Medlem i

13 years 1 month
Indholdselementer
Billede
Sidebar placering
Venstrestillet
Billede
Sidebar placering
Venstrestillet
Billede
Sidebar placering
Venstrestillet
Billede
Sidebar placering
Venstrestillet


Den hyperplastiske kolorektale polyp betragtes generelt som et betydningsløst fund. Nyere forskning har imidlertid henledt opmærksomheden på eksistensen af varianter af hyperplastisk polyp, der har et malignt potentiale. Nogle opererer med betegnelsen advanced serrat polyp, der omfatter blandet hyperplastisk/adenomatøs polyp, serrat adenom og sessil serrat polyp til forskel fra den traditionelle hyperplastiske polyp (THP). Dysplastisk epitel er per definition en komponent i blandet hyperplastisk/adenomatøs polyp og serrat adenom. Den kliniske implikation følger derfor retningslinjer for det konventionelle adenom. Den sessile serrate polyp er uden dysplasi og har cytologisk mere lighed med THP, hvorimod opbygningen er mere lig det serrate adenoms. Af denne grund er den optimale håndtering af patienter med sessile serrate polypper vanskelig at definere, men såfremt polypperne er store og højresidige, bør kontrol af patienter overvejes. De små THP'er, der ofte er venstresidige, skal derimod generelt ikke give anledning til kontrol eller yderligere udredning; men konsekvensen af et sådant fund vil være afhængigt af den kolorektale morfologi i øvrigt. Afdækning af histologiske detaljer, der har klinisk signifikans og kan inkorporeres i den daglige rutinediagnostik af serrate kolorektale polypper, vil kræve omfattende undersøgelser, inklusive interobservatørstudier.

Metode

Litteraturen er udvalgt på baggrund af søgning i PubMed med følgende søgeord: hyperplastic colorectal polyp, serrated polyp, serrated adenoma, sessile serrated polyp/adenoma, og artiklernes referencelister er manuelt gennemgået.

Introduktion

Epitelial hyperplasi er den hyppigste årsag til polypdannelse i colon og rectum. Den hyperplastiske polyp (HP), beskrevet i 1926 [1], udvikles i langt de fleste tilfælde i rectum og sigmoideum; ifølge større serier drejer det sig om ca. 90% af alle HP [2]. Prævalensen stiger med alderen og er ca. 30% hos asymptomatiske personer > 50 år. HP betragtes generelt som et betydningsløst fund uden neoplastisk potentiale. Specielt i de senere år er patologer imidlertid blevet opmærksom på eksistensen af flere varianter af HP, både morfologisk og molekylærbiologisk. Det mulige neoplastiske potentiale af nogle af disse varianter [3-5] og den hermed mulige eksistens af et biologisk kontinuum, der omfatter både hyperplasi og adenomatøst væv [4] kan opfattes som et paradigmeskift, der naturligt har øget interessen for disse polypper. Der foreligger en række observationer, der understøtter dette. Der er således i områder af HP påvist dysplastiske foci [4] samt ekspression af CEA [6, 7] og i nogle tilfælde genetisk instabilitet og genetiske mutationer [8-10]. Specielt relationen til det sporadiske, mikrosatellit-instabile kolorektale karcinom er diskuteret [11-13]. Således har fokus været rettet mod den såkaldte serrate pathway [8, 9], der indikerer morfologisk progression fra visse typer af HP til det sporadiske mikrosatellit-instabile kolorektale karcinom via den sessile serrate polyp [14, 15] og det serrate adenom [2, 9, 15-18]. Forskelle, både morfologisk, genetisk og biologisk, mellem denne pathway og den veletablerede adenom-karcinom-sekvens har været fremhævet. Det er tillige bemærkelsesværdigt, at de såkaldte aberrante kryptfoci, der antages at repræsentere den tidligste præneoplastiske forandring i den kolorektale mucosa, i nogle tilfælde er beklædt med et hyperplastisk epitel [19]. Molekylærbiologisk er disse polypper ofte karakteriseret ved mutation af protoonkogenerne BRAF eller K-ras der begge er fundet at være associeret med reduceret apoptose, hvilket sandsynligvis er et nøglefund i udviklingen af den serrate morfologi.

Der er således grund til at betragte de patogenetiske forhold og nøje gennemgå morfologien af kolorektale polypper, der hidtil samlet er grupperet under diagnosen HP i bestræbelse på at afdække mønstre, der indikerer præneoplasi. I det følgende gennemgås det histologiske billede af den traditionelle HP (THP) med fokus på dennes undertyper tillige med andre serrate kolorektale polypper, tidligere rubriceret som HP, der histologisk set i varierende grad bærer træk af både HP og adenom og således indtager en intermediær position i dette spektrum af serrate polypper (Tabel 1 ).

Den traditionelle hyperplastiske polyp og dens varianter

THP er oftest 5 mm i diameter og fremtræder makroskopisk som en hvidlig, glat, dugdråbelignende nodulus. Det histologiske nøglefund er den serrate/savtakkede profil af superficielle dele af krypterne. Tillige ses såkaldt tufting af overfladeepitel, hvilket kan tolkes som en superficiel manifestation af »serration« [16]. De mest profunde dele af krypterne udviser derimod kun beskeden eller ingen »serration« i modsætning til, hvad der ses ved de advanced serrate polypper (se nedenfor).

I et nyligt publiceret arbejde om HP har Torlakovic et al [14] subklassificeret disse små HP'er, der oftest er venstresidige, i tre undertyper (vesicular, gobletcell-rich og mucin-depleted ) på basis af mikroskopiske karakteristika af det cytoplasmatiske slim i kombination med molekylærbiologiske fund.

Den vesikulære (vesicular ) variant er antagelig den hyppigste blandt venstresidige HP'er, men også den lettest genkendelige og modsvarer således prototypen på HP [14]. Det histologiske billede præges af en reduktion i antallet af bægerepitelceller i forhold til den normale colons mucosa. I epitelets cytoplasma ses multiple små slimdråber (Figur 1 ).

Den vesikulære type af THP er fundet beslægtet med den sessile serrate polyp (se nedenfor), idet histologiske overgange imellem disse typer af serrate polypper forekommer. Desuden udviser begge polyptyper undertiden BRAF-mutation og DNA-abnormiteter [9, 15], et fund, der primært er gældende for de højresidige polyp per [20].

Som navnet angiver, præges den bægerepitelcellerige (gobletcell-rich ) HP af en øget forekomst af bægerepitelceller i overfladen og i de ofte forlængede krypter. Den savtakkede profil er derimod mindre fremtrædende. K-ras-mutation forekommer ofte, hvorimod DNA-metylering er usædvanlig [15]. Denne HP-variant er generelt mindre end den vesikulære type og er den mest underdiagnosticerede af de tre THP-typer.

I sjældne tilfælde opbygges HP af slimfattige celler (mucin-depleted ) med tab af slim og bægerepitelceller. Denne variant synes at være begrænset til venstre side af colon og rectum [14]. Denne sjældne variant er endnu ikke karakteriseret molekylærbiologisk.

Advanced serrated polyp

Under samlebetegnelsen advanced serrated polyp (ASP) [21], omtales følgende tre typer af kolorektale polypper med serrat struktur: serrat adenom (SA), blandet polyp (BP) og den nyligt beskrevne sessile serrate polyp (SSP). Sidstnævnte betegnes af nogle som en serrat polyp (SP) med abnorm proliferation [15] eller sessil serrat adenom. Disse polypper blev tidligere undertiden klassificeret som HP [2]. Ud over histologiske detaljer, der omtales nedenfor, afviger ASP fra THP mht. lokalisation, der oftere er højresidig, og mht. størrelsen, der oftere er > 5 mm.

BP, som det er blevet fremhævet af Longacre & Fenoglio [2], omfatter separate zoner af hyperplastisk væv (THP eller SSP) [18] og adenomatøst væv (konventionelt eller SA) og er muligvis i nogle tilfælde et kollisionsfænomen. I betragtning af den høje prævalens af både THP og konventionelt adenom er dette ikke uventet. Hertil kommer, at incidensen af adenomer er øget ved forekomst af HP [22]. Alternativt er den ene komponent udviklet i eller induceret af den anden komponent. Der kan således dels foreligge en adenomatøs udvikling i HP, der således må opfattes som præneoplastisk, dels en situation hvor prolifererende adenomatøst væv påvirker omgivende mucosa, der reagerer med hyperplastisk vækst.

Eksistensen af BP blev belyst allerede i 1980 [23] i et retrospektivt studie omfattende 171 polypper, initialt klassificeret som HP. 13% af disse havde tillige en adenomatøs komponent, et fund, der dog ikke blev tillagt speciel signifikans. Lignende morfologiske iagttagelser er beskrevet i flere arbejder [5, 6, 24, 25]. Ifølge nye studier er de fleste BP imidlertid opbygget af SSP med overgang i adenom, konventionelt eller serrat [26].

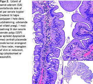
Betegnelsen serrat adenom (SA) blev introduceret i 1990 [2] af Longacre & Fenoglio , der fremhævede, at den neoplastiske mucosa kan have en serrat profil, en observation, der dog allerede var antydet få år tidligere [25]. Denne konfiguration præger således både THP og SA, men er oftest yderligere accentueret og kompleks ved SA med involvering af dybe dele af krypterne, der tillige kan være dilaterede, forgrenede og horisontalt orienterede. Til forskel fra THP ses neoplastisk kernemorfologi, og epitelets cytoplasma kan fremtræde mere eosinofilt (Figur 2 ). Fravær af endokrine celler hører med til billedet. Nogle forfattere fremhæver en inkomplet mucinøs uddifferentiering [16], andre rapporterer derimod om høj slimproduktion [27]. Det morfologiske spektrum er bredt, varierende fra polypper, der er klart neoplastiske, til polypper, der er vanskelige at differentiere fra THP [14]. Selv morfologisk lighed med normal tyndtarmsslimhinde har været omtalt [4]. Grænsen dels over for det konventionelle adenom, især det tubulovilløse adenom, dels, i tilfælde af beskeden dysplasi, over for THP, kan således være vanskelig at definere. Der har endog været sat spørgsmål ved det betimelige i at differentiere mellem neoplastisk og nonneoplastisk serrat polyp [28]. Diagnosen SA accepteres af nogle grupper, såfremt mindst 20% af det undersøgte polypområde udviser ovennævnte morfologi [16], mens andre har sat grænsen ved 50% [29]. Af disse grunde varierer den rapporterede forekomst af SA. Blandt kolorektale adenomer angives SA at udgøre fra 1,3 til 6% [29, 30]. Der foreligger flere molekylærbiologiske studier af SA [9, 15, 17]. Mutation af protooncogenet BRAF samt DNA-hypermetylering, medførende mikrosatellit-instabilitet, ses ofte. Mutation af protoonkogenet K-ras er rapporteret at forekomme med vekslende incidens [15, 17]. I modsætning til forholdene ved konventionelt adenom er APC og beta-catenin-mutationer derimod usædvanlige [31].

Senest er SSP afgrænset fra THP [14]. En række morfologiske fund karakteriserer denne polyp, bl.a. accentueret savtakket profil af krypter med involvering af de dybe dele af disse (Figur 3 ), øget epitel/stromaratio og høj slimproduktion. Rent histologisk er denne polyp nærmere beslægtet med THP end med SA, og det er fortsat uafklaret, om SSP er fundamentalt forskellig fra HP [32]. Det kan derfor ikke undre, at denne polyp længe blev grupperet med HP. Polyppen placeres undertiden i en gråzone mellem THP og SA [14] som udtryk for vanskeligheder med at placere læsionen i en patogenetisk sammenhæng. Molekylærbiologisk ses ofte BRAF-mutation [15] og DNA-metylering [14].

I et nyligt publiceret studie baseret på 1.436 kolorektale polypper opfyldte 2% kriterierne for SSP [33]. Polyppen udgjorde en større del af højresidige end venstresidige polypper og er den polyptype, der synes at være mest tilbøjelig til at udvikles i højre side af colon [32]. Dette forhold er med til at underbygge hypotesen om den serrate pathway , der indebærer, at mikrosatellit-instabil kolorektal cancer udvikles primært via specielt SSP [11, 14, 18, 33].

Hyperplastisk polyp som led i polyposetilstande

HP indgår i flere polyposetilstande, hvilket underbygges af genetiske studier. Velkendt er forekomsten af multiple små THP'er i rectum og sigmoideum, ikke sjældent koncentreret omkring et karcinom. Molekylærbiologisk udviser disse polypper undertiden K-ras-mutation [34].

Hyperplastik polypose, karakteriseret ved multiple HP i pankolisk lokalisation og/eller store, højresidige HP'er, blev beskrevet i 1980 [35]. I flere undersøgelser har man påvist en familiær ophobning af denne tilstand, der øger risikoen for kolorektal cancerudvikling. De fleste patienter med hyperplastisk polypose, der får karcinom, har polypper opbygget af både hyperplastisk og adenomatøst væv. Ud over THP ses således ofte tillige adenomer, der kan være konventionelle, nonserrate eller serrate [36], specielt synes SSP at være en hyppig komponent.

Hyperplastisk polyp og hereditær nonpolypose kolorektal cancer

Resultaterne af nyere undersøgelser har underbygget den hypotese, at HP kan være forstadie til det sporadiske kolorektale karcinom, der udviser mikrosatellit-instabilitet. Det er derfor naturligt tillige at undersøge for en eventuel association mellem HP og heriditær nonpolypose kolorektal cancer (HNPCC) [3], hvor kolorektalt karcinom ofte udviser mikrosatellit-instabilitet og manglende ekspression af mismatch repair (MMR)-proteiner. Iino et al [37] påviste mikrosatellit-instabilitet i to ud af 17 HP'er fra HNPCC-patienter, og Jass et al [38] påviste kontinuitet mellem HP, adenom og karcinom hos en HNPCC-patient. Et større systematisk studie har imidlertid ikke kunnet bekræfte en sådan sammenhæng [39]. Således udviste samtlige 90 HP'er fr a 40 HNPCC-suspekte personer normal ekspression af MMR-proteiner ved immunhistokemisk analyse [39].

Klinisk konsekvens

Mens størstedelen af HP'erne stadig må opfattes som klinisk betydningsløse, bør patienter med multiple THP'er kontrolleres med koloskopi. Der foreligger imidlertid ikke præcise retningslinjer for kontrolhyppigheden. Ligeledes kan fundet af selv enkelte THP, specielt af vesikulær type lokaliseret i højre side af colon, hos patienter, der tillige har ASP, være betydningsfuldt. I overensstemmelse hermed synes både histologiske karakteristika og lokalisation at korrelere med mønstret af genetiske abnormiteter [20]. Den eksisterende viden muliggør imidlertid ikke udfærdigelse af rekommandationer for håndtering af sådanne patienter, men patienter med BP og SA, der definitionsmæssigt er dysplastiske, bør følges. Disse patienter tilbydes generelt et kontrolprogram, der svarer til principperne for konventionelle adenomer. Nye undersøgelser tyder imidlertid på, at vækstraten for SA er højere end for det konventionelle adenom [40]. Størst usikkerhed hersker der vedrørende SSP. Den anbefalede patologirapportering og kliniske implikationer af solitær SSP er divergerende. Torlakovic et al [14] anvender diagnosen i rutinediagnostikken og tilråder kontrol, men betoner samtidig, at sikker diagnose kræver optimal orientering af vævet. Er dette ikke tilfældet, kan den pragmatiske patologi rapportering blive »SP«, suppleret med en bemærkning om at polyppens størrelse vil have indflydelse på den anbefalede håndtering af patienten. Torlakovic et al [14] satte denne grænse ved 10 mm. Andre undgår brugen af diagnosen SSP i den daglige rutine, men vil dog gøre opmærksom på det maligne potentiale af højresidige polypper med ovennævnte morfologi [33]. Muligheden for kontrolendoskopi eller endog kirurgisk resektion efter inkomplet endoskopisk excision af et højresidigt SSP har været overvejet. Venstresidige SSP'er er vanligvis små, og malign udvikling er ifølge den eksisterende litteratur exceptionel.

Konklusion

I lighed med så mange andre områder inden for diagnostisk patologi, møder vi også inden for den histologiske klassifikation af kolorektale polypper nye udfordringer. Således har nyere studier vist, at en lille del af de polypper, der tidligere blev rubriceret under diagnosen HP udviser afvigende morfologiske træk, der kombineret med molekylærbiologiske og cellekinetiske observationer har skabt grundlag for betegnelsen ASP, der omfatter BP, SA og senest SSP. Den kliniske signifikans af sådanne polypper, der ifølge flere studier oftere er store og proksimalt lokaliserede, er ikke sikkert kendt, men kontrol bør overvejes også ved fravær af en oplagt dysplastisk komponent, idet relationen til kolorektalt karcinom, specielt det sporadiske mikrosatellit-instabile, synes at være etableret. Denne association synes at være mest overbevisende for SSP, men i vurderingen af risiko for progression til karcinom skal der ud over den morfologiske fænotype tillige indgå registrering af antallet af polypper, størrelse og lokalisation. I hvilket omfang histologiske detaljer af SP'er kan registreres i den daglige diagnostik, og hvilken relevans det evt. ville have, er uafklaret. Belysning af sådanne spørgsmål vil kræve omfattende undersøgelser, inklusive interobservatørstudier.


Susanne Holck , Afsnit 134, Patologiafdelingen, H:S Hvidovre Hospital, DK-2650 Hvidovre. E-mail: Susanne.Holck@hh.hosp.dk

Antaget: 24. februar 2006

Interessekonflikter: Ingen angivet


  1. Schmieden V, Westhaus H. Zur Klinik und Pathologie der Dickdarmpolypen und deren klinischen und pathologisch-anatomischen Beziehungen zum Dickdarm-Karzinom. Dtsch Z Chir 1926;202:1-125.
  2. Longacre TA, Fenoglio-Preiser CF. Mixed hyperplastic adenomatous polyps/serrated adenomas. Am J Surg Pathol 1990;14:524-37.
  3. Fenoglio-Preiser C. When is a hyperplastic polyp not a hyperplastic polyp? Am J Surg Pathol 1999;23:1001-3.
  4. Jass JR. Serrated adenoma of the colorectum. Current diagnostic Pathol 2002;8:42-49.
  5. Teoh HH, Delahunt B, Isbister WH. Dysplastic and malignant areas in hyperplastic polyps of the large intestine. Pathology 1989;21:138-42.
  6. Gebbers J-O, Laissue JA. Mixed hyperplastic and neoplastic polyp of the colon. Virchows Archiv A 1986;410:189-94.
  7. Jass JR, Filipe MI, Abbas S et al. A morphologic and histochemical study of metaplastic polyps of the colorectum. Cancer 1984;53:510-5.
  8. Hawkins NJ, Bariol C, Ward RL. The serrated neoplasia pathway. Pathology 2002;34:548-55.
  9. Iino H, Jass JR, Simms LA. DNA microsatellite instability in hyperplastic polyps, serrated adenomas, and mixed polyps: a mild mutator pathway for colorectal cancer? J Clin Pathol 1999;52:5-9.
  10. Otori K, Oda Y, Sugiyama K et al. High frequency of K-ras mutations in human colorectal hyperplastic polyps. Gut 1997;40:660-3.
  11. Goldstein NS, Bhanot P, Odish E et al. Hyperplastic-like colon polyps that preceded microsatellite-unstable adenocarcinomas. Am J Clin Pathol 2003;119:1-19.
  12. Hawkins NJ, Ward RL. Sporadic colorectal cancers with microsatellite instability and their possible origin in hyperplastic polyps and serrated adenomas. J Natl Cancer Inst 2001;93:1307-13.
  13. Jass JR, Young J, Leggett BA. Hyperplastic polyps and DNA microsatellite unstable cancers of the colorectum. Histopathology 2000;37:295-301.
  14. Torlakovic E, Skovlund E, Snover DC, et al. Morphologic reappraisal of serrated colorectal polyps. Am J Surg Pathol 2003;27:65-81.
  15. Yang S, Farraye FA, Mack C et al. BRAF and KRAS mutations in hyperplastic polyps and serrated adenomas of the colorectum: relationship to histology and CpG island methylation status. Am J Surg Pathol 2004;28:1452-9.
  16. Bariol C, Hawkins NJ, Turner JJ et al. Histopathological and clinical evaluation of serrated ad
Sidebar placering
Venstrestillet
Article type
Journal
Magazine
Section
References

<ol class="Litt-list">
<li>Schmieden V, Westhaus H. Zur Klinik und Pathologie der Dickdarmpolypen und deren klinischen und pathologisch-anatomischen Beziehungen zum Dickdarm-Karzinom. Dtsch Z Chir 1926;202:1-125.</li>
<li>Longacre TA, Fenoglio-Preiser CF. Mixed hyperplastic adenomatous polyps/serrated adenomas. Am J Surg Pathol 1990;14:524-37.</li>
<li>Fenoglio-Preiser C. When is a hyperplastic polyp not a hyperplastic polyp? Am J Surg Pathol 1999;23:1001-3.</li>
<li>Jass JR. Serrated adenoma of the colorectum. Current diagnostic Pathol 2002;8:42-49.</li>
<li>Teoh HH, Delahunt B, Isbister WH. Dysplastic and malignant areas in hyperplastic polyps of the large intestine. Pathology 1989;21:138-42.</li>
<li>Gebbers J-O, Laissue JA. Mixed hyperplastic and neoplastic polyp of the colon. Virchows Archiv A 1986;410:189-94.</li>
<li>Jass JR, Filipe MI, Abbas S et al. A morphologic and histochemical study of metaplastic polyps of the colorectum. Cancer 1984;53:510-5.</li>
<li>Hawkins NJ, Bariol C, Ward RL. The serrated neoplasia pathway. Pathology 2002;34:548-55.</li>
<li>Iino H, Jass JR, Simms LA. DNA microsatellite instability in hyperplastic polyps, serrated adenomas, and mixed polyps: a mild mutator pathway for colorectal cancer? J Clin Pathol 1999;52:5-9.</li>
<li>Otori K, Oda Y, Sugiyama K et al. High frequency of K-ras mutations in human colorectal hyperplastic polyps. Gut 1997;40:660-3.</li>
<li>Goldstein NS, Bhanot P, Odish E et al. Hyperplastic-like colon polyps that preceded microsatellite-unstable adenocarcinomas. Am J Clin Pathol 2003;119:1-19.</li>
<li>Hawkins NJ, Ward RL. Sporadic colorectal cancers with microsatellite instability and their possible origin in hyperplastic polyps and serrated adenomas. J Natl Cancer Inst 2001;93:1307-13.</li>
<li>Jass JR, Young J, Leggett BA. Hyperplastic polyps and DNA microsatellite unstable cancers of the colorectum. Histopathology 2000;37:295-301.</li>
<li>Torlakovic E, Skovlund E, Snover DC, et al. Morphologic reappraisal of serrated colorectal polyps. Am J Surg Pathol 2003;27:65-81.</li>
<li>Yang S, Farraye FA, Mack C et al. BRAF and KRAS mutations in hyperplastic polyps and serrated adenomas of the colorectum: relationship to histology and CpG island methylation status. Am J Surg Pathol 2004;28:1452-9.</li>
<li>Bariol C, Hawkins NJ, Turner JJ et al. Histopathological and clinical evaluation of serrated adenomas of the colon and rectum. Mod Pathol 2003; 16:417-23.</li>
<li>Chan TL, Zhao W, Leung SY et al. BRAF and K-ras mutations in colorectal hyperplastic polyps and serrated adenomas. Cancer Res 2003;63:4878-81.</li>
<li>Oh K, Redston M, Odze RD. Support for hMLH1 and MGMT silencing as a mechanism of tumorigenesis in the hyperplastic-adenoma-carcinoma (serrated) carcinogenic pathway in the colon. Hum Pathol 2005;36:101-11.</li>
<li>Di Gregorio C, Losi L, Fante R et al. Histology of aberrant crypt foci in the human colon. Histopathol 1997;30:328-34.</li>
<li>O'Brien MJ, Yang S, Clebanoff JL et al. Hyperplastic (serrated) polyps of the colorectum: relationship of CpG island methylator phenotype and K-ras mutation to location and histologic subtype. Am J Surg Pathol 2004;28:423-34.</li>
<li>Higuchi T, Sugihara K, Jass JR. Demographic and pathological characteristics of serrated polyps of colorectum. Histopathol 2005;47:32-40.</li>
<li>Ansher AF, Lewis JH, Fleischer DE et al. Hyperplastic colonic polyps as a marker for adenomatous colonic polyps. Am J Gastroenterol 1989;84:113-7.</li>
<li>Estrada RG, Spjut HJ. Hyperplastic polyps of the large bowel. Am J Surg Pathol. 1980;4:127-33.</li>
<li>Cooper HS, Patchefsky AS, Marks G. Adenomatous and carcinomatous changes within hyperplastic colonic epithelium. Dis Colon Rectum 1979; 22:152-6.</li>
<li>Urbanski SJ, Marcon N, Kossakowska AE et al. Mixed hyperplastic adenomatous polyps - an underdiagnosed entity. Am J Surg Pathol 1984;8:551-6.</li>
<li>Snover DC, Jass JR, Fenoglio-Preiser C et al. Serrated polyps of the large intestine. A morphologic and molecular review of an evolving concept. Am J Clin Pathol 2005;124:380-91.</li>
<li>Mäkinen MJ, Georg SMC, Jernvall P et al. Colorectal carcinoma associated with serrated adenoma - prevalence, histological features, and prognosis. J Pathol 2001;193:286-94.</li>
<li>Jass JR, Iino H, Ruszkiewicz A et al. Neoplastic progression occurs through mutator pathways in hyperplastic polyposis of the colorectum. Gut 2000; 47:43-9.</li>
<li>Rubio CA. Colorectal adenomas: time for reappraisal. Pathol Res Pract 2002;198:615-20.</li>
<li>Matsumoto T, Mizuno M, Shimizu M et al. Clinicopathological features of serrated adenoma of the colorectum: comparison with traditional adenoma. J Clin Pathol 1999;52:513-6.</li>
<li>Sawyer EJ, Cerar A, Hanby AM et al. Molecular characteristics of serrated adenomas of the colorectum. Gut 2002;51:200-6.</li>
<li>Baker K, Zhang Y, Jin C, et al. Proximal versus distal hyperplastic polyps of the colorectum: different lesions or a biological spectrum? J Clin Pathol 2004;57:1089-93.</li>
<li>Higuchi T, Jass JR. My approach to serrated polyps of the colorectum. J Clin Pathol 2004;57:682-6.</li>
<li>Rashid A, Houlihan PS, Booker S et al. Phenotypic and molecular characteristics of hyperplastic polyposis. Gastroenterol 2000;119:323-32.</li>
<li>Williams GT, Arthur JF, Bussey HJR et al. Metaplastic polyps and polyposis of the colorectum. Histopathol 1980;4:155-70.</li>
<li>Leggett BA, Devereaux B, Biden K et al. Hyperplastic polyposis: association with colorectal cancer. Am J Surg Pathol 2001;25:177-84.</li>
<li>Iino H, Simms L, Young J et al. DNA microsatellite instability and mismatch repair protein loss in adenomas presenting in hereditary non-polyposis colorectal cancer. Gut 2000;47:37-42.</li>
<li>Jass JR, Cottier DS, Pokos V et al. Mixed epithelial polyps in association with hereditary non-polyposis colorectal cancer providing an alternate pathway of cancer histogenesis. Pathology 1997;29:28-33.</li>
<li>Rijcken FEM, van der Sluis T, Hollema H et al. Hyperplastic polyps in hereditary nonpolyposis colorectal cancer. Am J Gastroenterol 2003;98:2306-11.</li>
<li>Lazarus R, Junttila OE, Karttunen TJ, et al. The risk of metachronous neoplasia in patients with serrated adenomas. Am J Clin Pathol 2005;123:349-</li>
</ol>

Woodwing Id
242276
Fil
Bib ref
Ugeskr Læger 2006;168(46):4005-4009
Authors

Stud.med. Mille Brunbjerg Folker, overlæge Inge T. Bernstein & professor Susanne Holck H:S Hvidovre Hospital, Patologiafdelingen og HNPCC-Registret, Gastroenheden

0 likes