Medlem i

13 years 1 month
Indholdselementer
Billede
Sidebar placering
Venstrestillet
Billede
Sidebar placering
Venstrestillet
Billede
Sidebar placering
Venstrestillet
Billede
Sidebar placering
Venstrestillet


Introduktion: Undersøgelsens formål var at beskrive forskellige debutsymptomer ved medfødt diafragmahernie, som debuterede efter 1-måneders-alderen, såkaldt sent debuterende medfødt diafragmahernie, samt at beskrive hyppigheden af denne misdannelse.

Materiale og metoder: Dette er et retrospektivt studie, der inkluderer journaler på børn som i perioden fra den 1. januar 1993 til den 31. december 2002 var blevet opereret for sent debuterende født diafragmahernie på Børnekirurgisk Klinik, Rigshospitalet.

Resultater: Der identificeredes 14 patienter, syv patienter var opereret for Bochdaleck hernie og syv patienter var opereret for Morgagni hernie. Alder ved operation var mediant ti måneder hos patienter med Bochdaleck hernie og 11 måneder for patienter med Morgagni hernier. Patienter med Bochdalek hernie havde hyppigere alvorligere symptomer og fund end patienter med Morgagni hernie. Respiratoriske symptomer og fund var de hyppigste. De fandtes hos 43% patienter med Bochdaleck hernie og hos 86% patienter med Morgagni hernie. Opkastninger og/eller dårlig trivsel var dog næsten lige så hyppige symptomer, der fandtes hos henholdsvis 71% og 43%.

Konklusion: Man bør mistænke et sent debuterende medfødt diafragmahernie hos en patient med usædvanlige respiratoriske eller gastrointestinale symptomer. Hos sådanne patienter kan røntgenbillede af thorax vise abnorme forhold, trods det at tidligere røntgenbilleder har vist normale forhold. Ved mistanke om et sent debuterende diafragmahernie anbefaler vi som første undersøgelse en røntgenundersøgelse af thorax med nedlæggelse af en nasogatrisk sonde, da det letter det diagnostiske arbejde.

Medfødt diafragmahernie præsenterer sig oftest inden for de første timer efter barnets fødsel og er ofte livstruende. Mortaliteten er ca. 30% [1], og skyldes primært medfødt lungehypoplasi [2]. Medfødt diafragmahernie kan også debutere efter 1-måneds-alderen, man taler da om sent præsenterende diafragmahernie. Det er en sjælden tilstand, som ofte volder vanskeligheder at diagnosticere, primært fordi man glemmer diagnosen. Medfødte diafragmahernier kan opdeles i de posterolaterale, Bochdalek hernier og de retrosternale, Morgagni hernier. Fra femte til syvende uge efter befrugtningen dannes diafragma ved sammenvoksning af den pleuroperitoneale membran med septum transversum, hvorved forbindelsen mellem thorax og abdominalhulen lukkes. Et Bochdalekt hernie opstår ved at den perikardioperitoneale kanal ikke lukkes sufficient. De giver ofte symptomer inden for de første levetimer. Derimod skyldes Morgani hernier manglende sammenvoksning af de fibrotendinøse sternale og kostale dele af diafragma. På venstre side er defekten ofte dækket af perikardiet [3]. De giver sjældent symptomer inden for de første levetimer. Hvis abdominalorganerne er intratorakalt lejrede i fosterlivet, er der stor risiko for mangelfuld udvikling af lungeknoppen og deraf følgende pulmonal hypoplasi [3]. Når patienter med diafragmahernie dør inden for de første levetimer, skyldes det oftest respiratoriske vanskeligheder [3].

Medfødt diafragmahernie er en sjælden tilstand. Hyppigheden er angivet til fra 1 ud af 2.500 [4] til 1 ud af 5.000 og 1 ud af 2.000 hvis dødfødte medregnes [5]. Det sent præsenterende diafragmahernie udgør 5-13%, mens andre angiver helt op til 25% af samtlige diagnosticerede medfødte diafragmahernier [6-9], men den »sande hyppighed« er ukendt.

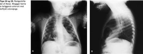
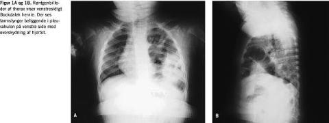
På børneafdelingen på Amtssygehuset i Glostrup har vi igennem de seneste to år diagnosticeret to tilfælde af sent debuterende medfødt diafragmahernier, patient nummer 4 i Tabel 1 (Figur 1A og 1B) samt patient nummer 3 i Tabel 2 (Figur 2A og 2B).

Materiale og metoder

De to patienter fra Glostrup børneafdeling blev overflyttet og opereret på Børnekirurgisk Klinik, Rigshospitalet.

Vi har gennemgået journaler på patienter, der var indlagt og blev opereret opereret for sent debuterende medfødt diafragmahernie fra perioden fra den 1. januar 1993 til den 31. december 2002 på Børnekirurgisk Klinik, Rigshospitalet. Sent debuterende medfødt diafragmahernie defineredes som medfødt diafragmahernie, der var diagnosticeret efter barnet var blevet en måned. gammelt. To patienter var kun henholdsvis fire og fem uger gamle (Tabel 1). De havde haft symptomer få uger gamle. Patienterne er inkluderet, da symptomerne har været af almen karakter og kunne pege på flere differentialdiagnoser og først har givet anledning til indlæggelse på daværende tidspunkt.

Patienter med posttraumatisk hiatus hernie, paraesophagalt/hiatus hernie og eventration af diafragma blev ekskluderet.

Patienterne blev evalueret efter hernietype, hernielateralitet, debutsymptomer, objektive fund, operationsfund, køn, alder, associerede anomalier, parakliniske fund og efterforløb.

Ved alle operationer er anvendt transabdominal adgang. Der er foretaget reposition af abdominal indholdet og lukning af diafragmadefekten. I tilfælde med tilstedeværelse af en herniesæk er denne excideret. I ingen tilfælde har det været nødvendigt at anvende kunststof eller muskeltransplantat. Børnekirurgisk Afdeling har landsdelsfunktion i børnekirurgi for region øst svarende til ca. halvdelen af Danmarks indbyggere.

Resultater

Der blev identificeret 14 børn; syv børn opereret for Bochdalek hernie (Tabel 1) og syv børn for Morgagni hernie (Tabel 2). Operationsalder var mediant ti mdr. hos patienter med Bochdaleck hernie (spændvidde fire uger-30 mdr.) og mediant 11 mdr. (spændvidde syv mdr.-syv år og ti mdr.) for patienter med Morgagni hernie.

Fire pati enter med Bochdalek hernie havde potentielt alvorlige tilstande, idet to havde overskydning af hjertet, og to havde pulmonal hypoplasi, hvorimod patienter med Morgani hernie ikke havde alvorlige tilstande. Tre af de fire patienter med potentielt alvorlige tilstande var drenge, og tre havde venstresidigt hernie. Venstresidigt hernie fandtes hos 71% af patienter med Bochdaleck hernier og hos 43% af patienter med Morgagni hernier. Drenge udgjorde 86% af patienter med Bochdaleck hernier og 43% af patienterne med Morgagni hernier.

Respiratoriske symptomer og fund var de hyppigste. De fandtes hos 43% med Bochdaleck hernie og hos 86% patienter med Morgagni hernie. Pulmonal hypoplasi fandtes hos patienter med Bochdaleck hernie, hvorimod abnorm thoraxform både fandtes hos patienter med Bochdaleck og Morgagni hernie. Opkastninger og/eller dårlig trivsel var dog næsten lige så hyppige symptomer, der fandtes hos henholdsvis 71% og 43%.

Patienter med Morgagni hernie havde de alvorligste associerede anomalier, idet to piger havde Downs syndrom, den ene havde yderligere atrieseptumdefekt. Ingen patienter med Bochdaleck hernier havde associerede anomalier.

Diskussion

Igennem ti år blev 14 børn opereret for sent debuterende diafragmahernie på børnekirurgisk klinik, Rigshospitalet. Det svarer til ca. to om året blandt halvdelen af Danmarks population og dermed ca. fire om året i Danmark. Dette er i overensstemmelse det forventede antal i henhold til litteraturen.

Man har tidligere haft den opfattelse, at sent medfødt diafragmahernie ikke er en livstruende tilstand, og at der kun findes minimale symptomer fra enten luftveje eller mave-tarm-kanal [7]. Vores undersøgelse kan ikke bekræfte dette. Ved debut havde to patienter overskydning af hjertet imod højre. Den ene patient havde periodisk cyanose. Begge patienter havde Bochdalek hernie. Der er beskrevet to tidligere raske børn, som pludseligt fik hjertestop og døde. Ved autopsi fandtes et Bochdalek hernie [7]). Desuden er der beskrevet død af en 14 mdr. gammel patient, der var kendt med gastro-øsofageal refluks. Barnet fik feber, opkastninger og blev respiratorisk og cirkulatorisk påvirket. En røntgenfotografering af thorax viste overskydning af hjertet imod højre pga. et venstresidigt diafragmahernie. Trods intensiv terapi fik barnet hjerte-stop og døde af hjerneanoxi. Det mediastinale skift imod højre kan obstruere det venøse tilbageløb til hjertet, og den gastrointestinal obstruktion øger dehydreringen, hvorved patient får hypovolæmisk shock med hjertestop til følge [7, 10].

Hernieindholdet kan variere meget. I vort materiale havde to patienter subileus ved debut, men de var relativt upåvirkede heraf. Andre opgørelser refererer til incarceration af tarmindhold [11], perforation [12] og dødsfald heraf [13]. Herniering af milten i thoraxkaviteten kan være en alvorlig tilstand. Det fandtes hos to af patienterne i dette materiale. En sådan milt kan torkvere intratorakalt, hvilket kan medføre såvel stærke smerter som livstruende blødning [14].

Størsteparten af patienter i vores materiale havde mindre alvorlige symptomer, specielt havde patienter med Morgagni hernie beskedne symptomer, som beskrevet [15]. I alt var fire patienter blevet henvist med dårlig trivsel, hvilket svarer til tidligere publikationer [8, 16]. Dårlig trivsel er en almindelig henvisningsdiagnose på en pædiatrisk afdeling, og det er vigtigt at være opmærksom på, at årsagen kan være et sent debuteret medfødt diafragmahernie. Trivslen normaliseres efter operation.

I vort materiale havde to børn lungehypoplasi. Hvis patienterne overlever hernieringen af bughuleorganer i thoraxkaviteten, er der risiko for efterfølgende død på grund af medfødt lungehypoplasi [2].

Sent debuterende medfødt diafragmahernie er ikke en statisk tilstand og kan variere i sværhedsgrad og debutere i forbindelse med barnets vækst, fysisk aktivitet og øget intrabadominalt tryk, f.eks. hoste. Flere patienter har haft normale røntgenbilleder af thorax forud for symptomdebuten [5, 13, 16]. De radiologiske fund kan variere for den enkelte patient pga. varierende hernieindhold og pga. spontan remission [7, 17]. Røntgenologisk er sent debuterende diafragmahernie blevet tolket som pneumonia, aspiration af fremmedlegeme, cyster, pneumothorax, tumor og pleuraeffusion [2, 7-9, 11-13, 17, 18]. Dette har ledt til, at man ofte har foretaget flere forskellige diagnostiske tiltag for den samme patient, blandt andet røntgenundersøgelse af øsofagus og colon, CT og MR-skanning af thorax, ultralydskanning af abdomen, bronkoskopi med bronkial lavage og pyelografi [2, 6, 7, 9, 10]. I et ønske om at diagnosticere et diafragmahernie er der anbefalet en simpel røngtenundersøgelse af thorax suppleret med nedlæggelse af en nasogastisk sonde [7, 10]. I flere undersøgelser, hvor man ikke har brugt nedlæggelse af en nasogastrisk sonde, har man fundet, at colonindhældning er effektiv. Bariumindhældning kan dog lede til underdiagnosticering, da bariums hydrostatiske kræfter kan reducere herniet [7]. Desuden er undersøgelsen mere belastende for barnet. Den anbefales derfor først, hvis man efter røntgenundersøgelse af thorax med nedlæggelse af en nasogastrisk sonde fortsat er i tvivl om, hvorvidt barnet har et diafragmahernie eller ej. Tilsvarende kan røntgenundersøgelse af øsofagus og øsofagoskopi eventuelt anvendes diagnostisk i disse situationer. I hvert enkelt tilfælde må man overveje, hvilket diagnostisk tiltag der forventes at være den bedste undersøgelse nr. to.

Vi anbefaler, at man såvel ved akutte tilstande som ved mere kroniske tilstande f.eks. dårlig trivsel, overvejer diagnosen sent debuterende medfødt diafragmahernie og som første undersøgelse foretager en røntgenundersøgelse af thorax med nedlæggelse af en nasogatrisk sonde.


Elisabeth Jeanette Broløs, Pile Alle 5F, 3. mf., DK-2000 Frederiksberg. E-mail: elisabeth.broloes@dadlnet.dk

Antaget: 23. februar 2004

Interessekonflikter: Ingen angivet

Taksigelse: Tak til røntgenafdelingen, Amtssygehuset i Glostrup, for tilladelse til at publicere røntgenbilleder af patient nr. 1 og nr. 2.






Sidebar placering
Venstrestillet
Article type
Journal
Magazine
Section
References

<ol class="Litt-list">
<li>Skari H, Bjonland K, Frencker B et al. Congenital diaphragmatic hernia in Scandinavia from 1995 to 1998: edictors of mortality. J Pediatr Surg 2002; 37:1269-75.</li>
<li>Ôztürk H, Karnak I, Sakarya MT et al. Late presentation of the Bochdalek hernia: clinical and radiological aspects. Pediatr Pulmonol 2001;31:306-10.</li>
<li>Sadler TW. Langman´s Medical Embryology. Baltimore: Williams and Wilkins, 1985.</li>
<li>Larsen WJ. Human embryology. New York: Churchill Livingstone, 1993.</li>
<li>Behrman RE, Kliegeman RM, Jenson HB. Nelson Textbook of Pediatrics. Philadelphia: W.B. Saunders Company, 2000.</li>
<li>Osebold RW, Soper RT. Congenital posterolateral diaphragmatic hernia past infancy. Am J Surg 1976;131:748-54.</li>
<li>Berman L, Stringer D, Ein S et al. The late-presenting pediatric Bochdalek hernia: a 20-year review. J Ped Surg 1988;23:735-9.</li>
<li>Schimpl G, Fotter R, Sauer H. Congenital diaphragmatic hernia presenting after the newborn period. Eur J Pediatr 1993;152:765-8.</li>
<li>Newman BM, Afshani E, Kapp MP et al. Presentation of congenital diaphragmatic hernia past the neonatal period. Arch Surg 1986;121:813-6.</li>
<li>Paut O, Mély L, Viard L et al. Acute presentation of congenital diaphragmatic hernia past the neonatal preiod: a life trheatining emergency. Can J Anaesth 1996;43:621-5.</li>
<li>Shimizu T, Hira S. Late onset of right Bochdalek's hernia with strangulation of the omentum. Acta Paediatr 2002;91:483-5.</li>
<li>O`Neill CP, Marbrouk R, Mc Callion WA. Late presentation of congenital diafragmatic hernia. Arch Dis Child 1986;86:395.</li>
<li>Elhalaby EA, Sikeena MHA. Delayed presentation og congenital diafragmatic hernia. Pediatr Surg Int 2002;18:480-5.</li>
<li>Thorup J, Pedersen PV, Nielsen OH. Late return of function after intrathoracic torsion of the spleen in congenital diaphragmatic hernia. J Pediatr Surg 1986;21:722-4.</li>
<li>Soylu H, Koltuksuz U et al. An unexpected cause of respiratory complaints and a chest mass. Pediatr Pulmonol 2000;30:429-33.</li>
<li>Weber TR, Tracy TJr, Bailey PV et al. Congenital diafragmatic hernia beyond infancy. Am J Surg 1991;162:643-6.</li>
<li>Height DW, Hixson SD, Reed JO et al. Intermittent diagfragmatic hernia of Bochdalek: report of a case an litterature review. Pediatrics 1982;69:601-4.</li>
<li>Cambell DN, Lilly JR. The clinical spectrum of right Bochdalek's hernia. Arch Surg:1982;3:341-4.</li>
</ol>

Woodwing Id
243143
Fil
Bib ref
Ugeskr Læger 2005;167(17):1844-1848
Authors

Reservelæge Elisabeth Jeanette Broløs, 1. reservelæge Dina Cortes & overlæge Jørgen M. Thorup Amtssygehuset i Glostrup, Børneafdelingen, og H:S Rigshospitalet, Børnekirurgisk Afdeling

0 likes