Medlem i

12 years 10 months
Indholdselementer
Billede
Sidebar placering
Venstrestillet


Intestinale ganglioneuromer (GN) er sjældne, benigne polypper, der er karakteriserede ved en overvækst af ganglieceller, nervefibre og understøttende celler i gastrointestinalkanalen [1]. Der findes tre undergrupper: isolerede polypoide GN, ganglioneuromatøs polypøse GN og diffus ganglioneuromatøse GN [1, 2].

De polypoide GN er små, bredbasede eller stilkede polypper, der har en lighed med hyperplastiske polypper, juvenile polypper eller adenomer. Tumorerne forekommer enten solitært eller i et lille antal i tarmen, ofte i colon eller terminale ileum og hyppigst hos personer i 40-60-års-alderen [1]. Ved ganglioneuromatøst polypøse GN findes der typisk flere end 20 polypper. Diffust ganglioneuromatose er en udbredt nodulær proliferation af neurale elementer, der involverer de enteriske plekser. Disse tumorer er store (1-17 cm), uskarpt afgrænsede og kan ændre arkitekturen i det omkringliggende væv [1, 2].

Symptomatiske patienter har rektalblødning, smerter, vægttab og irritabel tyktarm, men hos mange opdages tilstanden tilfældigt [1]. Det isolerede GN involverer mucosa og submucosa, hvor der histologisk findes en hypercellulær og udvidet lamina propria, der består af S100-positive tenformede celler i en fibrillær matrix med isolerede ganglieceller [2].

SYGEHISTORIE

En 70-årig kvinde blev henvist til fleksibel sigmoideoskopi pga. pludseligt opståede abdominalsmerter og kvittering af gammelt blod og slim fra tarmen. Patienten havde haft 1-2 episoder af dette, men havde under udredningen ingen gener. Hun havde haft lidt vekslende afføringsmønster, intet vægttab og god appetit. Tidligere havde hun fået påvist ulcus duodeni og var blevet opereret for læsion af duodenum efter en trafikulykke.

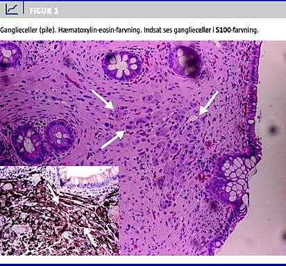
Ved koloskopi fandt man en lille polyp ca. 20 cm fra anus. Tarmen var herudover fuldstændig upåfaldende. Ved mikroskopi sås en polypøs slimhinde med uensartede krypter, enkelte let dilaterede, beliggende i et fint fibrillært stroma, der indeholdt adskillige ganglieceller, især superficielt. På nogle vævsflager var der komplet tab af krypterne, andre steder sås der spredtliggende krypter. Der var ingen epiteldysplasi. Ved immunhistokemisk undersøgelse sås det som ventet, at gangliecellerne i lamina propria var positive ved S100-farvning (Figur 1 ).

Idet man kun fandt en enkelt solitær polyp ved koloskopi, blev patienten ikke yderligere udredt for generaliseret neurosygdom. Det blev skønnet, at kontrolkoloskopi var unødvendig.

DISKUSSION

Den foreliggende polyps histologi er i overensstemmelse med histologien ved isolerede polypoide GN [3]. I den normale tarm forekommer der ganglieceller i plexus submucosus beliggende i tela submucosa og ikke i selve tunica mucosa, som det ses ved GN. Der er beskrevet få tilfælde af solitære GN hos patienter med Cowdens syndrom, tuberøs sklerose, familiær polyposis coli og juvenil polypose, men ingen hos patienter med von Recklinghausens sygdom eller multipel endokrin neoplase (MEN) type-2b [1, 2]. Computertomografi eller magnetisk resonans-skanning kan anvendes til at sikre, at der ikke er ekstraintestinale manifestationer, hvilket kan ses i forbindelse med disse genetiske sygdomme. Der er ikke set recidiv efter total excision af solitære GN, hvorfor kontrol ikke rekommanderes [4].

De differentialdiagnostiske overvejelser var, patientens alder og symptomer taget i betragtning, primært centreret om adenomer og adenokarcinomer samt karcinoide tumorer, neuroblastomer, GN og schwannomer, sidstnævnte forekommer dog meget sjældent. Adenokarcinomer i colon er beskrevet sammen med diffus ganglioneuromatose og ganglioneuromatøs polypose i få tilfælde, men ingen er beskrevet i forbindelse med solitære polypoide GN [5].

Patogenesen til disse ganglioneuromatøse tumorer er fortsat ikke afdækket. Diffus ganglioneuromatose menes at være en usædvanlig hyperplasi af nerveplekser muligvis pga. øgede niveauer af cirkulerende nervevækstfaktorer, hvorimod de solitære GN formentlig er hamartomer, der er en tumorlignende masse bestående af ikkeneoplastisk væv på et sted, hvor det pågældende væv normalt forekommer [1].

Der er identificeret forskellige gener, der er knyttet til de enkelte syndromer: familiær adenomatøs polypose med adenomatøs polyposis coli-genet, Cowdens syndrom med kimbanemutation af PTEN-genet og MEN2b med mutation af RET -genet [2]. Endnu er der ikke fundet et gen, der specifikt er korreleret til intestinal ganglioneuromatose.

src="/LF/images_ufl/ufl_bla.gif">
Maj Rabjerg , Klinik for Patologisk Anatomi, Sydvestjysk Sygehus, Esbjerg, Finsensgade 35, 6700 Esbjerg. E-mail: missrabjerg@gmail.com

ANTAGET: 8. marts 2012

FØRST PÅ NETTET: 16. april 2012

INTERESSEKONFLIKTER: ingen

Taksigelser: Klinik for Patologisk Anatomi, Sydvestjysk Sygehus, Esbjerg, takkes for materiale til kasuistikken, og Solveig Busch takkes for gennemlæsning og redigering af manuskriptet.



Sidebar placering
Venstrestillet
Article type
Journal
Magazine
Section
References

<ol class="Litt-list">
<li>Shekitka KM, Sobin LH. Ganglioneuromas of the gastrointestinal tract: relation to von Recklinghausen disease and other multiple tumor syndromes. Am J Surg Pathol 1994;18:250-7.</li>
<li>Chan OT, Haghighi P. Hamartomatous polyps of the colon: ganglioneuromatous, stromal and lipomatous. Arch Pathol Lab Med 2006;130:1561-6.</li>
<li>Soccoso G, Puls F, Richards C et al. A ganglioneuroma of the sigmoid colon presenting as leading point of intussusception in a child: a case report. J Pediatr Surg 2009;44:17-20.</li>
<li>Torrisi A, Carillio G, Libra M et al. Solitary ganglioneuroma of the ileo-cecal valve. Pathologica 2003;95:192-5.</li>
<li>Qiao S, Iwashita T, Ichihara M et al. Increased expression of glial cell line-derived neurotrophic factor and neurturin in a case of colon adenocarcinoma associated with diffuse ganglioneuromatosis. Clin Neuropathol 2009;28:105-12.</li>
</ol>

Woodwing Id
271318
Fil
Conflict of interest
English summary

Summary A solitary ganglioneuroma occurring in the sigmoid colon Ugeskr L&aelig;ger 2012;174(39):2305-2306 We report a case of a rare solitary ganglioneuroma occurring in the sigmoid colon of a 70 year-old woman. She experienced sudden onset of abdominal pain and loss of old blood from the gastrointestinal tract. A colonoscopy disclosed a pedunculate polyp in the sigmoid colon 20 cm from the anus, and a histopathologic examination revealed a polypoid mucosa with abundant ganglionic cells and nerve fibres.

Bib ref
Ugeskr Læger 2012;174(39):2305-2306
Authors

Maj Rabjerg & Adam Kolodziejczyk Klinik for Patologisk Anatomi, Sydvestjysk Sygehus, Esbjerg

0 likes
Read time
4