Medlem i

12 years 10 months
Indholdselementer
Billede
Sidebar placering
Venstrestillet
Billede
Sidebar placering
Venstrestillet
Billede
Sidebar placering
Venstrestillet


Primært kutant mucinøst karcinom (PKMK) er en sjælden malign tumor, som udgår fra svedkirtlerne. Den fejldiagnosticeres ofte, da den præsenterer sig ukarakteristisk - og histologisk kan ligne en kutan metastase fra et mucinøst karcinom i brystet, gastrointestinalkanalen, lunger, ovarier og prostata. Recidivraten er høj, men mortaliteten er lav. Der blev foretaget litteratursøgning på MEDLINE for artikler, som omhandlede PKMK. I alt 228 cases blev identificeret, og de præsenteres her med tumorkarakteristika og kliniske oplysninger samt histopatologiske og immunhistokemiske fund.

Primært kutant mucinøst karcinom (PKMK) er en sjælden malign tumor, som udgår fra svedkirtlerne eller deres kimceller [1, 2]. Det er stadig kontroversielt, om tumoren udgår fra de apokrine eller ekkrine svedkirtler [1, 3, 4]. PKMK, der også er kendt som mucinøst adenokarcinom eller kolloidt karcinom [3, 5, 6], blev først beskrevet af Lennox et al i 1952 [7], og senere gennemgået af Mendoza et al i 1971 [1]. Siden 1952 er der beskrevet i alt 228 tilfælde i verdenslitteraturen [1-40]. Tumoren er sjælden, med ca. et tilfælde ud af 150.000 konsekutive hudbiopsier fra et dermatopatologisk laboratorium [8].

Tumoren fejldiagnosticeres ofte både klinisk og histologisk - klinisk, fordi den er blød, afrundet og velafgrænset - og histologisk, fordi den kan ligne en kutan metastase fra en af de mere hyppigt forekommende mucinøse karcinomer i henholdsvis brystet, gastrointestinalkanalen, lunger, ovarier og prostata [9, 10].

Immunhistokemisk farvning for organspecifikke markører kan ikke adskille PKMK fra en kutan metastase [11, 12], og den endelige diagnose stilles ofte efter, at tilstedeværelsen af en primærtumor i de respektive organer er blevet udelukket.

Kendskab til PKMK er væsentligt, da lidelsen udgør en differentialdiagnose til kutane metastaser fra et mucinøst adenokarcinom samt andre kutane læsioner med en mucinøs komponent.

Nedenfor præsenteres en systematisk gennemgang af den samlede verdenslitteratur for at belyse de kliniske og histopatologiske kendetegn for denne sjældne tumor.

Sidebar placering
Venstrestillet
Billede
Sidebar placering
Venstrestillet





Metode

Der blev gennemført en litteratursøgning på MEDLINE, som omfattede søgeordene primary mucinous carcinoma, mucinous carcinoma, mucinous adenocystic carcinoma, mucinous eccrine carcinoma, sweat gland carcinoma - alle i kombination med søgeordet skin . Relevante artikler, der var publiceret frem til december 2007, blev inkluderet, og samtlige litteraturlister blev gennemgået for yderligere tilfælde af PKMK.

Resultater

Indtil nu er der i litteraturen beskrevet i alt 228 tilfælde af PKMK [1-40], 108 mænd og 92 kvinder (Tabel 1 ). I de resterende 28 tilfælde blev kønnet ikke oplyst. De kliniske karakteristika fremgår af Tabel 1. I alt 53% af patienterne var kaukaside, 26% var asiatere og 21% var negroide. Race blev dog kun oplyst i 92 (40%) af tilfældene. Tumoren forekommer oftest i aldersgruppen 60-80 år. Den yngste patient var dog otte år på diagnosetidspunktet.

I 219 tilfælde (92%) blev placeringen af tumoren angivet. Den hyppigste lokalisation var øjenlåg (35%), øvrige ansigt (21%) samt skalp, hals og retroaurikulært (21%). Tumoren er også beskrevet svarende til huden over aksillen (7%), på truncus (6%), vulva (3%), ekstremiteter (2%) og på øret (2%). Tumoren var som regel mindre end 3-4 cm på diagnosetisdspunktet. Der var stor variation i, hvor lang tid der gik, fra patienten bemærkede tumoren til ekscisionen (to uger til 60 år).

Followup efter operation var kun beskrevet i 174 tilfælde (76%). Ca. 1/3 af disse (56 patienter) fik lokalrecidiv mellem to uger og ti år (gennemsnitligt 35 måneder) efter ekscisionen. Patienter med PKMK, der var lokaliseret til ekstremiteter (50%), skalp (36%), ansigt (29%), øjenlåg (29%) og aksillen (19%) fik hyppigst recidiv. Oplysninger om spredning på diagnosetidspunktet eller i followupperioden var tilgængelige hos 167 patienter (73%). Fjorten tumorer (8%) metastaserede, heraf ti udelukkende til de regionale lymfeknuder [1, 3, 12-18], mens de sidste fire var ledsaget af fjernmetastaser [19-22]. Tumorer i aksillen metastaserede oftest (fire ud af 16), i modsætning til kun seks af de 43 tilfælde på skalpen eller halsen (14%). Knogleindvækst blev rapporteret i syv tilfælde [3, 13, 23-27]. Tre af disse udgik fra tumorer i ansigtet. Dødsfald som følge af metastaser blev rapporteret i tre tilfælde (< 2%) [3, 19, 22]. I alle tre tilfælde blev stråleterapi forsøgt som adjuverende behandling.

Diskussion

I alt 54% af de 200 beskrevne tilfælde af PKMK, hvor kønnet var oplyst, var mandlige patienter. Der synes derfor ikke at være tale om en langt hyppigere forekomst blandt mænd, som tidligere rapporteret af både Mendoza et al og Wright et al . Den udtalte kønsforskel blandt patienterne i disse to studier kan formentlig tilskrives en skævhed i udvælgelsen af undersøgelsesgrupperne, idet størstedelen af patienterne blev udtaget fra arkivet på The Armed Forces Institute of Pathology (Washington), som primært omfatter mænd.

Tumoren præsenterer sig oftest som en asymptomatisk, langsomt voksende nodulus, men den kan også vise sig som en cystisk proces eller et ulcus [1-40], Figur 1 . Den er lokaliseret til dermis eller subcutis, og konsistensen er blød til fast. Den kan være rød, lyserød eller blålig, øm, kløende, lobuleret, gennemsigtig eller teleangiektatisk. Tumor er næsten altid solitær, men bilaterale tumorer på øjenlågene er blevet rapporteret [28, 29].

Differentialdiagnoserne er blandt andre epidermoidcyster, sebaceøst karcinom, cystisk basalcellekarcinom, planocellulært karcinom, neurom, tåresæktumor, pilomatriksom, chalazion, hordeolum, hæmangiom, pyogent granulom, kutan epitelial cyste, sebaceøs cyste, lipom, papillom, keratoakantom, melanom, Kaposis sarkom, adenoidt cystisk karcinom samt metastase fra adenokarcinom [11, 25, 30-33].

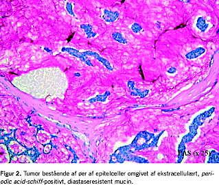
Histologisk b eskrives PKMK oftest som en tumor bestående af øer af epitelceller, der er omgivet af ekstracellulært, periodic acid-schiff (PAS)-positivt og diastaseresistent mucin [30, 32], Figur 2 . Epitelcellerne udviser en moderat grad af kernepleomorfi og har tendens til at danne glandulære strukturer. Dette veldifferentierede udseende af tumorcellerne og den kraftige mucinproduktion er begge tegn på et relativt benignt vækstmønster [1, 4], hvilket kan forklare den lave recidiv- og metastaseringsfrekvens (Tabel 1).

På grund af dens sjældne forekomst mistænkes PKMK ofte for at repræsentere en metastase fra en af de hyppigere forekommende mucinøse karcinomer i andre organer. Mikroskopisk kan de være særdeles vanskelige at skelne fra hinanden, og som eksempel kan nævnes, at både PKMK- og mammakarcinommetastaser kan indeholde PAS-positivt og diastaseresistent sialomucin. Begge er ligeledes i stand til at udtrykke følgende [11, 12]: 1) lavmolekylære cytokeratiner (CK 7, CAM 5,2), 2) karcinoembryonalt antigen (CEA), 3) epitelialt membranantigen (EMA), 4) human mælkefaktor globuliner (HMFG I og II), 5) makroskopisk cystesygdom væskeprotein (GCDFP 15), 6) S-100 protein, 7) alfa-laktalbumin, 8) Trefoil faktor 1 (TFF1) og -3 (mucusassocierede peptider i trefoilfaktorfamilien) og 9) østrogen- og progesteronreceptorer.

Såfremt der kan identificeres en in situ komponent i tumor, der er kendetegnet ved tilstedeværelsen af myoepiteliale celler, kan dette være en hjælp til at etablere diagnosen, men denne mangler ofte. Kutane metastaser fra mucinproducerende tumorer stammer oftest fra mamma eller colon [34]. Det histopatologiske fingerpeg om, at tumor udspringer fra colon, er kombinationen af uren nekrose og tilstedeværelsen af epitelceller med absorptiv/goblet celleuddifferentiering [29]. Idet de fleste kolorektale karcinomer udtrykker markøren cytokeratin (CK) 20, kan fraværet af denne bidrage til at ekskludere diagnosen [35-37].

Selvom ovennævnte faktorer kan bidrage til at identificere primærtumor, bør en endelig diagnose kun stilles efter, at patienten er blevet grundigt udredt, og man har udelukket metastase fra de mere hyppigt forekommende mucinøse karcinomer i mamma, lunge, gastrointestinalkanal, galdeblære, prostata eller ovarie. Udredningen bør omfatte computertomografi (CT), mammografi og koloskopi. Positronemissionstomografi (PET) derimod har vist sig at have relativt lav sensitivitet for mucinøse tumorer pga. deres hypocellulære struktur og er derfor ofte falsk negativ ved metastaser fra PKMK [22].

PKMK vokser oftest langsomt med en tendens til pludselig vækstspurt [22]. I gennemsnit havde patienterne bemærket tumor i fire år (to uger til 60 år) inden ekscisionen. Traume som en prædisponerende faktor er blevet foreslået af enkelte forfattere [1], men tumor har også en tendens til at opstå i områder med soleksponeret hud, hvor der samtidig er en høj koncentration af svedkirtler [2, 38]. Idet 80% af PKMK er lokaliseret på halsen og opefter, er det således sandsynligt, at sol spiller en rolle i patogenesen.

Finnålsaspirat er beskrevet som anvendeligt ved præoperativ diagnostik, men regelret ekcisionsbiopsi er den hyppigst anvendte diagnostiske metode [39, 40].

I Danmark anvendes en ekscisionsafstand på en centimeter i dybden til fascie. Der er ikke konsensus vedrørende sentinel node -diagnostik [40]. Hvis sentinel node er positiv, skal der foretages regional lymfeknudedissektion [30]. For at forebygge lokalrecidiv har flere forfattere foreslået adjuverende hormonbehandling med antiøstrogener som f.eks. tamoxifen til patienter med østrogenreceptorpositive tumorer [12]. Denne behandling anvendes dog ikke rutinemæssigt i Danmark.

Indtil videre har recidiverende PKMK ikke responderet på strålebehandling eller kemoterapi [3, 20]. Derfor er det af afgørende betydning, at tumor primært ekscideres radikalt. Mange af de rapporterede tilfælde har kun en followupperiode på et par år (gennemsnitligt 39 måneder, fra 0-15 år), men det anbefales at kontrollere patienterne som minimum en gang årligt i fem år - dels på grund af risikoen for recidiv, og dels fordi der trods alt stadig resterer en mulighed for, at tumor repræsenterer en metastase.


Line Bro Breiting, Plastikkirurgisk Afdeling V, Herlev Hospital, DK-2730 Herlev. E-mail: line.breiting@get2net.dk

Antaget: 15. august 2008

Interessekonflikter: Ingen


  1. Mendoza S, Helwig EB. Mucinous (adenocystic) carcinoma of the skin. Arch Dermatol 1971;103:68-78.
  2. Baandrup U, Soegaard H. Mucinous (adenocystic) carcinoma of the skin. Dermatologica 1982;164:338-42.
  3. Wright JD, Font RL. Mucinous sweat gland adenocarcinoma of eyelid. A clinicopathologic study of 21 cases with histochemical and electron microscopic observations. Cancer 1979;44:1757-68.
  4. Headington JT. Primary mucinous carcinoma of skin: histochemistry and electron microscopy. Cancer 1977;39:1055-63.
  5. Rodrigues MM, Lubowitz RM, Shannon GM. Mucinous (adenocystic) carcinoma of the eyelid. Arch Ophthalmol 1973;89:493-4.
  6. Grossman JW, Izuno GT. Primary mucinous (adenocystic) carcinoma of skin. Arch Dermatol 1974;110:274-6.
  7. Lennox B, Pearse AG, Richards HG. Mucin secreting tumors of the skin. With special reference to the so-called mixed salivary tumor of the skin and its relation to hidroadenoma. J Pathol Bacteriol 1952;64:865-80.
  8. Mehregan AH, Hashimoto K, Rahbari H. Eccrine adenocarcinoma. A clinicopathologic study of 35 cases. Arch Dermatol 1983;119:104-14.
  9. Qureshi HS, Salama ME, Chitale D et al. Primary cutaneous mucinous carcinoma: presence of myoepithelial cells as a clue to the cutaneous origin. Am J Dermatopathol 2004;26:353-8.
  10. Martinez SR, Young SE. Primary Mucinous Carcinoma of the Skin: A Review. Internet J Oncol 2005;2:2. www.ispub.com/ostia/indeks.php?xmlFilePath=journals/ijo/vol2n2/skin.xml (6. juni 2005).
  11. Carson HJ, Gattuso P, Raslan WF et al. Mucinous carcinoma of the eyelid. An immunohistochemical study. Am J Dermatopathol 1995;17:494-8.
  12. Hanby AM, McKee P, Jeffery M et al. Primary mucinous carcinoma of the skin expresses TFF1, TFF3, estrogen receptor, and progesterone receptors. Am J Surg Pathol 1998;22:1125-31.
  13. Wolfe JJ, Segerberg LH. Metastasizing sweat gland carcinoma of the scalp involving transverse sinus. Am J Surg 1954;88:849-51.
  14. Berg JW, McDivitt RW. Pathology of sweat gland carcinoma. Pathol Ann 1968;13:123-44.
  15. Metz J, Filipp N, Metz G. Mucinöses carcinom der ekkrinen schweissdrüsen. Z Hautkr 1974;49:963-74.
  16. Pilgrim JP, Kloss SG, Wolfish PS et al. Primary mu cinous carcinoma of the skin with metastases to the lymph nodes. Am J Dermatopathol 1985;7:461-69.
  17. Urso C, Salvadori A, Bondi R. Mucinous carcinoma of sweat glands. Tumori 1995;81:457-9.
  18. Breiting L, Christensen L, Dahlstrøm K et al. Primary mucinous carcinoma of the skin - a population-based study. Int J Dermatol 2008;47:242-5.
  19. Rao KV, Tikku I, Kapur BM et al. Invasive primary mucinous carcinoma of the skin. Int Surg 1976;63:168-70.
  20. Yeung KY, Stinson JC. Mucinous (adenocystic) carcinoma of sweat glands with widespread metastasis. Cancer 1977;39:2556-62.
  21. Ajithkumar TV, Nileena N, Abraham EK et al. Bone marrow relapse in primary mucinous carcinoma of the skin. Am J Clin Oncol 1999;22:303-4.
  22. Jih MH, Friedman PM, Kimyai-Asadi A et al. A rare case of fatal primary cutaneous mucinous carcinoma of the scalp with multiple in-transit and pulmonary metastases. J Am Acad Dermatol 2005;52:S76-80.
  23. Santa-Cruz DJ, Meyers JH, Gnepp DR et al. Primary mucinous carcinoma of the skin. Br J Dermatol 1978;98:645-53.
  24. Cohen KL, Peiffer RL, Lipper S. Mucinous sweat gland adenocarcinoma of the eyelid. Am J Ophthalmol 1981;92:183-8.
  25. Andrews TM, Gluckman JL, Weiss MA. Primary mucinous adenocarcinoma of the eyelid. Head Neck 1992;14:303-7.
  26. Tanaka A, Hatoko M, Kuwahara M et al. Recurrent mucinous carcinoma of the skin invading to the frontal skull base. Br J Dermatol 2000;143:458-9.
  27. Breiting L, Dahlstrøm K, Christensen L et al. Primary mucinous carcinoma of the skin. Am J Dermapathol 2007;29:595-6.
  28. Bertagnoli R, Cook DL, Goldman GD. Bilateral primary mucinous carcinoma of the eyelid treated with Mohs surgery. Dermatol Surg 1999;25:566-8.
  29. Kazakov DV, Suster S, LeBoit PE et al. Mucinous carcinoma of the skin, primary, and secondary: A clinicopathologic study of 63 cases with emphasis on the morphologic spectrum of primary cutaneous forms: Homologies with mucinous lesions in the breast. Am J Surg Pathol 2005;29:764-82.
  30. Snow SN, Reizner GT. Mucinous eccrine carcinoma of the eyelid. Cancer 1992;70:2099-2104.
  31. Fukamizu H, Tomita K, Inoue K et al. Primary mucinous carcinoma of the skin. J Dermatol Surg Oncol 1993;19:625-8.
  32. Karimipour DJ, Johnson TM, Kang S et al. Mucinous carcinoma of the skin. J Am Acad Dermatol 1996;34:323-6.
  33. Ortiz KJ, Gaughan MD, Bang R et al. A case of primary mucinous carcinoma of the scalp treated with Mohs surgery. Dermatol Surg 2002;28:751-4.
  34. Brownstein MH, Helwig EB. Metastatic tumors of the skin. Cancer. 1972;29:1298-307.
  35. Eckert F, Schmid U, Hardmeier T et al. Cytokeratin expression in mucinous sweat gland carcinomas: An immunohistochemical analysis of four cases. Histopathology 1992;21:161-5.
  36. Bellezza G, Sidoni A, Bucciarelli E. Primary mucinous carcinoma of the skin. Am J Dermatopathol 2000;22:166-70.
  37. Ohnishi T, Takizawa H, Watanabe S. Immunohistochemical analysis of cytokeratin and human milk fat globulin expression in mucinous carcinoma of the skin. J Cutan Pathol 2002;29:38-43.
  38. Boscaino A, D'Onofrio V, Orabona P et al. Primary mucinous carcinoma of the skin. Report of a case. Pathologica 1995;87:689-91.
  39. Kotru M, Manucha V, Singh UR. Cytologic and histologic features of primary mucinous adenocarcinoma of skin in the axilla: a case report. Acta Cytol 2007;51:571-4.
  40. Reid-Nicholson M, Iyengar P, Friedlander MA et al. Fine needle aspiration biopsy of primary mucinous carcinoma of the skin: a case report. Acta Cytol 2006;50:317-22.




Sidebar placering
Venstrestillet
Article type
Journal
Magazine
Section
References

<ol class="Litt-list">
<li>Mendoza S, Helwig EB. Mucinous (adenocystic) carcinoma of the skin. Arch Dermatol 1971;103:68-78.</li>
<li>Baandrup U, Soegaard H. Mucinous (adenocystic) carcinoma of the skin. Dermatologica 1982;164:338-42.</li>
<li>Wright JD, Font RL. Mucinous sweat gland adenocarcinoma of eyelid. A clinicopathologic study of 21 cases with histochemical and electron microscopic observations. Cancer 1979;44:1757-68.</li>
<li>Headington JT. Primary mucinous carcinoma of skin: histochemistry and electron microscopy. Cancer 1977;39:1055-63.</li>
<li>Rodrigues MM, Lubowitz RM, Shannon GM. Mucinous (adenocystic) carcinoma of the eyelid. Arch Ophthalmol 1973;89:493-4.</li>
<li>Grossman JW, Izuno GT. Primary mucinous (adenocystic) carcinoma of skin. Arch Dermatol 1974;110:274-6.</li>
<li>Lennox B, Pearse AG, Richards HG. Mucin secreting tumors of the skin. With special reference to the so-called mixed salivary tumor of the skin and its relation to hidroadenoma. J Pathol Bacteriol 1952;64:865-80.</li>
<li>Mehregan AH, Hashimoto K, Rahbari H. Eccrine adenocarcinoma. A clinicopathologic study of 35 cases. Arch Dermatol 1983;119:104-14.</li>
<li>Qureshi HS, Salama ME, Chitale D et al. Primary cutaneous mucinous carcinoma: presence of myoepithelial cells as a clue to the cutaneous origin. Am J Dermatopathol 2004;26:353-8.</li>
<li>Martinez SR, Young SE. Primary Mucinous Carcinoma of the Skin: A Review. Internet J Oncol 2005;2:2. www.ispub.com/ostia/indeks.php?xmlFilePath=journals/ijo/vol2n2/skin.xml (6. juni 2005).</li>
<li>Carson HJ, Gattuso P, Raslan WF et al. Mucinous carcinoma of the eyelid. An immunohistochemical study. Am J Dermatopathol 1995;17:494-8.</li>
<li>Hanby AM, McKee P, Jeffery M et al. Primary mucinous carcinoma of the skin expresses TFF1, TFF3, estrogen receptor, and progesterone receptors. Am J Surg Pathol 1998;22:1125-31.</li>
<li>Wolfe JJ, Segerberg LH. Metastasizing sweat gland carcinoma of the scalp involving transverse sinus. Am J Surg 1954;88:849-51.</li>
<li>Berg JW, McDivitt RW. Pathology of sweat gland carcinoma. Pathol Ann 1968;13:123-44.</li>
<li>Metz J, Filipp N, Metz G. Mucinöses carcinom der ekkrinen schweissdrüsen. Z Hautkr 1974;49:963-74.</li>
<li>Pilgrim JP, Kloss SG, Wolfish PS et al. Primary mucinous carcinoma of the skin with metastases to the lymph nodes. Am J Dermatopathol 1985;7:461-69.</li>
<li>Urso C, Salvadori A, Bondi R. Mucinous carcinoma of sweat glands. Tumori 1995;81:457-9.</li>
<li>Breiting L, Christensen L, Dahlstrøm K et al. Primary mucinous carcinoma of the skin - a population-based study. Int J Dermatol 2008;47:242-5.</li>
<li>Rao KV, Tikku I, Kapur BM et al. Invasive primary mucinous carcinoma of the skin. Int Surg 1976;63:168-70.</li>
<li>Yeung KY, Stinson JC. Mucinous (adenocystic) carcinoma of sweat glands with widespread metastasis. Cancer 1977;39:2556-62.</li>
<li>Ajithkumar TV, Nileena N, Abraham EK et al. Bone marrow relapse in primary mucinous carcinoma of the skin. Am J Clin Oncol 1999;22:303-4.</li>
<li>Jih MH, Friedman PM, Kimyai-Asadi A et al. A rare case of fatal primary cutaneous mucinous carcinoma of the scalp with multiple in-transit and pulmonary metastases. J Am Acad Dermatol 2005;52:S76-80.</li>
<li>Santa-Cruz DJ, Meyers JH, Gnepp DR et al. Primary mucinous carcinoma of the skin. Br J Dermatol 1978;98:645-53.</li>
<li>Cohen KL, Peiffer RL, Lipper S. Mucinous sweat gland adenocarcinoma of the eyelid. Am J Ophthalmol 1981;92:183-8.</li>
<li>Andrews TM, Gluckman JL, Weiss MA. Primary mucinous adenocarcinoma of the eyelid. Head Neck 1992;14:303-7.</li>
<li>Tanaka A, Hatoko M, Kuwahara M et al. Recurrent mucinous carcinoma of the skin invading to the frontal skull base. Br J Dermatol 2000;143:458-9.</li>
<li>Breiting L, Dahlstrøm K, Christensen L et al. Primary mucinous carcinoma of the skin. Am J Dermapathol 2007;29:595-6.</li>
<li>Bertagnoli R, Cook DL, Goldman GD. Bilateral primary mucinous carcinoma of the eyelid treated with Mohs surgery. Dermatol Surg 1999;25:566-8.</li>
<li>Kazakov DV, Suster S, LeBoit PE et al. Mucinous carcinoma of the skin, primary, and secondary: A clinicopathologic study of 63 cases with emphasis on the morphologic spectrum of primary cutaneous forms: Homologies with mucinous lesions in the breast. Am J Surg Pathol 2005;29:764-82.</li>
<li>Snow SN, Reizner GT. Mucinous eccrine carcinoma of the eyelid. Cancer 1992;70:2099-2104.</li>
<li>Fukamizu H, Tomita K, Inoue K et al. Primary mucinous carcinoma of the skin. J Dermatol Surg Oncol 1993;19:625-8.</li>
<li>Karimipour DJ, Johnson TM, Kang S et al. Mucinous carcinoma of the skin. J Am Acad Dermatol 1996;34:323-6.</li>
<li>Ortiz KJ, Gaughan MD, Bang R et al. A case of primary mucinous carcinoma of the scalp treated with Mohs surgery. Dermatol Surg 2002;28:751-4.</li>
<li>Brownstein MH, Helwig EB. Metastatic tumors of the skin. Cancer. 1972;29:1298-307.</li>
<li>Eckert F, Schmid U, Hardmeier T et al. Cytokeratin expression in mucinous sweat gland carcinomas: An immunohistochemical analysis of four cases. Histopathology 1992;21:161-5.</li>
<li>Bellezza G, Sidoni A, Bucciarelli E. Primary mucinous carcinoma of the skin. Am J Dermatopathol 2000;22:166-70.</li>
<li>Ohnishi T, Takizawa H, Watanabe S. Immunohistochemical analysis of cytokeratin and human milk fat globulin expression in mucinous carcinoma of the skin. J Cutan Pathol 2002;29:38-43.</li>
<li>Boscaino A, D'Onofrio V, Orabona P et al. Primary mucinous carcinoma of the skin. Report of a case. Pathologica 1995;87:689-91.</li>
<li>Kotru M, Manucha V, Singh UR. Cytologic and histologic features of primary mucinous adenocarcinoma of skin in the axilla: a case report. Acta Cytol 2007;51:571-4.</li>
<li>Reid-Nicholson M, Iyengar P, Friedlander MA et al. Fine needle aspiration biopsy of primary mucinous carcinoma of the skin: a case report. Acta Cytol 2006;50:317-22.</li>
</ol>

Woodwing Id
264537
Fil
English summary

Summary Primary mucinous carcinoma of the skin - a literature review Ugeskr L&aelig;ger 2008;170(43):3399-3402 Primary mucinous carcinoma of the skin (PKMK) is a rare malignant tumour of the sweat glands. It is often misdiagnosed as it has an uncharacteristic gross appearance - and may microscopically resemble a cutaneous metastasis from a mucinous carcinoma of the breast, gastrointestinal tract, lungs, ovaries or prostate. The recurrence rate is high, but mortality is low. A MEDLINE literature search was performed for reports on PKMK. A total of 228 cases were identified. These are presented with regard to tumour characteristics and clinical features as well as histopathological and immunohistochemical findings.

Bib ref
Ugeskr Læger 2008;170(43):3399-3402
Authors

Reservelæge Line Bro Breiting, overlæge Lise Christensen, overlæge Karin Dahlstrøm, læge Jeanette Falck Winther, speciallæge Vibeke Bro Breiting & reservelæge Louise Vennegaard Kalialis Herlev Hospital, Plastikkirurgisk Afdeling, Bispebjerg Hospital, Patologisk Afdeling, Kræftens Bekæmpelse, Institut for Epidemiologisk Kræftforskning, og Holte Plastikkirurgiske Klinik

0 likes
Read time
15