Medlem i

12 years 10 months
Indholdselementer
Billede
Sidebar placering
Venstrestillet


Kolecystitis er en velkendt komplikation i forbindelse med kolecystolitiasis og kan medføre perforation af galdeblæren. Perforationer inddeles i: 1) kroniske med dannelse af fistler til huden eller andre organer, 2) subakutte med abscesdannelse og 3) akutte med perforation til frit peritoneum [1]. Der findes kasuistiske beretninger om kolecystokutane fistler i abdominalhuden, hvor de hyppigste lokalisationer er højre og venstre hypochondrium og umbilicus [2]. Endvidere er der beskrevet fisteldannelse til thorax og pleura, hvilket medførte recidiverende pneumonier og empyem [3]. I litteraturen findes der ikke beskrivelser af fistler til mammae med abscesdannelser som i den her omtalte sygehistorie.

SYGEHISTORIE

En 89-årig kvinde med betydelig komorbiditet blev indlagt med smerter under højre kurvatur og svært forhøjede infektionsparametre. Fraset let forhøjet basisk fosfatase var lever- og galdetallene normale.

En ultralyd (UL)-undersøgelse af abdomen viste ductus choledocus dilateret til 12 mm. Patienten fik antibiotisk behandling, hvilket dog initialt var uden effekt. En efterfølgende magnetisk resonans (MR)-kolangiopankreatikografi viste en subfrenisk ansamling på 9 × 8 × 12 cm steinstrasse i en dilateret choledochus og kolecystolitiasis. Fundet blev tolket som en ascenderende kolangitis, der pga. koledokolitiasis resulterede i kolecystitis med perforation, hvorfra der var udviklet en subfrenisk absces.

Ansamlingen blev dræneret UL-vejledt under fortsat antibiotikabehandling. Fra drænet løb initialt pus og siden galde. En planlagt endoskopisk retrograd kolangiopankreatikografi (ERCP) blev ikke udført pga. patientens svækkede almentilstand. Konservativ behandling førte til regression af abscessen. Infektionsparametrene blev normaliseret, og patienten fik det så godt, at drænet kunne fjernes, og hun kunne udskrives.

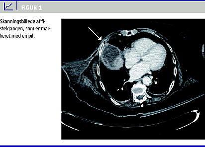
Seks uger senere blev patienten genindlagt med tegn på absces i højre mamma. Man fandt rødme og induration af papillen og den nedre laterale kvadrant af højre bryst strækkende sig om på ryggen. Abscessen blev incideret under udtømning af pus og galde. En computertomografi (CT) afslørede, at den subfreniske ansamling var gendannet, og at der via interkostalrum 4 var forbindelse til mammaabscessen (Figur 1 ). Patienten blev behandlet med en ny UL-vejledt drænage af den subfreniske ansamling samt ERCP med papillotomi og internt dræn. Sekretionen af galde fra såret på mamma ophørte, men den subfreniske absces gendannedes, hvorfor der blev foretaget åben kolecystektomi. Galdeblæren var skrumpet og dybt indlejret i leveren, men uden relation til det subfreniske rum, hvorfor transhepatisk perforation af højre leverlaps overflade ikke kan udelukkes.

Det postoperative forløb blev kompliceret af fascieruptur, der blev behandlet med forbigående vacuum assisted closure og sekundær sutur.

Patienten kom sig relativt hurtigt herefter og var seks måneder senere velbefindende i sin habitualtilstand og uden tegn til recidiv af hverken mammaabscessen eller den subfreniske absces.

DISKUSSION

Kolecystokutan fisteldannelse er en meget sjælden komplikation i forbindelse med kolecystitis. I de seneste 50 år er der beskrevet færre end 20 tilfælde i litteraturen [4]. Perforation til mamma er ikke tidligere beskrevet. Kolecystokutan fisteldannelse ses hyppigst hos kvinder over 50 år, måske pga. den øgede incidens af kolecystitis i denne aldersgruppe [5].

Den patofysiologiske mekanisme bag perforation synes at være obstruktion af ductus cysticus med øget tryk i galdeblæren, hvilket fører til nedsat blodgennemstrømning, nekrose, perforation og peritonitis [4]. Kronisk perforation fører til absces- og eventuelt fisteldannelse til enten huden eller intraabdominale organer (duodenum, colon), sidstnævnte medfører risiko for galdestensileus [5].

Årsagen til den her omtalte sjældne fistulering er formentlig, at den subfreniske absces har løftet diafragma på højre side og derved skabt mulighed for en fistel til mamma (Figur 1).

Udredning omfatter UL- og MR-skanning, CT samt fistulografi. De tre sidstnævnte modaliteter er velegnede til identifikation af abscesser, fistelgange og anden patologi. I denne sygehistorie blev der ikke foretaget fistulografi, men en CT viste fistelgang fra den subfreniske ansamling til mamma.

Endegyldig behandling består af kolecystektomi og, om muligt, eksstirpation af fistelvæv [4]. Hos ældre eller svækkede patienter kan konservativ behandling inklusive drænage og ERCP forsøges [2].

src="/LF/images_ufl/ufl_bla.gif">
Peter Andersen, Paludan-Müllersvej 177, 8200 Aarhus N.

E-mail: peterand82@hotmail.com

ANTAGET: 10. januar 2012

FØRST PÅ NETTET: 27. februar 2012

INTERESSEKONFLIKTER: ingen



Sidebar placering
Venstrestillet
Article type
Journal
Magazine
Section
References

<ol class="Litt-list">
<li>Niemeier OW. Acute free perforation of the gall-bladder. Ann Surg 1934;99:922-4.</li>
<li>Flora HS, Bhattacharya S. Spontaneous cholecystocutaneous fistula. HPB 2001;3:279-80.</li>
<li>Corral Sánchez MA, Gómez Sanz R, Alvarado Astudillo A et al. Cholecyst-thoracic fistula: a rare complication of lithiasic cholecystitis. Chest 1994;106:1303-4.</li>
<li>Hawari M, Wemyss-Holden S, Parry GW. Recurrent chest wall abscesses overlying a pneumonectomy scar: an unusual presentation of a cholecystocutaneous fistula. Interact Cardiovasc Thorac Surg 2010;10:828-9.</li>
<li>Birch BR, Cox SJ. Spontaneous external biliary fistula uncomplicated by gallstones. Postgrad Med J 1991;67:391-2.</li>
</ol>

Woodwing Id
260414
Fil
English summary

Summary Spontaneous cholecystocutaneous fistula presenting in the right breast Ugeskr L&aelig;ger 2012;174(18):1235-1236 We report a case of an 89 year-old woman, with an abscess in the right breast. On incision the abscess produced bile. Ultrasound scan, computed tomography, magnetic resonance imaging and endoscopic retrograde cholangiopancreatography showed a fistula from a subphrenic abscess to the breast. Conservative treatment was insufficient and the condition only resolved after open cholecystectomy. During the latest 50 years, less than 20 cases of cholecystocutaneous fistula have been reported. Perforation to the breast has not previously been described.

Bib ref
Ugeskr Læger 2012;174(18):1235-1236
Authors

Peter Andersen & Hans Friis-Andersen Kirurgisk Afdeling, Regionshospitalet Horsens

0 likes
Read time
4