Medlem i

13 years 1 month
Indholdselementer
Billede
Sidebar placering
Venstrestillet


Primær spontan pneumothorax [1] forekommer typisk hos høje, tynde yngre mænd uden erkendt lungesygdom. Den aldersjusterede incidens er hos mænd 7-18 tilfælde og hos kvinder 1-6 tilfælde pr. 100.000 personer pr. år. Cigaretrygning øger risikoen for mænd med en faktor 20 (dosisafhængig), hvilket antyder, at der findes subklinisk ikke erkendt lungesygdom. Recidivfrekvensen er 30% (16-52%). Ung alder, astenisk bygning, tobaksrygning og tegn på lungefibrose er uafhængige risikofaktorer for recidiv. Sekundær spontan pneumothorax forekommer med en incidens hos mænd og kvinder på henholdsvis 6,3 og 2,0 pr. 100.000 personer pr. år og er beskrevet ved de fleste lungesygdomme. Årsagen er oftest kronisk obstruktiv lungesygdom (KOL) med en incidens på ca. 26/100.000 pr. år og ses hyppigst i alderen 60-65 år. Recidivfrekvensen er 39-47%. Komplikationen ses hos patienter med fibroserende interstitielle lungesygdomme [2, 3]. Hyppigheden er ved sarkoidose ca. 2% [2]. Sekundær spontan pneumothorax er en livstruende tilstand pga. sammenfaldet med lungesygdom og begrænset kardiopulmonal reserve.

Sygehistorie

En 62-årig lettere mentalt retarderet mand blev indlagt til udredning for et større vægttab. Han havde abdominalsmerter og funktionsdyspnø. Fra 60-års-alderen havde han haft tør hoste og let funktionsdyspnø. Nogle uger tidligere var han blevet indlagt på et andet sygehus med pneumoni og behandlet med ampicillin. Patienten havde haft kontakt med undulater, han havde ikke andre kendte sygdomme og brugte ikke medicin. En thoraxrøntgenundersøgelse fra 2000 viste fibrose.

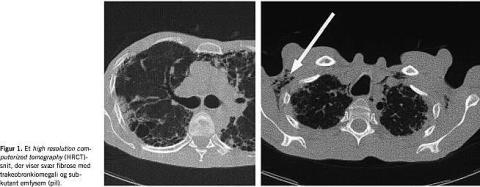
Under patientens indlæggelse i februar 2003 på et andet sygehus gav dyrkninger og undersøgelser for typisk bakteriel og atypisk pneumoni alle negativt resultat. Patienten blev udskrevet afebril. Forud for indlæggelsen i marts 2003 havde han haft et vægttab på ca. 15 kg. Der var hørlig krepitation basalt ved auskultation, trommestikfingre, men ingen hypermobilitet. C-reaktivt protein var på 12. Der var ikke påviselige præcipiterende antistoffer for undulat. En thoraxrøntgen viste udtalt fibrose, højresidig kappepneumothorax og subkutan emfysem. Et thoraxrøntgen fra februar 2003 viste lille venstresidig kappepneumothorax og svær fibrose. En high resolution computerized tomography (HRCT) af thorax (Figur 1 ) viste trakeobronkiomegali, fibrose (bikagetegning), bronkiektaser, emfysem og subkutant emfysem, men ingen sikre områder med matglastegning.

Diskussion

Den idiopatiske, fibroserende alveolitis i form af usual interstitiel pneumonia (UIP) er den mest sandsynlige diagnose, idet systemsygdom, erhvervspåvirkning og medikamenter kan udelukkes som årsagen [3]. Diagnosen allergisk alveolit blev overvejet pga. patientens kontakt med undulater. Trakeobronkiomegali [4], der er karakteriseret ved mangelfuld brusk i det trakeobronkiale træ og relateret til andre anomalier og systemsygdom som f.eks. Ehlers-Danlos syndrom, er også tidligere beskrevet som komplikation til diffus lungefibrose og hos unge med obstruktiv lungesygdom [4].

I begge de omtalte tilfælde drejede det sig om en mindre, selvlimiterende kappepneumothorax. Aspiration er den enkleste primære behandling. Drænage bør eventuelt efterfølges af pleuradese. Thorakoskopi, bullaresektion og pleural abrasio er behandlingsmuligheder, som bør overvejes ved et senere recidiv af pneumothorax [1]. Ved CT kan man påvise bullae i den viscerale pleura, som oftest er årsagen til pneumothorax. CT kan anvendes ved tvivl mellem større emfysematøse bullae og pneumothorax [1]. Fibroblastiske foci i vævsbiopsi vil være diagnostisk for idiopatisk lungefibrose (IPF), men HRCT vil være tilstrækkelig for diagnosen hos ca. 80% [5]. Både major og minor kriterier for diagnosen UIP opfyldes stort set hos denne patient. Sygdommen har haft et snigende forløb hos denne ældre mand. Typisk for forløbet førte et vægttab til indlæggelsen [3]. Hos patienter med IPF på venteliste til transplantation ses spontan pneumothorax som en præterminal hændelse [3].


Paul Gade Sørensen, Medicinsk Afdeling, Sydvestjysk Sygehus Brørup, Fredensvej 7 A, DK-6670 Brørup. E-mail: iogpgs@dadlnet.dk

Antaget: 29. januar 2004

Interessekonflikter: Ingen angivet



Sidebar placering
Venstrestillet
Article type
Journal
Magazine
Section
References

<ol class="Litt-list">
<li>Sahn SA, Heffner JE. Spontan Pneumothorax. N Engl J Med 2000;342:868-74.</li>
<li>Flora G, Dosstanic D, Jokovic R et al. Pneumothorax in Sarcoidosis. Sarcoidosis 1991;8:75-9.</li>
<li>British Thoracic Society recommendations. Background litterature review. The diagnosis, assesment and treatment of diffuse parenchymal lung disease. Thorax 1999;54(suppl 1):S4-S30.</li>
<li>Müller NL, Fraser RG, Colman NC et al. Tracheobronchiomegalia. I: Müller NL, Fraser RG, Colman NS, Paré PD, eds. Radiologic Diagnosis of Diseases of the Chest. Philadelphia: W.B. Saunders Company, 2001:463-4.</li>
<li>American Thoracic Society. Idiopathic Pulmonary Fibrosis: diagnosis and treatment. Am J Respir Crit Care Med 2000;161:646-64.</li>
</ol>

Woodwing Id
250934
Fil
Bib ref
Ugeskr Læger 2004;166(34):2906-2907
Authors

Afdelingslæge Paul Gade Sørensen, overlæge Karl Marinus Christensen, overlæge Søren Skjødt & overlæge Erling Dyrskjøt Christiansen Sydvestjysk Sygehus Brørup, Medicinsk Afdeling og Røntgenafdelingen

0 likes