Medlem i

12 years 10 months
Indholdselementer
Billede
Sidebar placering
Venstrestillet


En seks måneder gammel pige blev akut indlagt med opkastninger og sløvhed. Hun fik kramper kort efter indlæggelsen. Computertomografi viste en tumor i tredje ventrikel. Hun blev ikkeradikalt opereret. Histologi viste atypisk teratoid/rhabdoid tumor. Man afstod fra kurativt behandlingsforsøg, og patienten døde tre måneder senere.

Atypisk teratoid/habdoid tumor (AT/RT) er en nyligt opdaget højmalign hjernetumor, der primært rammer små børn. Den deler mange kliniske, billeddiagnostiske og histologiske træk med medulloblastomet. Der er ingen standardbehandling. AT/RT er højmalign med en toårs mortalitetsrate på 80%.

Hjernetumorer er den næsthyppigste kræftform hos børn kun overgået af leukæmi. AT/RT er en nyligt opdaget hjernetumor, der overvejende rammer småbørn. Denne tumortype er hyppigst lokaliseret i fossa posterior, men kan ses i hele centralnervesystemet (CNS). Klinisk præsenterer AT/RT sig med symptomer, der afspejler tumors beliggenhed. Det kan være morgenhovedpine og opkastninger, ataksi, kranienervepareser og kramper. AT/RT er højmalign med en toårs mortalitetsrate på 80% [3]. Der er dog set overlevelse i op til otte år.

Vi beskriver her en sygehistorie med en seks måneder gammel pige, der præsenterede sig med opkastninger og let sløvhed.

Sygehistorie

En seks måneder gammel pige blev akut indlagt pga. idelige opkastninger, der efterhånden var af eksplosiv karakter. Hun havde skrantet i en uge, spist sparsomt, gylpet mere end vanligt og været subfebril. Ved indlæggelsen var hun afebril, men slap og sløv. Efter et halvt døgns indlæggelse fik hun et tonisk krampeanfald. Kramperne blev brudt med sup. stesolid klysma. Der fandtes nu pupildifferens med dilateret venstre pupil, der reagerede trægt for lys. Akut computertomografi af cerebrum viste en stor tumor i tredje ventrikel. Lateralventriklerne var voldsomt dilaterede. I begge hemisfærer sås ødem og begyndende inkarceration.

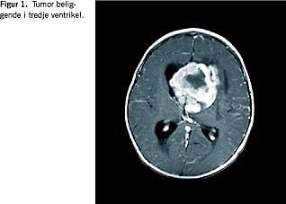
Patienten blev overflyttet til Neurokirurgisk Afdeling, Århus Sygehus. Her blev der akut anlagt ventrikeldræn bilateralt. Magnetisk resonans (MR)-skanning (Figur 1 ) viste en stor malignt udseende tumor intraventrikulært. Ved operation blev tumor fjernet subradikalt, fordi den var placeret op ad de centrale vener basalt. Frysemikroskopi under operationen viste anaplastisk ependymom, men ved efterfølgende patologisk undersøgelse blev diagnosen korrigeret til AT/RT.

Patienten blev udskrevet til palliativ behandling i hjemmet og døde knap ni måneder gammel.

Diskussion

AR/RT er en sjælden højmalign tumor, der overvejende ses hos små børn.

Den præcise incidens af AT/RT er endnu usikker, da den kan være svær at adskille fra andre tumorer som medulloblastomet, med hvilken den deler mange kliniske, billeddiagnostiske og histologiske træk. Den rette diagnose er dog vigtig, da medulloblastom responderer bedre på kemoterapi og har en langtidsoverlevelse på 65% [1, 2, 3].

Diagnosen AT/RT stilles idag ved lysmikroskopisk undersøgelse kombineret med immunohistokemiske undersøgelser. Der ses ved mikroskopi strøg af rhabdoide celler med oftest excentrisk beliggende runde cellekerner. Disse rhabdoide celler ligger i forbindelse med eller omringet af områder med tumorvæv bestående af primitive neuroektodermale celler [1, 2]. Immunhistokemiske undersøgelser af f.eks. glatmuskelaktin kan yderligere støtte diagnosen. Herudover kan der ofte påvises monosomi eller deletion af kromosom 22 [1, 2].

Symptomerne ved AT/RT afhænger af tumorens beliggenhed. Symptomerne forværres oftest meget hurtigt. Det er ikke på klinikken muligt at adskille AT/RT fra andre maligne hjernetumorer [1, 2, 4]. Billeddiagnostiske undersøgelser kan heller ikke differentiere mellem AT/RT og andre hjernetumorer. Tumor er oftest stor, invasiv og med nekrotiske områder [1, 2].

Nogle data tyder på at patienter, der bliver radikalt opereret, overlever længere end de, der bliver ikkeradikalt opereret [1, 2, 5]. Da patienterne oftest er meget unge, er kemoterapi den foretrukne postoperative adjuverende behandling [1, 2]. Intensive regimener inkluderende intravenøs kemoterapi, intrathekal kemoterapi og strålebehandling har øget overlevelsestiden [1]. Strålebehandling synes at øge overlevelsestiden, men resultaterne er ofte skævvredne, da strålebehandling oftere bruges til de lidt ældre patienter[1, 3, 5].

Gennemsnitsoverlevelsen varierer i forskellige undersøgelser fra mindre end 12 måneder til 17 måneder, selv ved intensiv behandling. Der findes dog patienter, som har overlevet i op til otte år [1, 4, 5]. Det er karakteristisk for patienter med længerevarende overlevelse, at langt de fleste er behandlet intensivt med radikal kirurgi, intensiv kemoterapi ofte inkluderende intrathecal kemoterapi og autolog stamcelletransplantation, samt hos mere end halvdelen også stråleterapi.

Trods de dystre udsigter er det vigtigt at stille den korrekte diagnose for at kunne tage stilling til valg af behandling. Hvis vores patient skulle have været behandlet med kurativt sigte, ville det have drejet sig om kombinationsbehandling med strålebehandling og kemoterapi. Denne behandling ville medføre mange og svære bivirkninger. Da prognosen selv ved intensiv behandling er ringe, og da overlevelse sandsynligvis ville være med udtalt hjerneskade, valgte man i dette tilfælde at afstå fra et kurativt behandlingsforsøg.

Genetiske undersøgelser har siden vist mutation på det ene allel i tumorvævet. Der blev ikke fundet mutation hos forældrene.


Mette Møller Handrup , Børneafdelingen, Randers Sygehus, DK-8900 Randers.

E-mail: mette.handrup@gmail.com

Antaget: 6. oktober 2007

Interessekonflikter: Ingen


Taksigelser: Overlæge Leif Christensen , Neurokirurgisk Afdeling, Århus Sygehus, takkes for kommentarer vedrørende det aktuelle sygdomsforløb. Overlæge Edith Nielsen , Neuroradiologisk Afdeling, Århus Sygehus, takkes for udlån af bil ledmateriale.



Sidebar placering
Venstrestillet
Article type
Journal
Magazine
Section
References

<ol class="Litt-list">
<li>Reddy AT. AT/RTs of the central nervous system. J Neuro-Onc 2005;75:309-13.</li>
<li>Packer RJ, Biegel JA, Blaney Set al. AT/RT of the central nervous system: report on workshop. J Paediat Hematol/oncol 2002;24:337-42.</li>
<li>Squire SE, Chan MD, Marcus KJ. AT/RT: the controversy behind radiation therapy. J Neurooncol 2007;81:97-111.</li>
<li>Chen ML, McComb JG, Krieger MD et al. AT/RTs of the central nervous system: management and outcomes Neurosurg Focus 2005;18:E8.</li>
<li>Hilden JM, Meerbaum S, Burger P et al. Central nervous system AT/RT: results of therapy in children enrolled in a registry. J Clin Oncol 2004;22:2877-84.</li>
</ol>

Woodwing Id
266027
Fil
English summary

Summary Rare brain tumour in 6-month old Ugeskr L&aelig;ger 2009;171(6):437 A six-month old girl presented with repetitive episodes of vomiting. Soon after admission to hospital she had convulsions. Computertomography showed a tumour in the third ventricle. She was non-radically operated. Histology showed an atypical teratoid/rhabdoid tumour (AT/RT). No active treatment was initiated, and the patient died three months later. AT/RT is a very rare tumor of the brain. It occurs primarily in early childhood. AT/RT is a very aggressive and rapidly progressing tumour.

Bib ref
Ugeskr Læger 2009;171(6):437
Authors

Reservelæge Mette Møller Handrup & overlæge Henrik Schrøder Randers Sygehus, Børneafdelingen, og Århus Universitetshospital, Skejby, Børneafdelingen

0 likes
Read time
5