Medlem i

12 years 10 months
Indholdselementer
Billede
Sidebar placering
Venstrestillet


Testiscancer er den hyppigste maligne sygdom hos mænd i alderen 15-35 år, men den er sjælden hos patienter over 60 år. Tumorer i testiklen udgår i 95% af tilfældene fra germinalcellerne. Germinalcelletumorer deles op i seminomer og nonseminoner, hvoraf sidstnævnte oftest er blandingstumorer, der består af embryonalt karcinom, blommesækstumor, teratom eller koriokarcinom. Blommesækstumor er den hyppigste form for testiscancer hos børn, hvor den stort set altid forekommer alene, mens den hos voksne normalt ses hos yngre patienter og oftest indgår som en komponent i en blandet germinalcelletumor [1]. Vi præsenterer her et tilfælde af en blommesækstumor hos en 82-årig patient.

SYGEHISTORIE

En 82-årig mand blev henvist under diagnosen tumor testis dxt. Patienten var urologisk set velbefindende og symptomfri. Ved en objektiv undersøgelse fandt man højre testikel hård og knoldet, venstre testikel var upåfaldende. Ved en ultralydskanning bekræftedes højresidig tumor testis. Der blev foretaget højresidig orkiektomi, hvor man peroperativt fandt en lille knudret testikel med svært patologisk udseende. Der blev ikke taget tumormarkører præoperativt, og pga. patientens alder undlod man at tage kontralateral biopsi.

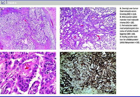
De patologiske undersøgelser viste en malign germinalcelletumor af blommesækstumortype. Makroskopisk var tumoren lille, 18 × 17 mm, og primært gullig, men også med grålige og hæmorargiske områder, hvor der i det nærliggende væv var små spredte nodulilignende tumorer med tilsvarende udseende. Mikroskopisk (Figur 1 ) var tumoren heterogen, bestod af adenoidt væv med irregulære solide mikroglandulære foci og flere steder et retikulært netagtigt stroma med spredte epiteliale celler. Det histologiske billede var særdeles karakteristisk for blommesækstumor, og der blev påvist Shciller-Duval-legemer, hvilket er patognomonisk for blommesækstumor. Der kunne ikke påvises andre vævstyper i tumoren. Man fandt infiltrativ vækst i rete testis, men ingen vaskulær eller lymfatisk infiltration. Der var ikke gennemvækst af tunica albuginea og funiklens resektionsrand var fri. Immunhistokemisk farvning viste udtalt positiv reaktion for alfa1-føtoprotein (AFP) (Figur 1), glypican, CD117 og cytokeratin, mens humant choriongonadotropin (HCG), prostataspecifikt antigen, vimentin, calretinin, placenta-alkalisk fosfatase og CDX-2 var negative.

Postoperativt blev der foretaget computertomografi af thorax og abdomen, som var uden tegn på metastaser, og der blev taget tumormarkører, AFP, HCG og laktatdehydrogenase, som alle var normale. Der var således tale om en blommesækstumor T1, N0, M0.

Behandlingen af denne patient bestod udelukkende af orkiektomi, og opfølgningen bestod af klinisk kontrol i form af palpation af venstre testikel.

DISKUSSION

Malign germinalcelletumor hos personer, der er ældre end 60 år, er meget sjælden. Ved gennemgang af litteraturen fandt vi to større relevante studier. I det ene studie [2] omtales blommesækstumor ikke, da denne ikke var kendt som en separat tumortype på daværende tidspunkt. I det andet nyere studie [3] fandt man blommesækstumor som en komponent i blandingstumorer i fire ud af 50 (8%) tilfælde, men man fandt ingen rene blommesæksneoplasmer. Vi fandt således ingen tidligere beskrivelser af rene blommesækstumorer hos ældre patienter.

Ud over det faktum, at der er tale om et meget sjældent tilfælde, er det bemærkelsesværdige ved denne sygehistorie, at patienten havde et tidligt tumorstadium, T1. Ældre har oftest sygdom på et mere fremskredet stadium på diagnosetidspunktet [3] og har dermed en dårligere prognose. Juvenil blommesækstumor har en stærk tendens til at metastasere hæmatogent, mens blommesækstumorer hos voksne har større tendens til lymfogen metastasering ligesom andre nonseminom-germinalcelletumorer [4]. I dette tilfælde havde patienten en god prognose, da der var normale tumormarkører og ingen tegn til metastaser postoperativt.

src="/LF/images_ufl/ufl_bla.gif">
Trine Møller Hansen , Urologisk Afdeling, Roskilde Hospital, Køgevej 7-13, 4000 Roskilde. E-mail: trinemollerhansen@gmail.com

ANTAGET: 10. oktober 2011

FØRST PÅ NETTET: 23. januar 2012

INTERESSEKONFLIKTER: Forfatternes ICMJE-formularer er tilgængelige sammen med artiklen på Ugeskriftet.dk



Sidebar placering
Venstrestillet
Article type
Journal
Magazine
Section
References

<ol class="Litt-list">
<li>Talerman A. Endodermal sinus tumor elements in testicular germ-cell tumors in adults. Cancer 1980;46:1213-7.</li>
<li>Abell MR, Holtz F. Testicular and paratesticular neoplasms in patients 60 years of age and older. Cancer 1968;21:852-70.</li>
<li>Berney DM, Warren AY, Verma M et al. Malignant germ cell tumours in the elderly. Mod Pathol 2008;21:54-9.</li>
<li>Foster RS, Hermans B, Bihrle R et al. Clinical stage I pure yolk sac tumor of testis. J Urol 2000;164:1943-4.</li>
</ol>

Woodwing Id
260382
Fil
Conflict of interest
English summary

Summary A testis tumour in an 82 year-old Ugeskr L&aelig;ger 2012;174(18):1234-1235 An 82 year-old man presented with a unilateral tumour in the right testis. A complete orchiectomy was subsequently performed. Histological examination showed a malign germ cell tumour of yolk sac type. Rete testis invasion was present, but there was no vascular or lymphatic invasion and the tumour did not extend tunica albuginea. Computed tomography of the abdomen caused no suspicion of metastasis and there were no elevated tumour markers postoperative. Yolk sac tumour in the elderly is very uncommon, but the diagnosis is important since it has a different clinical behaviour than juvenile yolk sac tumours.

Bib ref
Ugeskr Læger 2012;174(18):1234-1235
Authors

Trine Møller Hansen1 & Marie Fredslund Breinholt2 1) Urologisk Afdeling, Roskilde Sygehus 2) Patologiafdelingen, Roskilde Sygehus

0 likes
Read time
4