Medlem i

13 years 1 month
Indholdselementer
Billede
Sidebar placering
Venstrestillet


Ovarielt hyperstimulationsyndrom er velkendt som komplikation ved ovariestimulation i forbindelse med in vitro-fertilitetsbehandling eller i anovulatoriske cykli. Spontant opstået ovarielt hyperstimulationsyndrom er langt sjældnere forekommende. Prævalensen er ukendt, idet der kun foreligger få kasuistiske meddelelser [1].

Symptomerne på ovarielt hyperstimulationsyndrom, hvad enten det er opstået spontant eller iatrogent, er forstørrede ovarier med multiple cyster, væskeforskydning fra intracellulær- til ekstracellulærrummet med deraf følgende hæmokoncentration, intravasal volumendepletion, nyresvigt, hypovol-æmi og øget tendens til tromboemboli [1-3]. Vi rapporterer om spontant opstået ovarielt hyperstimulationsyndrom i en normal singletongraviditet.

Sygehistorie

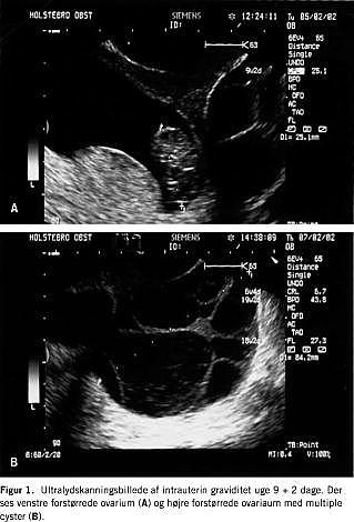
En 31-årig kvinde havde tidligere fået foretaget konisering på grund af svær dysplasi. Hun var gravid i første cyklus efter p-pille-seponering og sås første gang ambulant med førstetrimester blødning. En vaginal ultralydsskanning viste intrauterint beliggende gestationssæk med et fosteranlæg på 8,5 mm svarende til en gestationsalder på seks uger og seks dage. Begge ovarier blev fundet normale. Ved en ambulant kontrol to uger senere havde patienten kraftige subjektive graviditetssymptomer i form af kvalme og brystspænding. Paraklinisk fandtes kraftig forhøjet s-humant choriongonadotropin (hCG): 348.344 IE/l, steget fra 130.225 IE/l en uge tidligere. En vaginal ultralydskanning viste intrauterin gestationssæk med et fosteranlæg på 17 mm. Ved næste ambulante kontrol svarende til en gestationsalder på ni uger og to dage viste en vaginal ultralydsskanning et tydeligt fosteranlæg på 25 mm med hjerteaktion. Derudover sås ovarierne at være forstørrede til henholdsvis 7 cm og 10 cm i diameter med multiple store cyster, der fuldstændig lignede ovarielt hyperstimulation. Der var ingen fri væske i fossa Douglassi og ingen acsites (Figur 1 ). Patienten var alment upåvirket.

To dage senere blev patienten indlagt med tiltagende abdominalsmerter, øget abdominalomfang og åndenød. En vaginal og abdominal ultralydsskanning viste et vitalt embryon, upåfaldende placenta, ingen mola, ovarierne uændrede i størrelsen, men med multiple cyster og fri væskebræmme intraperitonealt. En røntgenundersøgelse af thorax viste intet abnormt. Paraklinisk var S-HCG 664.559 IE/l, der var normal hæmoglobin, leukocytter og væsketal, normale koagulationstal, levergaldetal og thyroideatal.

Der var ingen tegn på hæmokoncentration eller elektrolytforstyrrelser. Patienten fik ikke væskebehandling. Gennem de følgende dage blev hendes tilstand forværret med tiltagende abdominalomfang og smerter. På denne baggrund valgte parret at få afbrudt svangerskabet. Der blev foretaget en ukom-pliceret kirurgisk abortus provokatus i uge 9 + 6 dage. Dagen efter indgrebet var S-HCG faldet til 174.959 IE/l. Den histologiske undersøgelse af præparatet viste et normalt graviditetsprodukt uden mola. Ved en klinisk kontrol syv uger efter indgrebet var begge ovarier normaliserede. S-HCG var 0. Patienten var i velbefindende, og behandlingen blev afsluttet. Fem måneder senere var hun atter gravid og fødte en levende pige ved sectio i gestationsalderen 32 uger og tre dage. Graviditeten var kompliceret af præmatur fødsel, partiel placenta prævia og leverbetinget graviditetskløe.

Diskussion

Ætiologien og patofysiologien bag spontan ovarielt hyperstimulationsyndrom er stadig ukendt [1]. Syndromet ses ofte omkring otte fulde graviditetsuger, hvor S-HCG topper. Nogle former for hyperstimulation skyldes endogen ovarie-stimulation frem for eksogen gonadotropinadministration. Dette ses hos gravide med polycystisk ovariesyndrom eller abnormt høje S-HCG-værdier, som ved mola eller triploidgraviditet [2] og ved hypertyrotrop hypothyroidisme, hvor thyroideastimulerende hormon binder sig til receptorer i granulosacellerne og stimulerer follikelvækst [3]. Vasoaktive stoffer, som findes i follikulærvæsken i ovarierne, spiller formentlig en rolle i udviklingen af ovarielt hyperstimulation-syndrom. De vasoaktive stoffer øger kapillærpermeabiliteten og forårsager forskydning af væske fra intracellulærrummet til ektracellulærrummet [1]. Garcia-Velasco et al har vist, at vaskulær endotelial vækstfaktor, som overordnet er kontrolleret af s-HCG, secerneres fra ovarierne og indvirker på den vaskulære permeabilitet [4]. Mutation i follikelstimulerende hormon (FSH)-receptoren kan være årsag til spontant ovarielt hyperstimulationsyndrom [5]. Vasseur et al beskriver et familiært tilfælde med tilbagevendende spontant ovarielt hyperstimulationsyndrom. Mutationen bevirkede, at receptoren blev hypersensitiv for HCG med øget risiko for hyperstimulation af ovarierne til følge [5].

Spontant ovarielt hyperstimulationsyndrom kan variere fra lette abdominalsmerter til et fulminant forløb. Hos ovenstående patient blev der fundet normale thyroideatal og koagulationstal. Graviditetsproduktet blev histologisk undersøgt, og der var ingen tegn på mola. Patienten blev ikke undersøgt for mutation i FSH-receptoren, da det drejede sig om en enkeltstående episode. Det er uvist, hvad der forårsagede det høje S-HCG-niveau.


Gudrun A. Neumann, Lavendelvej 5, DK-7400 Herning.
E-mail: gudrunneumann@dadlnet.dk

Antaget: 17. juli 2004

Interessekonflikter: Ingen angivet


  1. Chae H-D, Park E-J, Kim S-H et al. Ovarian hyperstimulation syndrome complicating a spontaneous singleton pregnancy. J Ass Reprod Gene 2001; 18:120-3.
  2. Ludwig M, Gembruch U, Bauer O et al. Ovarian hyperstimulation syndrome (OHSS) in a spontaneous pregnancy with fetal and placental triploidy: Information about the general pathophysiology of OHHS. Hum Reprod 1996;11: 1600-1.
  3. Nappy RG, Di Naro E, D'Aries AP et al. Natural pregnancy in hypothyroid woman complicated by spontaneous ovarian hyperstimulation syndrome. Am J Obstet Gynecol 1998;178:610-1.
  4. Garcia-Velasco JA, Pellicer A. New c oncepts in the understanding of the ovarian hyperstimulation syndrome. Curr Opin Obstet Gynecol 2003;15:251-6.
  5. Vasseur C, Rodien P, Beau I. A chorionic gonadotropin-sensitive mutation in the follicle-stimulating hormone receptor as a cause of familial gestational spontaneous ovarian hyperstimulation syndrome. N Engl J Med 2003;349:753-9.


Sidebar placering
Venstrestillet
Article type
Journal
Magazine
Section
References

<ol class="Litt-list">
<li>Chae H-D, Park E-J, Kim S-H et al. Ovarian hyperstimulation syndrome complicating a spontaneous singleton pregnancy. J Ass Reprod Gene 2001; 18:120-3.</li>
<li>Ludwig M, Gembruch U, Bauer O et al. Ovarian hyperstimulation syndrome (OHSS) in a spontaneous pregnancy with fetal and placental triploidy: Information about the general pathophysiology of OHHS. Hum Reprod 1996;11: 1600-1.</li>
<li>Nappy RG, Di Naro E, D'Aries AP et al. Natural pregnancy in hypothyroid woman complicated by spontaneous ovarian hyperstimulation syndrome. Am J Obstet Gynecol 1998;178:610-1.</li>
<li>Garcia-Velasco JA, Pellicer A. New concepts in the understanding of the ovarian hyperstimulation syndrome. Curr Opin Obstet Gynecol 2003;15:251-6.</li>
<li>Vasseur C, Rodien P, Beau I. A chorionic gonadotropin-sensitive mutation in the follicle-stimulating hormone receptor as a cause of familial gestational spontaneous ovarian hyperstimulation syndrome. N Engl J Med 2003;349:753-9.</li>
</ol>

Woodwing Id
270043
Fil
English summary

Summary Spontaneous ovarian hyperstimulation syndrome in a normal singleton pregnancy Ugeskr L&aelig;ger 2005;167:411-412 The ovarian hyperstimulation syndrome is often an iatrogenic complication after ovulation induction therapy. In its most severe form, its clinical manifestations include ovarian cysts, ascites and hydrothorax, fluid shift from intracellular space to extracellular space, intravascular volume depletion and hypovolemia. We report a case of spontaneous ovarian hyperstimulation syndrome in a normal singleton pregnancy with no underlying disease.

Bib ref
Ugeskr Læger 2005;167(04):411-412
Authors

Kursusreservelæge Peter Grønning Olesen & kursusreservelæge Gudrun A. Neumann Herning Sygehus, Gynækologisk-obstetrisk Afdeling

0 likes
Read time
5