Medlem i

12 years 10 months
Indholdselementer
Billede
Sidebar placering
Venstrestillet
Billede
Sidebar placering
Venstrestillet
Billede
Sidebar placering
Venstrestillet
Billede
Sidebar placering
Venstrestillet


Introduktion: Stumpe isolerede pancreastraumer er sjældne, men udgør en meget alvorlig tilstand. Diagnosen og behandlingen er ofte forsinket, hvilket øger morbiditeten og mortaliteten betydeligt. Forsinkelsen er betinget af en ukarakteristisk symptomatologi samt anvendelse af parakliniske og radiologiske diagnostiske metoder, der er behæftet med lav initial sensitivitet og specificitet. Formålet med dette arbejde er at beskrive de diagnostiske vanskeligheder samt anvendeligheden af de forskellige radiologiske modaliteter. Herudover diskuteres behandlingsprincipperne.

Materiale og metoder: I perioden 1995-2000 blev der i alt behandlet tre patienter med stumpe isolerede pancreastraumer. Der foretages en retrospektiv gennemgang, der er baseret på patientjournalerne.

Resultater: I tre sygehistorier ses klassiske skademekanismer og en karakteristisk forsinkelse af diagnosen og behandlingen på 1-2 døgn.

Diskussion: Den hyppige forsinkelse af diagnosen og behandlingen af det stumpe pancreastraume stiller krav om en mere optimal strategi for håndtering af stumpe abdominaltraumer. Vi anbefaler følgende diagnostiske algoritme: gentagne målinger af S-amylase initialt. Billeddiagnostik med dynamisk spiral-CT med både peroral og intravenøs kontrast. CT gentages eller suppleres med MR-kolangiopankreatikografi ved fortsat mistanke om pancreaslæsion trods normale forhold ved den initiale CT.

.

Pancreastraumer udgør en mindre del af de abdominale traumer, hvoraf en tredjedel er stumpe (1-4). Mortaliteten for alle pancreastraumer er ca. 20% med associerede læsioner i duodenum, milt og lever som hyppigste dødsårsag (1, 4-6). De stumpe isolerede pancreastraumer udgør en alvorlig, men dog mindre del af alle pancreastraumer (7).

Diagnostikken af den isolerede pancreaslæsion er ofte vanskelig og forsinket. En ukarakteristisk symptomatologi samt anvendelsen af upålidelige diagnostiske metoder initialt er ofte årsagen hertil. Dette er af særlig betydning, idet forsinkelse af diagnosetidspunktet og dermed relevant behandling er forbundet med betydelig øget morbiditet og mortalitet (7). Der findes i dag flere radiologiske undersøgelsesmu-ligheder til billeddiagnostik af pancreaspatologi. Ultralyd (UL) og dynamisk spiral computertomografi (CT) har hidtil været de anvendte metoder. Nye modaliteter, såsom magnetisk resonans (MR)-scanning og MR-kolangiopankreatikografi (MRCP) er nye alternativer.

På baggrund af kliniske observationer ønsker vi med dette arbejde at beskrive de diagnostiske vanskeligheder ved stumpe pancreastraumer samt anvendeligheden af de tilgængelige og nye radiologiske modaliteter. Herudover beskrives og diskuteres behandlingsprincipper.

Materiale og metoder

På kirurgisk gastroenterologisk afdeling D, Amtssygehuset i Herlev blev der i perioden 1995-2000 opereret i alt tre patienter med isolerede stumpe pancreastraumer.

Resultater

Sygehistorier

1. En syvårig pige blev indlagt få timer efter et styrt på cykel. Cykelstyret havde ramt den øvre abdomen, og patienten klagede ved indlæggelsen over smerter i epigastriet. Objektivt var hun let smertepåvirket, blodtrykket var på 100/80 mmHg og pulsen på 100. I epigastriet fandtes der et kontusionsmærke, men abdomen var uden diffus peritonealia. Initial UL-scanning viste normale forhold. S-amylase blev ikke undersøgt initialt. Seksten timer efter traumet forværredes tilstanden med hyppige alimentære opkastninger, febrilia (38,2°C), takykardi (120) og S-amylase >4.100 U/l. En fornyet UL-scanning viste fri væske i fossa Douglassi, men fortsat ingen organlæsion. Derimod viste efterfølgende dynamisk CT (Fig. 1), at pancreas var diffust ødematøst for-størret og med ansamling i det peripankreatiske rum, samt at der var en fraktur af pancreas i corpus cauda-overgangen. De øvrige organer var normale. Ved laparotomi fandtes der et hæmatom i mesocolon ud for en subtotal lodret ruptur i corpus pancreatis med overrevet ductus pancreaticus major. Der blev foretaget resektion af den distale del af pancreas. Det postoperative forløb var ukompliceret.

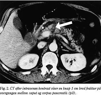
2. En 55-årig mand blev indlagt ca. 12 timer efter at være blevet sparket i abdomen. Patienten klagede ved indlæggelsen over tiltagende øvre abdominalsmerter. Objektivt fandtes han upåvirket og afebril. Blodtrykket blev målt til 150/60 mmHg og pulsen til 80. Abdomen fandtes blødt og med lokaliseret ømhed i epigastriet og ud under begge kurvaturer, men uden diffus peritonealia. S-amylase var på 542 U/l og leukocyttallet på 14,6 mia/l. Dynamisk CT (Fig. 2) viste et moderat ødem samt et tværgående hæmatom i corpus pancreatis. Den følgende dag var S-amylase steget til 2.228 U/l. En MR-scanning viste, at der var en læsion i corpus pancreatis, og ved MRCP (Fig. 3) blev der påvist diskontinuitet af ductus pancreaticus major. Ved laparotomi fandt man et hæmatom omkring milten samt en ruptur i pancreas ved collum pancreatis med overrevet ductus pancreaticus major. Der blev foretaget resektion af cauda og corpus pancreatis samt splenektomi. Det postoperative forløb var kompliceret af sekretion fra pancreasresektionsranden. Dette blev drænbehandlet med ophør af sekretion efter tre uger.

3. En 31-årig, alkoholiseret kvinde blev indlagt efter angiveligt at være faldet på en trappe dagen forinden. Patienten klagede over tiltagende diffuse mavesmerter. Objektivt var hun smerteforpint, blodtrykket måltes til 140/90 mmHg og pulsen til 100. Patienten var febril (38,3°C). Abdomen fandtes blød, men distenderet og med diffus palpationsømhed specielt under hø. kurvatur, dog uden diffus peritonealia. S-amylase blev målt til 1.915 U/l, Hb til 7,3 mmol/l og leukocyttallet til 14,1 mia/l. Ved UL-scanning sås der væskebræmmer omkring leveren og milten samt en stor ansamling i det lille bækken, anslået mængde ca. 1 l. Ved prøvepunktur blev der udhentet frisk blod. Med baggrund i patientens alkoholmisbrug tolkedes tilstanden som hæmoragisk pancreatitis. CT den efterfølgende dag viste en fraktur ved corpus pancreatis samt udtalt intraabdominal væskeansamling. Ved laparotomi fandt man ruptur af pancreas i collum pancreatis med overrevet ductus pancreaticus major. Der blev foretaget resektion af den distale pancreas samt splenektomi. Det postoperative forløb blev kompliceret af sekretion fra resektionsfladen. ERCP viste frit afløb fra slank rest af ductus pancreaticus. Patienten blev drænbehandlet. Ved kontrol-UL-scanning seks uger senere sås en stor cyste i cauda pancreatis-regionen. Cysten blev tømt under UL-vejledning. Cysten var gendannet ved kontrol-UL-scanning tre måneder senere, men patienten ønskede ikke yderligere behandling.

Diskussion

Den isolerede pancreaslæsion er en alvorlig tilstand, som initialt ofte kun giver ukarakteristiske, svage og uspecifikke symptomer og objektive fund. Herudover er de vanligt anvendte initiale undersøgelsesmetoder (UL-scanning og S-amylase) behæftet med lav specificitet og sensitivitet herfor (7).

Forsinkelsen

I de her beskrevne sygehistorier blev der observeret en forsinkelse på diagnose og behandling på op til to døgn. Dette er af betydning, da forsinkelse af diagnostikken og dermed relevant behandling af det isolerede pancreastraume på over et døgn er forbundet med øget morbiditet og mortalitet (7). Denne hyppige og alvorlige forsinkelse stiller dermed krav om en mere optimal strategi for håndtering af stumpe abdominaltraumer. De forsinkende faktorer må kortlægges, og de billeddiagnostiske modaliteters validitet og anvendelighed må vurderes. Leppäniemi et al (8) påpeger tre risikofaktorer, der er forbundet med en forsinket diagnose af pancreaslæsioner: stumpe traumer, isolerede læsioner af pancreas samt et ændret bevidsthedsniveau som følge af alkoholintoksikation. Da der endvidere er en stigende tendens til konservativ behandling af stabile patienter med lever- og miltlæsioner, må der også stilles krav om en pålidelig metode til udelukkelse af en læsion af pancreas, hvorved risikoen for at overse en behandlingskrævende pancreaslæsion nedsættes.

Trods indlæggelse få timer efter traumet blev diagnosen i sygehistorie 1 forsinket, og patienten blev først opereret efter ca. et døgn. Den svage symptomatologi, en initial normal UL-scanning samt en sen bestemmelse af S-amylase har i dette tilfælde været afgørende forsinkende faktorer. Forsinkelsen af diagnosen og behandlingen i sygehistorie 2 og 3 var ca. to døgn. I begge tilfælde blev patienterne først indlagt henholdsvis ca. et halvt døgn og et helt døgn efter traumet. Forsinkelsen i sygehistorie 2 blev yderlig udbygget, idet man trods påvist hyperamylasæmi og CT-verificeret pancreashæmatom ventede med at foretage en MR-scanning til den efterfølgende dag. I sygehistorie 3 var forsinkelsen endvidere betinget af mistolkning af det påviste massive hæmoperitoneum i kombination med hyperamylasæmi.

Anamnesen

Anamnesen med afklaring af skadesmekanismen er vigtig. Den karakteristiske skadesmekanisme for stumpe isolerede pancreastraumer hos børn er fald på cykel, hvor cykelstyret stødes op i epigastriet (3, 9), hvorved pancreas komprimeres mod columna vertebralis. Hos voksne er skadesmekanismerne af mere variende karakter, om end disse domineres af trafikulykker med ratstammelæsion og stump vold (4). I alle tre sygehistorier var skadesmekanismen klassisk for det stumpe pancreastraume. Den svage og ukarakteristiske initiale symptomatologi er formentligt betinget af den retroperitoneale lokalisation af pancreas, hvorfor symptomerne oftest er begrænset til let ømhed i epigastriet. Hos alle tre patienter fandtes kun let ømhed i øvre abdomen og ingen diffus peritonealia ved indlæggelsen.

Biokemiske markører

Anvendelsen af S-amylase i diagnostikken af et pancreastraume har været diskuteret pga. dens lave specificitet. S-amylase kan endog initialt være normal, men bliver nok forhøjet hos alle inden for de første tre timer posttraumatisk (9). Læsion af ductus pancreaticus kunne resultere i højere S-amylase- og S-lipaseniveau end ved parenkymatøs læsion af pancreas. Nadler et al (6) konkluderer da også, på baggrund af et større materiale af børn, der har været udsat for stumpt pancreastraume, at et S-amylaseniveau på >200 U/l og et S-lipaseniveau på >1.800 U/l kan være værdifulde markører ved læsion af ductus pancreaticus.

Billeddiagnostik

Der findes i dag flere radiologiske undersøgelser til billeddiagnostik af pancreaspatologi. UL-scanning og dynamisk spiral-CT har hidtil været de foretrukne billeddiagnostiske modaliteter.

UL-scanning har pga. den lave sensitivitet ingen diagnostisk værdi ved det akutte pancreastraume. Dette skyldes, at den ofte ledsagende meteorisme umuliggør detaljeret vurdering af pancreas, samt at ved UL-scanning baseres mistanken om organlæsion ofte på tilstedeværelsen af hæmoperitoneum, der dog ikke nødvendigvis ledsager den retroperitoneale pancreaslæsion (10, 11).

Dynamisk spiral-CT har en sensitivitet på 67-85% for læsioner i pancreas (12, 13). CT-diagnosen bygger dels på specifikke tegn: synlig pancreasfraktur, pancreashæmatom eller -forstørrelse, væske mellem vena lienalis og pancreas eller peripankreatisk hyperdensitet, og dels på uspecifkke tegn; fortykket Gerotas fascie, væske i lille sæk eller anden peritoneal væske, ekstraperitoneal væske eller andre organlæsioner (fx milten) i regionen. Selv alvorlige pancreaslæsioner med ductuslæsion kan dog være CT-negative i den akutte fase (14). CT'en viste i alle tre sygehistorier såvel specifikke som uspecifikke tegn, men kun i sygehistorie 1 og 2 fik patienten foretaget eksplorativ laparotomi på dette grundlag.

MR-scanning, og specielt MRCP, har større bløddelskontrast end CT, og er sandsynligvis diagnostisk mere valid end CT til påvisning af parenkymlæsioner og afklaring af integriteten af ductus pancreaticus. Der foreligger fortsat ingen større randomiserede studier heraf, men Fulcher et al (15) anfører på baggrund af et mindre materiale med overvejende stumpe traumatiske pancreaslæsioner, at MRCP præcist og hurtigt kan vise ductus pancreaticus. Denne opfattelse støttes af flere kasuistiske meddelelser (16, 17). MRCP blev kun foretaget i sygehistorie 2, hvor der blev påvist diskontinuitet af ductus pancreaticus.

ERCP skal kun anvendes til selekterede patienter pga. undersøgelsens relativt høje morbiditet og mortalitet. Specielt er ERCP indiceret i tilfælde af, at scanning ikke kan foretages, eller hvor man samtidig ønsker at foretage et endoskopisk terapeutisk indgreb, som fx anlæggelse af en aflastende endoprotese.

Behandling

Behandlingen af pancreaslæsioner afhænger af læsionernes karakter. Tidlig operativ intervention ved læsion af ductus pancreaticus medfører lavere morbiditet og færre komplikationer (6). Ved eksplorativ laparotomi skal hele pancreas efterses. Caput pancreatis og duodenum skal mobiliseres ved Kochers manøvre. Endvidere bør Treitz' ligament deles for at synliggøre duodenums tredje stykke. En simpel parenkymatøs læsion med intakt ductus pancreaticus behandles med drænage, evt. med perkutan UL-vejledt drænage. Ved læsion af ductus pancreaticus bør der foretages distal pancreatektomi samt evt. splenektomi som i sygehistorierne 2 og 3. Hvis læsionen nødvendiggør resektion af mere end 80% af pancreas, kan der foretages intern drænage med interposition af Roux-en-Y-slynge. Ved kombineret pancreas- og duodenallæsion foretages pancreatiko-duodenektomi. Alternativt kan der foretages rekonstruktiv samt aflastende kirurgi efter velbeskrevne metoder (1, 2, 7).

Effekten af profylaktisk medicinsk hæmning af eksogen pancreassekretion med somatostatin receptoragonist Sandostatin (octreotid) i tillæg til ovenstående kirurgiske behandling er fortsat uafklaret, men må anbefales på det foreliggende grundlag (1 8).

Komplikationerne til pancreaslæsioner omfatter pancreatitis, pancreasfistel, pseudocyster samt intraabdominale abcesser, hvorimod pancreasinsufficiens efter partiel pancreasresektion er sjælden (1, 5, 7).

Algoritme for udredning

Konklusivt må det anbefales, at der ved relevant abdominalt traume og/eller ved mindste mistanke om pancreaslæsion foretages en undersøgelse ud fra følgende diagnostiske algoritme (Fig. 4). S-amylase måles hos patienter, hos hvem der er mistanke om pancreaslæsion. Ved abdominale symptomer og/eller forhøjet S-amylase foretages der akut dynamisk CT. Ved normal pancreas gentages såvel måling af S-amylase som CT, evt. suppleret med MRCP inden for det første døgn, hvis der stadig er mistanke om pancreaslæsion. Hos patienter med tegn på læsion af ductus pancreaticus foretages akut laparotomi. Hvis CT'en ikke viser umiddelbart tegn på læsion af ductus pancreaticus foretages MRCP, evt ERCP. UL-scanning kan anvendes til diagnostik af de hyppigste komplikationer.


Antaget den 14. januar 2002.

Amtssygehuset i Herlev, kirurgisk gastroenterologisk afdeling, og

Amtssygehuset i Glostrup, røntgen- og ultralydafdeling og kirurgisk gastroenterologisk afdeling.

Literatur




Sidebar placering
Venstrestillet
Article type
Journal
Magazine
Section
References

<ol class="Litt-list">
<li>Glancy KE. Review of pancreatic trauma. West J Med 1989; 151: 45-51.</li>
<li>Burcharth F. Traumatiske pancreaslæsioner. Ugeskr Læger 1972; 134: 2318-21.</li>
<li>Sivit CJ, Eichelberger MR, Tayler GA, Bulas DI Gottschall CS, Kushner DC. Blunt pancreatic trauma in children. Am J Radiol 1992; 158: 1097-100.</li>
<li>Nortrup WF, Simmons RL. Pancreatic trauma: a review. Surgery 1972; 71: 27-43.</li>
<li>Jones RC. Management of pancreatic trauma. Ann Surg 1978; 187: 555-65.</li>
<li>Nadler EP, Gardner M, Schall LS, Lynch JM, Ford HR. Management of blunt pancreatic injury in children. J Trauma 1999; 47: 1098-103.</li>
<li>Wisner DH, Wold RL, Frey CF. Diagnosis and treatment of pancreatic injuries. Arch Surg 1990; 125: 1109-13.</li>
<li>Leppäniemi AK, Haapiainen RK. Risk factors of delayed diagnosis of pancreatic trauma. Eur J Surg 1999; 165: 1134-7.</li>
<li>Takishima T, Sugimoto K, Hirata M, Asari Y, Ohwada T, Kakita A. Serum amylase level on admission in the diagnosis of blunt injury to the pancreas. Ann Surg 1997; 226: 70-6.</li>
<li>Jeffrey RB, Liang FC, Wing VW. Ultrasaound in acute pediatic trauma. Gastrointest Radiol 1986; 11: 44-6.</li>
<li>Shanmuganathan K, Mirvis SE, Sherbourne CD, Chiu WC, Rodriguez A. Hemoperitoneum as the sole indicator of abdominal visceral injuries: a potential limitation of screening abdominal US for trauma. Radiology 1999; 212: 423-30.</li>
<li>Arkovitz MS, Johnson N, Garcia VF. Pancreatic trauma in children. J Trauma 1997; 42: 49-53.</li>
<li>Sivit CJ, Eichelberger MR. CT diagnosis of pancreatic injuries. Am J Radiol 1995; 165: 921-4.</li>
<li>Patel SV, Spencer JA, El-Hasani S, Sheridan MB. Imaging of pancreatic trauma. Br J Radiol 1998; 71: 985-90.</li>
<li>Fulcher AS, Turner MA, Yelon JA, McClain LC, Broderick T, Ivatury RR et al. Magnetic resonans cholangiopancreatography (MRCP) in the assessment of pancreatic duct trauma and its sequelae: preliminary findings. Am J Surg 1994; 168: 345-7.</li>
<li>Barish MA, Yucel EK, Soto JA, Chuttani R, Ferrucci JT. MR cholangiopancreatography: efficacy of three-dimensional turbo spin-echo technique. Am J Radiol 1995; 165: 295-300.</li>
<li>Nirula R, Velmahos GC, Demetriades D. Magnetic resonance cholangiopancreatography in pancreatic trauma: a new diagnostic modality. J Trauma 1999; 47: 585-7.</li>
<li>Amirata E, Livingston DH, Elcavage J. Octreotide acetate decreases pancreatic complications after pancreatic trauma. J Trauma 2000; 48: 1001-6.</li>
</ol>

Woodwing Id
266550
English summary

Summary Blunt isolated pancreas trauma. Diagnostic problems - a clinical and radiological challenge. Ugeskr L&aelig;ger 2002; 164: 2760-4. Introduction: Blunt isolated pancreas trauma is rare, but it is a very serious condition. Diagnosis and treatment are often delayed, which considerably increases morbidity. The delay is caused by uncharacteristic symptomatology and the application of paraclinical and radiological diagnostic methods of low initial sensitivity and specificity. The aim of this study was to describe the diagnostic difficulties and the applicability of the various radiological modalities. Material and methods: During the period 1995-2000, three patients with blunt isolated pancreas trauma were treated, and the case reports were examined retrospectively. Results: All three showed classical mechanisms of injury, and a characteristic delay in diagnosis and treatment of 24 to 48 hours was seen. Discussion: The frequent delay in diagnosis and subsequent treatment of the blunt pancreas trauma requires a more optimal strategy for handling such traumas. We recommend the following diagnostic algorithm: Repeated measurements of serum amylase initially. Image diagnostics with a dynamic spiral CT-scan with both oral and intravenous contrast. The CT scan is to be repeated or supplemented by MRCP on continued suspicion of pancreas injury, even when the initial CT scan shows normal findings.

Bib ref
Ugeskr Læger 2002;164(21): 2760-4.
Authors

Hans-Erik Wittendorff, Eva M. Fallentin & Mark Berner Hansen

0 likes
Read time
12