Medlem i

12 years 10 months
Indholdselementer

Solid pseudopapillær tumor (SPT) er en sjælden tumortype med lav malignitetspotentiale. Tumortypen ses næsten udelukkende i pancreas, og udgør 1% af alle pancreastumorer. Den opstår primært hos unge kvinder og er associeret med en god prognose efter radikal resektion, hvorved mere end 95% af patienterne helbredes [1-5].

Der er i litteraturen på kasuistisk basis kun beskrevet få tilfælde, hvor patienter med SPT har fået lokalt recidiv og fjernmetastaser, og få tilfælde, hvor der er sket malign transformation af tumoren. I litteraturen er der beskrevet < 10 tilfælde, hvor SPT er udviklet uden for pancreas. Derudover er der beskrevet et tilfælde, hvor primærtumoren opstod i omentet, og hvor man til trods for aggressiv gentagen kirurgisk behandling observerede tiltagende tumorbyrde og malign transformation af tumoren med dødelig udgang. Behandling
af SPT er udelukkende kirurgisk [1-5].

SYGEHISTORIE

En 48-årig kvinde blev indlagt akut med febrilia og stærke smerter i det nedre abdominalområde. Hun havde ni års anamese med smerteanfald uden feber. Anfaldene ophørte spontant. Der var aldrig foretaget billeddiagnostik. Hun havde ikke en kendt gynækologisk lidelse, og hun havde gennem flere år haft en hormonspiral.

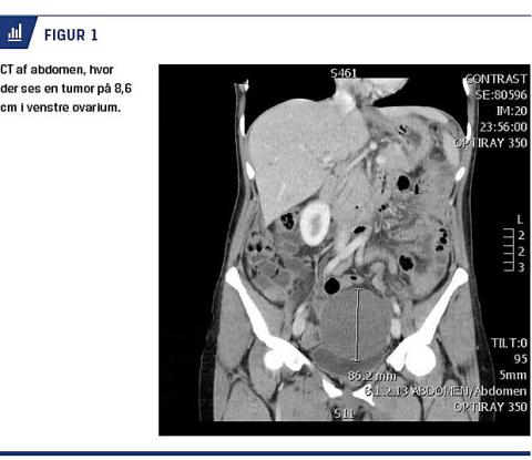
Ved den objektive undersøgelse fandt man abdomen med peritoneal reaktion og en udfyldning i venstre fossa. Ved indlæggelsen havde patienten en temperatur på 38 °C, koncentrationen af C-reaktivt protein var på 79 mg/l (normalværdi: < 8 mg/l) og koncentrationen af leukocytter på 12,2 × 109/l (normalområde: 3,5-10 × 109/l). En akut CT viste en 9 cm stor proces på venstre ovarium (Figur 1). Den blev radiologisk vurderet som en venstresidig ovariecyste med blødning og torsionssuspension. Man fandt en velplaceret spiral i uterus. Der var normale forhold i øvre abdomen, herunder pancreas.

Sidebar placering
Venstrestillet
Billede
Sidebar placering
Venstrestillet

En akut laparoskopi blev udført på mistanke om torkveret venstre adneks. Ved laparoskopien fandt man diffus peritoneal reaktion med let blakket væske. Der sås multiple brunlige ekskrescensser på peritoneum, i omentet og på tyndtarmen. Den 9 cm store proces var lokaliseret i venstre parametrium. Uterus, begge ovarier og salpinges var normale. Da processen var solid, konverterede man til laparotomi i nedre længdesnit,
og processen blev fjernet in toto. Ekscrescenserne på peritoneum blev reseceret. Forandringerne på tyndtarmen blev ikke reseceret pga. risikoen for tarmlæsion.
I omentet sås diffus tumorindvækst, og et større område blev excideret med henblik på patologisk undersøgelse. Ascitesvæsken blev sendt til cytologisk undersøgelse.

Diverse tumormarkører blev taget postoperativt. Disse viste let forhøjet koncentration af P-cancerantigen 125 på 64 × 103 arbitrære enheder/l (normalværdi < 35 × 103 arbitrære enheder/l) samt normal koncentration af P-karcinoembryonalt antigen og P-alfa-1-føtoprotein.

En patologisk undersøgelse af det udtagne væv viste solid pseudopapillær neoplasi. Der blev lavet immunhistokemisk undersøgelse og revision af præparaterne.
I undersøgelsen blev der brugt følgende immunhistokemiske farvninger: CD56, CD117, CD10 og pan-cytokeratin (AE1/AE3). Tumorvævet var positivt for cytokeratin (AE1/AE3). Undersøgelse af ascitesvæsken viste ligeledes ekskrescenser med solid pseudopapillær neoplasi. Patienten havde et ukompliceret postoperativt forløb.

På grund af tilstandens sjældenhed blev patienten henvist til et onko-gynækologisk center. Da den patologiske diagnose blev bekræftet ved revision, blev hun henvist til videre behandling på et højtspecialiseret abdominalkirurgisk center. Der var korrespondance med eksperter inden for dette område pga. tilstandens sjældenhed. Der blev planlagt fornyet CT med efterfølgende laparoskopi fire måneder efter primæroperationen for at kortlægge tumorbyrden og planlægge kirurgisk resektion.

DISKUSSION

I denne sygehistorie præsenteres et tilfælde af SPT uden for pancreas, hvilket er en meget sjælden tilstand. Klinisk og radiologisk undersøgelse tydede på adnekstorsion, hvorfor patienten blev akut opereret. De symptomer, som førte til indlæggelsen, var akutte smerter i venstre fossa og febrilia. Hun havde ni års anamnese med uforklarlige smerteanfald. Der findes kun få andre kasuistikker i litteraturen med en lignende sygehistorie, men i en enkelt beskrives en case, der er meget lig denne [1].

Denne sygehistorie bekræfter, at SPT kan udgå fra andre områder end pancreas, og der er behov for forskning på dette felt. Ligeledes understreger vores sygehistorie vigtigheden af at undersøge vedvarende mavesmerter, da det kan dreje sig om en sjælden tilstand [1-5].

KORRESPONDANCE: Hanine Fadel Mustafa Al-Far.
E-mail: hanine84@yahoo.dk

Antaget: 15. december 2015

Publiceret på Ugeskriftet.dk: 25. januar 2016

Interessekonflikter:

Sidebar placering
Venstrestillet
Article type
Journal
Magazine
Section
References

<h2>LITTERATUR</h2>
<ol type="d">
<li><p>Ojima TH, Sakamoto Y, Kosuge T et al. A solid pseudopapillary tumor arising from the greater omentum followed by multiple metastases with increasing malignant potential. J Gastroenterol 2006;4:276-81,</p></li>
<li><p>Sperti C, Berselli M, Pasquali C et al. Aggressive behaviour of solid-pseudopapillary tumor of the pancreas in adults: a case report and review of the literature. World J Gastroenterol 2008;14:960-5. </p></li>
<li><p>Tez M, Özalp N, Zülfikaroğlu B et al. A solid pseudopapillary tumour arising from mesocolon without ectopic pancreas. HPB Surg 2010;<br>2010:206186.</p></li>
<li><p>Shaikh S, Arya S, Ramadwar M et al. Three cases of unusual solid <br>pseudopapillary tumors. J Pancreas (online) 2008;9:150-9. </p></li>
<li><p>Patil TB, Shrikhande SV, Kanhere HA et al. Solid pseudopapillary neoplasm of the pancreas: a single institution experience of 14 cases. HPB (Oxford) 2006;8:148-50. </p></li>
</ol>

Woodwing Id
68595
Fil
Conflict of interest
English title
A pseudopapillary tumour in the parametrium
English summary

This is a case report of a 48-year-old woman with a history of unexplained abdominal pain. She was admitted with a clinical presentation consistent with ovarian torsion. A CT-scan showed a 9 cm large tumour, which was interpreted as an ovarian cyst on the left side with bleeding and possible torsion. Acute laparoscopy was converted to laparotomy. Multiple excrescences and a solid tumour in the left parametrium were found consistent with solid pseudo&shy;papillary neoplasia. Due to the rarity of this condition the patient was referred to a specialized surgical department.

Authors workplaces

Gynækologisk-obstetrisk Afdeling, Hospitalsenheden Vest, Herning

Ugeskr Læger 2016;178:V08150641

Bib ref
Ugeskr Læger 2016;178:V08150641
Article number
V08150641
Authors

Hanine Fadel Mustafa Al-Far & Maria Halberg

0 likes