Medlem i

13 years 1 month
Indholdselementer

Prostatacancer (PCa) er efter hudkræft den hyppigste kræftform hos mænd i Danmark [1]. PCa metastaserer oftest regionalt til lymfeknuder eller fjernt til knogler, lunger og lever [2]. I litteraturen er der kun beskrevet få tilfælde, hvor PCa metastaserer til pancreas. Vi præsenterer en sygehistorie med PCa med diffus metastatisk infiltrering af pancreas.

SYGEHISTORIE

En 69-årig mand blev henvist af egen læge pga. forhøjet prostataspecifikt antigen (PSA). Han var tidligere blevet opereret for ingvinalhernie bilateralt, man var i øvrigt rask. Han var ryger og havde et alkoholindtag på ti genstande ugentligt.

Symptomer var lower urinary tract symptoms og træthed. Det initiale PSA-niveau blev målt til 23,7 mikrogram/l. Ved rektaleksploration fandt man en suspekt proces i højre side af apex. Ved en UL-skanning påviste man ophævet zonal anatomi og et malignitetssuspekt område i højre side af prostata. Volumen blev målt til 55 ml. Der blev taget transrektale UL-vejledte biopsier. Histologisk fandt man prostataadenokarcinom, Gleason 4 + 4 = 8 i 10/10 biopsier, 100% tumorinvolvering og perineural indvækst.

Der blev foretaget knoglescintigrafi to uger efter PCa-diagnosen, og man fandt to foci henholdsvis i venstre costa 5 og i bækkenet, hvor malignitet ikke kunne udelukkes. En MR-skanning blev foretaget, og mistanken om knoglemetastaser blev afkræftet. Laparoskopisk lymfeknude-staging blev foretaget seks uger efter diagnosetidspunktet. Der blev påvist metastasering til de iliakale lymfeknuder i 8/23 lymfeknuder.

Ud fra tumor-nodulus-metastase-stadie var patienten ikke kandidat til kurativt intenderet behandling. Man påbegyndte antiandrogen behandling med tablet bicalutamid 150 mg × 1 dagligt forudgået af profylaktisk mammabestråling. Herefter faldt PSA kortvarigt til 5,4 mikrogram/l. Pga. en PSA-fordoblingstid på kun syv måneder blev behandlingen ændret til gonadotropinfrisættende hormonanalog-
injektioner. Man valgte ikke at foretage yderligere billeddiagnostik, idet det på daværende tidspunkt ikke ville få en behandlingsmæssig konsekvens. Trods medicinsk kastrationsbehandling med en S-testosteron < 0,3 mmol/l fortsatte PSA med at stige til 30 mikrogram/l. Patienten blev tiltagende træt og fik smerter i columna lumbalis, muskelsvækkelse samt balancebesvær. Ved en akut MR-skanning af columna totalis blev der påvist multiple metastaser i columna. Han blev sat i højdosissteroidbehandling i forbindelse med strålebehandling for truende medullær påvirkning. Kort tid efter klagede han over dobbeltsyn. Ved en MR-skanning af cerebrum påviste man en hjernemetastase og multiple metastaser til kalvariet. Efter yderligere nogle uger blev der foretaget en UL-skanning af abdomen pga. kvalme, opkastning, ikterus og tiltagende abdominalomfang.

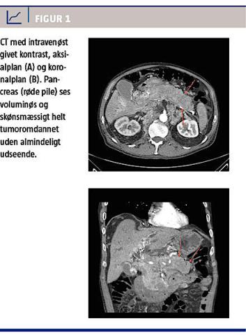
Niveauerne af basisk fosfatase og bilirubin var let forhøjede. Amylase- og glukoseniveauerne var normale. Ved UL-skanning påviste man en tumoromdannet pancreas (Figur 1). CT af thorax og abdomen
viste metastasering til binyrer, nyrer, pancreas og lymfeknuder ingvinalt og retroperitonealt samt i venstre aksil og mesenteriet. Palliativt blev der foretaget endoskopisk retrograd kolangiopankreatografi med indsættelse af endostent, ascitesdrænage og diuretisk behandling af bilateral pleuraeffusion. Biopsi fra tumormassen i pancreas viste et lavt differentieret adenokarcinom udgående fra prostata. Farvning med
synaptofysin og chromogranin var negative; der var således ingen mistanke om neuroendokrin uddifferentiering.

Sidebar placering
Venstrestillet
Billede
Sidebar placering
Venstrestillet

Patienten døde inden for en uge efter at have fået diagnosen PCa med diffus infiltrativ metastasering til pancreas.

DISKUSSION

Ved litteratursøgning er der kun fundet tre kasuistikker, hvor man beskriver denne problemstilling [3-5].

I et obduktionsstudie med 1.589 patienter, der var diagnosticeret med PCa, fandt man, at PCa hyppigst metastaserede regionalt til lymfeknuder via det lymfatiske system. Fjernmetastaser spredte sig hyppigst hæmatogent til knogler (90%), lunger (46%), lever (25%), pleura (21%) samt binyrer (13%) og kun sjældent til pancreas (1,4%). Hos patienter, der har PCa og er i højrisikogruppen, er der risiko for at man kan overse en evt. neuroendokrin uddifferentiering af adenokarcinomet. Hos patienter med klinisk eller radiografisk progression uden tilsvarende PSA-udvikling må neuroendokrin uddifferentiering overvejes. Disse patienter bør vurderes onkologisk med henblik på kemoterapeutisk behandling.

PCa er bortset fra hudkræft den hyppigste kræftform hos danske mænd. PCa metastaserer kun sjældent til pancreas, men den må haves i mente. Tidlig diagnose og rettidig behandling kan være en vigtig del af den palliative behandling.

Korrespondance: Mariam Annalisa Skibsted Hult, Urologisk Afdeling, Roskilde Sygehus, Køgevej 7-13, 4000 Roskilde. E-mail: mariamhulth@gmail.com

Antaget: 20. november 2014

Publiceret på Ugeskriftet.dk: 26. januar 2015

Interessekonflikter: Forfatternes ICMJE-formularer er tilgængelige sammen med artiklen på Ugeskriftet.dk

Sidebar placering
Venstrestillet
Article type
Journal
Magazine
Section
References

<h2>Litteratur</h2>
<ol type="d">
<li><p>Statens Serum Iinstitut. Cancerrgisteret: Tal og analyse 2012. www.ssi.dk/~/media/Indhold/DK - dansk/Sundhedsdata og it/NSF/Registre/Cancerregisteret/Cancerregisteret 2012.ashx (12. sep 2014).</p></li>
<li><p>Bubendorf L, Schopfer A, Wagner U et al. Metastatic patterns of prostate cancer: an autopsy study of 1,589 patients. Human Pathol 2000;31:578-83.</p></li>
<li><p>Wang W, Stroehlein JR, Landon G et al. Prostate cancer metastatic to the pancreas. J Clin Oncol 2013;31:e367-9.</p></li>
<li><p>Desai B, Elatre W, Quinn DI et al. FDG PET/CT demonstration of pancreatic meta-stasis from prostate cancer. Clin Nuclear Med 2011;36:961-2.</p></li>
<li><p>Jacob J, Chargari C, Bauduceau O et al. Pancreatic metastasis from prostate cancer. Case Rep Med 2010;2010:826273.</p></li>
</ol>

Woodwing Id
47712
Fil
Conflict of interest
English title
Prostate cancer presenting with diffuse infiltration of metastases to the pancreas
English summary

Prostate cancer is the most common cancer, when excluding skin cancer, among males in Denmark. Prostate cancer usually metastasizes to regional lymph nodes and distantly to bone, lung, and liver. In the literature, there are only a few cases describing metastases to the pancreas. This is a case report of such a rare case. When presenting with symptoms like nausea, vomiting, and icterus, or findings of a new pancreatic mass on imaging, pancreatic metastases should be kept in mind. Early diagnosis and prompt treatment could be important in improving the patient&rsquo;s quality of life.

Authors workplaces

1) Urologisk Afdeling, Roskilde Sygehus
2) Radiologisk Afdeling, Roskilde Sygehus

Ugeskr Læger 2015;177:V09140491

Bib ref
Ugeskr Læger 2015;177:V09140491
Article number
V09140491
Authors

Mariam Hult1, Hanne Sandstrøm2 & Hans-Erik Wittendorff1

0 likes