Medlem i

13 years 1 month
Indholdselementer
Billede
Sidebar placering
Venstrestillet
Billede
Sidebar placering
Venstrestillet
Billede
Sidebar placering
Venstrestillet


Den præoperative biopsi er en del af den tripeldiagnostik, der i dag betragtes som guldstandarden i udredningen af patienter med symptomer fra brystet. Tripeltesten består af tre delelementer: palpation, billeddiagnostik (mammografi evt. suppleret med ultralydundersøgelse) og biopsi, enten som finnålsaspirationscytologi (FNAC) eller som grovnålsbiopsi. De i tripeltesten implicerede faggrupper - kirurg, billeddiagnostiker og patolog - udgør evt. suppleret med onkolog det integrerede diagnostiske system [1]. Ideelt bør disse faggrupper mødes til konference minimum en gang ugentligt for at diskutere de patienter, der har fået udført tripeltest, og planlægge det videre forløb.

På europæisk plan er der specielt for mammografiscreening opstillet detaljerede retningslinjer for sikring af kvaliteten både på det multidisciplinære niveau og for de enkelte faggrupper. Disse retningslinjer kan også appliceres på patienter uden for screeningspopulationen [2]. I det følgende vil vi beskrive den patoanatomiske diagnostik i tripeltesten, herunder fordele og ulemper ved de to biopsityper, og kvalitetssikring af det diagnostiske udsagn.

Finnålsaspirationscytologi
Diagnostiske kategorier

Man har internationalt vedtaget at benytte sig af fem diagnostiske udsagn, der er entydigt definerede, og har fået tildelt et bogstav og nummer (Tabel 1 ).

Fordele og ulemper

Fordelene ved finnålsaspiration er, at metoden er let, hurtig og billig. Det er også den eneste metode til udtømning af cystemateriale. Metoden er et naturligt valg ved palpable forandringer. Nålen kan ved ikkecystiske læsioner under vakuum føres frem og tilbage i hele området, hvilket sikrer et repræsentativt materiale også fra heterogene forandringer. Metoden er også at foretrække ved palpable lymfeknuder i aksillen.

Det er en forudsætning, at såvel punktør som patolog har erfaring med metoden, og dens grad af anvendelse varierer i Europa [3, 4]. Risiko for egentlig fejlfortolkning foreligger ved hypocellulære og stromale forandringer. Nekrose og mikroforkalkninger er problematiske, og det er oftest ikke muligt at skelne mellem karcinom in situ og invasivt karcinom. Ultralydvejledt finnålsbiopsi muliggør metodens anvendelse også ved ikkepalpable forandringer enten alene eller om muligt som supplement til grovnålsbiopsi. Immuncytokemi vil kun undtagelsesvis være anvendelig i diagnostisk øjemed, men receptorbestemmelse er mulig. Dette kræver dog dels, at metoderne er sat op specielt til cytologisk materiale, og dels at der foreligger tilstrækkeligt mange velegnede udstrygninger.

Grovnålsbiopsi
Diagnostiske kategorier

Også i grovnålsdiagnostikken har man valgt at anvende et system med fem diagnostiske kategorier. Der er en vis analogi mellem systemerne, men det er ikke muligt umiddelbart at oversætte de diagnostiske udsagn.

Fordele og ulemper

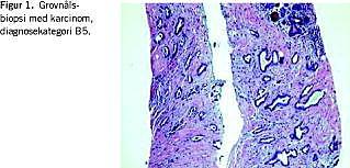
Fordelene ved grovnålsbiopsi (Figur 1 ) er mange og veldokumenterede [2, 5]. Metoden har været anvendt i Danmark i mange år og anvendes i dag af såvel kirurger som specialister på de billeddiagnostiske afdelinger. Tilstedeværelsen af mikroforkalkninger kan bekræftes med denne metode, og læsionen kan karakteriseres bedre end ved FNAC. Det er her muligt at skelne mellem invasivt karcinom og karcinom in situ. Der er imidlertid den ulempe, at selv om det blot er en minimal vævscylinder, som udhentes, så er der grænser for det antal biopsier, man kan udtage fra samme læsion. Det betyder, at undersøgelsen af heterogene forandringer kan være ufuldstændig.

Ikke desto mindre er det i dag den foretrukne metode, både når det gælder palpable og ikkepalpable malignitetssuspekte forandringer. Fejlkilderne er bortset herfra de samme som ved finnålsbiopsi, og begge metoder kan berede patologerne vanskeligheder med fortolkning af lavmalign cancer, proliferative benigne og atypiske læsioner samt reaktive forandringer på grund af betændelse, følger efter behandling og ved graviditet eller amning [6]

Immunhistokemi

Da grovnålsbiopsien er en vævsundersøgelse, kan patologerne her anvende hele det stadigt voksende repertoire inden for immunhistokemien. Dette gælder ikke blot for diagnosen som sådan, men også for prognostiske og prædiktive faktorer, de senere år i første række hormonreceptorer og human epidermal væstfaktorreceptor 2 (HER2)-status. [7]. Da alle epiteliale celler indeholder cytokeratiner, kan antistoffer imod disse bruges til at afsløre f.eks. cancerceller, som vokser meget diffust i vævet og derfor er vanskelige at erkende som sådanne. Det kan f.eks. være i differentialdiagnosen mellem invasivt lobulært karcinom og forskellige reaktive tilstande.

En meget anvendelig gruppe af antistoffer er rettet mod de myoepiteliale celler, som ligger yderst mod basalmembranen i normale gangstrukturer. Påvisning af myoepiteliale celler udelukker invasiv cancer. Antistofferne kan derfor anvendes til at skelne mellem karcinom in situ og invasivt karcinom eller mellem et radialt ar og en tubulær cancer (Figur 2 ). Det er dog vigtigt at erindre, at manglende påvisning af myoepiteliale celler skal fortolkes med stor varsomhed og under hensyntagen til morfologien. Det er derfor også en god ide at anvende to eller flere antistoffer i hvert tilfælde. De mest anvendte antistoffer er rettet mod cytokeratin 14 eller smooth muscle myosin heavy chain (SM-MHC), men også p63- og smooth muscle actin -antistoffer anvendes.

Papillomatøse tumorer udgør et særligt problem. Disse tumorer kan være heterogene, og selv om der kan påvises myoepiteliale celler bør diagnosen være B3: atypisk histologisk forandring, og diagnostisk excisionsbiopsi tilrådes.

Duktalt karcinom in situ (DCIS) diagnosticeres ligesom invasivt karcinom som B5: malign. Lobulært karcinom in situ (LCIS) diagnosticeres derimod som B3: atypisk histologisk forandring. Det kan være vanskeligt at skelne mellem disse, og man kan få hjælp af immunhistokemisk farvning for E-cadherin, som er negativ i LCIS. Dog bør den pleomorfe variant af LCIS diagnosticeres som B5.

Metastaser til brystet er meget sjældne, men også i disse tilfælde kan man få hjælp af en lang række antistoffer.

Man må forudse , at behovet for yderligere molekylærbiologiske undersøgelser fremover vil være stigende i takt med at neoadjuverende, målrelateret behandling vinder indpas.

Kvalitetssikring

Den stringente anvendelse af kun fem diagnostiske kategorier ved henholdsvis FNAC og grovnålsbiopsi er ikke bare en fordel i det daglige kliniske arbejde, men muliggør desuden udregning af et kvantitativt mål for kvaliteten af den samlede biopsidiagnostik. I de europæiske retningslinjer [2] anvises formler for udregning af ni statistiske kvalitetsmål for FNAC og syv for grovnålsbiopsier med tilhørende standarder for acceptabel/god kvalitet. Det er vigtigt ikke at fokusere på en enkelt kvalitetsparameter, men at forsøge at opnå en samlet høj kvalitet. Hvis man prøver isoleret at forbedre en parameter vil de andre også påvirkes. F.eks. vil forsøg på at forøge sensitiviteten ofte også medføre en højere falsk positiv-rate. Forsøg på at forbedre specificiteten vil formentlig medføre en højere falsk negativ-rate osv.

Konklusion

Præoperativ biopsidiagnostik er en af de tre grundelementer i tripeltesten. Biopsierne kan tages med grovnål (histologi) og/eller finnål (cytologi). Begge metoder har hver deres fordele og ulemper, men ingen af dem kan alene danne grundlag for det endelige kirurgiske indgreb. Dette afgøres ved konsensus mellem klinisk undersøgelse, billeddiagnostik og patologi [8]. Det er en forudsætning, at de anvendte metoder kvalitetssikres. Antallet af usikre diagnoser som C3/C4 og B3/B4 bør holdes på et minimum, da disse diagnoser udløser yderligere udredning som f.eks. diagnostisk excisionsbiopsi.


Birgitte Bruun Rasmussen , Patologiafdelingen, Nordsjællands Hospital, Hillerød, DK-3400 Hillerød.

E-mail: bbr@noh.regionh.dk

Antaget: 10. maj 2007

Interessekonflikter: Ingen angivet





Sidebar placering
Venstrestillet
Article type
Journal
Magazine
Section
References

<ol class="Litt-list">
<li>Brystkræft. Tidlig opsporing og undersøgelse. København: Sundhedsstyrelsen 1999.</li>
<li>European guidelines for quality assurance in breast cancer screening and diagnosis. 4th Ed. Bruxelles: European Commission, 2006.</li>
<li>Kocjan G, Feichter G, Hagmar B et al. Fine needle aspiration cytology: a survey of current European practice. Cytopathology 2006;17:219-26.</li>
<li>Sauer T, Myrvold K, Lomo J et al. Fine needle aspiration cytology in nonpalpable mammographic abnormalities in breast cancer screening: results from the breast cancer screening programme in Oslo 1996-2001. Breast 2003;12:314-9.</li>
<li>Ellis IO, Humphreys S, Michell M et al. Guidelines for breast needle core biopsy handling and reporting in breast screening assessment. J Clin Pathol 2004;57:897-902.</li>
<li>Putti TC, Pinder SE, Elston CW et al. Breast pathology practice: Most common problems in a consultation service. Histopathology 2005;47:445-57.</li>
<li>Lerwill MF. Current practical applications of diagnostic immunohistochemistry in breast pathology. Am J Surg Pathol 2004;28:1076-91.</li>
<li>Jensen A, Rank F, Dyreborg U et al. Performance of combined clinical mammography and needle biopsy: a nationwide study from Denmark. APMIS 2006;114:884-92.</li>
</ol>

Woodwing Id
262575
Fil
English summary

Summary Preoperative biopsy diagnosis in suspicion of breast cancer: Ugeskr L&aelig;ger 2007;169(36):2985-2987 The golden standard in non-operative breast cancer diagnosis is the triple test, a combination of clinical evaluation, mammography/ultrasound and needle biopsy, either fine needle aspiration cytology (FNAC) or histological core biopsy. FNAC and core biopsy both have advantages and disadvantages but neither of them can act as a decisive diagnostic procedure on its own. The final diagnosis should always be a consensus between the three diagnostic modalities in the triple test. Quality assurance of the pathological diagnosis is a must. The number of uncertain diagnoses i.e. atypia or suspicion of malignancy should be kept at a minimum. These diagnostic categories call for additional diagnostic procedures and thereby cause a delay in reaching the final diagnosis leading to definitive treatment.

Bib ref
Ugeskr Læger 2007;169(36):2985-2987
Authors

Overlæge Birgitte Bruun Rasmussen, ledende overlæge Martin Bak & overlæge Fritz E. Rank Nordsjællands Hospital, Hillerød, Patologiafdelingen, Odense Universitetshospital, Afdeling for Klinisk Patologi, og Rigshospitalet, Patologiafdelingen

0 likes
Read time
7