Medlem i

12 years 10 months
Indholdselementer
Billede
Sidebar placering
Venstrestillet
Billede
Sidebar placering
Venstrestillet
Billede
Sidebar placering
Venstrestillet


Den invasive front af det kolorektale karcinom (KRK) udviser i nogle tilfælde budding, der er karakteriseret ved grupper på op til fem tumorceller. I 2006 indførtes budding i Danish Colorectal Cancer Groups (DCCG) & Danish Society for Pathological Anatomy and Cytologys (DSPAC) registreringsskema for KRK. På basis af en litteratursøgning gennemgås molekylærbiologiske mekanismer, der menes at bidrage til budding , registreringsmetoder og den mulige kliniske signifikans. Trods varierende registreringsmetoder foreligger der evidens for, at budding er en betydningsfuld prognostisk markør, der tillige kan få behandlingsmæssige konsekvenser.

Vurdering af det kolorektale karcinoms (KRK) biologiske potentiale baseres primært på status af de regionale lymfeknuder, som er en vigtig prognostisk markør [1]. Imidlertid vil en del af de kurativt opererede patienter, der findes uden metastaser til lymfeknuder, senere udvikle recidiv, som medfører død. Det er derfor relevant at registrere yderligere prognostiske parametre. Oplysning om en tumors aggressivitet kan tillige opnås ved at registrere dens morfologi, inklusive dens differentieringsgrad og relation til kar og nerver [2, 3]. Specielt må forhold i relation til tumors invasive front forventes at have klinisk betydning. Det drejer sig dels om den invasive fronts lokalisation i forhold til tarmvæggens lag, angivet som pT1-4-stadie, dels om specielle morfologiske forhold ved grænsen mellem tumor og det omgivende væv [4-6], der repræsenterer første trin i den metastatiske kaskade. Således har tumors vækstmønster eller konfiguration ved den invasive front, infiltrativ eller ekspansiv/pushing af type, været foreslået som prognostisk markør. Den infiltrativt voksende tumor har således ifølge nogle studier [5] vist et mere aggressivt forløb end tumorer med en ekspansiv vækst. I andre studier har man imidlertid konkluderet, at denne parameter ikke bidrager med prognostisk information, der er uafhængig af tumor-node -stadiet [7, 8] og tillige kan være vanskelig at reproducere [7, 9]. Det samme gælder det peritumorale lymfocytiske infiltrat [9]. Disse parametre er således generelt ikke blevet inkluderet i den rutinemæssige karakteristik af KRK og indgår således heller ikke i Danish Colorectal Cancer Groups (DCCG) & Danish Society of Pathology and Cytologys (DSPAC) registreringsskema for kolorektal cancer.

Derimod er forventningerne til budding - et invasionsfænomen, der undertiden præger tumors invasive front - høje, og denne parameter blev i 2006 inkluderet i DCCG/DSPAC's registreringsskema for KRK.

Metode

Litteraturen er udvalgt på baggrund af en elektronisk søgning i PubMed med følgende kodeord: budding, de-differentiation i kombination med colorectal carcinoma. Søgningen er begrænset til engelsk og nordisk sproget litteratur. Artiklernes referencelister er gennemgået manuelt.

Definition af budding og dets molekylærbiologiske basis

Budding er en dynamisk proces ved tumors invasive front, der indebærer dissociering af tumorceller fra det mere organiserede kirteldannende tumorvæv [10]. Budding -tumorceller antager egenskaber som cancerstamceller med potentiale for re-differentiering både lokalt og svarende til metastaser [11]. Processen menes således at være reversibel. Det er karakteristisk, at budding oftest dannes i moderat til højt differentierede karcinomer med en moderat til veludviklet kirtelkomponent, mens de lavt differentierede karcinomer med ukomplette kirtler sjældnere udviser budding -fænotype [11].

Morfologisk karakteriseres fænomenet ved enkeltliggende tumorceller eller grupper på maksimum tre [12], fire [13, 14] eller fem [15] tumorceller ud for tumors invasive front (Figur 1 ). Disse budding -tumorceller danner undertiden langstrakte cytoplama-udløbere (pseudopodier) med kontakt til værtsorganismens mesenkymale celler [11]. Celleudløberne muliggør amøboide bevægelser af potentiel betydning for tumorcelle-invasionen. Processen ledsages af degradering af ekstracellulær matrix ved proteolyse samt syntese af andre matrixkomponenter, betegnet desmoplasi. Denne tumorcelledissociering, der opfattes som en aktiv proces, skal differentieres fra tumorceller, der passivt betinget er enkeltliggende som følge af inflammatorisk opsplitning.

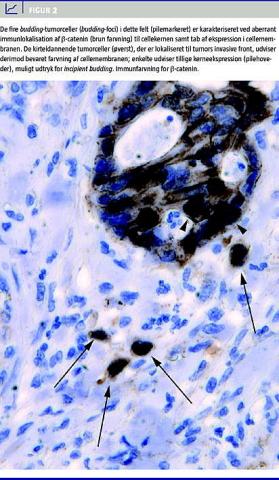
Ved budding ses således tab af kohæsion mellem tumorceller, elektronmikroskopisk visualiseret ved tab af junction-komplekser og udvikling af ukomplette desmosomer samt manglende eller rudimentær basalmembran. Processen formodes at forudsætte ændringer af molekyler af betydning for celleadhæsionen, inklusive epithelial cell adhesion molecule (Ep-CAM/E-cadherin) og β-catenin [16, 17]. Disse proteiner, der normalt er cellemembranbundne, translokeres til tumorcellens cytoplasma og kerne. I denne abnorme position i tumorcellens kerne aktiveres β-catenintranskriptionen af gener, der er involveret i proliferation og differentiering. Ud over betydning for celleadhæsion kan β-catenin således antage funktion som et onkogen. Akkumulation af β-catenin i tumorcellens kerne vil under normale forhold hindres af suppressor-genet adenomatøs polyposis coli (APC), der binder og degraderer proteinet. Inaktivering af APC, eksemplificeret ved den traditionelle dysregulering af APC/β-catenin-signalvej, der er en hyppig og tidlig, omend ikke obligat genetisk hændelse i den kolorektale karcinogenese, kan derimod resultere i den beskrevne aberrante lokalisation af proteinet (Figur 2 ). Mutation af β-catenin er en anden årsag til translokation af proteinet, der kan medføre budding . Dette ses i nogle tilfælde af karcinom, der er udviklet hos patienter med hereditær nonpolypose-coloncancer (HNPCC)-syndrom [18]. Ved HNPC C-associeret karcinom er budding rapporteret hos ca. 20% [19]. Budding -analyse af familiær adenomatøs polypose (FAP)-associeret kolorektalt karcinom foreligger - os bekendt - endnu ikke, men i betragtning af dette karcinoms molekylære baggrund, der oftest involverer APC/β-catenin-dysregulering, kunne det forventes, at budding generelt vil være høj ved denne cancerform. Desuden er det forventeligt, at de KRK, der ikke følger den traditionelle adenom-karcinom-patogenese, som f.eks. det serrate KRK [20], der er udviklet fra den sessile serrate polyp [21], ikke eller i kun ringe omfang danner budding .

Belysning af den molekylærbiologiske baggrund for budding har således primært involveret studier af APC/β-catenin-signalvejen Det er yderligere påvist, at tumors mikrosatellit-instabilitets (MSI)-status [22] har betydning. Specielt er fraværet af budding i tilfælde af sporadisk karcinom med høj grad af MSI bemærkelsesværdig [19, 23]. Ved det sporadiske mikrosatellit-stabile karcinom, der udgør den største gruppe af KRK, er der derimod påvist budding i ca. 50% [19], hvilket er forventeligt i betragtning af den hyppige forekomst af APC/β-catenin-abnormiteter ved denne tumortype.

Dysregulering af APC/β-catenin-signalvejen opfattes som en nødvendig, men ikke tilstrækkelig forklaring på budding [24], og andre mekanismer må formodes at spille en rolle. Ifølge nogle [25] men ikke alle [24] studier, er forekomsten af budding signifikant højere i KRAS-muterede karcinomer [25]. KRAS-relaterede genetiske hændelser, der kan bidrage til budding , inkluderer aktivering af transkriptionsfaktorer, der kontrollerer proliferation, samt påvirkning af tumorcellernes aktinfilamenter via fosfoinositid [25]. Korrelationen mellem KRAS-mutation og budding er dog ikke konstant, hvilket muligvis kan tilskrives apoptotisk destruktion af budding -tumorceller, der udøves af peritumorale lymfocytter [24].

Sidebar placering
Venstrestillet
Billede
Sidebar placering
Venstrestillet



Terminologi og registrering af budding

Betegnelsen budding blev introduceret i den engelsksprogede litteratur af Hase et al i 1993 [26] og an-

vendes ofte i dag. I ældre litteratur anvendtes betegnelserne fokal dedifferentiering [10] og pseudodedifferentiering for det, der i dag går under betegnelse budding . Betegnelsen dedifferentiering foretrækkes dog stadig af nogle observatører [27]. Tumorcelledissociering og epitel-mesenkymal transition er andre anvendte synonymer.

Påvisning af budding -tumorceller kræver stor forstørrelse i modsætning til vurdering af konfigurationen af tumors invasive front (infiltrativ versus ekspansiv), der visualiseres på oversigtsforstørrelse (Figur 3 ). Disse to parametre er ofte men ikke konstant associerede. Indtil omkring år 2000 blev budding registreret semikvantitativt [26]. I 2002 publicerede Ueno et al [14] et arbejde om tumor-budding , der indebar systematisk kvantificering af antal budding -foci pr. synsfelt, hvor et focus repræsenterer en enkelt liggende tumorcelle eller en gruppe på maksimalt fire tumorceller ud for tumors invasive front. I mange efterfølgende arbejder lægges ofte en tælling af antal budding -foci pr. synsfelt til grund for en graduering af budding . Den valgte grænse mellem lav og høj grad af budding varierer fra publikation til publikation [15, 19, 28, 29], men ofte lægges denne grænse på 9-10 foci pr. synsfelt ved brug af en 20-25 objektivlinse [14, 28], og denne definition anvendes ligeledes i DCCG/DSPAC's registreringskema. Findes tallet mindre end det valgte afskæringsniveau, taler nogle forfattere om fravær af budding [13, 29], og en tilsvarende tolkning anvendes i DCCG/DSPAC's registreringsskema. Andre beskriver dette billede som lav grad af budding . Overskrider tallet det valgte afskæringsniveau, omtales billedet af nogle observatører blot som budding , af andre som høj grad af budding .

En anden måde at registrere budding på vedrører den andel af tumors invasive front, der udviser budding. I overensstemmelse hermed blev KRK inddelt i lav, moderat og svær budding , såfremt < en tredjedel, en tredjedel-to tredjedele eller > to tredjedele af tumors samlede undersøgte invasive front omfattede budding [30]. Således kan budding være begrænset til dele af en given tumors invasive front. Det er tidligere anført, at budding sædvanligvis er begrænset til mere afgrænsede områder langs tumors invasive front [31], og i en publikation har man valgt at bestemme budding på det snit, der fremstiller tumor, hvor denne vokser dybest [27]. En gruppe tilstræber endog at fremstille og undersøge tumors invasive front i hele sin udstrækning [32]. Spørgsmål, der er relateret til hvilke og hvor mange tumorsnit, der bør undersøges, for at få et validt indtryk af en tumors budding -fænotype, er dog ikke vel belyst. Trods enighed om budding -fænomenets natur anvendes således forskellige kriterier, der alle er arbitrære.

Procentdelen af alle KRK, der udviser budding , varierer ifølge litteraturen fra ca. 25% til ca. 50%. Tallet vil afhænge af flere variable, der dels er vævsbetingede, som omtalt oven for under molekylærbiologisk aspekter, dels af den valgte definition. Derudover må andre forhold ligeledes tages i betragtning, såsom observatørvariation og tekniske aspekter vedrørende fremstilling af de snit, som budding bedømmes på. Tekniske aspekter, der teoretisk kan påvirke den registrerede budding-status, vedrører bl.a. farvemetode af de histologiske snit. Registreringen udføres ofte på vanlige hæmatoxylin-eosin (HE)-farvede snit, og dette anbefales ligeledes i retningslinjerne til DCCG/DSPAC's registreringsskema, men flere forfattere har anbefalet immunfarvning for cytokeratin [11, 33, 34] for at tydeliggøre budding . Andre anbefaler kun supplering med immunfarvning i problemtilfælde [31]. Nogle af os har tidligere demonstreret en reproducerbarhed, der kun var moderat, ved registrering af tumorcelle-budding på basis af rutinefarvede HE-snit [35] og kan derfor anbefale immunfarvning - gerne en cytokeratin - som stort set alle laboratorier anvender, til vurdering af denne parameter.

Klinisk signifikans af budding

Trods varierende registreringsmetoder, som omtalt ovenfor, har man i adskillige studier karakteriseret tumorcelle-budding som en risikofaktor, hvad angår lokal spredning, lymfeknudemetastaser, synkrone fjernmetastaser, recidiv og nedsat overlevelse efter kurativt intenderet kirurgi [14, 30, 34, 36-40]. Ifølge en litteraturopgørelse, der er baseret på mere end 2.100 patienter med KRK, foreligger data, der bekræfter budding s prognostiske værdi, ofte uafhængig af TNM-stadiet [11]. Selvom disse studier er retrospektive, sikrer den omhyggelige udvælgelse af patientmaterialet og et langt followup studiernes værdi. Oplysning om omfanget af budding kan således muligvis blive vejledende ved identifikation af den lille gruppe af pN0-patienter, der vil kunne få glæde af adjuverende behandling.

Desuden kan registrering af budding -status af karcinomer med begrænset invasion, dvs. pT1, der er påvist i polypektomipræparater og i endoskopiske resektater (transrektal endoskopisk mikrokirurgi (TEM)) få betydning for den videre håndtering af disse patienter i tilfælde, hvor resektionsrande er frie. Sammenholdt med veletablerede risikofaktorer, dvs. karcinomets differentieringsgrad, dybdevækst i submucosa og karinvasion, er det forventeligt, at budding -status kan bidrage til identifikation af den patientgruppe, der bør tilbydes yderligere kirurgi. Således er svær budding fundet at være en uafhængig risikofaktor for synkrone lymfeknudemetastaser i disse tilfælde [32].

Konklusion

Selv om budding /fokal dedifferentiering blev beskrevet for mere end 20 år siden, er det først i de senere år, at fænomenet har været genstand for en betydelig opmærksomhed. I 2006 indførtes registrering af budding i DCCG/DSPAC's registreringsskema for KRK. Buddings molekylære baggrund er delvis belyst med formodet korrelation til den traditionelle adenom-karcinom-signalvej, der bl. a. involverer APC-mutation, samt til KRAS-mutation. Fænomenets potentiale som prognostisk markør synes veletableret, omend konsensus omkring den mest optimale registreringsmetode endnu ikke er opnået. Det kan anbefales at bibeholde den allerede omtalte registreringsmetode i DCCGs/DSPACs skema, men vurdering på snit, der er immunfarvede for et cytokeratin, må foretrækkes. Oplysning om tumors budding-fænotype medinddrages dog endnu ikke ved beslutninger angående håndtering af patienter med KRK. Belysning af værdien af budding -status som rettesnor for patientbehandling vil kræve yderligere gerne internationale prospektive studier [32].

Siden antagelsen af artiklen er en revideret udgave af retningslinjer for diagnostik og behandling af kolorektal cancer, inklusive registrering af budding, udkommet.


Susanne Holck, Patologiafdelingen, Hvidovre Hospital, DK-2650 Hvidovre. E-mail: susanne.holck@hvh.regionh.dk

Antaget: 5. februar 2009

Interessekonflikter: Ingen

Litteraturliste

  1. Compton CC, Fielding LP, Burgart LJ et al. Prognostic factors in colorectal cancer. College of American Pathologists Consensus Statement 1999. Arch Pathol Lab Med 2000;124:979-94.
  2. Akasu T, Tsakawa M, Yamamoto S et al. Intersphincteric resection for very low rectal adenocarcinoma: univariate and multivariate analyses of risk factors for recurrence. Ann Surg Oncol 2008;15:2668-76.
  3. Fujita S, Nakanisi Y, Taniguchi H et al. Cancer invasion to Auerbach's plexus is an important prognostic factor in patients with pT3-pT4 colorectal cancer. Dis Colon Rectum 2007;50:1860-6.
  4. Di Giorgio A, Botti C, Tocchi A et al. The influence of tumor lymphocytic infiltration of long term survival of surgically treated colorectal cancer patients. Int Surg 1992;77:256-60.
  5. Jass JR, Atkin WS, Cuzick J et al. The grading of rectal cancer: historical perspectives and a multivariate analysis of 447 cases. Histopathol 1986;10:437-59.
  6. Jass JR, Love SB, Northover JMA. A new prognostic classification of rectal cancer. Lancet 1987;1:1303-6.
  7. Deans GT, Heatley M, Anderson N et al. Jass' classification revisited. J Am Coll Surg 1994;179:11-7.
  8. Harrison JC, Dean PJ, El- zeky F et al. From Dukes through Jass: Pathological prognostic indicators in rectal cancer. Hum Pathol 1994;25:498-505.
  9. Jass JR, Ajioka Y, Allen JP et al. Assessment of invasive growth pattern and lymphocytic infiltration in colorectal cancer. Histopathol 1996;28:543-8.
  10. Gabbert H, Wagner R, Moll R et al. Tumor dedifferentiation: an important step in tumor invasion. Clin Expl Metastasis 1985;3:257-79.
  11. Prall F. Tumour budding in colorectal carcinoma. Histopathol 2007;50:151-62.
  12. Hörkkö TT, Klintrup K, Mäkinen JM et al. Budding invasive margin and prognosis in colorectal cancer - no direct association with β-catenin expression. Eup J Cancer 2006;42:964-71.
  13. Park SY, Choe G, Lee HS et al. Tumor budding as an indicator of isolated tumor cells in lymph nodes from patients with node-negative coloretal cancer. Dis Colon Rectum 2005;48:292-302.
  14. Ueno H, Murphy J, Jass JR et al. Tumour »budding« as an index to estimate the potential of aggressiveness in rectal cancer. Histopathol 2002;40:127-32.
  15. Prall F, Nizze H, Barten M. Tumour budding as prognostic factor in stage I/II colorectal carcinoma. Histopathol 2005;47:17-24.
  16. Brabletz T, Jung A, Reu S et al. Variable β-catenin expression in colorectal cancers indicates tumour progression driven by the tumour environment. Proc Natl Acad Sci USA 2001;98:10356-61.
  17. Gosens MJEM, van Kempen LCL, van de Velde CJH et al. Loss of membranous Ep-CAM in budding colorectal carcinoma cells. Mod Pathol 2007;20:221-32.
  18. Miyaki M, Iijima T, Kimura J et al. Frequent mutation of β-catenin and APC genes in primary colorectal tumors from patients with hereditary nonpolyposis colorectal caancer. Cancer Res 1999;59:4506-9.
  19. Jass JR, Barker M, Fraser L et al. APC mutation and tumour budding in colorectal cancer. J Clin Pathol 2003;56:69-73.
  20. Mäkinen MJ. Colorectal serrated adenocarcinoma. Histopathol 2007;50:131-50.
  21. Folker MB, Bernstein I, Holck S. Serrate, hyperplastiske og hyperplasilignende kolorektale polypper. Ugeskr Læger 2006:168:4005-9.
  22. Wright CL, Stewart ID. Histopathology and mismatch repair status of 458 consecutive colorectal carcinomas. Am J Surg Pathol 2003;27:1393-1406.
  23. Prall F, Weirich V, Ostwald C. Phenotypes of invasion in sporadic colorectal carcinomas related to aberrations of the adenomatous polyposis coli (APC) gene. Histopathol 2007;50:318-30.
  24. Zlobec I, Lugli A, Baker K et al. Role of APAF-1, E-cadherin and peritumoural lymphocytic infiltration in tumour budding in colorectal ca
Sidebar placering
Venstrestillet
Article type
Journal
Magazine
Section
References

<ol class="Litt-list">
<li>Compton CC, Fielding LP, Burgart LJ et al. Prognostic factors in colorectal cancer. College of American Pathologists Consensus Statement 1999. Arch Pathol Lab Med 2000;124:979-94.</li>
<li>Akasu T, Tsakawa M, Yamamoto S et al. Intersphincteric resection for very low rectal adenocarcinoma: univariate and multivariate analyses of risk factors for recurrence. Ann Surg Oncol 2008;15:2668-76.</li>
<li>Fujita S, Nakanisi Y, Taniguchi H et al. Cancer invasion to Auerbach's plexus is an important prognostic factor in patients with pT3-pT4 colorectal cancer. Dis Colon Rectum 2007;50:1860-6.</li>
<li>Di Giorgio A, Botti C, Tocchi A et al. The influence of tumor lymphocytic infiltration of long term survival of surgically treated colorectal cancer patients. Int Surg 1992;77:256-60.</li>
<li>Jass JR, Atkin WS, Cuzick J et al. The grading of rectal cancer: historical perspectives and a multivariate analysis of 447 cases. Histopathol 1986;10:437-59.</li>
<li>Jass JR, Love SB, Northover JMA. A new prognostic classification of rectal cancer. Lancet 1987;1:1303-6.</li>
<li>Deans GT, Heatley M, Anderson N et al. Jass' classification revisited. J Am Coll Surg 1994;179:11-7.</li>
<li>Harrison JC, Dean PJ, El- zeky F et al. From Dukes through Jass: Pathological prognostic indicators in rectal cancer. Hum Pathol 1994;25:498-505.</li>
<li>Jass JR, Ajioka Y, Allen JP et al. Assessment of invasive growth pattern and lymphocytic infiltration in colorectal cancer. Histopathol 1996;28:543-8.</li>
<li>Gabbert H, Wagner R, Moll R et al. Tumor dedifferentiation: an important step in tumor invasion. Clin Expl Metastasis 1985;3:257-79.</li>
<li>Prall F. Tumour budding in colorectal carcinoma. Histopathol 2007;50:151-62.</li>
<li>Hörkkö TT, Klintrup K, Mäkinen JM et al. Budding invasive margin and prognosis in colorectal cancer - no direct association with β-catenin expression. Eup J Cancer 2006;42:964-71.</li>
<li>Park SY, Choe G, Lee HS et al. Tumor budding as an indicator of isolated tumor cells in lymph nodes from patients with node-negative coloretal cancer. Dis Colon Rectum 2005;48:292-302.</li>
<li>Ueno H, Murphy J, Jass JR et al. Tumour »budding« as an index to estimate the potential of aggressiveness in rectal cancer. Histopathol 2002;40:127-32.</li>
<li>Prall F, Nizze H, Barten M. Tumour budding as prognostic factor in stage I/II colorectal carcinoma. Histopathol 2005;47:17-24.</li>
<li>Brabletz T, Jung A, Reu S et al. Variable β-catenin expression in colorectal cancers indicates tumour progression driven by the tumour environment. Proc Natl Acad Sci USA 2001;98:10356-61.</li>
<li>Gosens MJEM, van Kempen LCL, van de Velde CJH et al. Loss of membranous Ep-CAM in budding colorectal carcinoma cells. Mod Pathol 2007;20:221-32.</li>
<li>Miyaki M, Iijima T, Kimura J et al. Frequent mutation of β-catenin and APC genes in primary colorectal tumors from patients with hereditary nonpolyposis colorectal caancer. Cancer Res 1999;59:4506-9.</li>
<li>Jass JR, Barker M, Fraser L et al. APC mutation and tumour budding in colorectal cancer. J Clin Pathol 2003;56:69-73.</li>
<li>Mäkinen MJ. Colorectal serrated adenocarcinoma. Histopathol 2007;50:131-50.</li>
<li>Folker MB, Bernstein I, Holck S. Serrate, hyperplastiske og hyperplasilignende kolorektale polypper. Ugeskr Læger 2006:168:4005-9.</li>
<li>Wright CL, Stewart ID. Histopathology and mismatch repair status of 458 consecutive colorectal carcinomas. Am J Surg Pathol 2003;27:1393-1406.</li>
<li>Prall F, Weirich V, Ostwald C. Phenotypes of invasion in sporadic colorectal carcinomas related to aberrations of the adenomatous polyposis coli (APC) gene. Histopathol 2007;50:318-30.</li>
<li>Zlobec I, Lugli A, Baker K et al. Role of APAF-1, E-cadherin and peritumoural lymphocytic infiltration in tumour budding in colorectal cancer. J Pathol 2007;212:260-8.</li>
<li>Prall F, Ostwall C. High-degree tumor budding and podia-formation in sporadic colorectal carcinomas with K-ras gene mutations. Human Pathol 2007;38:1696-702.</li>
<li>Hase K, Shatney C, Johnson D et al. Prognostic value of tumor »budding« in patients with colorectal cancer. Dis Colon Rectum 1993;36:627-35.</li>
<li>Fujimoto Y, Nakanishi Y, Sekine S et al. CD10 expression in colorectal carcinoma correlates with liver metastasis. Dis Colon Rectum 2005;48:1883-9.</li>
<li>Shinto E, Mochizuki H, Ueno H et al. A novel classification of tumour budding in colorectal cancer based on the presence of cytoplasmic pseudo-fragments around budding foci. Histopathol 2005;47:25-31.</li>
<li>Ueno H, Mochizuki H, Shinto E et al. Histologic indices in biopsy specimens for estimating the probability of extended local spread in patients with rectal carcinoma. Cancer 2002;94:2882-91.</li>
<li>Kanazawa H, Mitomi H, Nishiyama Y et al. Tumour budding at invasive margins and outcome in colorectal cancer. Colorectal Dis 2007;10:41-7.</li>
<li>Losi L, Ponti G, Di Gregorio C et al. Prognostic significance of histological features and biological parameters in stage I (pT1 and pT2) colorectal adenocarcinoma. Pathol Res Pract 2006;202:663-70.</li>
<li>Masaki T, Matsuoka H, Sugiyama M et al. Actual number of tumor budding as a new tool for the individualization of treatment of T1 colorectal carcinomas. J Gastroenterol Hepatol 2006;21:1115-21.</li>
<li>Kazama S, Watanabe T, Ajioka Y et al. Tumour budding at the deepest invasive margin correlates with lymph node metastasis in submucosal colorectal cancer detected by anticytokeratin antibody CAM5.2. Br J Cancer 2006;94:293-8.</li>
<li>Ohtsuki K, Koyama F, Tamura T et al. Prognostic value of immunohistochemical analysis of tumor budding in colorectal carcinoma. Anticancer Res 2008;28:1831-6.</li>
<li>Warnecke M, Mogensen AM, Engel UH et al. To bud or not to bud? An interobserver study. APMIS 2007;115:267-8.</li>
<li>Goldstein NS, Hart J. Histologic features associated with lymph node metastasis in stage T1 and superficial T2 rectal adenocarcinomas in abdominoperineal resection specimens. Identifying a subset of patients for whom treatment with adjuvant therapy or completion abdominoperineal resection should be considered after local excision. Am J Clin Pathol 1999;111:51-8.</li>
<li>Ishikawa Y, Akishima-Fukasawa Y, Ito K et al. Histopathologic determinants of regional lymph node metastasis in early colorectal cancer. Cancer 2008;112;924-33.</li>
<li>Kaneko I, Tanaka S, Oka S et al. Immunohistochemical molecular markers as predictors of curability of endoscopicaly resected submucosal colorectal cancer. World J Gastroenterol 2007;13:3829- 35.</li>
<li>Ueno H, Mochizuki H, Hashiguchi Y et al. Risk factors for an adverse outcome in early invasive colorectal carcinoma. Gastroenterol 2004;127:385-94.</li>
<li>Yasuda K, Inomata M, Shiromizu A et al. Risk factors for occult lymph node metastasis of colorectal cancer invading the submucosa and indications for endoscopic mucosal resection. Dis Colon rectum 2007;50:1370-6.</li>
</ol>

Woodwing Id
274851
Fil
English summary

Summary Tumour-cell dissociation as a prognostic marker in colorectal cancer Ugeskr L&aelig;ger 2009;171(39):2812-2817 The invasive front of the colorectal carcinoma (CRC) in some cases displays budding , characterized by groups of up to five tumour cells. In 2006, budding was introduced in the Danish Colorectal Cancer Group's (DCCG) and the Danish Society of Pathology and Cytology's (DSPAC) CRC register form. Based on a literature survey, molecular mechanisms that may contribute to budding are reviewed, as is the mode by which this process is registered and its putative clinical significance. Despite diverse modes of budding registration, its significance as a prognostic marker has consistently been substantiated. Additionally, data on budding may prove of value in patient management.

Bib ref
Ugeskr Læger 2009;171(39):2812-2817
Authors

Ph.d.-studerende Louise Klarskov, overlæge Ulla Højholt Engel, overlæge Anne Mellon Mogensen, overlæge Helle Lone Jensen & professor Susanne Holck i samarbejde med Danish Colorectal Cancer Group Hvidovre Hospital, Patologiafdelingen

0 likes
Read time
16