Medlem i

12 years 10 months
Indholdselementer
Billede
Sidebar placering
Venstrestillet


Primært kutant mucinøst karcinom er en sjælden malign tumor, som udgår fra svedkirtlerne. Lidelsen fejldiagnosticeres ofte, fordi den klinisk præsenterer sig meget varierende. Mikroskopisk kan tumoren være vanskelig at skelne fra en kutan metastase fra et mucinøst karcinom i colon, bryst eller ovarier. Tumoren recidiverer ofte, men mortaliteten er lav. Denne patient udviklede regionale lymfeknudemetastaser fem år efter ekscision af den primære tumor.

Primært kutant mucinøst karcinom (PKMK) er en sjælden malign tumor, som udgår fra svedkirtlerne og således tilhører gruppen af adnekstumorer. PKMK er ikke kun interessant, fordi den er sjælden, men også fordi den ofte fejldiagnosticeres som en metastase fra et mucinøst adenokarcinom i andre organer - især mamma eller colon. Ved hjælp af histopatologiske og billeddiagnostiske undersøgelser er det dog oftest muligt at stille den rette diagnose [1].

Den hyppigste lokalisation er hoved/hals-regionen, især på øjenlåg og skalp, men tumoren er også fundet svarende til aksillen, på trunkus, vulva og ekstremiteter. Klinisk præsenterer den sig meget variende, oftest som en langsomt voksende nodulus, som kan være cystisk eller ulcererende. Tumor er beliggende i dermis eller subcutis, kan være rødlig, hudfarvet eller blålig, evt. med teleangiektasier. Konsistensen varierer fra blød til fast [1-3].

Klinisk er differentialdiagnoserne blandt andre epidermoidcyste, cystisk basalcellekarcinom, spinocellulært karcinom, neurom, hordeolum, hæmangiom, pyogent granulom, lipom, keratoakantom, melanom og metastase fra adenokarcinom. Størrelsen er oftest under 3 cm (set op til 20 cm i diameter). Der er i alt rapporteret 227 cases, og tumor opstår oftest i aldersgruppen fra 60 til 80 år (spændvidde 8-92 år).

PKMK kan vokse invasivt og har tendens til lokalrecidiv (32%), men kan også metastasere til lymfeknuder (6%) og sjældent til indre organer (2%) med døden til følge [1-3].

Sygehistorie

En 63-årig kvinde blev i november 2001 henvist fra en praktiserende dermatolog til Plastikkirurgisk Afdeling med et biopsiverificeret mucinøst karcinom i regio occipitalis. Tumor var vokset igennem fire år og målte ca. to cm, den var kuppelformet med rødlig, teleangiektatisk overflade og ulceration. Patienten havde 35 år tidligere fået foretaget højresidig parotidektomi og præoperativ strålebehandling for en mixed parotistumor (pleomorft adenom). Patienten var i øvrigt i behandling for epilepsi, depression og osteoporose.

I januar 2002 blev der foretaget ekscision i en centimeters afstand og dækning af defekten med lokal lapplastik. Diagnosen blev bekræftet ved mikroskopi, men man kunne ikke udelukke metastase fra et mucinøst adenokarcinom i f.eks. mamma. Tumorcellerne var negative for cytokeratin 20 (CK-20), hvorfor metastase fra coloncancer fandtes mindre sandsynligt. Mammografi og ultralyd inklusive aksiller viste fibroadenomatose, men intet malignt.

Idet der ved mikroskopien var usikkerhed om, hvorvidt tumor var fjernet i sundt væv, blev der foretaget yderligere reekscision af tumor i to centimeters afstand, centralt medtagende periost og dækning af defekten med delhudstransplantat. Mikroskopi viste ingen resttumor.

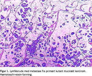
Fem år senere blev der konstateret recidiv tæt på kanten af transplantatet. Recidivet blev ekscideret i to centimeters afstand inklusive periost, og defekten blev lukket med lapplastik. Ved mikroskopi fandtes ligesom i de tidligere præparater epiteliale celleøer beliggende i et mucinøst materiale adskilt af tynde bindevævsseptae (Figur 1 ). Cellerne var små og ensartede og dannede stedvist tubulære formationer. Immunfarvninger viste udbredt og kraftig positiv reaktion for CK-7 og østrogenreceptor. Gross cystic disease fluid protein (GCDFP-15) og CK-20 var begge negative.

Morfologi og øvrige kliniske resultater fandtes forenelige med primært kutant mucinøst karcinom.

Ved klinisk kontrol tre måneder senere havde patienten selv bemærket en lymfeknude på venstre side af halsen. Finnålsbiopsi herfra viste maligne epiteliale tumorceller. Lymfeknuden kunne ses på en efterfølgende positronemissionstomografi (PET)/computertomografi (CT), men var PET-negativ. I øvrigt fandtes ingen malignitetssuspekte foci. Der blev udført bagre halsglandeleksairese svarende til niveau II-V i henhold til klassifikationen af Robbins KT et al [4]. Seks af 28 fjernede lymfeknuder indeholdt metastaser fra det mucinøse adenokarcinom.

Diskussion

Der er i alt publiceret 227 tilfælde af PKMK frem til december 2007 [1]. Tumor recidiverer ofte lokalt og kan i sjældne tilfælde metastasere til lymfeknuderne eller indre organer. Denne patient udviklede både lokalrecidiv og metastaser til de regionære lymfeknuder. Efter seks års opfølgning er der ingen tegn på fjernmetastaser.

Ofte bliver PKMK tolket som en metastase fra en okkult og mere aggressiv cancer, f.eks. mamma eller colon. For at undgå at patienterne skal leve i denne fejlagtige tro, er det vigtigt at have kendskab til denne differentialdiagnose. Diagnosen kan med stor sikkerhed stilles ved hjælp af det histologiske billede samt ved at udelukke anden primær tumor ved mammografi, koloskopi og computertomografi.

Da PKMK har en dødelighed på ca. to procent, er det vigtigt at få stillet den rette diagnose, så patienten kan blive behandlet adækvat. Idet tumor klinisk præsenterer sig meget varierende, bør man altid sende eksciderede hudtumores til histologisk undersøgelse. Behandlingen er primært kirurgisk ekscision, da strålebehandling og kemoterapi ikke er bevist at have effekt [1].

Summery

Primary mucinous carcinoma of the skin

Ugeskr Læger 2008;170(43):3403-3404

Primary mucinous carcinoma of the skin is a rare malignant tumour originating from the sweat glands. It is often misdiagnosed clinically since it has an uncharacteristic and variable presentation, and microscopically because it resembles a cutaneous metastasis from the more frequent mucinous adenocarcinomas of the colon, mammae, lungs and ovaries. The tumour often recurs, but mortality is low. We present a case with regional lymph node metastases five years after excision of the primary tumour.



Korrespondance: Line Bro Breiting , Plastikkirurgisk Afdeling V, Herlev Hospital, DK-2730 H erlev. E-mail: line.breiting@get2net.dk

Antaget: 19. juni 2008

Interessekonflikter: Ingen



Sidebar placering
Venstrestillet
Article type
Journal
Magazine
Section
References

<ol class="Litt-list">
<li>Breiting LB, Christensen L, Dahlstrøm K et al. Primært mucinøst karcinom i huden- en oversigt over litteraturen. Ugeskrift for Læger 2008;170:3399-402</li>
<li>Kazakov DV, Suster S, LeBoit PE et al. Mucinous carcinoma of the skin, primary, and secondary: A clinicopathologic study of 63 cases with emphasis on the morphologic spectrum of primary cutaneous forms: homologies with mucinous lesions in the breast. Am J Surg Pathol 2005;29:764-82.</li>
<li>Snow SN, Reizner GT. Mucinous eccrine carcinoma of the eyelid. Cancer 1992;70:2099-104.</li>
<li>Robbins KT, Clayman G, Levine PA et al. Neck dissection classification update: revisions proposed by the American Head and Neck Society and the American Academy of Otolaryngology-Head and Neck Surgery. Arch Otolaryngol Head Neck Surg 2002;128:751-8.</li>
</ol>

Woodwing Id
264477
Fil
Bib ref
Ugeskr Læger 2008;170(43):3403-3404
Authors

Reservelæge Louise Vennegaard Kalialis, reservelæge Line Bro Breiting, overlæge Siri Klausen & overlæge Karin Dahlstrøm Herlev Hospital, Plastikkirurgisk Afdeling V og Patologisk Afdeling Louise Vennegaard Kalialis, Line Bro Breiting, Siri Klausen & Karin Dahlstrøm: Reservelæge Louise Vennegaard Kalialis, reservelæge Line Bro Breiting, overlæge Siri Klausen & overlæge Karin Dahlstrøm Herlev Hospital, Plastikkirurgisk Afdeling V og Patologisk Afdeling Louise Vennegaard Kalialis, Line Bro Breiting, Siri Klausen & Karin Dahlstrøm

0 likes
Read time
5