Medlem i

12 years 10 months
Indholdselementer

ARTROSE

Skulderartrose

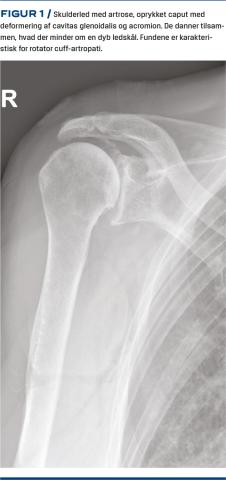
Skulderartrose ses både primært og sekundært i forbindelse med fraktur, ustabilitet eller slid i rotator cuff-senerne. Ved samtidig artrose og rotator cuff-destruktion benævnes tilstanden rotator cuff-artropati (Figur 1). Prævalensen af artrose i skulderleddet er ca. 20% efter 80-årsalderen [1]. Patienter, der opereres med en skulderalloplastik, monitoreres af Dansk Skulderalloplastik Register (DSR) [2]. Her er der påvist en stigning i antallet af alloplastikker, som er indsat pga. artrose eller rotator cuff-artropati, fra 356 i 2008 til 836 i 2019. Årsagen til stigningen er ukendt, men kan skyldes en stigende forekomst af svære tilfælde, bedre behandlingsmuligheder, bedre kendskab til disse eller indikationsskred.

Sidebar placering
Venstrestillet
Hovedbudskaber
  • Skulderalloplastik giver i modsætning til for ti år siden et godt funktionelt resultat, og der er kun behov for få revisioner.

  • Kirurgisk behandling af artrose i akromioklavikulærleddet er forbundet med få komplikationer og gode resultater.

  • Ved alloplastik i albuen ses fortsat mange komplikationer, men også et godt funktionelt resultat.

Ombryd tekst
0
Brødtekst
  • Skulderalloplastik giver i modsætning til for ti år siden et godt funktionelt resultat, og der er kun behov for få revisioner.

  • Kirurgisk behandling af artrose i akromioklavikulærleddet er forbundet med få komplikationer og gode resultater.

  • Ved alloplastik i albuen ses fortsat mange komplikationer, men også et godt funktionelt resultat.

Billede
Sidebar placering
Venstrestillet

Akromioklavikulærledsartrose

Artrose i akromioklavikulær (AC)-leddet er den hyppigste lidelse i AC-leddet og ses med stigende hyppighed efter 30-årsalderen. Degenerative forandringer, der oftest er asymptomatiske, kan påvises på MR-skanning allerede fra 20-årsalderen og ses hos > 80% efter 30-års-alderen [3]. Behandlingskrævende artrose ses lige hyppigt hos mænd som kvinder [4].

Albueartrose

Albueartrose er ofte sekundær til tidligere traumer. Primær albueartrose er en sjælden tilstand med en prævalens på < 2%. Den forekommer hyppigst hos midaldrende mænd i den dominante albue [5]. Tilstanden kan dog ses i alle aldre og hos begge køn og ses i tiltagende grad hos sportsudøvere med betydelig albuebelastning [6]. Tidligere var den hyppigste årsag til indsættelse af en albuealloplastik reumatoid artritis, men på baggrund af bedret medicinsk behandling er dette helt ændret [7]. Nu behandles flest patienter med albuealloplastik pga. primær og posttraumatisk artrose samt frisk fraktur [8]. Der indsættes samlet ca. 100 albuealloplastikker årligt i Danmark, og behandlingerne er samlet på få specialiserede afdelinger.

KLINISK PRÆSENTATION

Skulderartrose

Skulderartrose viser sig i form af tiltagende funktionssmerter. I svære tilfælde tilkommer der hvilesmerter og forstyrret nattesøvn. Der kan opleves stivhed, især om morgenen, og klassisk smertetriade. Det er ved alle artrosetilstande i skulderen og albuen relevant at spørge til tidligere traume.

Objektivt kan der være nedsat bevægelighed og skurren. Rotator cuff-funktionen vurderes på baggrund af muskelatrofi og nedsat styrke (Figur 2).

Sidebar placering
Venstrestillet
Billede
Sidebar placering
Venstrestillet

Differentialdiagnostisk bør frossen skulder, rotator cuff-patologi, impingement med eller uden AC-ledartrose, ledmus og inflamatorisk eller infektiøs artritis overvejes [9].

Akromioklavikulærledsartrose

AC-ledartrose viser sig ofte ved smerter på toppen af skulderen med udstråling til halsen og/eller regio deltoidea. Smerterne forværres ved brug af armen over skulderhøjde eller foran kroppen. Objektivt er der let nedsat skulderbevægelighed. Der er ømhed ved palpation af AC-leddet, der kan prominere pga. osteofytter. Der udløses smerter og evt. skurren, når armen føres ind foran kroppen i adduktion [10]. Testen benævnes cross-over test og har en høj sensitivitet for lidelsen [11]. Smertefrihed efter blokadeinjektion i AC-leddet indikerer, at leddet er symptomgivende. Test af stabiliteten i AC-leddet under bevægelser i skulderen og ved manuel mobilisering af den laterale klavikelende kan anvendes til at udelukke symptomgivende instabilitet i leddet.

Differentialdiagnostisk må man overveje distal klavikelosteolyse (»vægtløfterskulder«), inflammatorisk eller septisk artritis, instabilitet, neuritter og patologi i halshvirvelsøjlen.

Albueartrose

Artrose i albuen viser sig oftest ved tiltagende smerter, tidvist nedsat bevægelighed, hvor særligt strækkeevnen, men også rotationen kan være påvirket og sommetider med aflåsninger af leddet som følge af musedannelse i den artroseomdannede albue.

Objektivt er der nedsat aktiv og passiv ledbevægelighed, tiltagende hævelse og krepitation ved bevægelse. Sent kan der være indtryk af fejlstilling og påvirkning af n. ulnaris. Stabiliteten af leddet vurderes, da kronisk ustabilitet ikke sjældent kan føre til sekundær artrose [6, 12]. Differentialdiagnostisk bør isoleret ledmus, traumatisk bløddelskontraktur, reumatoid eller infektiøs artritis og epikondylitis overvejes.

RADIOLOGI

Før andre radiologiske undersøgelser er det væsentligt, at man starter med konventionel røntgen. Det er en prisbillig og sikker undersøgelse, der ofte er tilstrækkelig til diagnosticering af artrosen. De radiologiske fund består af reduceret ledspalte, osteofytter, knoglecyster og evt. ledmus. Undersøgelsen bruges også differentialdiagnostisk ved at påvise artritis, tumorer og tegn til ustabilitet [13-15].

Ved skulderartroseog mistanke om påvirket rotator cuff-funktion suppleres der med ultralydskanning, CT eller MR-skanning. Ved CT, der anvendes i stigende grad, visualiseres evt. atrofi af rotator cuff-muskulaturen og ossøse forhold herunder slid på cavitas. Ved MR-skanning ses både rotator cuffen, synovitis og fokale bruskdefekter herunder slid på cavitas [13].

Ved AC-ledartrose kan røntgenbilledet suppleres med UL- eller MR-skanning for at udelukke rotator cuff-læsioner, eller hvis man har mistanke om, at der foreligger impingement på de underliggende rotator cuff-strukturer [3, 13].

Ved albueartrose kan CT bruges til vurdering af osteofytter, der evt. skal fjernes. MR-skanning kan være gavnlig for vurdering af ledbånds- og seneforhold, synovitis, epikondylitis og ledbruskdefekternes lokalisation og omfang [14].

IKKEKIRURGISK BEHANDLING

Den initiale behandling i form af patientvejledning og regulering af belastningsniveauet i kombination med antiinflammatorisk medicin har ofte god effekt for mange patienter. Fysioterapi kan være nødvendig for at bedre bevægelighed i det afficerede led og bedre den daglige funktion, men effekten af fysioterapi ved artrose i skulder- og albueled er ringe belyst [6, 9, 15].

Blokader med steroid har ofte god, men forbigående effekt. Blokader kan anvendes i såvel skulder-, albue- som AC-led både diagnostisk og terapeutisk i forbindelse med påbegyndelse af træning, men potentiel kontaminering af leddet bør overvejes, hvis alloplastik påtænkes [16]. Særligt for AC-leddet kan blokade efterfulgt af træning ofte føre til symptomfrihed trods udtalt artrose [10, 16]. For alle tre led bør konservativ behandling gå forud for evt. kirurgisk behandling.

KIRURGISK BEHANDLING OG EFTERBEHANDLING

Skulderartrose

Ved skulderartroseer der ingen dokumenteret effekt af synovektomi [15]. Når der ikke længere er effekt af ikkeoperativ behandling, er den eneste dokumenterede mulighed indsættelse af alloplastik. Timing af kirurgi beror på et individuelt skøn. Sandsynligheden for revisionskirurgi på sigt skal opvejes mod aktuelle gener, nedsat funktionsniveau og påvirket livskvalitet. Konstante smerter, forstyrret nattesøvn og betydelig påvirket funktion er de vigtigste indikationer for kirurgi [9, 15].

Data fra DSR har vist, at resurfacing-hemialloplastik i perioden 2006-2012 var den hyppigst anvendte alloplastik til behandling af skulderartrose med intakt rotator cuff-funktion. Resultaterne var uforudsigelige og ofte skuffende, især hos patienter under 55 år [17]. Fra 2012 og frem er der i stigende grad brugt en anatomisk totalalloplastik, hvilket er i overensstemmelse med internationale anbefalinger [18]. Ændringen har medført, at den gennemsnitlige Western Ontario Osteoarthritis of the Shoulder Index-score, der er et patientrapporteret outcome med en score fra 0 til 100, hvor 100 er bedst, er steget fra 64 i 2006 til 82 i 2015 på nationalt niveau [19]. Nordiske data har vist en tiårsproteseoverlevelse for anatomisk totalalloplastik på 96%, hvilket er signifikant bedre end for hemialloplastik. De hyppigste årsager til revision ved anatomisk total alloplastik er rotator cuff-problem, proteseløsning og infektion [20].

Tidligere anvendtes hemialloplastik evt. med stort ledhoved til patienter med skulderartrose og samtidig betydende rotator cuff-patologi. Revers alloplastik antages dog i dag for at være den bedste behandling, og anvendelsen er stigende [15]. Data fra DSR har vist, at resultaterne ved revers alloplastik er bedre end ved hemialloplastik, men yngre patienter har et skuffende resultat uanset alloplastiktype [15, 21]. 90-95% oplever lindring af smerterne, men må acceptere restriktioner i vægtbelastning af armen [9]. Nordiske data har vist en tiårig kumulativ proteseoverlevelse på 91% for revers alloplastik. Mænd har en høj risiko for revision på grund af infektion [22, 23]. Efterbehandlingen ved både revers alloplastik og anatomisk alloplastik er kortvarig aflastning i armslynge efterfulgt af fri guidet mobilisering.

Akromioklavikulærledsartrose

Ved AC-ledartrose bør konservativ behandling fortsættes i seks måneder. Ved manglende effekt kan operativ behandling overvejes (Figur 3). Kirurgien foretages ofte i kombination med subakromiel dekompression. Der foretages resektion af den laterale klavikelende, hvorved bredden af AC-leddet øges. Operationen kan foretages artroskopisk eller åbent. Man tilstræber en resektion på 8-10 mm. Hvis der fjernes for meget knogle, kan operationen kompliceres af ustabilitet i leddet, da ledkapsel og de ligamentære forstærkninger mellem acromion og klaviklen hæfter tæt på ledspalten. Fjernes der for lidt, er der risiko for vedvarende smerter [10, 24]. Der rapporteres gode resultater hos op til 93% efter resektion [25].

Sidebar placering
Venstrestillet
Billede
Sidebar placering
Venstrestillet

Efterbehandlingen er kortvarig aflastning i armslynge efterfulgt af fri guidet mobilisering med scapulastabilisering. Tung vægttræning frarådes i de første tre måneder. Resultaterne er sædvanligvis gode med effekt hos 80-90% af patienterne, men ikke alle kan vende tilbage til tunge løft og skulderbelastning [4, 10, 25].

Albueartrose

Artrose i albuen kan behandles med artroskopisk eller åben led-løsning med synovektomi, løsning af kapsel og resektion af osseøse prominenser herunder caput radii og ledmus. Herved kan bevægelighed, smerter og aflåsninger bedres. I degenerative led er bedringen oftest forbigående, men kan udskyde tidspunktet for alloplastik. Prognosen ved isolerede bløddelskontrakturer er betydeligt bedre. Ved fremskredne tilfælde med symptomer fra n. ulnaris giver åben kirurgi mulighed for samtidig in situ-løsning af n. ulnaris. Ellers er resultaterne for åben og skopisk operation sammenlignelige [6, 26]. Efterbehandlingen er hurtig guidet mobilisering evt. med passiv udstrækning [6, 26]. Ved svær artrose, hvor andre behandlingstilbud har fejlet, kan albuealloplastik tilbydes [6, 8, 27]. Der findes forskellige alloplastiktyper, der anvendes på forskellige indikationer [8, 27]. Den løst hængslede totalalloplastik er den mest anvendte og fremviser de bedste resultater ved artrose (Figur 4) [7, 27, 28]. Efterbehandling er oftest kort immobilisering i bandage, efterfulgt af fri guidet mobilisering. 90% oplever lindring af smerterne, men må acceptere vægtrestriktion for ekstremiteten. Tiårsproteseoverlevelsen er i europæiske studier 80-85% [8, 27, 28]. Proteseløsning, fraktur, dyb infektion og n. ulnaris-påvirkning er de hyppigste komplikationer, der ses i op til 20% af tilfældene [8, 29, 30].

Sidebar placering
Venstrestillet
Billede
Sidebar placering
Venstrestillet

KONKLUSION

Artrose i både skulder, AC-led og albue starter snigende. Den primære udredning er røntgenundersøgelse i to plan, siden kan skanninger overvejes. Artrose behandles initialt med modifikation af aktivitet, guidet træning, nonsteroide antiinflammatoriske stoffer og evt. steroidinjektion. Ved fremskredne tilfælde kan kirurgi komme på tale. Skulderalloplastik er forbundet med god patienttilfredshed, og det forventes, at der for 95% af alloplastikkerne ikke er behov for revision inden for ti år. Ved AC-artrose ses der lindring hos op til 93% efter resektion af leddet, og komplikationer er sjældne. I albuen kan débridement og fjernelse af osteofytter lindre i moderate tilfælde. Ved svære tilfælde bringer alloplastik bedring for 90% af patienterne, men 20% oplever komplikationer. Efterbehandlingen er i alle tilfælde kort immobilisering efterfulgt af træning. Ved albuealloplastik og skulderalloplastik påføres patienterne livslang restriktion i belastning af armen. AC-ledresektion udføres som hovedfunktion på alle ortopædkirurgiske afdelinger, skulderalloplastik som regionsfunktion på specialafdelinger i alle regioner og albuealloplastik indsættes som højtspecialiseret funktion på afdelingerne på Aarhus Universitetshospital, Odense Universitetshospital og Herlev-Gentofte Hospital.





KORRESPONDANCE: Bo Sanderhoff Olsen. E-mail: bo.sanderhoff.olsen@regionh.dk

ANTAGET: 13. juli 2020

PUBLICERET PÅ UGESKRIFTET.DK: 12. oktober 2020

INTERESSEKONFLIKTER: Forfatternes ICMJE-formularer er tilgængelige sammen med artiklen på Ugeskriftet.dk

LITTERATUR: Findes i artiklen publiceret på Ugeskriftet.dk

Sidebar placering
Venstrestillet
Article type
Journal
Magazine
Section
References

Litteratur

  1. Jenkinson ML, Bliss MR, Brain AT et al. Peripheral arthritis in the elderly: a hospital study. Ann Rheum Dis 1989;48:227-31.

  2. Årsrapport 2019 for Dansk Skulderalloplastik Register. https://www.sundhed.dk/content/cms/3/4703_dsr-aarsrapport-2019-til-offentliggoerelse.pdf

  3. Stein BE, Wiater JM, Pfaff HC et al. Detection of acromioclavicular joint pathology in asymptomatic shoulders with magnetic resonance imaging. J Shoulder Elbow Surg 2001;10:204-8.

  4. McLean M, Hoban K, Gupta R et al. The epidemiology of acromioclavicular joint excision. J Orthop Surg (Hong Kong) 2018;27:2309499018816521.

  5. Stanley D. Prevalence and etiology of symptomatic elbow osteoarthritis. J Shoulder Elbow Surg 1994;3:386-9.

  6. Stanley D. Trail I, red. Operative elbow surgery. Churchill Livingstone, 2012:part 8.

  7. Jämsen E, Virta LJ, Hakala M et al. The decline in joint replacement surgery in rheumatoid arthritis is associated with a concomitant increase in the intensity of anti-rheumatic therapy: a nationwide register-based study from 1995 through 2010. Acta Orthop 2013;84:331-7.

  8. Viveen J, van den Bekerom MPJ, Doornberg JN et al. Use and outcome of 1,220 primary total elbow arthroplasties from the Australian Orthopaedic Association National Joint Arthroplasty Replacement Registry 2008-2018. Acta Orthop 2019;90:511-6.

  9. Rockwood CA, Matsen FA, Wirth MA et al, red. The shoulder. Saunders, 2009:chapter 22.

  10. Mazzocca AD, Arciero RA, Bicos J. Evaluation and treatment of acromioclavicular joint injuries. Am J Sports Med 2007;35:316-29.

  11. O’Brien SJ, Pagnani MJ, Fealy S et al. The active compression test: a new and effective test for diagnosing labral tears and acromioclavicular joint abnormality. Am J Sports Med 1998;26:610-3.

  12. Morrey BF, Sanchez-Sotelo J, red. The elbow and it’s disorders. Saunders, 2009:chapter 4.

  13. Rockwood CA, Matsen FA, Wirth MA et al, red. The shoulder. Saunders, Elsevier, 2009:chapter 5.

  14. Stanley D, Trail I, red. Operative elbow surgery. Churchill Livingstone, 2012:chapter 5.

  15. American Academy of Orthopaedic Surgeons. Management of glenohumeral joint osteoarthritis evidence-based clinical practice guideline. https://www.aaos.org/gjocpg.

  16. National klinisk retningslinje for behandling og diagnostik af patienter med udvalgte skulderlidelser, Sundhedsstyrelsen 2013. https://www.sst.dk/da/udgivel ser/2013/~/media/ECDF89CE7B904A34A5EC8576B507289D.ashx

  17. Rasmussen JV, Polk A, Sorensen AB et al. Outcome, revisionrate and indication for revision following resurfacing hemiarthroplasty for osteoarthritis of the shoulder. Bone Joint J 2014;96-B:519-25.

  18. Izquierdo R, Voloshin I, Edwards S et al. Treatment of glenohumeral osteoarthritis. J Am Acad Orthop Surg 2010;18:375-82.

  19. Rasmussen JV, Amundsen A, Sørensen AKB et al. Increased use of total shoulder arthroplasty for osteoarthritis and improved patient-reported outcome in Denmark, 2006-2015: a nationwide cohort study from the Danish Shoulder Arthroplasty Registry. Acta Orthop 2019;90:489-94.

  20. Rasmussen JV, Hole R, Metlie T et al. Osteoarthritis Cartilage 2018;26:659-65.

  21. Ammitzboell M, Baram A, Brorson S et al. Poor patient-reported outcome after shoulder replacement in young patients with cuff-tear arthropathy: a matched-pair analysis from the Danish Shoulder Arthroplasty Registry. Acta Orthop 2019;90:119-22.

  22. Lehtimäki K, Rasmussen JV, Mokka J et al. Risk and risk factors for revision after primary reverse shoulder arthroplasty for cuff tear arthropathy and osteoarthritis: a Nordic Arthroplasty Register Association Study. J Shoulder Elbow Surg 2018;27:1596-601.

  23. Moeini S, Rasmussen JV, Salomonsson B et al. Reverse shoulder arthroplasty has a higher risk of revision due to infection than anatomical shoulder arthroplasty: 17 730 primary shoulder arthroplasties from the Nordic Arthroplasty Register Association. Bone Joint J 2019;101-B:702-7.

  24. Rockwood CA, Matsen FA, Wirth MA et al, red. The shoulder. Saunders, 2009:chapter 20D.

  25. Chaudhury S, Bavan L, Rupani N et al. Managing acromio-clavicular joint pain: a scoping review. Shoulder Elbow 2018;10:4-14.

  26. Olsen BS. Treatment of the stiff elbow. Orthop Trauma 2012;26:6:397-404.

  27. Plaschke HC, Thillemann TM, Brorson S et al. Implant survival after total elbow arthroplasty; a retrospective study of 324 procedures performed from 1980 to 2008. J Shoulder Elbow Surg 2014;23:829-36.

  28. Krukhaug Y, Hallan G, Dybvik E et al. A survivorship study of 838 total elbow replacements.a report from the Norwegian Arthroplasty Register 1994-2016. J Shoulder Elbow Surg 2018;27:260-9.

  29. Welsink CL, Lambers KTA, van Deurzen DFP et al. total elbow arthroplasty: a systematic review. J Bone Joint Surg Rev 2017;5:e4.

  30. Plaschke HC, Thillemann TM, Brorson S et al. Outcome after total elbow arthroplasty: a retrospective study of 167 procedures performed from 1981 to 2008. J Shoulder Elbow Surg 2015;24:1982-90.

Woodwing Id
28616
Fil
Conflict of interest
English title
Osteoarthritis of the shoulder, the elbow and the acromioclavicular joint
English summary

Anne Kathrine Belling Sørensen, Jeppe Vejlgaard Rasmussen & Bo Sanderhoff Olsen

Ugeskr Læger 2020;182:V05200301

Osteoarthritis of the shoulder is common in elderly, and arthroplasty surgery is increasing in Denmark. This review summarises the current knowledge. Results are good, and revision rates are low at ten years. Symptomatic osteoarthritis in the acromioclavicular joint are common. Most patients can be treated conservatively. Resection arthroplasty complications are rare, and the results are good. Osteoarthritis of the elbow is rare, and only a few arthroplasties are performed. Complications are common, but revision rates are relatively low, and results are improving.

Authors workplaces

Afdelingen for led- og knoglekirurgi, Herlev-Gentofte Hospital

Ugeskr Læger 2020;182:V05200301

Bib ref
Ugeskr Læger 2020;182:V05200301
Article number
V05200301
Authors

Anne Kathrine Belling Sørensen, Jeppe Vejlgaard Rasmussen & Bo Sanderhoff Olsen

Temaer
0 likes