Medlem i

12 years 10 months
Indholdselementer

Tropisk sprue (TS) er en erhvervet tilstand med ukendt ætiologi. Den er hyppigt årsag til kronisk diare i Asien, Mellemamerika og dele af Sydamerika [1]. Tilstanden rammer lokale og tilrejsende, der opholder sig længere tid i disse områder, og har gennem historien været et stort problem ved militær besættelse [1].

I denne sygehistorie gennemgås et udredningsforløb for kronisk diare hos en 66-årig dansk kvinde, hvor diagnosen endte med TS.

 

SYGEHISTORIE

I november 2008 rejste en 66-årig dansk kvinde til Java i tre uger for at besøge sin søster, der var bosat her.

Patienten var i 2004 blevet levertransplanteret pga. primær biliær cirrose og var i behandling med prednisolon 2,5 mg × 1, mycophenolatmofetil 500 mg 2 × 2, tacrolimus 1 mg × 2, kalktabletter med D-vitamin samt multivitamintabletter og befandt sig godt på denne behandling.

Tre dage efter hjemkomsten fra Java fik hun vandtynd, ublodig diare op til 15 gange i døgnet. Hun havde ingen feber, lette mavekramper og enkelte opkastninger.

Der blev dyrket fæces for tarmpatogene bakterier, og der blev mikroskoperet for parasitter, men uden positive fund.

Hun blev indlagt to gange med dehydrering samt faldende hæmoglobin- og hypokaliæminiveau. Efter at der var foretaget gentagne fæcesdyrkninger uden resultat, og eftersom der ikke var nogen biokemiske tegn på infektion, blev hun efter rehydrering udskrevet til ambulant sigmoideoskopi. Denne viste normale makro- og mikroskopiske forhold.

Hun blev indlagt tredje gang med udtalt dehydrering, prærenal uræmi og acidose. Vedvarende væsketerapi og parenteral ernæring via et centralt venekateter var nødvendigt pga. et stort vægttab. Mistanken om en importeret infektion kunne ikke bekræftes ved gentagne fæcesdyrkninger. Hun undergik derfor et større udredningsforløb for andre årsager til kronisk diare: Der blev foretaget fæcesopsamling over tre døgn, og opsamlingerne blev målt for fedt og volumen, fæcesosmolalitet og anion-gap, cøliakiscreening (gliadin-immunglobulin (Ig)A og -IgG, transglutaminaseantistoffer samt total IgA) samt vævstypebestemmelse (HLA-DQ 2 og 8 samt HLA-DR), laktosebelastning, måling af S-chromogranin A, magnetisk resonans-skanning af tyndtarmen, ileokoloskopi, kapselendoskopi samt tyndtarmsaspirat for Giardia lamblia.

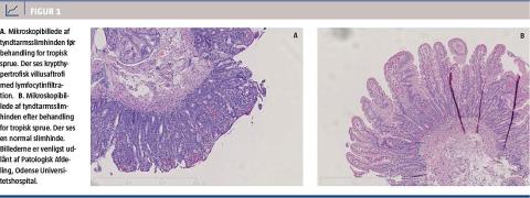
Der findes en osmotisk betinget diare (malabsorption) med et volumen på op til 500 g/dag, og med dette in mente, blev der foretaget tyndtarmsbiopsi. I tyndtarmens slimhinde fandt man krypthypertrofisk villusatrofi med betydelig infiltration af lymfocytter (Figur 1A), hvilket var foreneligt med cøliaki, og kapselendoskopien viste, at slimhinden i hele tyndtarmen, specielt distalt, havde korte villi. Der var ingen ulcerationer eller makroskopiske inflammationstegn.

I overensstemmelse hermed blev der fundet laktoseintolerans, men patienten fik det ikke bedre på laktosefri kost. Endvidere begyndte hun at spise glutenfri kost, hvilket heller ikke gav nogen effekt. Man fandt også efterfølgende, at hun var både seronegativ og vævstypenegativ for cøliaki.

Muligheden for TS kunne ikke udelukkes, hvorfor der blev påbegyndt behandling herfor med tbl. tetracyclin 250 mg × 4 + tbl. folsyre 5 mg ×1 i fire uger, mens patienten fortsatte med gluten- og laktosefri kost.

Efter et nu tremånedersforløb bedredes patienten klinisk i løbet af to uger og blev udskrevet med diagnosen TS. Opfølgende tyndtarmsbiopsier viste efter syv måneder normale forhold (Figur 1B). Patienten holdt op med at spise glutenfri kost og levede normalt.

Sidebar placering
Venstrestillet
Billede
Sidebar placering
Venstrestillet

 

DISKUSSION

TS rammer oftest lokale eller folk, der opholder sig længerevarende i troperne [1]. Denne patient opholdt sig kun kortvarigt i Indonesien, men den immunsuppresive behandling kan have disponeret hende til TS.

Ætiologien bag TS menes at være infektiøs hovedsageligt pga. tre faktorer: 1) TS forekommer i epidemier og specielt i landlige områder med dårlig sanitet, 2) muligheden for smitte af tilrejsende til afficerede områder og 3) behandlingseffekten af antibiotika [2].

Yderligere har man i flere studier påvist, at patienter med TS har en bakteriel overvækst i tyndtarmen [2]. Om dette er et sekundært fænomen, er dog uvist [1]. Denne patient var pga. den immunsupprimerende behandling disponeret til bakteriel overvækst, men ved tyndtarmsaspirat fandt man hverken vækst af tarmflora, cyster eller trofozoitter. Hvorvidt immunsystemet har betydning for, hvem der får TS, er dog ikke undersøgt endnu [1].

TS er karakteriseret ved malabsorption, mangeltilstande og mucosaabnormaliteter i tyndtarmen [1]. Dette manifesterer sig bl.a. i form af afglatning af duodenalslimhinden, villusatrofi, og sygdommen er dermed en differentialdiagnose til cøliaki. Det må dog huskes, at der er talrige årsager til villusatrofi i tyndtarmen bl.a. hypogammaglobulinæmi, mb. Whipple, hiv-associerede opportunistiske infektioner eller enteropati, eosinofil enteritis, autoimmum enteropati og giardiasis [3].

Hos denne patient var cøliaki usandsynligt pga. de seronegative og vævstypenegative fund, og fordi hendes tilstand ikke blev bedre på gluten- og laktosefri kost alene. Yderligere havde hun i efterfølgende 2,5 år spist en normal glutenholdig kost uden recidiv. Der blev i denne periode taget tyndtarmsbiopsier, der viste normale forhold.

Der er ikke én diagnostisk test for TS. Man bør overveje diagnosen hos patienter, der har opholdt sig i længere tid i troperne, og hvor der ikke findes anden årsag til deres kroniske diare. Patienterne bør altså udredes grundigt som beskrevet ovenfor, før diagnosen TS overvejes.

Var denne patients tilstand ikke blevet bedre efter behandlingen for TS, ville man være gået videre med en fuldvægsbiopsi af tyndtarmen obs. transplantationsimmunsuppressionsbetinget lymfatisk proliferativ tarmsygdom, som man også hurtigt bør tænke på hos en patient, der er i immunsupprimerende behandling og har kliniske symptomer som patienten i denne sygehistorie.

 

KORRESPONDANCE: Stine Astrup Hvattum, Medicinsk Gastroenterologisk Afdeling S, Odense Universitetshospital, Sdr. Boulevard 29, 5000 Odense.

E-mail: stineah@gmail.com

ANTAGET: 29. august 2012

FØRST PÅ NETTET: 11. marts 2013

INTERESSEKONFLIKTER: rrespondance:

Sidebar placering
Venstrestillet
Article type
Journal
Magazine
Section
References

<h2>LITTERATUR</h2>
<ol type="d">
<li><p>Ramakrishna BS, Venkataraman S, Mukhopadhya A. Tropical malabsorption. Postgrad Med J 2006;82:779-87. </p></li>
<li><p>Ghoshal UC, Ghoshal U, Ayyagari A et al. Tropical sprue is associated with contamination of small bowel with aerobic bacteria and reversible prolongation of orocecal transit time. J Gastroenterol Hepatol 2003;18:540-7. </p></li>
<li><p>Shah VH, Rotterdam H, Kotler DP et al. All that scallops is not celiac disease. Gastrointest Endosc 2000;51:717-20.</p></li>
</ol>

Woodwing Id
21344
Fil
Conflict of interest
English summary

A Danish woman who was on immunosuppressive medication due to a previous liver transplantation travelled to Indonesia for three weeks. After returning she developed nonfebrile severe, watery diarrhoea, dehydration and malnutrition. A thorough examination revealed small intestine changes, which were compatible with coeliac disease. However, the HLA-type and the serology did not support this diagnosis. Treatment for tropical sprue was initiated, resulting in complete remission. Tropical sprue is suggested to be an infectious disease. It is usually seen in people with prolonged stay in tropical areas, but this patient&rsquo;s medication may have predisposed her.

Authors workplaces

Medicinsk Gastroenterologisk Afdeling S, Odense Universitetshospital

Ugeskr Læger 2014;176:V08120444

Authors

Stine Astrup Hvattum & Ove B. Schaffalitzky de Muckadell

0 likes
Read time
5