Medlem i

13 years 1 month
Indholdselementer
Billede
Sidebar placering
Venstrestillet


Shaken baby syndrome (SBS) blev beskrevet allerede i 1946 af radiologen Caffey (1), men er fortsat en vanskelig diagnose at stille. Dette skyldes bl.a., at SBS, dvs. ruskevold, hyppigt involverer børn under seks måneder, samt at tilstanden ofte mangler ydre tegn på vold og kan være svær at skelne fra eksempelvis meningitis (2). Børn, der bliver udsat for SBS, har en dårlig prognose, idet en tredjedel dør i det akutte stadium af forhøjet intrakranielt tryk. En tredjedel overlever med svære handicap og af den sidste tredjedel udvikler en del neuropsykologiske defekter (3, 4).

Sygehistorier

I. En mor ankom til skadestuen med et elleve uger gammelt barn, der angiveligt havde været kortvarigt bevidstløs, efter at faderen, som var alene hjemme med barnet, havde forsøgt at trøste det, da det var grædende. Barnet var nr. to af to søskende, og graviditeten var forløbet normalt med fødsel i uge 42. Moderen beskrev barnet som meget uroligt og krævende samt med en tendens til blå mærker.

Objektivt fandtes et blegt og slapt barn med spændte fontaneller, men intet solnedgangsblik.

Endvidere havde det et hæmatom over næseryggen strækkende sig ned mod højre øje. Den objektive undersøgelse viste i øvrigt normale forhold.

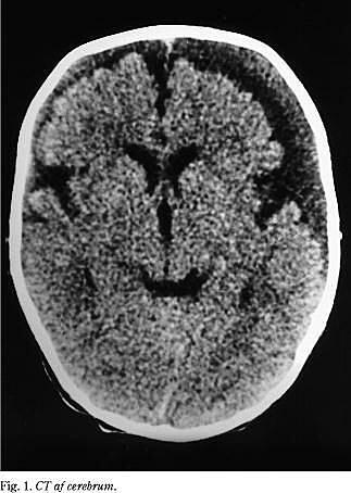
Barnet blev indlagt til videre udredning, og en CT af cerebrum viste bilateral frontoparietale ansamlinger i form af hygrom, kombineret med subdural blødning, samt diskrete tegn på pågående blødning (Fig. 1 ). Øjenundersøgelse samt helkropsrøntgen viste retinale blødninger samt proksimal radius fraktur med udtalt callusdannelse.

På indlæggelsesdagen blev barnet overflyttet til neurokirurgisk afdeling med henblik på akut evacuatio. Under operationen udtømtes både brun væske forenelig med hygrom, men også friskt blod. Herefter skete der en væsentlig bedring i tilstanden, og barnet er således et år efter fundet alderssvarende udviklet.

Faderen tilkendegav knapt et halvt år senere, at han to gange havde rystet sin søn kraftigt, hvilket stemte overens med operationsfundet, der viste både akutte og kroniske forandringer. Faderen har fået en dom på et års fængsel, men har anket og bor således fortsat hos ægtefælle og begge børn.

II. Barnet var nr. 2 af to søskende, det blev født vaginalt seks uger før terminen og efterfølgende indlagt på børneafdelingen til observation for abstinenser, idet moderen havde et kendt hash/heroinmisbrug. Efter udskrivelsen blev moderen tilrådet tæt kontakt til sundhedsplejersken, sagsbehandleren samt egen læge. Under hjemmebesøg havde sundhedsplejersken observeret blå mærker, men lod ikke oplysningen gå videre til socialforvaltningen. Moderen havde desuden undladt at tage kontakt til sin egen læge førend barnets tre måneders rutinemæssige vaccination, hvor moderen berettede, at barnet det sidste døgn var blevet mere stille, havde spist mindre og haft feber og rysteture. Egen læge indlagde herefter barnet akut på mistanke om meningitis. Objektivt fandtes et sløvt barn med solnedgangsblik samt spændte fontaneller. Barnet var desuden subfebrilt, og blodtrykket var lavt med en tilsvarende hurtig puls og respiration. Pupillerne var normalt lysreagerende, men man konstaterede, at der var øget tonus i overekstremiteterne samt et hæmatom under højre ribbenskurvatur og over højre hoftekam.

Der blev foretaget lumbalpunktur med gentagne fund af blodig væske, og en CT af cerebrum viste væskeansamling samt ødem. Herefter blev der påbegyndt meningitisbehandling med Rocephalin (ceftriaxon) og Geavir (aciclovir), og barnet blev overflyttet til neurokirurgisk afdeling, hvor der primært blev foretaget fontanellapunktur med udtømmelse af 17 ml hygromvæske.

Barnet blev intuberet og lagt i respirator med henblik på hyperventilation. En efterfølgende CT viste både hygromer samt nytilkomne blødninger, og der blev foretaget repunktur på grund af intrakranial trykstigning.

Der blev efterfølgende suppleret med øjenundersøgelse og helkropsrøntgen, hvorved udtalte subretinale blødninger og adskillige friske samt ophelede brud på ribben, underarms- samt underbensknogler blev diagnosticeret. Barnet er i dag svært psykomotorisk retarderet og har spasticitet, infantile spasmer og svær synsnedsættelse. Det er anbragt på døgninstitution og får sjældent besøg af moderen. Faderen afsoner tre et halvt års fængsel, men har ikke på noget tidspunkt vedkendt sig skylden.

Diskussion

Ovenstående sygehistorier er karakteristiske for SBS, men lidelsen fejldiagnosticeres desværre hyppigt. Dette skyldes formentlig, at de lettere former for børnemishandling relativt let overses, men til dels også at sundhedspersonale primært vil søge efter en somatisk årsag som grund til de kliniske symptomer, frem for den lidet flatterende at forældre eller andre primære omsorgsgivere har påført et barn dets lidelser eller eventuelle død.

SBS består i sin klassiske form af subduralt hæmatom, hjerneødem, retinablødning samt ribbens- eller lednære brud (5, 6). Skadevolderen tager ofte omkring barnets brystkasse (heraf costa-frakturerne) og ryster barnet frem og tilbage. Herved rystes barnets hoved kraftigt og udsættes evt. for stump vold, da halsmuskulaturen endnu ikke er fuldt udviklet og derfor ikke kan stabilisere kraniets bevægelser (1, 2). Når hjernen således bevæges i hjernekassen, kan brovenerne, som løber fra hjernens overflade til sinus sagittalis, blive overrevet med subdural blødning til følge. Herved får barnet ødem, og det intrakraniale tryk stiger, hvilket blandt andet medfører retinablødninger, respirationsproblemer, kramper og evt. coma (7).

Der findes ingen endelige diagnostiske kriterier for at stille diagnosen SBS, men det har vist sig ved flere undersøgelser at indlæggende læge havde en udefinerlig fornemmelse af »at noget var galt« (1). Således kan et vigtigt faretegn være en insufficient anamnese, hvor det beskrevne traume ikke stemmer overens med de objektive fund. Ofte vil skadevolderen oplyse om et mindre traume, såsom at barnet faldt ud af sengen/ned fra puslebordet, eller at søskende har slået barnet, men direkte adspurgt benægter de fleste et forudgående traume. Det er ligeledes vigtigt at kontrollere, om barnet tidligere har haft gentagne, måske uforklarlige, skadestilfælde (8).

Ved mistanke om SBS bør følgende undersøgelser iværksættes:

  • Helkropsrøntgen, som i typiske tilfælde vil vise friske samt ophelede frakturer (callusdannelse).

  • Farvefotos af eventuelle hud- eller bløddelslæsioner bør optages så hurtigt som muligt, idet de har stor retslig værdi.

  • Oftalmoskopi ved øjenlæge og om muligt fundusfoto.

  • CT og sekundært MR-scanning af cerebrum.

  • Ved tvivlstilfælde bør barnet indlægges på pædiatrisk afdeling til nærmere udredning.

Indberetning

Ifølge loven om social service § 36 (almindelig underretningspligt) skal den, der får kendskab til, at et barn eller en ung under atten år fra forældres elle r andre opdrageres side udsættes for vanrøgt eller nedværdigende behandling eller lever under forhold, der bringer dets sundhed eller udvikling i fare, underrette kommunen (socialforvaltningen).

Endvidere har offentligt ansatte ifølge § 35 en »skærpet underretningspligt« til kommunen (socialforvaltningen), hvis de under udøvelsen af tjeneste eller hverv får kendskab til forhold, der giver formodning om, at et barn eller en ung under atten år har behov for særlig støtte (9).

Den, der foretager underretning, bliver ikke part i sagen og kan ikke klage over de skridt, som kommunen vælger at foretage. Underretningspligten omfatter ubetinget enhver - lægers tavshedspligt fritager ikke for anmeldelsespligten.

Specielt bør alment praktiserende læger, samt læger i skadestuer være opmærksomme på tegn på mishandling og i uklare tilfælde lade tvivlen komme barnet til gode.


Christin Graff , Middelfartvej 240, DK-5200 Odense V.
E-mail: Cgraff@health.sdu.dk

Antaget den 1. november 2002.

Kolding Sygehus, pædiatrisk afdeling.

Tak til læge Inger Fog, røntgendiganostisk afdeling, Fredericia Sygehus, for udvælgelse af billedmateriale samt radiologisk tekst.

Ovenstående kasuistik hviler på en større litteraturgennemgang end litteraturlistens ni numre. Oplysning om denne baggrundslitteratur kan fås fra forfatteren.



Sidebar placering
Venstrestillet
Article type
Journal
Magazine
Section
References

<ol class="Litt-list">
<li>Mason JK. Paediatric forensic medicine and pathology. London: Chapman and Hall, 1989: kap. 14, 18 og 22: 204-467.</li>
<li>Leth PM. Shaken baby syndrome. Ugeskr Læger 1999; 161: 6469-71.</li>
<li>Bruce DA, Zimmerman RA. Shaken impact syndrome. Pediatr Ann 1989; 18: 482-94.</li>
<li>Bonnier C, Nassogne MC, Evrard P. Outcome and prognosis of whiplash shaken infant syndrome; late consequences after a symptomfree interval. Dev Med Child Neurol 1995; 37: 943-56.</li>
<li>Simonsen J. Retsmedicin og medicinal lovgivning. FADL's Forlag 1999: 111-3.</li>
<li>Caffey J. On the theory and practice of shaking infants. Am J Dis Child 1972; 124:161-9.</li>
<li>Lund AM, Sandgren G, Knudsen FU. Shaken baby syndrome - ruskede børn. Ugeskr Læger 1998; 160: 6632-7.</li>
<li>Kivlin JD. A 12-year ophthalmologic experience with the shaken baby syndrome at a regional children's hospital. Trans Am Ophthalmol Soc 1999; 97: 545-81.</li>
<li>Bekendtgørelse af lov om social service. LBK nr. 844 af 24/09/01.</li>
</ol>

Woodwing Id
267687
English summary

Summary Shaken baby syndrome. Ugeskr L&aelig;ger 2002; 164: 5662-3. We describe two cases of shaken baby syndrome. Both children were about three months of age. It is important to recognise the characteristic features of this form of child abuse in order to prevent further damage and to ensure removal of the children from the abusive environment.

Bib ref
Ugeskr Læger 2002;164(48): 5662-3.
Authors

Christin R. Graff Isaksen & Elisabeth Buus Lund

0 likes
Read time
7