Medlem i

12 years 10 months
Indholdselementer

Cervixcancer er en af de hyppigste former for cancer i graviditeten i Danmark til trods for, at sygdommen effektivt kan forebygges ved regelmæssig screening og profylaktisk HPV-vaccination [1]. Et europæisk studie fra 2019 fandt 1,4-4,6 tilfælde af cervixcancer pr. 100.000 graviditeter [2], mens et dansk registerstudie fra 2013 fandt fire pr. 100.000 graviditeter [1]. De fleste tilfælde af cervixcancer hos gravide diagnosticeres i de første to trimestre, hvoraf størstedelen er i et tidligt stadium [3, 4]. Diagnosen stilles, som hos ikkegravide, ved en gynækologisk undersøgelse med biopsi af synlig tumor eller ved kolposkopi og biopsi/konisation hos kvinder uden synlig tumor [2-6].

Sidebar placering
Venstrestillet
Hovedbudskaber
  • Cervixcancer er en af de hyppigste kræftformer i graviditeten.

  • Blødning i graviditeten bør altid foranledige gynækologisk undersøgelse med inspektion af cervix.

  • Behandling af cervixcancer i graviditeten er en specialistopgave og afhænger blandt andet af tumors stadie og kvindens ønske.

Ombryd tekst
0
Brødtekst
  • Cervixcancer er en af de hyppigste kræftformer i graviditeten.

  • Blødning i graviditeten bør altid foranledige gynækologisk undersøgelse med inspektion af cervix.

  • Behandling af cervixcancer i graviditeten er en specialistopgave og afhænger blandt andet af tumors stadie og kvindens ønske.

På Aarhus Universitetshospital er fire kvinder blevet diagnosticeret med en graviditetsassocieret cervixcancer inden for det seneste år. Det er flere end forventet, men selvom det kan repræsentere en statistisk tilfældighed, har kvinderne givet anledning til drøftelse af de gældende rekommandationer på området. Da tidlig diagnosticering af cervixcancer er af stor betydning for kvindens prognose, er det vigtigt, at sundhedsfagligt personale er opdateret på den seneste viden omkring cervixcancer i graviditeten. Denne artikel har derfor til formål at skabe overblik over den tilgængelige litteratur om screening for samt diagnostik og behandling af cervixcancer i graviditeten.

Screening for cervixcancer

Efter at screening for cervixcancer blev indført i Danmark i 1960’erne, er incidensen og mortaliteten af cervixcancer faldet drastisk [7]. Flere studier har vist, at kvinder, der enten aldrig er blevet screenet eller ikke har deltaget regelmæssigt i screening, har en markant øget risiko for at udvikle cervixcancer og for at dø heraf [8-10]. Trods fokus på at øge deltagelsen i screeningsprogrammet har deltagelsesprocenten været støt faldende siden 2009 og er nu på 72 for kvinder i alderen 23-64 år, men helt nede på 52 for de 23-24-årige [11]. Danske studier har vist, at 40-67% af kvinder, der diagnosticeres med cervixcancer, ikke har deltaget regelmæssigt i screeningsprogrammet [12, 13]. Et nyligt dansk registerstudie har ydermere vist, at kvinder, der ikke er HPV-vaccineret i barndommen, også er mindre tilbøjelige til at deltage i screeningsprogrammet [14]. Studiet finder også, at kvinder med anden etnisk oprindelse end dansk og kvinder med lavere socioøkonomisk status er mere tilbøjelige til ikke at deltage i vaccinations- og screeningsprogrammet [14, 15]. De planlagte prænatale besøg hos de praktiserende læger er derfor en god mulighed for screening af kvinder, der ikke har deltaget regelmæssigt i screeningsprogrammet. En sådan indsats har potentiale til at reducere disse kvinders risiko for cervixcancer.

Hidtil har rutinescreening ikke været udført under graviditeten på grund af risiko for fejltolkning af prøven, men med de nye screeningsmetoder i form af væskebaseret cytologi anbefales screening i graviditeten nu i andre lande med et nationalt screeningsprogram [16-18]. I Sverige og Australien har man indført rutinescreening i forsøg på at øge screeningsdeltagelsen af de kvinder, der ikke har deltaget regelmæssigt i screeningsprogrammet. I Sverige tilbydes screening i alle tre trimestre på tidspunktet for første kliniske kontakt med den gravide [16]. Prøven analyseres på samme måde som hos ikkegravide. Kvinder med en abnorm screeningsprøve under graviditeten anbefales videre udredning efter samme algoritmer som ikkegravide. Det skyldes, at gravide kvinder med abnorm cervixcytologi har samme risiko som ikkegravide for cervixcancer og forstadierne hertil [6, 19].

Screening kan foretages sikkert i graviditeten og er ikke forbundet med en øget risiko for abort eller præterm fødsel, men der kan forekomme forbigående pletblødning [5, 20]. Prøven kan tages ved brug af konventionel kombibørste, spatel eller cytobrush, mens det frarådes at anvende endobrush [17]. Ved indsendelse af prøven er det vigtigt at angive i rekvisitionen, at patienten er gravid, således at den modtagende patologiafdeling kan medtage dette i vurderingen af prøven. Screening har tidligere været frarådet under graviditeten i Danmark, men det diskuteres på nuværende tidspunkt, om screening skal tilbydes gravide kvinder, som ikke har deltaget i screeningsprogrammet, med det formål at øge tilslutningen til screeningsprogrammet og dermed reducere morbiditet og mortalitet af cervixcancer.

Sidebar placering
Venstrestillet
Billede
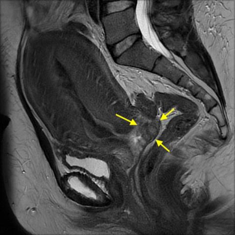
MR-skanningsbillede, der viser tumor i forreste portiolæbe (gule pile). Gengivet med patientens tilladelse.
Caption
MR-skanningsbillede, der viser tumor i forreste portiolæbe (gule pile). Gengivet med patientens tilladelse.
Sidebar placering
Venstrestillet

Symptomer på cervixcancer

De hyppigste symptomer på cervixcancer er vedvarende abnorm vaginal blødning, herunder postcoital blødning samt blodtingeret og evt. ildelugtende vaginalt udflåd. I de senere stadier kan der optræde vandladningsproblemer, smerter og ændret afføring [3, 6]. En del kvinder er dog asymptomatiske på diagnosetidspunktet [3, 6]. Når en gravid kvinde henvender sig med vaginalblødning i graviditeten, er det væsentligt at huske, at cervixpatologi er en vigtig differentialdiagnose. Der bør derfor altid foretages gynækologisk undersøgelse med inspektion af cervix. Der bør indhentes viden om kvindens screeningshistorik, herunder resultatet af den seneste cervixcytologi og/eller HPV-test, og om hvorvidt kvinden tidligere har haft celleforandringer på cervix. Det skyldes, at insufficient screenede kvinder og kvinder med tidligere celleforandringer har øget risiko for cervixcancer og forstadierne hertil.

Diagnostik af cervixcancer og forstadierne hertil

Kvinder med en abnorm screeningstest eller vedvarende symptomer skal henvises til kolposkopi [21]. Formålet med kolposkopi er at vurdere præmaligne forandringer samt at udelukke invasiv sygdom. Såfremt man ved gynækologisk undersøgelse og/eller kolposkopi finder tumor på portio, skal der foretages 1-2 biopsier, og kvinden henvises i kræftpakkeforløb til en gynækologisk afdeling med højtspecialiseret funktion. Såfremt portio er uden synlig tumor, og der ikke er anden oplagt obstetrisk årsag til vedvarende blødning i graviditeten, bør der foretages yderligere udredning. Kolposkopi er sikkert at udføre, men graviditeten inducerer fysiologiske forandringer i cervix, som kan vanskeliggøre kolposkopisk differentiering mellem normalt cervixepitel og cervixdysplasi og undertiden endda cancer. Der ses blandt andet øget vaskularisering, stromalt ødem og cervikal volumen, hvilket også vanskeliggør histopatologisk undersøgelse [2, 3, 20]. Med baggrund i ovenstående anbefales kolposkopi af gravide udført af en erfaren kolposkopør [2, 3, 20]. I modsætning til ikkegravide, hvor det altid anbefales at tage fire biopsier, skal der hos gravide kun tages biopsier fra suspekte områder for at udelukke malignitet [21]. Endocervikal curettage er kontraindiceret i graviditeten. Bioptering af cervix under graviditeten er associeret med en lille risiko for blødning, men vurderes at være en sikker procedure med minimal risiko for fosteret [22].

I henhold til danske retningslinjer kan kvinder, der får konstateret cervikal intraepitelial neoplasi grad 2 eller mindre, tilbydes kontrol post partum, idet risikoen for progression til invasiv sygdom er minimal [21, 23]. Kvinder, der får konstateret cervikal intraepitelial neoplasi grad 3 eller adenocarcinoma in situ, anbefales opfølgning hver 12.-24. uge med kolposkopi, cytologi og/eller HPV-test samt eventuelt biopsi [19, 24]. I Danmark anbefales kolposkopi udført af erfaren speciallæge i første trimester og i gestationsalder (GA) 30 uger [21]. For de fleste kvinders vedkommende betyder denne strategi, at man kan udskyde kirurgisk behandling til efter fødslen, eftersom progression til cancer i graviditeten er meget sjælden [17]. Ved malignitetssuspicio er konisation under graviditet indiceret med henblik på at sikre korrekt diagnostik og planlægge det efterfølgende forløb [6]. De hyppigste komplikationer til konisation er blødning, spontan abort, præterm fødsel og infektion [6]. Botha et al har derfor foreslået, at man i tillæg til konisation kan overveje anlæggelse af cerclage [25]. Det optimale tidspunkt for konisation er i GA 12-20 uger [2, 6]. Klinisk opfølgning med kolposkopi og biopsi udføres tidligst otte uger post partum, idet kolposkopisk vurdering samt histopatologisk undersøgelse erfaringsmæssigt kan være vanskelig umiddelbart post partum.

Klinisk håndtering af cervixcancer i graviditeten

Håndtering af cervixcancer i graviditeten er en specialistopgave på højeste niveau og varetages i Danmark på centre med højtspecialiseret funktion inden for dette (Rigshospitalet, Aarhus Universitetshospital og Odense Universitetshospital) [26]. Behandlingsstrategien varetages multidisciplinært mellem speciallæger i onkologisk gynækologi, onkologi, patologi, radiologi, obstetrik og evt. neonatologi. Behandlerteamet anvender international kollegial sparring ved tvivlstilfælde. Ved udredning af cervixcancer i graviditeten anbefales det at minimere eksponeringen af ioniserende stråling, hvorfor PET-CT og CT så vidt muligt undgås, men begrænsede mængder ioniserende stråling kan accepteres. UL- og MR-skanning kan anvendes (gadolinium er dog relativt kontraindiceret i graviditeten) [2]. Udredning omfatter ofte gynækologisk undersøgelse i fuld bedøvelse for at vurdere tumorstørrelsen og tumorudbredning i bækkenet.

Behandling af cervixcancer i graviditeten afhænger primært af The International Federation for Gynecology and Obstetrics (FIGO)-stadiet (Tabel 1, Figur 1) og fosterets GA [2, 27]. Da der er sparsom evidens på området, støtter den danske guideline sig op ad anbefalinger fra The International Network on Cancer, Infertility and Pregnancy [2, 4]. Kvindens ønske vedrørende graviditeten vægter tungt i forhold til valg af behandlingen. Såfremt kvinden ønsker at afbryde graviditeten, behandles hun i henhold til gældende nationale retningslinjer for behandling af cervixcancer hos ikkegravide [28]. Såfremt kvinden har et ønske om bevarelse af graviditeten, følges den nationale guideline for gravide med cervixcancer (Figur 1). Denne guideline er netop opdateret og er i høringsfase hos Dansk Gynækologisk Cancer Gruppe.

Sidebar placering
Venstrestillet
Billede
Sidebar placering
Venstrestillet
Billede
Sidebar placering
Venstrestillet

Der er erfaring med anvendelse af neoadjuverende kemoterapi (NAK) under graviditeten for at udsætte definitiv behandling. Evidensen er dog generelt sparsom, og anvendelse af NAK bør foregå under nøje information om risiko for progression af sygdommen, om end dette er sjældent i graviditeten. Kemoterapi er kontraindiceret i første graviditetstrimester på grund af dennes mulige teratogene effekt og bør udsættes til andet trimester af hensyn til fosteret [29, 30]. Udsættelse af kemoterapi skal altid balanceres i forhold til den onkologiske risiko for moderen og skal altid ske på baggrund af multidisciplinært team-beslutning og i samråd med kvinden. Valget mellem anvendelse af NAK eller udsættelse af behandling til efter fødsel afhænger af fosterets GA. Jo tættere kvinden er på GA 34 uger, jo større er tendensen til at udsætte definitiv behandling til efter fødsel.

Kvinder med cervixcancer i graviditeten rådgives og behandles i Danmark af specialiserede obstetrikere på Aarhus Universitetshospital, Odense Universitetshospital og Rigshospitalet, uanset om de gravide vælger at fortsætte eller afbryde graviditeten. De tilbydes et skræddersyet forløb, herunder obstetriske kontroller, tilvækstskanninger og målrettet føtalmedicinsk vurdering af fosteret, f.eks. af hjertet ved visse typer af kemoterapi. Timing af forløsning besluttes i tværfaglige team, som kan inkludere obstetrikere, onkologer, onkologiske gynækologer og neonatologer. Forløsning af ikkefærdigbehandlede kvinder foregår ved kejsersnit, og i samme ombæring udføres definitiv kirurgi hvis indiceret. Vaginal forløsning fravælges, idet der er øget risiko for beskadigelse af tumor, stor blødningsrisiko samt risiko for spredning af maligne celler. Dertil kan en tumor obstruere fødselsvejen [2]. Placenta sendes til histologisk undersøgelse for at udelukke metastaser.

Konklusion

Cervixcancer optræder også hos gravide kvinder. Blødning i graviditet bør foranledige gynækologisk undersøgelse, og vedvarende blødning eller blodtingeret udflåd uden oplagt obstetrisk årsag bør afføde yderligere udredning med kolposkopi og kolposkopivejledte biopsier.



Korrespondance Anne Hammer. E-mail: ahlauridsen@clin.au.dk
*) Delt sidsteforfatterskab
Antaget 21. juli 2022
Publiceret på ugeskriftet.dk 29. august 2022
Interessekonflikter Der er anført potentielle interessekonflikter. Forfatternes ICMJE-formularer er tilgængelige sammen med artiklen på ugeskriftet.dk
Referencer findes i artiklen publiceret på ugeskriftet.dk
Artikelreference Ugeskr Læger 2022;184:V03220187

Sidebar placering
Venstrestillet
Article type
Journal
Section
References

Referencer

  1. Eibye S, Kjær SK, Mellemkjær L. Incidence of pregnancy-associated cancer in Denmark, 1977-2006. Obstet Gynecol. 2013;122(3):608-17.

  2. Amant F, Berveiller P, Boere IA et al. Gynecologic cancers in pregnancy: guidelines based on a third international consensus meeting. Ann Oncol. 2019;30(10):1601-1612.

  3. Reed N, Balega J, Barwick T et al. British Gynaecological Cancer Society (BGCS) cervical cancer guidelines: recommendations for practice. Eur J Obstet Gynecol Reprod Biol. 2021;256:433-465.

  4. Dansk Selskab for Obstetrik og Gynækologi. Cancer og graviditet Sandbjerg 2015. 2015. https://static1.squarespace.com/static/5467abcce4b056d72594db79/t/556b27e7e4b063c81eb47438/1433085927472/150515+Guideline_CancerogGraviditet_revideret.pdf.

  5. Beharee N, Shi Z, Wu D et al. Diagnosis and treatment of cervical cancer in pregnant women. Cancer Med. 2019;8(12):5425-5430.

  6. Van Calsteren K, Vergote I, Amant F. Cervical neoplasia during pregnancy: diagnosis, management and prognosis. Best Pract Res Clin Obstet Gynaecol. 2005;19(4):611-30.

  7. Lynge E, Andersen B, Christensen J et al. Cervical screening in Denmark - a success followed by stagnation. Acta Oncol. 2018;57(3):354-361.

  8. Spence AR, Goggin P, Franco EL. Process of care failures in invasive cervical cancer: systematic review and meta-analysis. Prev Med. 2007;45(2-3):93-106.

  9. Landy R, Pesola F, Castanon A et al. Impact of cervical screening on cervical cancer mortality: estimation using stage-specific results from a nested case-control study. Br J Cancer. 2016;115(9):1140-1146.

  10. Andrae B, Andersson TML, Lambert PC et al. Screening and cervical cancer cure: population based cohort study. BMJ. 2012;344:e900.

  11. Dansk Kvalitetsdatabase for Livmoderhalskræftscreening. Årsrapport 2020. www.sundhed.dk/content/cms/82/4682_dkls_aarsrapport_2020_offentlig_version.pdf (17. jan 2022).

  12. Bchtawi AK, Saritas S, Schledermann D et al. Screening history and FIGO-stages among Danish women with cervical cancer in 2012-2014: a register-based study. Sci Rep. 2019;9(1):20390.

  13. Dugue PA, Lynge E, Bjerregaard B et al. Non-participation in screening: the case of cervical cancer in Denmark. Prev Med. 2012;54(3-4):266-9.

  14. Badre-Esfahani S, Larsen MB, Seibaek L et al. Non-adherence to childhood HPV vaccination is associated with non-participation in cervical cancer screening – a nationwide Danish register-based cohort study. Clin Epidemiol. 2019;11:969-80.

  15. Badre-Esfahani S, Larsen MB, Seibaek L et al. Low attendance by non-native women to human papillomavirus vaccination and cervical cancer screening - a Danish nationwide register-based cohort study. Prev Med Rep. 2020;19:101106.

  16. Svensk Förening för Obstetrik och Gynekologi. Nationellt vårdprogram cervixcancerprevention. 2021. https://kunskapsbanken.cancercentrum.se/diagnoser/livmoderhalscancerprevention/vardprogram/ (17. jan 2022).

  17. Cancer Council Australia. Clinical guidelines. Screening in pregnancy. https://wiki.cancer.org.au/australia/Clinical_question:Screening_in_pregnancy (17. jan 2022).

  18. Sundhedsstyrelsen. Anbefalinger for svangreomsorgen. Kapitel 6.7: Celleprøve fra livmoderhalsen (smear) s. 132, Version 3: 15. sep 2021. https://www.sst.dk/da/udgivelser/2021/anbefalinger-for-svangreomsorgen (10. maj 2022).

  19. Perkins RB, Guido RS, Castle PE et al. 2019 ASCCP Risk-Based Management Consensus Guidelines for Abnormal Cervical Cancer Screening Tests and Cancer Precursors. J Low Genit Tract Dis. 2020;24(2):102-131, erratum: 24(4):427.

  20. Perrone AM, Bovicelli A, D'Andrilli G et al. Cervical cancer in pregnancy: analysis of the literature and innovative approaches. J Cell Physiol. 2019;234(9):14975-14990.

  21. Dansk Selskab for Obstetrik og Gynækologi. Udredning, behandling og kontrol af cervikal dysplasi. 2012. https://s3.amazonaws.com/files.magicapp.org/guideline/a26bdbf6-73ac-4e34-86af-fbcebc4de63b/files/DSOG_-_guideline_2012_-_med_indsat_reference_til_NKR__r141869.pdf (10. maj 2022).

  22. Kärrberg C, Brännström M, Strander B et al. Colposcopically directed cervical biopsy during pregnancy; minor surgical and obstetrical complications and high rates of persistence and regression. Acta Obstet Gynecol Scand. 2013;92(6):692-9.

  23. Tainio K, Athanasiou A, Tikkinen KAO et al. Clinical course of untreated cervical intraepithelial neoplasia grade 2 under active surveillance: systematic review and meta-analysis. BMJ. 2018;360:k499.

  24. Nelson E. Management of abnormal cervical cancer screening tests in pregnancy 2021. www.asccp.org/pearl-management-during-pregnancy (17. jan 2022).

  25. Botha MH, Rajaram S, Karunaratne K. Cancer in pregnancy. Int J Gynaecol Obstet. 2018;143(suppl 2):137-142.

  26. Sundhedsstyrelsen. Specialevejledning for gynækologi og obstetrik. 2021. www.sst.dk/-/media/Viden/Specialplaner/Specialeplan-for-gyn%C3%A6kologi-og-obstetrik/Specialevejledning-for-Gynaekologi-og-obstetrik-020821.ashx (10. maj 2022).

  27. Morice P, Uzan C, Gouy S et al. Gynaecological cancers in pregnancy. Lancet. 2012;379(9815):558-69.

  28. Dansk Gynækologisk Cancer Gruppe. Retningslinjer for visitation, diagnostik, behandling og kontrol af cervixcancer. 2017. www.dgcg.dk/images/Grupper/Cervixgruppen/Guidelines_2017/Samlet%20godkendt%20cervix%20guideline-dec%202017.pdf (12. mar 2022).

  29. Weisz B, Meirow D, Schiff E et al. Impact and treatment of cancer during pregnancy. Expert Rev Anticancer Ther. 2004;4(5):889-902.

  30. Van Calsteren K, Heyns L, De Smet F et al. Cancer during pregnancy: an analysis of 215 patients emphasizing the obstetrical and the neonatal outcomes. J Clin Oncol. 2010;28(4):683-9.

Woodwing Id
81302
Fil
Conflict of interest
English title
Screening, diagnostics, and treatment of cervical cancer in pregnancy
English summary

Anne Hammer, Lise Haubjerg, Hevy Sadraddin Gibrael, Azalie Winther, Lars Henning Pedersen, Katrine Fuglsang & Pernille Tine Jensen

Ugeskr Læger 2022;184:V03220187

Cervical cancer is one of the most common cancers in pregnancy. Early diagnosis is of utmost importance for the outcome of the woman and her child. Vaginal bleeding in pregnancy should prompt gynaecological examination, and further diagnostic is needed in women with persistent symptoms. A decision on preservation of the pregnancy in women who are diagnosed with early-stage cervical cancer depends on stage and gestational age, as argued in this review.

Authors workplaces

1) Kvindesygdomme og Fødsler, Regionshospitalet Gødstrup, 2) Institut for Klinisk Medicin, Health, Aarhus Universitet, 3) Kvindesygdomme og Fødsler, Aarhus Universitetshospital, 4) Afdeling for Kvindesygdomme og Fødsler, Københavns Universitetshospital – Herlev Hospital, 5) Kirurgisk Afdeling, Københavns Universitetshospital – Nordsjællands Hospital

Ugeskr Læger 2022;184:V03220187

Bib ref
Ugeskr Læger 2022;184:V03220187
Article number
V03220187
Authors

Anne Hammer1, 2, Lise Haubjerg3, Hevy Sadraddin Gibrael4, Azalie Winther5, Lars Henning Pedersen2, 3, Katrine Fuglsang2, 3 * & Pernille Tine Jensen2, 3 *

0 likes