Medlem i

12 years 10 months
Indholdselementer
Billede
Sidebar placering
Venstrestillet


Malaria forårsages af parasitten Plasmodium , som overføres ved myggestik. Der findes fire humanpatogene arter, hvoraf Plasmodium falciparum er forbundet med den alvorligste, potentielt dødelige form. I Afrika syd for Sahara findes overvejende falciparum-malaria, og det anslås, at infektionen årligt koster 1-3 millioner børn livet [1].

Malaria kan have meget varierende klinisk præsentation især hos børn. Denne kasuistik beskriver tre tilfælde af malaria blandt børn i en gruppe sydsudanesiske flygtninge, der var ankommet til Nordjylland efter flere års ophold i en flygtningelejr i Uganda.

Sygehistorier

I. En treårig dreng med mavesmerter, opkastninger, mørk urin, hovedpine og utilpashed blev indlagt på Børneafdelingen seks dage efter ankomsten til Danmark. Drengen var afebril, men havde haft kulderystelser op til indlæggelsen. Det sidste år i Uganda havde han haft episodevis feber og mavesmerter og fået kinin og klorokin uden laboratorieundersøgelser. Blodprøver viste forhøjet C-reaktivt protein (CRP), let anæmi og normalt trombocyttal. Der var ingen diarre. Som led i udredningen blev der udført mikroskopi af blod, som afslørede P. falciparum -infektion med 2,5% parasitæmi. Drengen blev behandlet med meflokin, og alle symptomer forsvandt. Afføringsprøver var negative for parasitter.

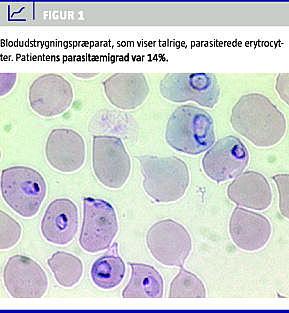
II. + III. En uge senere blev en syvårig dreng indlagt med feber, opkastninger, appetitløshed, myalgier og hovedpine. Han havde i Uganda fået diagnosticeret malaria og var blevet sat i kininbehandling, men havde ikke nået at færdiggøre kuren før afrejse til Danmark. Hans fireårige søster havde hovedpine, var småtspisende og utilpas, men fremstod klinisk upåvirket og var afebril. Blodprøver viste for begge børn anæmi, marginal trombocytopeni og forhøjet C-reaktivt protein. Mikroskopi viste P. falciparum ; drengen havde 5% parasitæmi, mens den afebrile søster havde 14% (Figur 1 ). Begge børn blev behandlet med intravenøs kinin i to døgn, hvorunder parasitgraden faldt, og behandlingen kunne færdiggøres med peroral atovaquon og proguanil.

Diskussion

Malaria kan præsentere sig med en lang række symptomer. Uspecifikke klager som hovedpine, kvalme, utilpashed og muskelsmerter er hyppige. Især hos børn kan desuden ses mavesmerter, diarre, anoreksi, træthed, hoste, dyspnø og/eller hepatosplenomegali. Ingen symptomer er specifikke for malaria, og feber ses ikke nødvendigvis [1, 2]. I vores materiale havde kun en patient feber ved indlæggelsen, og en havde haft kulderystelser hjemme. I en australsk opgørelse af nyankomne afrikanske flygtninge, som alle rutinemæssigt blev undersøgt for malaria, fandtes feber hos 7% af børn med positiv prøve [3]. Blandt børn, der var kommet til USA fra Liberia som flygtninge, havde 27% af de malariaramte feber, heri var medregnet børn, som var afebrile ved undersøgelse, men som havde feber i anamnesen [2].

Tilsvarende er der ingen biokemiske fund, der er specifikke for malaria. Anæmi og trombocytopeni ses hyppigt ved akut, alvorlig malaria, men ikke altid ved mildere former og kun sjældent ved asymptomatisk infektion [4].

Individer, der bor i længere tid i et endemisk område, opbygger over en årrække en delvis immunitet over for malaria og har som regel et mildere forløb [1]. Ofte har børn endnu ikke udviklet denne beskyttelse, og falciparum-malaria kan udvikle sig hurtigt og livstruende, hvorfor det er vigtigt at diagnosticere sygdommen og behandle smittede. Det samme gælder rejsende fra ikkeendemiske områder. I Danmark består diagnostikken i mikroskopi af farvede bloddråbe- og udstrygningspræparater. Metoden kræver både betydelig rutine og en vis parasitæmigrad. I asymptomatiske tilfælde er der rapporteret en sensitivitet på ned til 22-50% [4, 5]. Endvidere er det både i Canada og Storbritannien fundet, at op til 15% af de prøver, der har en lav parasitæmigrad, findes negative i laboratorier med sparsom rutine [5]. En negativ test udelukker således ikke malaria, som stadig bør overvejes, hvis patienten senere udvikler feber eller andre relevante symptomer.

De her præsenterede sygdomsforløb understreger vigtigheden af at have malaria in mente som mulig differentialdiagnose hos børn fra endemiske områder, der udvikler symptomer, som medfører lægekontakt - også hvis symptomerne ikke ledsages af feber.


Gry St-Martin, Tagensvej 34, 1. th., DK-2400 København N. E-mail: gry.stm@gmail.com

Antaget: 16. september 2008

Interessekonflikter: Ingen



Sidebar placering
Venstrestillet
Article type
Journal
Magazine
Section
References

<ol class="Litt-list">
<li>Hoffman SL, Campbell CC, White NJ. Malaria. I: Guerrant RL, Walker DH, Weller PF, eds. Tropical infectious diseases 2nd ed. Philadelphia: Elsevier, 2006:1024-62.</li>
<li>Maroushek SR, Aguilar EF, Stauffer W et al. Malaria among refugee children at arrival in the United States. Pediatr Infect Dis J. 2005;24:450-2.</li>
<li>Cherian S, Burgner D. Selective ambulatory management of Plasmodium falciparum malaria in paediatric refugees. Arch Dis Child. 2007;92:983-6.</li>
<li>Stauffer WM, Newberry AM, Cartwright CP et al. Evaluation of malaria screening in newly arrived refugees to the United States by microscopy and rapid antigen capture enzyme assay. Pediatr Infect Dis J. 2006;25:948-50.</li>
<li>Ndao M, Bandyayera E, Kokoskin E et al. Comparison of blood smear, antigen detection, and nested-PCR methods for screening refugees from regions where malaria is endemic after a malaria outbreak in Quebec, Canada. J Clin Microbiol 2004;42:2694-700.</li>
</ol>

Woodwing Id
270323
Fil
English summary

Summary Gastrointestinal symptoms predominant in refugee children with malaria Ugeskr L&aelig;ger 2009;171(38):2747-2748 We present three cases of malaria in refugee children newly arrived from Sub-saharan Africa. Only one of the three children had fever and all had high parasite loads (2,5-14% parasitemia). Malaria is an important differential diagnosis in refugees from endemic areas, regardless of whether they present with fever.

Bib ref
Ugeskr Læger 2009;171(38):2747-2748
Authors

Reservelæge Gry St-Martin, reservelæge Mikkel Thusgaard, bioanalytiker Hanne Marie Simonsen & overlæge Tove Højbjerg Aalborg Sygehus, Klinisk Mikrobiologisk Afdeling

0 likes
Read time
4