Medlem i

12 years 10 months
Indholdselementer

Reversibelt cerebralt vasokonstriktionssyndrom (RCVS) skyldes abnorm sammentrækning af hjernens pulsårer. Kardinalsymptomet ved RCVS er akut indsættende hovedpine, men gradvist indsættende hovedpine kan ses, og få patienter har ikke hovedpine. Personer med RCVS oplever som oftest gentagne hovedpineanfald over dage til uger. RCVS kan ses hos patienter i alle aldre, men er hyppigst i 40-års alderen. Risikofaktorer er kvindeligt køn, ikkebristede sakulære hjerneaneurismer, migræne og brug af vasokonstriktoriske stoffer (f.eks. kokain).

RCVS er ofte ufarligt, men i få tilfælde kan karspasmerne medføre neurologiske symptomer som ændret bevidsthed, lammelser, talebesvær, kramper og sjældent død. Disse symptomer forårsages af enten blodpropper/blødning i hjernen, ødem omkring hjernecellerne (kaldet posterior reversibel encefalopati-syndrom) eller epileptisk aktivitet [1, 2]. Diagnosen RCVS stilles ud fra en sygehistorie med akut indsættende hovedpine og påvisning af segmentære forsnævringer af hjernens arterier ved CT med angiografi. De vigtigste differentialdiagnoser er subaraknoidalblødning forårsaget af et bristet aneurisme samt carotis- eller vertebralisdissektion [3, 4] (Tabel 1).

Sidebar placering
Venstrestillet
Billede
Sidebar placering
Venstrestillet

SYGEHISTORIE

En 61-årig, tidligere rask kvinde fik over få dage gentagne anfald af dunkende tordenskraldshovedpine og forbigående hukommelsesproblemer. Det første anfald kom under en vandretur i bjergene. Ved indlæggelsen viste en neurologisk undersøgelse, CT af hjernen (uden angiografi) og undersøgelse af cerebrospinalvæsken (inklusive xantokromi) alle normale forhold, men hendes systoliske blodtryk var over 200 mmHg. Hun blev udskrevet samme dag, men de følgende dage fik hun tre lignende anfald med tordenskraldshovedpine og blev genindlagt. Igen viste den neurologiske undersøgelse normale forhold, men CT med angiografi viste svære karforsnævringer flere steder i hjernen samt et mindre aneurisme i arteria carotis interna. Man påbegyndte peroral behandling med nimodipin, en vasodilaterende calciumantagonist, 60 mg seks gange dagligt. Hun havde konstant nakke-hovedpine, som gradvist fortog sig fra dag fem. Trods nimodipinbehandling fik hun forbigående nedsat hørelse på det ene øre og to nye anfald med tordenskraldshovedpine på dag seks og otte. Blodprøver og MR-skanning af hjernen viste på dette tidspunkt normale forhold. På dag ti havde hun ikke flere anfald med tordenskraldshovedpine og blev udskrevet med nimodipinbehandling i seks uger.

DISKUSSION

Sygehistorien er et typisk tilfælde af RCVS, fordi patienten havde gentagne anfald med tordenskraldshovedpine. Det skal dog understreges, at diagnosen RCVS først kan stilles, når klinikeren har udelukket en aneurismeudløst subaraknoidalblødning, hvilket hos patienten i sygehistorien blev gjort efter det første tilfælde af tordenskraldshovedpine. Ved CT-angiografien påviste man karforsnævringer, men det kan i nogle tilfælde være nødvendigt at gentage skanningen efter en uge for at påvise disse forsnævringer.

Subaraknoidalblødning kan også ses i forbindelse med RCVS, men det er yderst vigtigt at udelukke et bristet aneurisme som årsag til subaraknoidalblødningen, da risiko for reblødning og død som følge af et bristet aneurisme er høj [5]. Derudover er det vigtigt at udelukke andre årsager til tordenskraldshovedpine, såsom posterior reversibel encefalopati-syndrom, blodpropper/blødning i hjernen eller neuroinfektion (Tabel 1). Derfor kræver udredningen ofte en MR-skanning af hjernen. Andre primære årsager til tordenskraldshovedpine kan være hovedpine i forbindelse med orgasme (benign postcoital hovedpine), fødsel (postpartum hovedpine) og migræne eller hovedpine ved hoste, Valsalvas manøvre og træning [2], men flere af disse kan også være symptomer på RCVS.

Sidebar placering
Venstrestillet
Billede
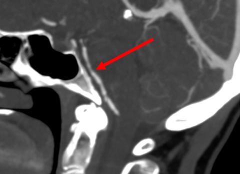
Sagittalt snit af arteria basilaris med karspasmer (pil). Tegnet kaldes »perler på en snor« og er klassisk for reversibelt cerebralt vasokonstriktionssyndrom.
Caption
Sagittalt snit af arteria basilaris med karspasmer (pil). Tegnet kaldes »perler på en snor« og er klassisk for reversibelt cerebralt vasokonstriktionssyndrom.
Sidebar placering
Venstrestillet

Behandlingen af RCVS varierer afhængigt af symptomer og fund. Man stræber efter et systolisk blodtryk på 90-180 mmHg, og man kan forsøge med nimodipin som kardilaterende behandling, men der mangler evidens for effekten af dette. I yderst sjældne tilfælde med udtalt karkonstriktion, der medfører iskæmi, kan endovaskulær terapi overvejes. Hvis patienten får kramper, kan der gives antiepileptisk behandling (f.eks. valproat eller levetiracetam). Som smertestillende middel gives paracetamol og morfika. Steroid har ingen plads i behandlingen af RCVS, medmindre man har mistanke om vaskulitis (Tabel 1).

Prognosen ved RCVS er god, fordi under 5% får store blodpropper eller hjerneødem, som kan medføre svære handikap eller død. Risikoen for nye tilfælde af RCVS er lille, så hvis en patient et år senere atter får akut indsættende hovedpine, bør sekundære årsager igen udelukkes.



KORRESPONDANCE: Anna Nordlund Kessel. E-mail: anna.nordlund.kessel@regionh.dk, annankessel@gmail.com
ANTAGET: 8. april 2020
PUBLICERET PÅ UGESKRIFTET.DK: 25. maj 2020
INTERESSEKONFLIKTER: Forfatternes ICMJE-formularer er tilgængelig sammen med artiklen på Ugeskriftet.dk
LITTERATUR: Findes i artiklen på Ugeskriftet.dk

Sidebar placering
Venstrestillet
Article type
Journal
Magazine
Section
References

Litteratur

  1. Sattar A, Manousakis G, Jensen MB. Systematic review of reversible cerebral vasoconstriction syndrome. Expert Rev Cardiovasc Ther 2010;8:1417-21.

  2. Singhal AB, Topcuoglu MA, Fok JW et al. Reversible cerebral vasoconstriction syndromes and primary angiitis of the central nervous system: clinical, imaging, and angiographic comparison. Ann Neurol 2016;79:882-94.

  3. Rocha EA, Topcuoglu MA, Silva GS et al. RCVS2 score and diagnostic approach for reversible cerebral vasoconstriction syndrome. Neurology 2019;92:e639-e647.

  4. van der Wee, Rinkel GJ, Hasan D et al. Detection of subarachnoid haemorrhage on early CT: is lumbar puncture still needed after a negative scan? Neurol Neurosurg Psychiatry 1995;58:357-9.

  5. Leblanc R. The minor leak preceding subarachnoid hemorrhage. J Neurosurg 1987;66:35-9.

Woodwing Id
22550
Fil
Conflict of interest
English title
Reversible cerebral vasoconstriction syndrome causing acute-onset headache
English summary

Anna Nordlund Kessel, Christian Peter Midtgaard Stenør, Waseem Ahmad &

Magnus Spangsberg Boesen:

Ugeskr Læger 2020;182:V01200045

Reversible cerebral vasoconstriction syndrome is caused by narrowing of cerebral arteries. The cardinal symptom is relapsing acute-onset headache also known as thunderclap headache, which may be accompanied by neurologic deficits. This is a case report of a 61-year-old woman with CT angiography-verified reversible cerebral vasoconstriction syndrome. We discuss the diagnostic work-up, i.e. lumbar puncture including test for xanthochromia and important brain imaging, differential diagnoses and treatment of the most important causes of thunderclap headache.

Authors workplaces

1) Afdeling for Hjerne- og Nervesygdomme, Herlev Hospital, 2) Det Sundhedsvidenskabelige Fakultet, Københavns Universitet, 3) Afdeling for Røntgen og Skanning, Herlev Hospital, 4) BørneUngeKlinikken, Rigshospitalet

Ugeskr Læger 2020;182:V01200045

Bib ref
UgeskrLæger 2020;182:V01200045
Article number
V01200045
Authors

Anna Nordlund Kessel1, Christian Peter Midtgaard Stenør1, 2, Waseem Ahmad3 & Magnus Spangsberg Boesen1, 4

0 likes