Medlem i

13 years 1 month
Indholdselementer

Onkocytom er den almindeligste benigne nyretumor og består af onkocytære celler, som stort set udelukkende indeholder kerner og mitokondrier [1].

Onkocytom blev beskrevet første gang af Zippel
i 1942 og sidenhen af Klein & Valensi. Onkocytomet blev først opdaget hos patienter med Birt-Hogg-Dube-syndrom. Det kan koeksistere med renalcellekarcinom og angiomyolipom [1]. Renal onkocytose er først beskrevet i 1982 i en kasuistik, hvor en patient havde bilateral diffus renal involvering med over 200 onkocytomer [2].

SYGEHISTORIE

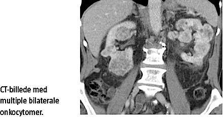
En 77-årig mand blev undersøgt på grund af stigende kreatininniveau og faldende glomerular filtrationsrate. Han havde ingen urinvejssymptomer. En UL-skanning af nyrerne viste multiple, heterogene solide tumorer bilateralt. En CT viste multiple, veldefinerede tumorer, hvoraf de større havde central hypoattenuering. Der blev foretaget bilateral nyrebiopsi, og malignitet kunne ikke udelukkes. Herefter blev der udført højresidig nefrektomi, efter at en renografi havde vist, at højre nyre varetog 42% af den samlede nyrefunktion. Nyren målte 12,5 × 7 × 4 cm og indeholdt talrige, op til 4 cm store gyldentbrune tumorer. Den histologiske undersøgelse, der omfattede immunhistokemi, sandsynliggjorde, at der var tale om et onkocytom og ikke et kromofobt karcinom. Ved elektronmikroskopering (EM) bekræftedes diagnosen. Der var postoperativt et godt forløb, bortset fra en stigning i kreatininniveauet fra 120 til 180 mikromol/l.

Sidebar placering
Venstrestillet
Billede
Sidebar placering
Venstrestillet

DISKUSSION

Onkocytomer klassificeres som benigne tumorer, men kerneatypi forekommer hos 12-30% og infiltration af perirenalt fedtvæv hos 11-20%. Nekrose ses stort set aldrig [1].

Ætiologien er stadig uklar, men immunhistokemiske undersøgelser peger i retning af oprindelse fra indskudsceller fra samlerørene. Cytogenetisk udviser onkocytomceller både normale og abnorme kariotyper. De mest almindelige abnormaliteter er tab af kromosom 1 og kromosom Y, deletioner i kromosom 14 samt rearrangement af kromosom 11q13. Disse fund adskiller onkocytom fra renalcellekarcinom [1].

Onkocytomer udgør 3-5% af alle nyretumorer hos voksne. Lidelsen rammer især mænd (2-3:1) med den højeste incidens hos 60-80-årige [3]. To tredjedele af onkocytomerne opdages tilfældigt, resten giver symptomer som hæmaturi, flankesmerter eller fornemmelse af tyngde i flanken [3].

Onkocytomer vokser kortikalt og er homogene og velafgrænsede neoplasier uden kapsel. De vokser sjældent ind i det perirenale fedtvæv. Makroskopisk er onkocytomer typisk mahognibrune med et centralt stjerneformet ar. Arret er et avaskulært område, som udvikles i takt med, at tumoren vokser. Størrelsen kan variere. Som regel er onkocytomer solitære. Multiple eller bilaterale tumorer udgør 5-6%. Onkocytose omfatter de tilfælde, hvor multiple onkocytomer vokser ind i de tilstødende nyretubuli [1].

Onkocytomer kan påvises med flere radiologiske metoder. Med UL-skanning kan man finde hypo-,
iso- og hyperekkoiske tumorer. Centralt udstrålende blodkar kan identificeres med farve–Doppler-UL [4]. Med CT ses en velafgrænset, homogen og hypervaskulær nodulus. Homogeniteten brydes centralt i onkocytomet, når det har et centralt ar [5]. Med MR-skanning ses onkocytomer som en velafgrænset homogen masse, der er iso- eller hypointense sammenlignet med den omkringliggende cortex. En centralt udstrålende struktur kan ses i store noduli [5].

De billeddiagnostiske fund har dog en lav prædiktiv værdi, da fundene ved renalcellekarcinom også kan have lignede træk. Også histopatologisk er det vanskeligt at skelne de to tumorer fra hinanden, da onkocytomer immunhistokemisk kan ligne kromofobe karcinomer. Med EM er man i stand til at skelne mellem de to differentialdiagnoser, og i dag udføres der EM på de fleste onkocytære tumorer, hvor clear cell-karcinom og papillært karcinom er udelukket immunhistokemisk. Mange urologer anbefaler aggressiv behandlingsstrategi omfattende termisk ablation og partiel eller radikal nefrektomi. Prognosen postoperativt er god. Der er ikke rapporteret om recidiv i cikatricen, og de få tilfælde af metastaser, som findes beskrevet, omfatter sandsynligvis kromofobe karcinomer snarere end onkocytomer [3].

Korrespondance: Abbas El Jammal, Radiologisk Afdeling, Holstebro Sygehus, Lægårdvej 12 C, 7500 Holstebro. E-mail: dr_abbas_jammal@hotmail.com

Antaget: 1. april 2013

Publiceret på Ugeskriftet.dk: 5. august 2013

Interessekonflikter: ingen.

Sidebar placering
Venstrestillet
Article type
Journal
Magazine
Section
References

<h2>Litteratur</h2>
<ol type="d">
<li><p>Murphy W, Grignon D, Perlman E. Tumors of the kidney, bladder, and related urinary structures. Atlas of Tumor Pathology. 4th series. 2004:164-75. </p></li>
<li><p>Adamy A, Lowrance W, Yee D et al. Renal oncocytosis: management and clinical outcomes. J Urology 2011;185:795-801. </p></li>
<li><p>Ahmad S, Manecksha R, Hayes B et al. Case report of a symptomatic giant renal oncocytoma. Int J Surg 2011;2:83-5. </p></li>
<li><p>Rumack C, Wilson S, Charboneau JW. Diagnostik Ultrasound. 1997;1:358-61.</p></li>
<li><p>Fredle M, Jeffery RB, Desser T et al. Diagnostik imaging abdomen. 2004;3:84-7.</p></li>
</ol>

Woodwing Id
48779
Fil
Conflict of interest
English title
Renal oncocytosis is a diagnostic challenge
English summary

Renal oncocytosis is a rare variant of renal oncocytoma with multiple, often bilateral oncocytomas. This case report discusses radiological and pathological aspects of renal oncocytoma and oncocytosis.

Authors workplaces

1) Radiologisk Afdeling, Holstebro Sygehus
2) Patologisk Institut, Aarhus Universitet

Ugeskr Læger 2015;177:V08120453

Bib ref
Ugeskr Læger 2015;177:V08120453
Article number
V08120453
Authors

Abbas El Jammal1 & Søren Høyer2

0 likes