Medlem i

12 years 10 months
Indholdselementer
Billede
Sidebar placering
Venstrestillet
Billede
Sidebar placering
Venstrestillet


Sallasygdom (SS) er en neurodegenerativ lysosomal aflejringssygdom. Arvegangen er autosomal recessiv. Sygdommen er nu for første gang konstateret hos to danske søskende [1]. Ved sygdommen ses psykomotorisk retardering og ataksi. Ved MR-skanning af cerebrum ses bl.a. hyperintensitet i hvid substans og hypoplasi af corpus callosum. Der er forhøjet udskillelse af fri sialsyre i urinen, men da der ikke undersøges for dette ved den almindeligt anvendte metaboliske screeningsundersøgelse i Danmark, kan sygdommen være underdiagnosticeret. Der ønskes med denne artikel at rette opmærksomhed på, at SS forekommer i Danmark.

Baggrunden for sygdommen

SS blev første gang beskrevet i 1979 [2]. Sygdommen er hyppigst i Finland (ca. 100 patienter) og Sverige (27 patienter) [3]. I den finske befolkning er bærerhyppigheden 1:200 for den hyppigste mutation (R39C) [4].

Lysosomale sygdomme med ophobning af fri sialsyre omfatter de allele sygdomme SS og infantile sialic acid storage disease (ISSD). ISSD er sjælden og dens arvegang er autosomal recessiv. Det defekte gen (SLC17A5) er lokaliseret på kromosom 6q14-q15. Det koder for et lysosomalt transportprotein (Sialin), som transporterer fri sialsyre ud af lysosomet. Ved SS og ISSD ophobes fri sialsyre i lysosomerne og udskilles i store mængder i urinen. Der er en vis sammenhæng mellem genotype og fænotype. Den hyppigste mutation (R39C) medfører en delvis bevaret funktion af Sialin, og homozygote for denne mutationen har fænotypisk SS. Ved ISSD ses forskellige mutationer som stort set medfører ophævet funktion af Sialin. Klinisk intermediære former fremkommer ved kombination af R39C-mutationen og en af de mutationer, der forekommer ved ISSD (kompound heterozygote) [4].

Symptomer og fund ved SS og ISSD

De fleste børn med SS er asymptomatiske ved fødslen. Forsinket motorisk udvikling, hypotoni samt ataksi af truncus og ekstremiteter ses ofte i 4-12-månedersalderen. Der ses hyppigt forbigående nystagmus (30%) og senere divergerende skelen (50%). I andet leveår er den psykomotoriske retardering åbenlys. Spasticitet udvikles initialt mest udtalt i underekstremiteterne og ses i de første leveår hos børn med kompound heterozygot genotype og senere hos homozygote [1, 2]. Ca. 30% lærer aldrig at gå uden støtte. Op til en tredjedel får epilepsi. Ansigtstrækkene kan være grove. Talesproget er præget af dysartri og dyspraksi, og de fleste lærer kun at sige enkelte ord. Symptomerne progredier langsomt, og livslængden er næsten normal. Intellingskvotienten hos disse børn er 20-40 [2, 3, 5, 6].

Elektroencefalografi kan være normalt hos børn med SS, men viser hos voksne patienter low voltage (meget lave amplituder), som tegn på degenerativ lidelse eller dårligt udviklet hjerne [3, 5]. Nerveledningshastighed og elektromyografi er normal [1, 5, 6].

Hjernestammeaudiometri er normal [1, 5]. Der ses ingen forandringer af øjenbaggrunden, om end bleghed af papillen kan ses [7], elektroretinografi er normal [1, 3, 5, 6], og visuelt evokerede potentialer er kun i få tilfælde forsinkede [3, 5, 6].

Ved ISSD er intrauterin hydrops og acites hyppigt forekommende (60%). Børnene har grove ansigtstræk, lys hud, hepatomegali og svær psykomotorisk retardering og nogle har nefrotisk syndrom. Livslængden ved ISSD er ofte under to år [7].

MR-skanningsfund

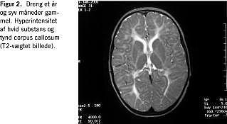
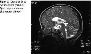
MR-skanning af cerebrum ved SS viser hypoplasi af corpus callosum og hyperintensitet af den subkorticale hvide substans (indikerer defekt myelinisering) (Figur 1 og Figur 2 ). Svært afficerede patienter har atrofi af cortex, hjernestamme og cerebellum samt cerebellar hypomyelinisering og periventrikulær hyperintensitet [8, 9].

Diskussion og differentialdiagnoser

Eksakt diagnosticering af patienter med psykomotorisk retardering er ofte vanskelig. Ved undersøgelse for lysosomale enzymaktiviteter vil man ikke kunne påvise SD eller ISSD. Undersøgelse for vakuolisering af lymfocytter kan være negativ hos børn med SS [1, 6]. Ved mistanke om SS skal der rekvireres specifik analyse for fri sialsyre (tyndtlagskromatografisk bestemmelse kan udføres på Klinisk Genetisk Afdeling, Rigshospitalet). Diagnosen SS kan bekræftes ved genetiske undersøgelser (foretages i bl.a. Holland), og der er mulighed for prænatal diagnostik [4, 7]. Behandling af SS er understøttende.

Det kliniske billede og MR-skanning af cerebrum kan minde om fundene ved Pelizaeus-Merzbachers sygdom. Ved denne X-bundne recessive leukodystrofi ses ligeledes nystagmus, ataksi, spasticitet og mental retardering og ved MR-skanning af cerebrum findes forandringer i den hvide substans (evt. »tigroid« udseende) samt hypoplasi af corpus callosum [8, 10], men hjernestammeaudiometrien er abnorm.

Fund af forhøjet fri sialsyre i urinen kan ses ved sialuri, som skyldes fejl i feedback-inhibering af sialsyresyntese [10].

Ved sialidose (mucolipidosis I), der skyldes mangel på lysosomal neuraminidase, udskilles forhøjede mængder bundet sialsyre [6, 10].

Vi antager, at SS er underdiagnosticeret og anbefaler un-dersøgelse af urin eller dyrkede fibroblaster for fri sialsyre ved udredning af børn med psykomotorisk retardering, ataksi og leukodystrofi ved MR-skanning.


Pia Sønderby Christensen, Børneafdelingen, Afsnit Nord, Aalborg Sygehus, DK-9100 Aalborg. E-mail: Pias@dadlnet.dk

Antaget: 19. august 2004

Interessekonflikter: ingen angivet


  1. Christensen PS, Kaad PH, Østergaard JR. Salla sygdom hos danske børn. Ugeskr Læger 2005;167:2292-3.
  2. Erikson A, Aula N, Aula P et al. Free sialic acid storage (Salla) disease in Sweden. Acta Paedi atr 2002;91:1324-7.
  3. Aula P, Autio S, Raivio KO et al. "Salla Disease": a new lysosomal storage disorder. Arch Neurol 1979;36:88-94.
  4. Aula N, Salomäki P, Timonen R et al. The Spectrum of SLC175A-Gene mutations resulting in free sialic acid-storage disease indicates some genotype-phenotype correlation. Am J Hum Genet 2000;67:832-40.
  5. Renlund M, Aula P, Raivio KO et al. Salla disease: a new lysosomal storage disorder with disturbed sialic acid metabolism. Neurology 1983;33:57-66.
  6. Renlund M. Clinical and laboratory diagnosis of Salla disease in infancy and childhood. J Pediatr 1984;104:232-6.
  7. Lemyre E, Russo P , Melancon SB et al. Clinical spectrum of infantile free sialic acid storage disease. Am J Med Genet 1999;82:385-91.
  8. Sonninen P, Autti T, Varho T et al. Brain involvement in Salla Disease. AJNR Am J Neuroradiol 1999;20:433-43.
  9. Linnankivi T, Lonnqvist T, Autti T. A case of Salla disease with involvement of the cerebellar white matter. Neuroradiologi 2003;45:107-9.
  10. Gahl WA, Schneider JA, Aula PP. Lysosomal transport disorders: cystinosis and sialic acid storage disorders. Zoghbi HY, Ballabio A. Pelizaeus-Merzbacher disease. I: Scriver CR, Beaudet AL, Sly WS et al, eds. The metabolic and molecular bases of inherited disease. USA: McGraw-Hill, Inc., 1995: 3763-97, 4581-5.



Sidebar placering
Venstrestillet
Article type
Journal
Magazine
Section
References

<ol class="Litt-list">
<li>Christensen PS, Kaad PH, Østergaard JR. Salla sygdom hos danske børn. Ugeskr Læger 2005;167:2292-3.</li>
<li>Erikson A, Aula N, Aula P et al. Free sialic acid storage (Salla) disease in Sweden. Acta Paediatr 2002;91:1324-7.</li>
<li>Aula P, Autio S, Raivio KO et al. "Salla Disease": a new lysosomal storage disorder. Arch Neurol 1979;36:88-94.</li>
<li>Aula N, Salomäki P, Timonen R et al. The Spectrum of SLC175A-Gene mutations resulting in free sialic acid-storage disease indicates some genotype-phenotype correlation. Am J Hum Genet 2000;67:832-40.</li>
<li>Renlund M, Aula P, Raivio KO et al. Salla disease: a new lysosomal storage disorder with disturbed sialic acid metabolism. Neurology 1983;33:57-66.</li>
<li>Renlund M. Clinical and laboratory diagnosis of Salla disease in infancy and childhood. J Pediatr 1984;104:232-6.</li>
<li>Lemyre E, Russo P , Melancon SB et al. Clinical spectrum of infantile free sialic acid storage disease. Am J Med Genet 1999;82:385-91.</li>
<li>Sonninen P, Autti T, Varho T et al. Brain involvement in Salla Disease. AJNR Am J Neuroradiol 1999;20:433-43.</li>
<li>Linnankivi T, Lonnqvist T, Autti T. A case of Salla disease with involvement of the cerebellar white matter. Neuroradiologi 2003;45:107-9.</li>
<li>Gahl WA, Schneider JA, Aula PP. Lysosomal transport disorders: cystinosis and sialic acid storage disorders. Zoghbi HY, Ballabio A. Pelizaeus-Merzbacher disease. I: Scriver CR, Beaudet AL, Sly WS et al, eds. The metabolic and molecular bases of inherited disease. USA: McGraw-Hill, Inc., 1995: 3763-97, 4581-5.</li>
</ol>

Woodwing Id
257835
Fil
English summary

Summary Salla disease Ugeskr L&aelig;ger 2005;167: 2270-2271 Salla disease is a neurodegenerative lysosomal storage disorder. The mode of inheritance is autosomal recessive. The major symptoms are psychomotor retardation and ataxia. Findings on MRI are hyperintensity of the subcortical white matter of the cerebrum and hypoplasia of the corpus callosum. Free sialic acid accumulates in the lysosomes and is excreted in excessive amounts in the urine. A routine screening test for lysosomal storage disorders does not reveal this, and the disease may be underdiagnosed. Salla disease should be considered amongst Danish patients.

Bib ref
Ugeskr Læger 2005;167(21): 2270-2271
Authors

Reservelæge Pia Sønderby Christensen, overlæge Per-Henrik Kaad & overlæge John Rosendahl Østergaard Aalborg Sygehus, Børneafdelingen, Sygehus Vendsyssel, Børneafdelingen, og Skejby Sygehus, Børneafdelingen

0 likes
Read time
6