@regionh.dk
Antaget 12. januar 2021
Publiceret på ugeskriftet.dk 8. marts 2021
Interessekonflikter ingen. Der er anført potentielle interessekonflikter. Forfatternes ICMJE-formularer er tilgængelige sammen med artiklen på ugeskriftet.dk
Referencer findes i artiklen publiceret på ugeskriftet.dk
Artikelreference Ugeskr Læger 2021;183:V09200719

Sidebar placering
Venstrestillet
Article type
Journal
Magazine
Section
References

Referencer

  1. Fargo MV, Grogan SP, Saguil A. Evaluation of jaundice in adults. Am Fam Physician 2017;95:164-8..

  2. Vuppalanchi R, Liangpunsakul S, Chalasani N. Etiology of new-onset jaundice: how often is it caused by idiosyncratic drug-induced liver injury in the United States? Am J Gastroenterol 2007;102:558-62.

  3. Woolbright BL, Jaeschke H. Inflammation and cell death during cholestasis: the evolving role of bile acids. Gene Expr 2019;19:215-28.

  4. van der Gaag NA, Kloek JJ, de Castro SM et al. Preoperative biliary drainage in patients with obstructive jaundice: history and current status. J Gastrointest Surg 2009;13:814-20.

  5. Altman A, Zangan SM. Benign biliary strictures. Semin Intervent Radiol 2016;33:297-306.

  6. Ramappa V, Aithal GP. Jaundice: applying lessons from physiology. Surgery (Oxford) 2014;32:627-34.

  7. Addley J, Mitchell RM. Advances in the investigation of obstructive jaundice. Curr Gastroenterol Rep 2012;14:511-9.

  8. Gondal B, Aronsohn A. A systematic approach to patients with jaundice. Semin Intervent Radiol 2016;33:253-8.

  9. Yang MH, Chen TH, Wang SE et al. Biochemical predictors for absence of common bile duct stones in patients undergoing laparoscopic cholecystectomy. Surg Endosc 2008;22:1620-4.

  10. Cazacu IM, Luzuriaga Chavez AA, Saftoiu A et al. A quarter century of EUS-FNA: Progress, milestones, and future directions. Endosc Ultrasound 2018;7:141-60.

  11. Kondo S, Isayama H, Akahane M et al. Detection of common bile duct stones: comparison between endoscopic ultrasonography, magnetic resonance cholangiography, and helical-computed-tomographic cholangiography. Eur J Radiol 2005;54:271-5.

  12. Chen H, Siwo EA, Khu M, Tian Y. Current trends in the management of Mirizzi syndrome: a review of literature. Medicine (Baltimore) 2018;97:e9691.

  13. Miura F, Okamoto K, Takada T et al. Tokyo guidelines 2018: initial management of acute biliary infection and flowchart for acute cholangitis. J Hepatobiliary Pancreat Sci 2018;25:31-40.

  14. DeOliveira ML, Cunningham SC, Cameron JL et al. Cholangiocarcinoma: thirty-one-year experience with 564 patients at a single institution. Ann Surg 2007;245:755-62.

  15. Mizrahi JD, Surana R, Valle JW, Shroff RT. Pancreatic cancer. Lancet 2020;395:2008-20.

  16. ASGE Standards of Practice Committee, Chandrasekhara V, Khashab MA, Muthusamy VR et al. Adverse events associated with ERCP. Gastrointest Endosc 2017;85:32-47.

  17. Manes G, Paspatis G, Aabakken L et al. Endoscopic management of common bile duct stones: European Society of Gastrointestinal Endoscopy (ESGE) guideline. Endoscopy 2019;51:472-91.

  18. Baloyiannis I, Tzovaras G. Current status of laparoendoscopic rendezvous in the treatment of cholelithiasis with concomitant choledocholithiasis. World J Gastrointest Endosc 2015;7:714-9.

  19. Rogers SJ, Cello JP, Horn JK et al. Prospective randomized trial of LC+LCBDE vs ERCP/S+LC for common bile duct stone disease. Arch Surg 2010;145:28-33.

  20. Bencini L, Tommasi C, Manetti R, Farsi M. Modern approach to cholecysto-choledocholithiasis. World J Gastrointest Endosc 2014;6:32-40

  21. Reinders JS, Gouma DJ, Ubbink DT et al. Transcystic or transductal stone extraction during single-stage treatment of choledochocystolithiasis: a systematic review. World J Surg 2014;38:2403-11.

  22. Cuschieri A, Lezoche E, Morino M et al. E.A.E.S. multicenter prospective randomized trial comparing two-stage vs single-stage management of patients with gallstone disease and ductal calculi. Surg Endosc 1999;13:952-7.

  23. Kapoor BS, Mauri G, Lorenz JM. Management of biliary strictures: state-of-the-art review. Radiology 2018;289:590-603.

  24. Schreiner MA, Chang L, Gluck M et al. Laparoscopy-assisted versus balloon enteroscopy-assisted ERCP in bariatric post-Roux-en-Y gastric bypass patients. Gastrointest Endosc 2012;75:748-56.

  25. Sharaiha RZ, Khan MA, Kamal F et al. Efficacy and safety of EUS-guided biliary drainage in comparison with percutaneous biliary drainage when ERCP fails: a systematic review and meta-analysis. Gastrointest Endosc 2017;85:904-14.

  26. Leung Ki EL, Napoleon B. Endoscopic ultrasound-guided biliary drainage: a change in paradigm? World J Gastrointest Endosc 2019;11:345-53.

  27. Jovani M, Ichkhanian Y, Vosoughi K, Khashab MA. EUS-guided biliary drainage for postsurgical anatomy. Endosc Ultrasound 2019;8(suppl 1):S57-S66.

  28. Tazuma S, Unno M, Igarashi Y et al. Evidence-based clinical practice guidelines for cholelithiasis 2016. J Gastroenterol 2017;52:276-300.

  29. Parsi MA. Common controversies in management of biliary strictures. World J Gastroenterol 2017;23:1119-24.

  30. Dumonceau JM, Deprez PH, Jenssen C et al. Indications, results, and clinical impact of endoscopic ultrasound (EUS)-guided sampling in gastroenterology: European Society of Gastrointestinal Endoscopy (ESGE) Clinical Guideline – updated January 2017. Endoscopy 2017;49:695-714.

Woodwing Id
41373
Fil
Conflict of interest
English title
Workup and treatment of patients with obstructive cholestasis
English summary

Fredrik Hertervig, Peter Vilmann & Bojan Kovacevic

Ugeskr Læger 2021;183:V09200719

The causes of cholestasis range from intrinsic hepatocellular disease to extrahepatic mechanical obstruction of the bile tree. Gallstones are the most common cause of obstructive cholestasis, but it is not seldomly associated with malignant disease. A systematic approach to diagnosing cholestatic liver disease, including thorough patient history, clinical examination, lab-panels and proper use of imaging and treatment alternatives, starting from least invasive and most cost-effective, ensures efficient patient outcomes and minimises the risk of complications as summarised in this review.

Authors workplaces

Gastroenheden, Endoskopien, Herlev Hospital

Ugeskr Læger 2021;183:V09200719

Bib ref
Ugeskr Læger 2021;183:V09200719
Article number
V09200719
Authors

Fredrik Hertervig, Peter Vilmann & Bojan Kovacevic

0 likes