Medlem i

12 years 10 months
Indholdselementer

Spontan pneumomediastinum (SPM) defineres som fri luft i mediastinum. Det forekommer kun ved omtrent 1:100.000 fødsler, og er beskrevet første gang i 1793 [1]. SPM med deraf følgende subkutant emfysem er beskrevet af Louis Hamman i 1945, heraf navnet på syndromet, Hammans syndrom [2]. Symptomerne er typisk dyspnø samt trykken for brystet efterfulgt af subkutan hævelse omkring halsen og i ansigtet. De væsentligste differentialdiagnoser er lungeemboli, øsofagusruptur, aortadissektion, pneumothorax, pneumoperikardium og akut myokardieinfarkt [3].

SYGEHISTORIE

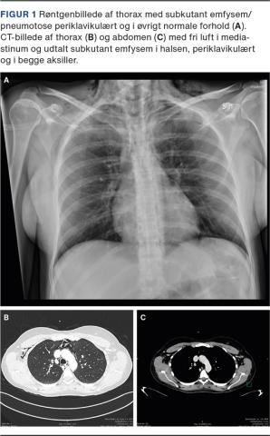
En 35-årig, sund og rask andengangsfødende (sectio antea) med ukompliceret graviditet blev indlagt på en fødegang pga. for tidlig bristning af fosterhinderne og veer ved gestationsuge 36 + 1 dag. Fødslen forløb ukompliceret indtil slutningen af pressefasen, hvor patienten begyndte at klage over trykkende smerter i brystet og hæs stemme. Umiddelbart efter fødslen bemærkedes der ligeledes nasal tale og tiltagende hævelse omkring højre orbita samt breddeøget halsregion og knitrende lyd i huden ved palpation. Den vagthavende læge blev tilkaldt, da der var fortsat trykkende brystsmerter. Early warning score var 0. Patienten fik ilt på næsekateter, og på mistanke om pneumothorax blev der foretaget akut røntgenoptagelse af thorax på stuen. Optagelsen viste normale forhold fraset et subkutant emfysem/pneumotose periklavikulært (Figur 1A). Der blev foretaget CT af thorax et par timer efter fødslen for at få afklaring og status på tilstanden, da hun fortsat havde nasal tale, men i øvrigt var upåvirket. CT’en viste fri luft i mediastinum og udtalt subkutant emfysem i halsregionen, periklavikulært og i begge aksiller (Figur 1B + C).

Sidebar placering
Venstrestillet
Billede
Sidebar placering
Venstrestillet

Hun blev behandlet konservativt og smertedækket med paracetamol. Der var langsom regression af det subkutane emfysem, som var svundet helt ved en klinisk objektiv undersøgelse fem dage efter fødslen. Den nasale tale forsvandt ligeledes helt. Hun blev udskrevet i velbefindende og uden videre opfølgning.

DISKUSSION

Fødselsrelateret SPM beskrives sparsomt i litteraturen, oftest som Hammans syndrom. Patofysiologien bag fænomenet er ukendt, men det er foreslået, at længerevarende Valsalvas manøvre under pressefasen kan medvirke til ruptur af de mest perifert beliggende alveoli som resultat af det høje intraalveolære tryk, hvorefter luften diffunderer til subcutis [1].

I et systematisk review fra 2018 af Amine et al [1] med 34 patienthistorier med fødselsrelateret SPM fandt man ikke særlige disponerende faktorer. Forfatterne fandt, at størstedelen af kvinderne var førstegangsfødende, og at tilstanden udvikledes i pressefasen. De fandt ingen sammenhæng med graviditetslængde eller langvarig pressefase, dog er pressefasen generelt af længere varighed hos nullipara end hos multipara. Desuden fandt de ingen overhyppighed af eventuelle disponerende faktorer som rygning eller astma blandt de inkluderede kvinder [1].

Den fødende fra sygehistorien lignede størstedelen af de tidligere beskrevne patienter i litteraturen: sund og rask, normalvægtig, med første vaginale fødsel, ikkeryger og ikke med astma. Tilstanden SPM kaldes med god grund »spontan«, da der ikke er nogle umiddelbare disponerende faktorer til tilstanden. Ved gennemgang af den sparsomme litteratur om Hammans syndrom fandt vi heller ikke nogen nærmere forklaring på, hvorfor netop denne fødende pådrog sig den sjældne fødselskomplikation.

SPM bør medtages som differentialdiagnose hos fødende i pressefase ved akut opstået dyspnø, brystsmerter og subkutant emfysem. Man bør supplere røntgenoptagelse af thorax med CT af thorax med henblik på detaljeret diagnostik af udbredelsen, herunder udelukkelse af andre differentialdiagnoser, som kan fremstå på samme måde, bl.a. lungeemboli og behandlingskrævende pneumothorax. Behandlingen er ofte konservativ, og tilstanden remitterer spontant efter nogle dage, men der kan være behov for smertelindring og revurdering af tilstanden under remissionsfasen [1, 3, 4].

Der findes ikke eksempler i litteraturen, hvor SPM udvikler sig yderligere f.eks. til en større pneumothorax, efter at pressefasen er ophørt. Det skyldes formentlig et naturligt ophør i udbredelsen af de små alveolebristninger, når pressefasen ophører, og trykket i thorax ændrer sig.

I denne sygehistorie beskrives en meget sjælden fødselskomplikation, som er af forholdsvis fredelig karakter sammenlignet med differentialdiagnoser til debutsymptomerne som dyspnø og brystsmerter.



Korrespondance Rikke Zethner-Møller. E-mail: zethner@msn.com
Antaget 24. august 2021
Publiceret på ugeskriftet.dk 4. oktober 2021
Interessekonflikter ingen. Forfatternes ICMJE-formularer er tilgængelige sammen med artiklen på ugeskriftet.dk
Referencer findes i artiklen publiceret på ugeskriftet.dk
Artikelreference Ugeskr Læger 2021;183:V05210403

Sidebar placering
Venstrestillet
Article type
Journal
Magazine
Section
References

Referencer

  1. Amine NO, Lomiguen CM, Iftikhar A, Sahni S. Pregnancy-associated spontaneous pneumomediastinum: a contemporary review. Cureus 2018;10:e3452.

  2. Hamman L. Mediastinal emphysema: the Frank Billings lecture. J Am Med Assoc 1945;128:1-6.

  3. Nagarajan DB, Ratwatte MD, Mathews J, Siddiqui M. Intrapartum spontaneous pneumomediastinum and surgical emphysema (Hamman’s syndrome) in a 30-year-old woman with asthma. BMJ Case Rep 2017;2017:bcr2017219223.

  4. Berdai MA, Benlamkadem S, Labib S Harandou M. Spontaneous pneumomediastinum in labor. Case Rep Obstet Gynecol2017;2017:6235076.

Woodwing Id
57526
Fil
Conflict of interest
English title
Spontaneous pneumomediastinum during labour
English summary

Rikke Zethner-Møller & Camilla Bernt Wulff

Ugeskr Læger 2021;183:V05210403

This is a case report of a 35-year-old women who had spontaneous pneumomediastinum (SPM) during the second stage of labour. Although this condition during labor is very rare, it is described in the literature as Hamman’s syndrome. The symptoms are dyspnoea, chest pain and subcutaneous emphysema which leads to much more severe differential diagnoses that should be eliminated quickly. There has not yet been found any dispositions to the condition. Duration of the second stage of labour is a theoretic factor of relevance, which naturally puts nulliparas at a higher risk.

Authors workplaces

1) Gynækologisk Obstetrisk Afdeling, Holbæk Sygehus, 2) Afdeling for Graviditet, Fødsel og Barsel, Københavns Universitetshospital – Rigshospitalet

Ugeskr Læger 2021;183:V05210403

Bib ref
UgeskrLæger 2021;183:V05210403
Article number
V05210403
Authors

Rikke Zethner-Møller1 & Camilla Bernt Wulff 1, 2

0 likes