Medlem i

12 years 10 months
Indholdselementer

I Danmark er tuberkulose en relativt sjælden sygdom med en incidensrate i 2015 på 6,3/100.000 [1]. Ekstrapulmonal tuberkulose ses hyppigst urogenitalt, fraset i lymfeknuder [2]. I perioden 2011-2015 blev der årligt anmeldt 1-5 tilfælde af urogenital tuberkulose (UGTB), som hovedsageligt forekom hos personer af anden etnisk herkomst end dansk [1]. For den enkelte kliniker i Danmark vil UGTB derfor være et sjældent syn. UGTB rammer ofte nyrer, urinblære, prostata, bitestikler og testikler [3].

SYGEHISTORIE

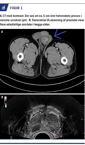
En 52-årig danskfødt mand, som tidligere havde haft et alkoholoverforbrug, fik pga. et røntgenverificeret infiltrat på højre lunge foretaget CT af thorax og abdomen. Der sås en tumorsuspekt proces i venstre scrotum og en tumorsuspekt forandring i relation til venstre vesicula seminalis (Figur 1A). Desuden sås der metastasesuspekte infiltrater i lungerne. På grund af dette blev han henvist til udredning i urologisk regi under mistanke om cancer testis.

Sidebar placering
Venstrestillet
Billede
Sidebar placering
Venstrestillet

Han havde i de seneste par måneder inden henvisningen haft udtalt nattesved og følt, at der var en hævelse af venstre scrotum. Han havde ikke følt nogen smerte, og tumormarkørerne, inklusive måling af alfaføtoproteinniveauet, var negative. En UL-skanning af scrotum viste en stor solid proces i venstre testikel. En transrektal UL-skanning (TRUS) viste suspekte forandringer i prostata og en suspekt proces i relation til venstre vesicula seminalis (Figur 1B). Der blev taget biopsier fra prostata og vesicula seminalis, og efterfølgende blev der udført operativ eksploration af venstre testikel. Der blev aspireret 70 ml strågul væske fra et hydrocele
i venstre skrotalhalvdel. Bitestiklen var inflammeret og adhærent til scrotumhuden. Testiklen fremstod med omfattende makroskopiske forandringer af inflammatorisk art, og efter aftale med patienten blev der udført orkiektomi. Der var ingen malignitetssuspicio.

Det foreløbige patologisvar på frysesnit beskrev inflammation og granulomatøst væv, og ved en efterfølgende patologisk undersøgelse bekræftedes frysesnitsdiagnosen. Der blev set testisvæv med nekrostiserende granulomer. Der var ingen tegn på malignitet, og ingen syre-/alkoholfaste stave ved Ziehl-Neelsen-farvning.
En efterfølgende polymerasekædereaktionsundersøgelse for Mycobacterium tuberculosis-kompleks var positiv. Konklusionen var således, at det drejede sig om testis med tuberkulose. Senere svar på biopsierne, som var blevet taget i forbindelse med TRUS, viste nekrose og inflammation, der fokalt var granulomatøs, hvilket var fuldt foreneligt med tuberkulose.

På baggrund af tidligere sete infiltrative forandringer i lungerne blev patienten henvist til en lungemedicinsk afdeling til yderligere diagnostik. Her påbegynde man standard antituberkuløs behandling.

DISKUSSION

Forekomsten af tuberkulosetilfælde i København er
højere end i resten af landet (incidensrate på 17/
100.000). Hos risikogrupper som socialt marginaliserede personer, herunder personer med alkoholmisbrug, er forekomsten højest [4]. Patienten i sygehistorien havde tidligere haft et alkoholmisbrug og i en periode stået uden bolig. Han kan derfor have befundet sig i en gruppe med højere risiko for at blive smittet med tuberkulose.

UGTB rammer mænd dobbelt så hyppigt som kvinder, og ofte er det mænd i 20-40-års alderen [3]. Syg-dommen kan opstå i forbindelse med den primære infektion, men også efter en lang latensperiode, endda helt op til 20-30 år efter den primære infektion [3].

Symptomerne på UGTB er mangeartede og afhænger af lokalisationen (Tabel 1). Ved testistuberkulose ses der ofte en skrotal udfyldning, der kan være smertefuld og, som hos patienten i sygehistorien, svær at skelne fra malignitet, som er en langt hyppigere årsag til skrotal udfyldning.

Sidebar placering
Venstrestillet
Billede
Sidebar placering
Venstrestillet

Mekanismen bag disseminering af M. tuberculosis til testis er ikke fuldt klarlagt. Det formodes, at det i de fleste tilfælde drejer det sig om retrograd spredning af bakterien fra et affekteret urinvejssystem til prostata. Herfra via ductus deferens og epididymis til testis. En anden mekanisme til spredning af bakterien kan være hæmato- og lymfogen [5].

Behandlingen af UGTB er antituberkuløs kemoterapi, som gives i minimum seks måneder. De første
to måneder består behandlingen af daglig isoniazid, rifampicin, pyrazinamid og ethambutol, og herefter fire måneders daglig behandling med isoniazid og rifampicin [3]. Dette er standardbehandling for de fleste former for tuberkulose, både ekstrapulmonal og pulmonal.

Trods den lave incidens af tuberkulose i Danmark er det, som sygehistorie vidner om, fortsat vigtigt at udelukke UGTB i den urologiske udredning af diffuse eller atypiske symptomer. Manglende opmærksomhed på UGTB kan være medvirkende til den lave incidens i Danmark. Desuden er UGTB ofte led i mere generaliseret sygdom. Underdiagnosticering af smittefarlig pulmonal tuberkulose kan føre til øget smittespredning.

Korrespondance: Thomas Christensen.
E-mail: thomasc87@hotmail.com

Antaget: 31. maj 2017

Publiceret på Ugeskriftet.dk: 21. august 2017

Interessekonflikter: ingen.

Sidebar placering
Venstrestillet
Article type
Journal
Magazine
Section
References

<h2>LITTERATUR</h2>
<ol type="d">
<li><p>Tuberkulose 2011-2015. EPI-NYT 2015.</p></li>
<li><p>Khan S, Haroon N, Azami R et al. Isolated tuberculosis of tunica albuginea and tunica vaginalis presenting as acute hydrocoele: a diagnostic dilemma. BMJ Case Rep 2015;7:2015.</p></li>
<li><p>Jensen SG, Olsen NW, Seersholm N et al. Sreening for TB by sputum culture in high risk groups in Copenhagen, Denmark: a novel and promising approach. Thorax 2015;70:979-83.</p></li>
<li><p>Das A, Batabyal S, Bhattacharjee S et al. A rare case of isolated testicular tuberculosis and review of literature. J Family Med Prim Care 2016;5:<br>468-70.</p></li>
<li><p>Wise GJ, Shteynshlyuger A. An update on lower urinary tract tuberculosis. Curr Urol Rep 2008;9:305-13.</p></li>
</ol>

Woodwing Id
98607
Fil
Conflict of interest
English title
Accidental find of scrotal tuberculosis on a computed tomography
English summary

The prevalence of tuberculosis in Denmark is low compared to many developing countries. It is most commonly found in socially marginalized communities. We present an unusual case of a man, who was referred to urological treatment as a computed tomography had showed a tumour with a suspicious process in the left scrotum and in relation to the left seminal vesicle. Histopathology of the testis showed granuloma formation. A Ziehl-Neelsen staining showed no acid-fast bacilli, but polymerase chain reaction revealed Mycobacterium tuberculosis. Antituberculous treatment was commenced.

Authors workplaces

Urologisk Afdeling H, Herlev og Gentofte Hospital

Ugeskr Læger 2017;179:V03170234

Bib ref
Ugeskr Læger 2017;179:V03170234
Article number
V03170234
Authors

Thomas Christensen, Sami Beji & Nis Nørgaard

0 likes