Medlem i

12 years 10 months
Indholdselementer

Spontant mediastinalt emfysem (SME) defineres som radiologisk påvist fri luft i mediastinum, uden at der har været et forudgående traume. Tilstanden er sjælden og har en god prognose, men af og til opstår der komplikationer [1].

Formålet med denne artikel er at øge opmærksomheden på SME som mulig differentialdiagnose til de mere velkendte tilstande, som ses i akutmodtagelsen: kardiale, pulmonale og muskuloskeletale årsager til smerter og ubehag i thorax og hoved-hals-området. Vi beskriver patofysiologi, symptomer, diagnostik og behandling af tilstanden.

BAGGRUND

SME er i litteraturen også kendt som spontant pneumomediastinum og blev første gang i 1939 beskrevet af Louis Hamman, som ved hjertestetoskopi hørte krepitationslyde, som var synkrone med hjerteslaget – Hammans tegn [2, 3]. Den typiske patient er ung og slank og har symptomer i form af uspecifikke brystsmerter, dyspnø, nakkesmerter og/eller dysfagi. Patienterne har ofte brugt Valsalvas manøvre ved for eksempel hoste, idrætsudøvelse og fødsel, men SME er også beskrevet i forbindelse med diabetisk ketoacidose, anorexia nervosa og refluks [2, 4]. I op mod 40% af tilfældene kan der dog ikke beskrives en specifik direkte udløsende årsag [3, 5, 6]. Sahni et al fandt, at 18% af patienterne havde en forhistorie med astma, 14% med interstitiel lungesygdom og 9% med nylig øvre luftvejsinfektion; ca. 30% af patienterne var rygere. SME er også beskrevet efter inhalation af kokain og marihuana [7, 8].

Incidensen af SME bliver i litteraturen angivet som 0,01-0,001% af alle hospitalsindlæggelser hos voksne. Tilstanden er noget hyppigere i pædiatrien, hvor den højeste incidens ses i de sene teenageår samt hos små børn, der er mellem seks måneder og tre år gamle og har hyppige luftvejsinfektioner [9]. Da SME er sjældent og kræver grundig radiologisk diagnostik, er incidensen sandsynligvis underestimeret [5, 6].

Sidebar placering
Venstrestillet
Billede
Sidebar placering
Venstrestillet

PATOFYSIOLOGI

Patofysiologien bag SME blev først beskrevet af Macklin og betegnes i litteraturen som Macklineffekten. Mekanismen skyldes et pludseligt forøget intraalveolært tryk, hvilket resulterer i ruptur af den terminale alveole og luftlækage ud i det interstitielle væv, hvorunder pleura samtidigt forbliver intakt. Trykstigningen skyldes ofte en valsalvalignende manøvre, men andre faktorer, som øger risikoen for alveoleruptur er f.eks. tynd alveolemembran hos malnutrierede, herunder patienter med anorexia nervosa, eller hos misbrugere af inhalationsstoffer, hvor der ud over forceret inspiration i forbindelse med inhalation kan ses en direkte toksisk effekt, som skader alveolerne [5, 6, 8]. Den frie luft dissekerer sig videre via den bronkovaskulære hinde mod hilus og ud i mediastinum. Herfra kan luften lejlighedsvis fortsætte til perikardiet, retrofaryngealt og sjældent også ind i spinalkanalen [1-3, 5, 10]. Hvis det intramediastinale tryk øges abrupt, kan pleura parietale rumpere, hvilket fører til pneumothorax [5, 6, 10].

SYMPTOMER OG MULIGE KOMPLIKATIONER

I en omfattende oversigtsartikel gennemgik Brand et al et stort antal kasuistikker, der omfattede i alt 561 ikkeobstetriske patienter med SME. De tre hyppigste symptomer, som patienterne henvendte sig med, var brystsmerter (61%), dyspnø (38%) og dysfagi (14%) [7]. Andre almindelige symptomer var hoste, nakkesmerter og -hævelse samt dysfoni [4, 5, 11]. Hvis SME skyldes en specifik trigger, debuterer symptomerne i gennemsnit efter to timer [12].

Ved den objektive undersøgelse kan man finde subkutant emfysem hos 56-62% af patienterne, hvilket viser sig ved en hævelse af hals og nakke samt en knitrende fornemmelse ved palpation af hals eller thorax [5, 7, 8]. Det oprindeligt beskrevne patognomoniske Hammans tegn findes dog kun hos 17% [7, 8].

Selvom tilstanden i langt de fleste tilfælde har et benignt og selvlimiterende forløb, er der rapporteret om komplikationer. SME er associeret med pneumorakis, det vil sige luft i spinalkanalen. Også her er forløbet primært benignt, men der er beskrevet neurologiske symptomer i form af progressiv muskelsvaghed og sensoriske udfald i underekstremiteterne [2]. Sekundær pneumothorax er beskrevet med en incidens på 0,5-32%, mens der kun er rapporteret om få tilfælde med trykpneumothorax – næsten udelukkende hos patienter, som blev mekanisk ventileret [4, 5, 10]. Ud over trykpneumothorax har Macklin og Macklin oprindeligt beskrevet yderligere to livstruende følgetilstande: trykpneumomediastinum og øget tryk i det pulmonale interstitiel, hvilket kan give vejrtrækningsproblemer. Disse komplikationer er dog ekstremt sjældne [8]. I et studie med 62 patienter havde fire patienter behov for indlæggelse på intensivafdeling med kompliceret SME som primær diagnose [4]. I den øvrige litteratur genfindes denne høje incidens dog ikke, hvilket sandsynligvis skyldes, at patienterne i dette studie blev rekrutteret fra Mayoklinikken, som er et tertiært, højtspecialiseret center, hvor man derfor har en høj prævalens af alvorlig tilgrundliggende lungesygdom og høj alder.

DIAGNOSTIK

SME kan i 75-90% af tilfældene diagnosticeres på en almindelig røntgenoptagelse af thorax [1, 7, 8, 13]. På sidebilledet kan et tegn på fri luft i mediastinum være en ring rundt om selve a. pulmonalis eller en af dens større grene. Der kan desuden ses luft mellem sternum og den anteriore hjertevæg, det såkaldte pneumoprækardiale tegn. På frontalbilledet kan der observeres luftstrøg i den superiore mediastinum, fremtrædende hjertesilhuet og subkutant emfysem op langs hals og nakke (Figur 1) [5].

Sidebar placering
Venstrestillet
Billede
Sidebar placering
Venstrestillet

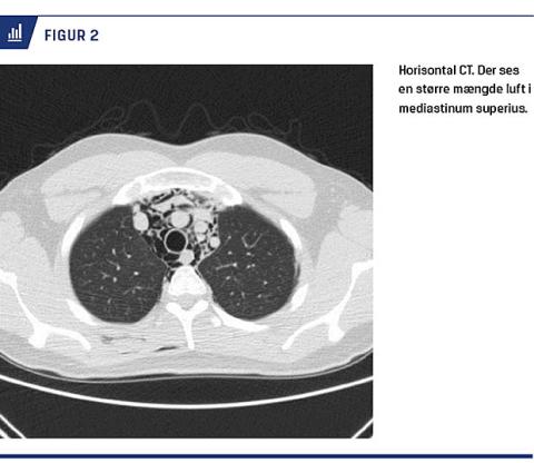
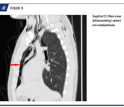
Hos børn er eleveret thymus et klassisk tegn. Hvis røntgenbilledet viser normale forhold, men der fortsat er klinisk mistanke om intratorakal patologi, anbefales CT af thorax. Her kan Macklineffekten, som defineres som ansamling af luft i den bronkovaskulære hinde og det omkringliggende væv, ses hos 100% af patienterne med SME. Hyppigst ses luften i hilusområdet, men hos halvdelen af patienterne kan den også ses længere perifert [1, 7, 13]. På CT visualiseres desuden eventuel luft i perikardiet, retroperitoneum, peritoneum og spinalkanalen) (Figur 2 og 3)[5].

Sidebar placering
Venstrestillet
Billede
Sidebar placering
Venstrestillet
Billede
Sidebar placering
Venstrestillet

SME er en eksklusionsdiagnose. Det er vigtigt at udelukke mediastinalt emfysem, som er opstået som følge af traume, gasproducerende bakterier eller øsofageal ruptur, da disse tilstande har en potentielt fatal udgang. Ofte kan man i anamnesen få mistanke om en sekundær årsag til mediastinalt emfysen, f.eks. forudgående gastroskopi, intubation eller et relevant traume, men i tvivlstilfælde er det nødvendigt med mere avanceret billeddiagnostik. Spontan ruptur af øsofagus efter kraftig opkastning, Boerhaaves syndrom, er en vigtig differentialdiagnose, som ubehandlet kan give mediastinitis og har en mortalitet på 30-50% [5]. Øsofagusruptur ses på CT som en mindre mængde luft rundt om øsofagus som abscesser eller som direkte kommunikation mellem øsofagus og mediastinum. SME bør ikke give stigning i niveauet af C-reaktivt protein eller leukocytter ud over eventuelt en meget beskeden inflammatorisk respons, og ved en større stigning i infektionstal eller pludselig feber, skal man have mistanke om organruptur [5, 14].

Ved billeddiagnostisk sammenligning af spontant og sekundært betinget mediastinalt emfysem ses der ved det spontane oftere luftansamling i det anteriore mediastinum (97% vs. 76% af tilfældene) og pulmonalt interstitielt emfysem (57% vs 15%). Ved SME ses der desuden sjældent luft under diafragma eller pleural effusion. Mediastinalt emfysem efter et stumpt traume kan ses som en horisontal rift tæt på carina, og skader efter intubation ses som longitudinelle rifter langs den posteriore trakealvæg [6]. Den radiologiske guldstandard i international litteratur ved mediastinalt emfysem er multidetector-CT (MDCT), men i Danmark bruges dog konventionel CT. Det er påvist, at man med disse undersøgelser kan diagnosticere den sekundære årsag til mediastinalt emfysem med størst præcision. Anvendelsen af CT som første led i den avancerede diagnostik kan bruges vejledende for valget af eventuelle efterfølgende diagnostiske procedurer, f.eks. gastroskopi eller bronkoskopi, hvilket kan være ressourcebesparende og skåne patienten for unødige undersøgelser.

BEHANDLING

SME har ofte et benignt og selvlimiterende forløb, og behandlingen er alene symptomatisk med hvile og analgetika. Hvis SME er udløst af en anden sygdom, f.eks. et astmaanfald, behandles grundsygdommen, og man afventer spontan bedring af emfysemet [1]. Der kan forsøges behandling med 100% ilt for at øge diffusionstrykket af nitrogen fra det interstitielle væv og dermed fremskynde absorptionen af den frie luft, men effekten er beskeden. Patienten observeres og opfølgende billeddiagnostik er sjældent nødvendigt. Ved manglende fremgang eller ved progression af emfysemet kan det være påkrævet at anlægge et subkutant dræn [1, 5, 7, 14]. Profylaktisk antibiotikabehandling er ikke indiceret, men skal påbegyndes, hvis man har mistanke om et perforeret hulorgan [5, 11].

Patienten kan forvente symptombedring inden for 1-2 dage, men de radiologiske fund er normalt til stede i op til en uge [5]. I litteraturen anbefales generelt indlæggelse til observation i få dage, men i lette tilfælde kan det være acceptabelt at udskrive patienten med instruktioner om at henvende sig igen ved forværring [4-6, 8, 11]. Recidiv ses meget sjældent, og langtidsopfølgning er derfor ikke nødvendig [6, 11]. Da SME er en lavtryksansamling af luft, og risikoen for komplikationer er lille, er der ingen restriktioner med hensyn til flyrejser, hvis patienten er asymptomatisk og ikke har komplikationer, f.eks. pneumothorax. Ligeledes er der ingen studier, hvor man har påvist en øget risiko ved hurtigt at genoptage kollisionssport som fodbold, hockey og boksning, selvom nogle forfattere konservativt anbefaler hvile [14].

KONKLUSION

SME bør haves in mente som differentialdiagnose hos især unge mænd med spontant opståede bryst- og/eller nakkesmerter og dyspnø. Disse patienter skal altid som minimum undersøges med røntgen og evt. CT af thorax. Det er relevant at huske, at 60% af patienterne ikke har en tilgrundliggende lungesygdom, og at der hos 40% ikke findes en anamnestisk trigger.

SME er en benign og selvlimiterende tilstand, hvor komplikationer er sjældne og primært omfatter pneumothorax. Mere alvorlige komplikationer skyldes oftest en alvorlig tilgrundliggende lungesygdom [4]. Patienter, som ikke har en relevant anamnese, f.eks. et forudgående traume, og hos hvem der billeddiagnostisk ikke findes specifikke tegn i form af pulmonale eller øsofageale abnormiteter, pleural effusion, væske i mediastinum eller central luftvejsdefekt, har en lille risiko for at have sekundært mediastinalt emfysem [6].

Korrespondance: Klaus Nielsen. E-mail: klausnielsen.md@gmail.com

Antaget: 17. november 2015

Publiceret på Ugeskriftet.dk: 4. januar 2016

Interessekonflikter:

Sidebar placering
Venstrestillet
Article type
Journal
Magazine
Section
References

<h2>LITTERATUR</h2>
<ol type="d">
<li><p>Sahni S, Verma S, Grullon J et al. Spontaneous pneumomediastinum: time for consensus. N Am J Med Sci 2013;5:460-4. </p></li>
<li><p>Murayama S, Gibo S. Spontaneous pneumomediastinum and Macklin effect: overview and appearance on computed tomography. World J <br>Radiol 2014;6:850-4.</p></li>
<li><p>Caceres M, Ali SZ, Braud R et al. Spontaneous pneumomediastinum: a comparative study and review of the literature. Ann Thorac Surg 2008;86:962-6. </p></li>
<li><p>Iyer VN, Joshi AY, Ryu JH. Spontaneous pneumomediastinum: analysis of 62 consecutive adult patients. Mayo Clin Proc 2009;84:417-21. </p></li>
<li><p>Takada K, Matsumoto S, Hiramatsu T et al. Spontaneous pneumomediastinum: an algorithm for diagnosis and management. Ther Adv Respir Dis 2009;3:301-7. </p></li>
<li><p>Ho AS, Ahmed A, Huang JS et al. Multidetector computed tomography of spontaneous versus secondary pneumomediastinum in 89 patients: can multidetector computed tomography be used to reliably <br>distinguish between the 2 entities? J Thorac Imaging 2012;27:85-92.</p></li>
<li><p>Brand M, Bizos DB, Burnell L. A review of non-obstetric spontaneous pneumomediastinum and subcutaneous emphysema. S Afr J Surg 2011;49:135-6.</p></li>
<li><p>Newcomb AE, Clarke CP. Spontaneous pneumomediastinum: a benign curiosity or a significant problem? Chest 2005;128:3298-302. </p></li>
<li><p>Chalumeau M, Le Clainche L, Sayeg N et al. Spontaneous pneumomediastinum in children. Pediatr Pulmonol 2001;31:67-75. </p></li>
<li><p>Smith BA, Ferguson DB. Disposition of spontaneous pneumomediastinum. Am J Emerg Med 1991;9:256-9.</p></li>
<li><p>Freixinet J, Garcia F, Rodriguez PM et al. Spontaneous pneumomediastinum long-term follow-up. Respir Med 2005;99:1160-3. </p></li>
<li><p>Alnas M, Altayeh A, Zaman M. Clinical course and outcome of cocaine-induced pneumomediastinum. Am J Med Sci 2010;339:65-7. </p></li>
<li><p>Okada M, Adachi H, Shibuya Y et al. Diagnosis and treatment of patients with spontaneous pneumomediastinum. Respir Investig 2014;52:36-40. </p></li>
<li><p>Olson RP. Return to collision sport after pneumomediastinum. Curr Sports Med Rep 2012;11:58-63. </p></li>
</ol>

Woodwing Id
66858
Fil
Conflict of interest
English title
Spontaneous mediastinal emphysema
English summary

Spontaneous mediastinal emphysema, also known as spontaneous pneumomediastinum, is defined as radiologically detected free air in the mediastinum, without preceding trauma. It is a rare condition, mainly affecting young adults. It can be caused by coughing, strenuous sports or cocaine inhalation, however, 40% are idiopatic. Common symptoms are chest pain and dyspnoea. 75-90% can be diagnosed with a chest X-ray, and 100% with a computed tomography. Treatment is symptomatic and complications are rare, however, pneumothorax and pneumorrachis have been reported.

Authors workplaces

Lungemedicinsk Afdeling, Hvidovre Hospital

Ugeskr Læger 2016;178:V08150653

Bib ref
Ugeskr Læger 2016;178:V08150653
Article number
V08150653
Authors

Charlotte Svedbrand, Peter Lange & Klaus Nielsen

0 likes