Medlem i

13 years 1 month
Indholdselementer
Billede
Sidebar placering
Venstrestillet
Billede
Sidebar placering
Venstrestillet
Billede
Sidebar placering
Venstrestillet


Introduktion: Radiofrekvensablation (RFA) er en minimalt invasiv behandling af maligne levertumorer. Vi har med dette pilotstudie ønsket at teste teknikken og metodens evne til lokal tumorkontrol. Behandlingerne er udført enten perkutant hos patienter, som blev vurderet som værende inoperable, eller peroperativt i forbindelse med partiel hepatektomi for at destruere ikke resecerbare tumorer.

Materiale og metoder: Fjorten patienter med levermetastaser fra kolorektale (11) eller endokrine (tre) tumorer blev RFA-behandlet med afkølet elektrodeteknik. Elektroderne blev placeret i de behandlede tumorer under UL-vejledning. To patienter blev ekskluderet af undersøgelsen, og hos de resterende 12 patienter blev der under 26 sessioner behandlet i alt 52 metastaser (7-50 mm i diameter). Behandlingskontrol blev udført ved CT og UL-vejledte biopsier efter en, tre og seks måneder.

Resultater: Der blev opnået komplet respons i 89% af de behandlede tumorer vurderet efter en observationstid på 4-35 måneder (median 15 måneder). Komplikationer til behandlingen opstod i fem af de 26 behandlingsseancer, hvor den alvorligste var udvikling af en galdeblærefistel.

Diskussion: RFA er en lovende ny metode til behandling af maligne levertumorer. I den kliniske anvendelse har man kunnet opnå lokal tumorkontrol i omkring 90% af de behandlede tumorer. De patienter, man har behandlet, har været inoperable, men trods dette er overlevelsesdata opmuntrende. Metodens endelige plads i forhold til kirurgi i behandlingen af levertumorer bør afklares i større, prospektive, randomiserede serier med lang observationstid. RFA er en tiltalende behandling for patienterne på grund af det lille operative traume, den lave komplikationsfrekvens og for sundhedsvæsenet på grund af de lave omkostninger.

Der findes i dag adskillige muligheder for behandling af levermetastaser (1). Valget baseres væsentligst på histologi, stadium og placering af primærtumoren, omfanget af leverinvolveringen, tilstedeværelsen af ekstrahepatiske metastaser og patientens generelle kliniske tilstand. Prognosen for patienter med ubehandlede levermetastaser af kolorektal oprindelse er ringe med rapporteret femårsoverlevelse på <1% og en medianoverlevelse på 6-12 måneder (2, 3). Ved levermetastaser fra kolorektal cancer anbefales normalt lokal behandling, idet metastaser ved denne cancer oftest kun udvikles i leveren. Af fokale terapier anses kirurgi for at være førstebehandling, men kun få patienter (10-20%) er egnede til kirurgisk resektion. Femårsoverlevelsen ligger typisk mellem 25% og 37%, afhængig af patientselektion. Potentielt kurative, men mindre invasive alternativer til kirurgisk resektion inkluderer perkutane og peroperative, termale, ablative metoder som kryoterapi (4), interstitiel laser (5, 6), hypertermi (7), radiofrekvensablation (RFA) (8) og kemiske metoder såsom intratumeral injektion af ethanol (9) samt stereotaktisk strålebehandling.

Vi har som led i et pilotprojekt undersøgt RF-teknikken og dennes effektivitet over for lokal tumorkontrol ved behandling af maligne levertumorer. Metoden er anvendt som led både i en perkutan og en peroperativ behandling.

Materiale og metoder

Patientpopulation

Patienter med kendte fokale levermetastaser, som vurderes som inoperable, som har recidiv efter tidligere operativ leverresektion, eller som ikke ønsker at modtage kirurgisk behandling, er prospektivt inkluderet i undersøgelsen. Undersøgelsen er godkendt af den lokale videnskabsetiske komité (j.nr. 1998/4270). Der er i perioden fra maj 1998 til oktober 2000 behandlet 14 patienter (Tabel 1 ). Patienterne, ti mænd og fire kvinder, 41-72 år gamle (median 61 år), havde alle underskrevet informeret samtykke.

Vi har under projekter behandlet patienter med to typer tumorer, nemlig metastaser fra kolorektale og neuroendokrine cancere.

Inklusionskriterierne for perkutan behandling af levermetastaser var: biopsiverifikation, fire eller færre tumorer, mindre end 4 cm i diameter, skulle kunne erkendes visuelt ved kontrast-CT og ingen ekstrahepatisk tumor.

Eksklusionskriterierne var: tumorens afstand mindre end 1 cm fra vitale strukturer, såsom porta hepatis, galdeblæren, tarm, vena cava inf. og aorta samt ukontrollerbar koagulopati.

Behandling

En RF-generator genererer en spændingsforskel mellem to udgangsterminaler. Når disse er tilsluttet elektroder, der er placeret på patientens krop, vil en strøm genereres mellem elektroderne gennem vævet. Kroppen bliver derved et element i et elektrisk kredsløb (Fig. 1 ). Den aktive elektrode har form som en nål og anbringes i den læsion, som ønskes behandlet. Den passive elektrode har en stor overflade for at fordele varmeeffekten over et stort areal. Den anbringes typisk på patientens lår.

Vi har brugt en 480 kHz CC1-generator, som leverer en maksimal effekt på 200 W gennem en 17 gauge monopolar afkølet elektrode. Vi har anvendt enten en enkelt elektrode med en aktiv 2 cm eller 3 cm lang, aktiv spids eller en trebenet elektrode med 2,5 cm lang, aktiv distal ende. Generatoren tillader permanent monitorering af impedansen mellem den aktive del af den afkølede elektrode og de passive elektroder, der er placeret på patientens lår. En termosensor er indlagt i spidsen af elektroden og anvendes til kontinuerlig monitorering af temperaturen i spidsen af den aktive nål.

Kontrol af behandling

Radiologisk kontrol af behandlingen blev udført ved CT og UL-scanning af leveren efter en, tre og seks måneder samt UL-vejledt biopsi fra kanten af det behandlede område ved seksmånederskontrollen eller eventuelt tidligere, hvis billeddiagnostik gav mistanke om recidiv eller ubehandlede områder.

CT-undersøgelsen blev udført med en spiralscanner. Alle patienter fik 120 ml Omnipaque (iohexol) 320 mg/ml i.v. med en injektionshastighed på 2 ml/s. Leveren blev scannet med 5 mm snittykkelse og pitch 1,6 efter 60 sekunder (portalfase) og ca. 10 minutter (forsinket fase). Billederne blev rekonstrueret med 4 mm's interval.

Behandlingseffekten blev vurderet som komplet nekrose i tilfælde, hvor CT'en viste en velafgrænset, homogen, lavattenuerende proces i det RF-behandlede område. Det behandlede område skulle have en diameter, der var 1 cm større end den oprindelige tumor, og have samme form og størrelse i den forsinkede fase som udtryk for komplet nekrose. Finnålsbiopsier fra kanten af behandlet område skulle være uden tumorceller.

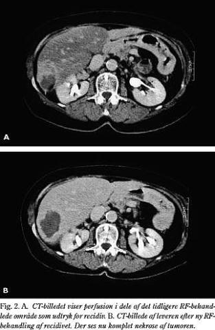
Hvis CT-billedet viste et uregelmæssigt afgrænset behandlingsområde med perfusion i dele af det behandlede område eller delvis kontrastopfyldning af RF-ablationen i den forsinkede fase, blev det vurderet som inkomplet nekrose (Fig. 2 ).

Såfremt der fandtes rest af tumorvæv i det koagulerede område, eller der ved kontroller fandtes nytilkomne metastaser (antal 4), blev der foretaget en ny RF-ablation.

Resultater

Vi har behandlet i alt 14 patienter, 11 patienter med levermetastaser fra kolerektal cancer og tre patienter med metastaser fra neuroendokrin tumor. De 13 patienter blev perkutant behandlet, og en patient blev peroperativt RF-behandlet i forbindelse med kirurgisk resektion. To patienter med kolorektale metastaser blev ekskluderet af projektet. Den ene blev ekskluderet, fordi der i forbindelse med første kontrolundersøgelse efter RF-behandling blev konstateret lokal recidiv i bækkenet. Den anden patient blev oprindelig vurderet inoperabel og fik RF-behandlet i alt tre levermetastaser. På grund af komplikationer til behandlingen (galdeblæreperforation, se komplikationer nedenfor) blev patienten opereret, og peroperativt fandt man patienten operabel og foretog derfor resektion af levertumorerne.

Resultatet af behandlingen af de resterende 12 patienter fremgår af Tabel 1. Der blev hos disse patienter behandlet i alt 52 metastaser. Tumorrespons på behandlingen blev vurderet efter seks måneder, men hos de patienter, der har gået længere i kontrolregi, indgår aktuel status i opgørelsen. Patienter, som har fået konstateret recidiv i leveren lokalt eller i lungerne efter de seks måneders protokolleret kontrol, vil i de fleste tilfælde have modtaget anden terapi, hvilket naturligvis kan have indflydelse på overlevelsen, hvorfor opgørelsen skal ses i lyset af dette.

Totalt er der udført 26 behandlingsseancer på de 12 patienter. I fire tilfælde er der udført yderligere RFA pga. inkomplet behandlingsrespons. I de øvrige pga. nytilkomne metastaser i leveren, der blev diagnosticeret under kontrolforløbet.

Seks patienter er tumorfri, heraf to med primær neuroendokrin tumor og fire med primær kolorektal cancer. Hos de øvrige fem overlevende fandtes aktive tumorer udelukkende i leveren hos fire og både i leveren og lungerne hos den sidste.

Komplikationer

Vi har oplevet komplikationer til behandlingen i fem af de 26 behandlingsseancer. Den alvorligste var udvikling af en galdeblærefistel, der opstod ved behandling af en tumor i segment IV. Patienten havde kun lette smerter, men var febril i 4-5 dage efter behandlingen. Komplikationen blev først opdaget ved kontrollen efter en måned, og patienten blev opereret umiddelbart derefter. En anden patient oplevede længerevarende smerter og feber i op til tre uger efter behandlingen. En CT gav mistanke om abscesudvikling i en af de fire behandlede metastaser. Der blev foretaget UL-vejledt aspiration fra området, men dyrkningen af aspiratet viste et negativ resultat. Symptomerne og de billeddiagnostiske forandringer aftog under konservativ behandling. Hos en tredje patient blev der i kontrolforløbet konstateret en ny metastase overfladisk i leveren. Tumoren var opstået i indstiksstedet fra en tidligere biopsi og kan muligvis være et udsæd. Metastasen blev behandlet med ny RF-ablation. En fjerde patient klagede over stærke mavesmerter i efterforløbet og blev indlagt kortvarigt til observation. Patienten havde en pneumoni, men man fandt ingen forklaring på mavesmerterne. Den femte patient rapporterede om smerter og feber i 14 dage, men dette medførte ikke indlæggelse.

I starten af projektet kunne vi hos to patienter konstatere overfladisk forbrænding med blæredannelse under de passive elektroder. Elektroderne havde været placeret i forlængelse af hinanden på samme lår. Siden har vi placeret de passive elektroder på hvert lår og har ikke siden observeret lignende problemer.

Diskussion

Kolorektal cancer er en hyppig lidelse, med en forekomst i Danmark på ca. 3.200 nye tilfælde om året (10). På diagnosetidspunktet vil ca. 25% have levermetastaser (synkrone metastaser), og yderligere 25% vil senere udvikle levermetastaser (metakrone metastaser) (11, 12).

I Danmark undersøges patienterne ikke rutinemæssigt efter operation for kolorektal cancer (13), og følgelig vil en stor del være inoperable på diagnosetidspunktet. Af de ca. 1.600 patienter om året med levermetastaser burde ca. 400 være operable (14) i teknisk forstand, men nogle vil være uegnede på grund af konkurrerende lidelser eller alder.

Lokal termoablativ behandling vil kunne anvendes på patienter, som anses for inoperable pga. tumorlokalisation, der ikke sikrer tilstrækkelig restlever til, at leverfunktionen kan sikres efter resektion, endvidere på patienter som er inoperable pga. alder eller konkurrerende lidelser. En anden gruppe er patienter, der responderer på kemoterapi således, at resttumorbyrden er tilgængelig for lokalbehandling.

Langtidseffekten af termale ablationsteknikker er endnu kun sparsomt belyst i litteraturen, men metoden er taget i anvendelse ved mange centre, og resultaterne herfra udgives i stort tal i diverse radiologiske og kirurgiske tidsskrifter i disse år.

Gillams & Lees (15) rapporterer om en medianoverlevelse på 27 måneder hos 69 behandlede patienter. Et-, to-, tre- og fireårsoverlevelsesraterne var henholdsvis 90%, 60%, 34% og 22%.

Marck MG et al (6) har opgjort resultaterne af 393 konsekutivt behandlede patienter med inoperable kolorektale levermetastaser. De har hos disse patienter behandlet i alt 1.203 metastaser med MR-vejledt laserablation. Den mediane overlevelse var 41,8 måneder. Etårsoverlevelsesraten var 93%, toårsoverlevelsesraten var 74%, treårsoverlevelsesraten var 50% og femårsoverlevelsesraten var 30%. Komplikationsraten blev opgjort til 7,5%, heraf blev 1,3% angivet som værende klinisk relevant, og 30-dages-mortaliteten var 0,2%.

Thierry de Baere et al (16) har behandlet 68 patienter med 121 metastaser både ved perkutan (47) og peroperativ (21) RFA. Komplet respons blev opnået ved 91% af de behandlede metastaser uden signifikant forskel på tumorer, der var blevet behandlet perkutant eller peroperativt (middelfollowupperiode: 13,7 måneder).

Curley et al (11) har ligeledes anvendt en kombination af perkutan (31) og peroperativ (92) RFA til behandling af 123 patienter med 169 tumorer (primærlevertumorer 39,1%, metastaser 60,9%). Med en medianfollowupperiode på 15 måneder kunne de opgøre en 98,2% komplet responsrate, men desuden konstatere, at nye metastaser var opstået andre steder i leveren hos 34 patienter (27,6%).

Mack et al (6) sammenlignede deres overlevelsestal med de tilsvarende efter kirurgisk resektion og konkluderede, at termale ablationsteknikker synes ligeværdige, men med en betydelig lavere komplikationsrate. Dette må give basis for randomiserede undersøgelser mellem kirurgi og termale ablationsteknikker hos patienter med operable levermetastaser.

Takashi Shibata et al (17) har randomiseret 30 patienter med kolorektale levermetastaser til henholdsvis kirurgisk resektion og peroperativ mikrobølgeablation. Et-, to- og treårsoverlevelsen og middeloverlevelsesraten var henholdsvis 71%, 57%, 14% og 27 må neder i mikrobølgegruppen og 69%, 56%, 23% og 25 måneder i hepatektomigruppen. Forskellen mellem de to grupper var ikke signifikant, men det intraoperative blodtab var signifikant lavere i mikrobølgegruppen end hepatektomigruppen.

Vores resultater er sammenlignelige med de udenlandske opgørelser med lokal tumorkontrol ved 89% af de behandlede tumorer. Antallet af komplikationer var acceptable og yderst favorabelt i forhold til det kirurgiske alternativ. Et af de væsentlige problemer ved behandling af levermetastaser er, at man ikke kender den reelle tumorbyrde i leveren. Mikroskopisk udsæd vil kunne udvikle sig til nye metastaser i behandlingsforløbet, hvilket oftest er årsag til behandlingssvigt. RFA har den fordel, at behandlingen kan gentages ved tumorrecidiv eller nytilkommen tumor.

RFA er en lovende ny metode til behandling af maligne levertumorer. Den kliniske anvendelse har vist evne til lokal tumorkontrol i omkring 90% af de behandlede tumorer. De patienter, man har behandlet, har været inoperable, men på trods af, at det således ikke har været patienter med den bedste prognose, man har behandlet, er overlevelsesdataene opmuntrende. RFA er en tiltalende behandling for patienterne på grund af det ringe operative traume, den lave komplikationsfrekvens og de lave omkostninger. RFA har vist sig omkostningseffektiv selv over for palliativ behandling (18).


Dennis Tønner Nielsen, radiologisk afdeling R, Århus Kommunehospital, DK-8000 Århus C.

Antaget den 27. marts 2002.

Århus Universitetshospital, Århus Kommunehospital, radiologisk afdeling R, kirurgisk-gastroenterologisk afdeling L og medicinsk afdeling V.





Sidebar placering
Venstrestillet
Article type
Journal
Magazine
Section
References

<ol class="Litt-list">
<li>Baker ME, Pelley R. Hepatic metastases: basic principles and implications for radiologists. Radiology 1995; 197: 329-37.</li>
<li>Fong Y, Fortner J, Sun RL, Brennan MF, Blumgart LH. Clinical score for predicting recurrence after hepatic resection for metastatic colorectal cancer: analysis of 1001 consecutive cases. Ann Surg 1999; 230: 309-18.</li>
<li>Baden H, Andersen B. Survival of patients with untreated liver metastases from colorectal cancer. Scand J Gastroenterol 1975; 10: 221-3.</li>
<li>Kuszyk BS, Choti MA, Urban BA, Chambers TP, Bluemke DA, Sitzmann JV et al. Hepatic tumors treated by cryosurgery: normal CT appearance. AJR Am J Roentgenol 1996; 166: 363-8.</li>
<li>Nolsoe CP, Torp-Pedersen S, Burcharth F, Horn T, Pedersen S, Christensen NE et al. Interstitial hyperthermia of colorectal liver metastases with a US-guided Nd-YAG laser with a diffuser tip: a pilot clinical study. Radiology 1993; 187: 333-7.</li>
<li>Mack MG, Straub R, Eichler K, Engelmann K, Zangos S, Roggan A et al. Percutaneous MR imaging-guided laser-induced thermotherapy of hepatic metastases. Abdom Imaging 2001; 26: 369-74.</li>
<li>Kim BS, Chung HC, Seong JS, Suh CO, Kim GE. Phase II trial for combined external radiotherapy and hyperthermia for unresectable hepatoma. Cancer Chemother Pharmacol 1992; 31 (suppl I): S119-S127.</li>
<li>Goldberg SN, Gazelle GS, Solbiati L, Livraghi T, Tanabe KK, Hahn PF et al. Ablation of liver tumors using percutaneous RF therapy. Am J Roentgenol 1998; 170: 1023-8.</li>
<li>Livraghi T, Giorgio A, Marin G, Salmi A, de Sio I, Bolondi L et al. Hepatocellular carcinoma and cirrhosis in 746 patients: long-term results of percutaneous ethanol injection. Radiology 1995; 197: 101-8.</li>
<li>Statens Institut for Medicinsk Teknologi vurdering. Kræft i tyktarm og endetarm. Diagnostik og screening. Medicinsk Teknologi vurdering 2001; 3: 48.</li>
<li>Curley SA, Izzo F, Delrio P, Ellis LM, Granchi J, Vallone P et al. Radiofrequency ablation of unresectable primary and metastatic hepatic malignancies: results in 123 patients. Ann Surg 1999; 230: 1-8.</li>
<li>Scheele J, Altendorf-Hofmann A. Surgical treatment of liver metastases. I: Blumgart LH, Fong Y, eds. Surgery of the liver and biliary tract. Third ed. London: WB Saunders, 2000: 1475-502.</li>
<li>Kronborg O, Burcharth F, Bülow S, Christiansen J, Gandrup P, Hanberg F et al, eds. Retningslinjer for diagnostik og behandling af kolorektal cancer. Dansk kirurgisk Selskab. Ugeskr Læger 1998; 160 (suppl 4).</li>
<li>Scheele J, Stang R, Altendorf-Hofmann A, Paul M. Resection of colorectal liver metastases. World J Surg 1995; 19: 59-71.</li>
<li>Gillams AR, Lees WR. Survival after percutaneous, image-guided, thermal ablation of hepatic metastases from colorectal cancer. Dis Colon Rectum 2000; 43: 656-61.</li>
<li>De Baere T, Elias D, Dromain C, Din MG, Kuoch V, Ducreux M et al. Radiofrequency ablation of 100 hepatic metastases with a mean follow-up of more than 1 year. Am J Roentgenol 2000; 175: 1619-625.</li>
<li>Shibata T, Niinobu T, Ogata N, Takami M. Microwave coagulation therapy for multiple hepatic metastases from colorectal carcinoma. Cancer 2000; 89: 276-84.</li>
<li>Shetty SK, Rosen MP, Raptopoulos V, Goldberg SN. Cost-effectiveness of percutaneous radiofrequency ablation for malignant hepatic neoplasms. J Vasc Interv Radiol 2001; 12: 823-33.</li>
</ol>

Woodwing Id
244311
Bib ref
Ugeskr Læger 2002;164(40): 4642-5.
Authors

Dennis Tønner Nielsen, Henrik Blegvad Laursen, Mogens Rokkjær & Lone Bording Astrup

0 likes