Medlem i

12 years 10 months
Indholdselementer
Billede
Sidebar placering
Venstrestillet


Primært adenokarcinom i ureter er en ekstrem sjælden tilstand, som udgør mindre end 1% af maligne tumorer i de øvre urinveje. En 62-årig tidligere rask kvinde debuterede med flankesmerter, som viste sig at være forårsaget af et adenokarcinom i ureter. Patienten døde få måneder postoperativt på grund af dissemineret sygdom.

Primært adenokarcinom (PAC) i ureter er en ekstremt sjælden tilstand, som udgør mindre end 1% af maligne tumorer i de øvre urinveje. Symptomerne kan være flankesmerter, hæmaturi eller en udfyldning i abdomen, men oftest er tilstanden asymptomatisk i de tidlige stadier. Diagnosen er kompliceret, idet symptomerne og radiografiske fund er meget varierende. Behandlingen er nefroureterektomi evt. i kombination med stråle- og kemoterapi. Prognosen er dårlig pga. sen diagnose [1, 2].

Sygehistorie

En 62-årig tidligere rask kvinde blev henvist til urologisk ambulatorium på grund af vedvarende smerter i venstre flanke igennem otte måneder. Ved ultralydsundersøgelse af nyrerne blev der påvist svær venstresidig hydronefrose. Efterfølgende renografi viste stærkt nedsat funktion af venstre nyre svarende til 5% af den samlede nyrefunktion. Comptertomografi af uterer påviste udtalt venstresidig hydronfrose og afsmalnet parenkymbræmme samt en fire centimeter rund proces mellem nyren og aorta med central opklaring. Patienten fik foretaget venstresidig nefroureterotomi pga. konstante smerter.

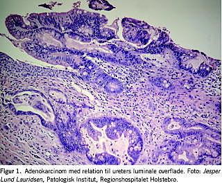
Patologidiagnose var primært adenokarcinom af mucinøs type i ureter, som morfologisk fuldstændigt lignede et colon-adenokarcinom. Det var en kraftig slimproducerende cancer med meget slim i lumina, og det blev overvejet, om det kunne være spredning fra et andet adenokacinom i regionen. Men immunhistokemi viste, at tumorcellerne både var CK7- og CK20-positive, hvilket talte for, at tumor primært var udgået fra urotel i ureter (Figur 1 ). Tumor var vokset direkte igennem uretervæggen og helt ud i det omkringliggende fedtvæv. Man fandt ikke dysplasi svarende til ureters overflade. I selve nyreparenkymet var der sekundære forandringer, som svarede til en svær kronisk pyelonefrit.

Kontrol-computertomografi fire uger senere var uden tegn på recidiv eller metastaser. Patienten havde imidlertid fået nytilkomne lændesmerter og man bestilte derfor en magnetisk resonans (MR)-skanning af columna og bækkenpartiet, som viste knoglemetastaser samt en retroperitoneal tumorproces på L2/L3-niveau. Patienten fik palliativ strålebehandling herfor.

Seks uger efter MR-skanningen blev patienten genindlagt pga. udtalte kvalme og opkastninger. Computertomografi af abdomen viste ventrikel- og duodenalretention. Ved øsofagusgastrodudodenoskopi fandt man stenose af duodenum. Biopsi herfra viste duodenal slimhinde med submukøs infiltration af metastatisk adenokarcinom.

Patienten døde to måneder senere.

Diskussion

Der findes tre undertyper af adenokarcinom i ureter: tubulovilløst (71,5%), mucinøst (21,5%) og papillært nonintestinalt (7%). Ætiologien er ukendt. PAC i ureter/fraførende urinveje menes at være associeret med kronisk obstruktion, hydronefrose og inflammation [1-3]. Symptomerne kan variere fra ingen til f.eks. flankesmerter pga. obstruktion og distention af pelvis.

Få debuterer med en udfyldning i abdomen eller i flanken evt. kombineret med knoglesmerter, vægttab eller anoreksi [4, 5]. Patienten havde som eneste symptom flankesmerter, der var forårsaget af hydronefrose.

Udredningsmæssigt bruges computertomografi til diagnostik, stadieinddeling og vurdering af disseminering.

Behandlingen afhænger af undertypen. Initial behandling af mucinøst og tubolovilløst adenokarcinom er nefroureter-ektomi med efterfølgende strålebehandling og/eller adjuverende kemoterapi. Papillært nonintestinalt adenokarcinom behandles med nefroureterektomi.

Overlevelsen afhænger af undertypen. Den tubulovilløse type er den mest aggressive med en femårsoverlevelse på 30%, mens den samlede femårsoverlevelse for den mucinøse type er 67% og 100% for den papillære nonitestinale type [3].

Tidlig diagnostik er nødvendig for at kunne igangsætte behandlingen hurtigst muligt og dermed undgå dissemineret sygdom på diagnosetidspunktet.


Line Marie Holst, Urinvejskirurgisk Afdeling, Regionshospitalet Holstebro, Lægårdvej 12, DK-7500 Holstebro.

E-mail: drholst@hotmail.com

Antaget: 7. januar 2008

Interessekonflikter: Ingen



Sidebar placering
Venstrestillet
Article type
Journal
Magazine
Section
References

<ol class="Litt-list">
<li>Papadopoulos I, Wirth B, Weichert-Jacobsen K et al. Primary squamous cell carcinoma of the ureter and squamous adenocarcinoma of the renal pelvis: 2 case reports. J Urol 1996;155:288-9.</li>
<li>Spires SE, Bank ER, Cimbull ML et al. Adenocarcinoma of the renal pelvis. Arch Pathol Lab Med. 1993:117:1156-60.</li>
<li>Busby JE, Brown GA, Tamboli P et al. Upper urinary tract tumors with nontransitional histology: a single-center experience, Urology 2006;67:518-23.</li>
<li>Haitel A, Weiner HG, Susani M. Primary adenocarcinoma of the ureter. Case report with immunohistochemical characterization. Pathol Res Pract. 1996; 192:81-5.</li>
<li>Wein AJ. Urothelial tumors of the upper urinary tract, R.C. Flanigan, kapitel 48, Campbell-Walsh Urology 9th edition 2007, Saunders, Philidelphia Editor-in-Chief, 1638-52.</li>
</ol>

Woodwing Id
246273
Fil
Bib ref
Ugeskr Læger 2009;171(7):534
Authors

Reservelæge Line Marie Holst, 1. reservelæge Jørgen Bjerggaard Jensen, overlæge Peter Bue & læge Leif Godthaab Hansen Regionshospitalet Holstebro, Urinvejskirurgisk Afdeling og Patologisk Afdeling

0 likes