Medlem i

12 years 10 months
Indholdselementer

Tatoveringer bliver mere og mere populære, og det anslås, at omkring 15% af den danske befolkning er tatoverede [1]. Historisk set har man været mest bekymret for infektionsrisiko, når man talte om tatoveringer, men tatoveringsblæk kan også give andre udfordringer. Tatoveringer er aflejringer af farvestof i huden, som i nogle tilfælde kan migrere til lymfeknuderne og skabe problemer ved undersøgelse og diagnose af patienter med tatoveringer. Disse pigmentforandringer kan fejldiagnosticeres som malignt melanom [2], blåfarvning ved sentinel node-statuering eller ligne maligne forkalkninger på en mammografi [3]. Fænomenet kan være misledende og i værste fald medvirke til fejldiagnostik og dermed fejlbehandling af patienten.

Sygehistorie

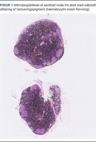
En 31-årig kvinde blev diagnosticeret med brystkræft efter fund af en 8 mm stor cancer. Patienten fik neoadjuverende kemoterapi, og på grund af sin unge alder valgte hun at få lavet bilateral mastektomi og rekonstruktion. I forbindelse med sentinel node-dissektion fandt man en bemærkelsesværdig mørk lymfeknude, som rejste mistanke om malignt melanom. Lymfeknuden blev sendt til histologisk undersøgelse og viste sig at være fyldt med tatoveringsblæk (Figur 1), men uden tegn på metastaser fra malignt melanom eller brystkræft. En meget kraftigt pigmenteret lymfeknude kræver særlig opmærksomhed i forbindelse med mikroskopi, idet tatoveringspigment kan kamuflere eventuelle metastaser. Immunhistokemisk undersøgelse for lavmolekylær cytokeratin er en del af den diagnostiske procedure og bidrager til endelig diagnostik.

Sidebar placering
Venstrestillet
Billede
Sidebar placering
Venstrestillet

Patienten havde flere håndfladestore tatoveringer på armene, som formentlig var ophav til farven i hendes lymfeknude.

Diskussion

Aktuelt er der ikke et standardiseret regelsæt for farveingredienser i tatoveringsblæk, som ofte kan indeholde tungmetaller [1]. I 2022 indtræder et nyt regelsæt, som skal beskytte mod de potentielt skadelige effekter fra problematiske indholdsstoffer i tatoveringsblæk. Risikoen forbundet med ophobning af tungmetaller eller andre potentielle karcinogene stoffer fra tatoveringsblæk i kroppen er ukendt, og senfølgerne kendes endnu ikke [4]. Der er også andre risikofaktorer forbundet med tatovering, blandt andet allergiske reaktioner, bakterielle infektioner og lymfødem [5]. Tatoveringer falmer, fordi aktiverede makrofager flytter pigmentet fra huden til de regionale lymfeknuder. I dette tilfælde mistænkte man malignt melanom på grund af den mørke pigmentering af lymfeknuden, men en mørkfarvning af lymfeknuden kunne også forveksles med Patent Blue, som bruges til sentinel node-dissektion, og dermed kunne en ellers uafficeret lymfeknude fjernes fejlagtigt.

Der er tidligere beskrevet tilfælde, hvor tatoveringsblæk ligner maligne forkalkninger i de intramammære lymfeknuder på en mammografi [3]. Makroskopisk er en lymfeknude, som indeholder tatoveringsblæk, ofte normal i størrelse og tekstur, men af variabel mørk pigmentering. Det er nødvendigt for både kirurgen og patologen at være opmærksomme på dette fænomen for at kunne stille den korrekte diagnose. Kirurgen hjælpes af en grundig anamnese og objektiv undersøgelse, hvor patologen bruger immunhistokemisk undersøgelse for lavmolekylær cytokeratin som et vigtigt differentieringsværktøj.

Det er vigtigt at kende til de udfordringer, som tatoveringsblæk kan give, da en fejlagtig diagnose kan have alvorlige konsekvenser.



Korrespondance Josephine Dissing. E-mail: jdissing_651@hotmail.com
Antaget 21. januar 2022
Publiceret på ugeskriftet.dk 11. april 2022
Interessekonflikter ingen. Forfatternes ICMJE-formularer er tilgængelige sammen med artiklen på ugeskriftet.dk
Referencer findes i artiklen publiceret på ugeskriftet.dk
Artikelreference Ugeskr Læger 2022;184:V11210847

Sidebar placering
Venstrestillet
Article type
Journal
Magazine
Section
References

Referencer

  1. https://www.videncenterforallergi.dk/wp-content/uploads/files/eksterne-filer/Resultat_af_panelundersøgelsen_fra_YouGov.pdf. (maj 2013).

  2. Chikkamuniyappa S, Sjuve-Scott R, Lancaster-Weiss K et al. Tattoo pigment in sentinel lymph nodes: a mimicker of metastatic malignant melanoma. Dermatol Online J. 2005;11(1):14.

  3. Matsika A, Srinivasan B, Gray JM, Galbraith CR. Tattoo pigment in axillary lymph node mimicking calcification of breast cancer. BMJ Case Rep. 2013;2013:bcr2013200284.

  4. Laux P, Tralau T, Tentschert J et al. A medical-toxicological view of tattooing. Lancet. 2016;387(10016):395-402.

  5. Serup J. Atlas of illustrative cases of tattoo complications. Curr Probl Dermatol. 2017;52:139-229.

Woodwing Id
68613
Fil
Conflict of interest
English title
Suspicion of malignant melanoma in a lymph node caused by tattoo pigment
English summary

Josephine Dissing, Camilla Bille & Anne Marie Bak Jylling

Ugeskr Læger 2022;184:V11210847

This is a case report of a 31-year-old woman going through cancer staging after being diagnosed with breast cancer. During sentinel node dissection, a remarkable dark lymph node was found. Metastatic malignant melanoma was suspected, but with careful histochemical examination the lymph node was confirmed to only contain tattoo pigment. The patient had rather large tattoos on her arms, which was suspected to be the source of the ink in her lymph nodes. Tattoo pigment can complicate cancer staging, and it is important to know this rare effect on lymph nodes when dealing with cancer staging.

Authors workplaces

1) Plastikkirurgisk Afdeling, Odense Universitetshospital, 2) Afdeling for Klinisk Patologi, Odense Universitetshospital

Ugeskr Læger 2022;184:V11210847

Bib ref
UgeskrLæger 2022;184:V11210847
Article number
V11210847
Authors

Josephine Dissing1, Camilla Bille1 & Anne Marie Bak Jylling2

0 likes