Medlem i

13 years 1 month
Indholdselementer

Angiomyolipom (AML) er en overvejende benign
tumor, som består af blodkar, glat muskelvæv og fedtvæv. Det er en sjælden lidelse, som er fundet hos 0,1% af mændene og 0,22% af kvinderne i Japan [1]. AML er oftest manifesteret som en solitær tumor, men kan også findes i form af multiple læsioner i forskellige organer. AML er overvejende symptomfrie, men kan give forskellige symptomer afhængigt af størrelse og placering. Patienterne har ofte flankesmerter og mikroskopisk eller makroskopisk hæmaturi [1]. Afhængigt af tumorstørrelse og aneurismestørrelse kan AML også debutere i form af spontan atraumatisk blødning i retroperitoneum, Wunderlichs syndrom [2, 3].

SYGEHISTORIE

En yngre kvinde blev indlagt med akut indsættende venstresidige flanke- og abdominalsmerter. Hun var bleg, klamtsvedende samt dyspnøisk og havde en udtalt palpationsøm udfyldning i venstre flanke.

Blodtrykket blev målt til 145/84 mmHg og pulsen til 63 slag/minut. Det initiale hæmoglobinniveau var 6,9 mmol/l, og trods blodtransfusion faldt det til 4,6 mmol/l på godt to timer. En arterieblodprøve viste respiratorisk alkalose, der efter to timer udviklede sig til metabolisk acidose.

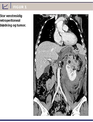
En akut udført CT af abdomen viste en 12 × 10 × 9 cm tumor i venstre nyres øvre pol og stor retroperitoneal blødning. Tumoren blev fundet at være forenelig med diagnosen AML (Figur 1).

Sidebar placering
Venstrestillet
Billede
Sidebar placering
Venstrestillet

Da patienten havde faldende hæmoglobinniveau og vigende blodtryk, blev der aftalt akut overflytning til et døgnbemandet emboliseringsafsnit mhp. invasiv radiologi og embolisering. Under transporten måtte patienten transfunderes med fem SAG-M, fire portioner kolloid ekspander og to liter isotonisk NaCl. Ved ankomst blev der udført renal angiografi, hvorved der blev fundet to blødende arteriegrene. Disse blev lukket ved selektiv embolisering (Figur 2).

Sidebar placering
Venstrestillet
Billede
Sidebar placering
Venstrestillet

Ved en efterfølgende ambulant kontrol blev der konstateret renografi med lateraliseret nyrefunktion med en funktionsfordeling på 72/28%. Der blev ikke fundet kreatininpåvirkning. Yderligere viste CT-urografi AML som underliggende årsag. På baggrund af patientønske blev der senere foretaget total nefrektomi.

DISKUSSION

I en metaanalyse af Zhang et al blev der i årene 1985-1999 fundet 165 beskrevne tilfælde af Wunderlichs syndrom på verdensplan. Renalt AML var den hyppigste årsag og udgjorde ætiologien for knap en tredjedel (48/165) af alle tilfælde, mens renalcellekarcinom (RCC) udgjorde godt en fjerdedel (43/165) [3]. Et akut tilfælde vil typisk vise sig i form af pludseligt indsættende unilaterale flankesmerter uden forudgående traume, palpabel smertefuld udfyldning i flanken og varierende grad af cirkulatorisk påvirkning pga. hypovolæmi [4].

Diagnosen stilles med CT, idet man vha. ultralydskanning kun identificerer blødning i 56% af tilfældene, mens man ved CT finder 100%. Samtidig ses korrekt ætiologi kun med en sensitivitet og specificitet for UL på 0,11 og 0,33 henholdsvis 0,57 og 0,82 for CT [3]. Pga. den begrænsede specificitet af undersøgelserne er RCC, som årsag til Wunderlichs syndrom, en vigtig differentialdiagnostisk overvejelse. Det er vigtigt i det efterfølgende forløb at sikre en korrekt diagnose og udelukke RCC.

Den akutte behandling består af initial kredsløbsstabilisering og efterfølgende embolisering af de involverede nyrearterier. Foruden at stoppe blødningen er denne behandling potentielt nyrebevarende. Alternativt kan der anvendes radiofrekvensablation, kryoablation eller kirurgisk nefrektomi. Profylaktisk fokuserer man i behandlingen af renale AML på at mindske risikoen for akut blødning, hvilket er direkte korreleret til tumorstørrelse. AML < 4 cm er oftest stabile, mens der i op mod 50% af AML > 4 cm opstår spontan retroperitoneal blødning. Det anbefales derfor ikke at intervenere mod forandringer < 4 cm. Forandringer på 4-8 cm bør følges med hyppige skanninger og behandles, hvis der ses betydelig vækst eller ændringer i patientens gener. Forandringer > 8 cm indebærer en betydelig blødningsrisiko [5].

Renalt AML med Wunderlichs syndrom er en sjælden, men potentielt dødelig tilstand. Den viser sig typisk i form af pludselige unilaterale flankesmerter uden forudgående traume, palpabel smertefuld udfyldning i flanken og varierende grad af cirkulatorisk påvirkning. Som det belyses i ovenstående sygehistorie, er der behov for akut diagnostik og højtspecialiseret intervention. Ved mistanke bør der udføres akut CT og ved igangværende blødning skal videre behandling, hvis muligt, varetages på en enhed, hvor der er mulighed for invasiv radiologi.

Korrespondance: Lasse Bro, Urologisk Afdeling, Sydvestjysk Sygehus, Finsensgade 35, 6700 Esbjerg. E-mail: lasse.bro@rsyd.dk

Antaget: 2. september 2014

Publiceret på Ugeskriftet.dk: 10. august 2015

Interessekonflikter:

Sidebar placering
Venstrestillet
Article type
Journal
Magazine
Section
References

<h2>LITTERATUR</h2>
<ol type="d">
<li><p>Nelson CP, Sanda MG. Contemporary diagnosis and management of renal angiomyolipoma. J Urol 2002;168:1315-25.</p></li>
<li><p>Bissler JJ, Kingswood JC. Renal angiomyolipomata. Kidney Int 2004;66:924-34.</p></li>
<li><p>Zhang JQ, Fielding JR, Zou KH. Etiology of spontaneous perirenal hemorrhage: a meta-analysis. J Urol 2002;167:1593-6.</p></li>
<li><p>Albi G, del Campo L, Tagarro D. Wünderlich’s syndrome: causes, diagnosis and radiological management. Clin Radiol 2002:57:840-5.</p></li>
<li><p>Dickinson M, Ruckle H, Beaghler M et al. Renal angiomyolipoma: optimal treatment based on size and symptoms. Clin Nephrol 1998;49:281-6.</p></li>
</ol>

Woodwing Id
60703
Fil
Conflict of interest
English title
Renalt angiomyolipoma with spontaneous retroperitoneal bleeding
English summary

Angiomyolipoma (AML) is a benign tumour composed predominantly of blood vessels, smooth muscle tissue and adipose tissue. It is a rare disorder found in 0.1% of men and 0.22% of women. AML is most often manifested as a solitary tumor, but can also be found with multiple lesions in various organs. AML is predominantly asymptomatic, but may present with different symptoms depending on the size and position. Patients often have flank pain and microscopic or macroscopic haematuria. AML can also debut with spontaneous atraumatic bleeding in the retroperitoneum, Wunderlichs syndrome.

Authors workplaces

1) Urologisk Afdeling, Sydvestjysk Sygehus
2) Medicinsk Afdeling, Sydvestjysk Sygehus
3) Urologisk Afdeling L, Odense Universitetshospital

Ugeskr Læger 2015;177:V06140322

Bib ref
Ugeskr Læger 2015;177:V06140322
Article number
V06140322
Authors

Lasse Bro1, Charles Boy Kromann2, Gjertrud Egge Wennewik3 & Margrethe Andersen3

0 likes