Medlem i

12 years 10 months
Indholdselementer
Billede
Sidebar placering
Venstrestillet


Rhabdomyosarkom er en kræfttype, som opstår i bindevæv og muskelvæv. Svulsterne kan opstå hos børn og voksne i alle aldre. Den primære svulst kan sidde mange forskellige steder på kroppen, f.eks. i blærevæggen, ved testiklerne, i øjets styremuskler, i lårmusklerne osv. Rhabdomyosarkom forekommer sjældent, men hyppigst hos børn. Den patologisk-anatomiske diagnose er som regel rhabdomyosarkom af embryonal type [1]. Hoved- og halsområdet er den hyppigste anatomiske lokalisation og opgives i et materiale [2] til at udgøre 38% af tilfældene, heraf var 8,5% lokaliseret til øregang og mellemøre. Vi har ikke noget tal for, hvor mange nydiagnosticerede tilfælde, der er i Danmark pr. år, men et materiale [2] viste, at 7-10 børn i Sverige rammes hvert år. Man må formode, at antallet i Danmark er noget mindre. Diagnosen stilles ofte på et sent tidspunkt, da symptomerne ved lidelsen svarer til dem, der ses ved banale sygdomme i øre-, næse- og halsområdet. Behandlingen er ofte en kombination af kirurgi, strålebehandling og kemoterapi. I et stort materiale [3] opgives femårsoverlevelse til at være ca. 80%.

Sygehistorie

En tre år gammel dreng, enægget tvilling, blev henvist pga. en måned varende flåd, smerter og intermitterende blødning fra venstre øregang. Drengen var født som præmatur, men ellers sund og rask med blank øreanamnese. Ved den objektive undersøgelse fandtes en større organiseret polyp, der promenerede ca. en halv cm ud af den bruskede øregang. Det var ikke muligt visuelt at erkende trommehinden ej heller at foretage en høreprøve pga. manglende kooperation. Der var ingen regional glandelsvulst som tegn på metastaser.

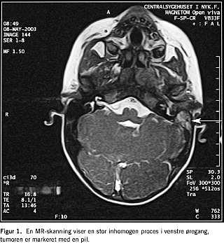
En MR-skanning (Figur 1 ) viste en stor inhomogen proces i meatus acusticus externus sin., ødem i tuba auditiva sin., m. pterygoideus medialis og lateralis sin. samt let ødem i mellemøret.

Der blev foretaget biopsi af tumor i generel anæstesi. En frysemikroskopi gav mistanke om embryonalt rhabdomyosarkom, hvilket blev bekræftet ved den endelige mikroskopi.

Patienten blev henvist til Onkologisk Afdeling på Rigshospitalet til fortsat behandling, hvor der blev tilrettelagt primær strålebehandling evt. efterfølgende kemotereapi og kirurgisk behandling.

Diskussion

Vores sygehistorie illustrerer, at polypper i øregangen med flåd hos børn uden tidligere ørelidelser bør resultere i en hurtig henvisning til ørelæge eller til en øre-, næse- og halsafdeling med henblik på en nærmere undersøgelse. På denne måde sikrer man sig, at den relevante udredning og behandling kan iværksættes og at doctor's delay bliver kortest muligt.

Differentialdiagnostiske overvejelser bør gå i retning af, at kolesteatom i mellemøret kan være den tilgrundliggende årsag til polypdannelse eller som i vores tilfælde en malign lidelse, selv om det sidste sjældent er tilfældet.

I tilfælde af kolesteatom, specielt hos børn, er operativ behandling påkrævet inden for kort tid, ofte inden for to til tre måneder, hvis man skal undgå de sekundære komplikationer ved lidelsen i form af destruktion af de små mellemøreknogler og deraf følgende betydelig konduktiv hørenedsættelse. I værste fald kan tilstanden medføre den frygtede komplikation meningitis eller hjerneabsces. Endelig kan tilstanden medføre døvhed på den afficerede side.

Det er sjældent, hvis det overhovedet forekommer, at en banal akut ensidig mellemørebetændelse resulterer i en stenoserende øregangspolyp med smerter og udflåd.

Vores patient blev henvist af ørelægen efter en kortvarig konservativ behandling. I det aktuelle tilfælde varede det nogle få uger, før den endelige diagnose kunne stilles.

I flere arbejder har man vist [4, 5], at prognosen for overlevelse er afhængig af TNM-stadium, og en hurtig indsats i form af diagnose og behandling forbedrer femårsoverlevelsen betydeligt.


Torfinnur Rubek Nielsen, Øre-næse-halskirurgisk og Audiologisk Afdeling H, Storstrømmens Sygehus Nykøbing Falster, DK-4800 Nykøbing Falster. E-mail: trn@cnf.stam.dk

Antaget: 13. januar 2004

Interessekonflikter: Ingen angivet



Sidebar placering
Venstrestillet
Article type
Journal
Magazine
Section
References

<ol class="Litt-list">
<li>Mehta S, Verma A, Mann SB et al. Rhabdomyosarcoma of head and neck - an analysis of 24 cases. Indian J Cancer 1996;33:37-42.</li>
<li>Elner Å. ØNH-Pediatrik. Symposium i Lund 1983. Stockholm: Berlings, Arløv, 1994.</li>
<li>Maurer HM, Beltangady M, Gehan EA et al. The Intergroup Rhabdomyosarcoma Study - I. Cancer 1988;61:209-20.</li>
<li>Rodary C, Gehan EA, Flamant F et al. Prognostic factors in 951 nonmetastatic rhabdomyosarcoma in children: a report from the International Rhabdomyosarcoma Workshop. Med Pediatr Oncol 1991;19:89-95.</li>
<li>Gehan EA, Glover FN, Maurer HM et al. Prognostic factors in children with rhabdomyosarcoma. Natl Cancer Inst Monogr 1981;56:83-92.</li>
</ol>

Woodwing Id
256473
Fil
English summary

Summary Embryonal rhabdomyosarcoma lesion in the auditory meatus Ugeskr L&aelig;ger 2004;166:2465-2466 In this paper we present a three-year-old boy with a rhabdomyosarcoma in the left auditory meatus. Primary sarcoma of the temporal bone is an uncommon neoplasm that is seen in the head and neck area, the most common type being embryonal rhabdomyosarcoma. Since the symptoms of rhabdomyosarcoma, such as aural discharge, mimic common disease states, the clinical diagnosis is often delayed. Early diagnosis of rhabdomyosarcoma is important because the disease, once inevitably fatal, can now be controlled and apparently cured in most cases by a combination of surgery, radiation and multidrug chemotherapy.

Bib ref
Ugeskr Læger 2004;166(25):2465-2466
Authors

Adm. overlæge Torfinnur Rubek Nielsen, overlæge Finn Clement & stud.med. Niclas Rubek Nielsen Storstrømmens Sygehus Nykøbing Falster, Øre-næse-halskirurgisk og Audiologisk Afdeling H

0 likes
Read time
4