Medlem i

12 years 10 months
Indholdselementer
Billede
Sidebar placering
Venstrestillet
Billede
Sidebar placering
Venstrestillet


Overvækst af knogle kan opdeles i to typer: ortotop ossifikation og heterotop ossifikation. Her rapporteres tre sygehistorier, hvor knoglevækst hos voksne i efterforløbet af elektiv amputation medførte komplikationer. Sygehistorierne understreger, at postoperativ knogledannelse er en vigtig differentialdiagnose ved stumpsmerter efter amputation. Postoperativ knogledannelse er meget sparsomt beskrevet i litteraturen. Yderligere er heterotop ossifikation ikke tidligere beskrevet i efterforløbet af elektiv amputation, men kun som følge af amputation efter traumer.

Overvækst af knogle efter operation eller traume kan opdeles i to typer [1]: ortotop ossifikation hvor væksten sker i direkte forlængelse af en resterende knoglestump, og heterotop ossifikation hvor dannnelse af trabekulær knogle foregår i væv, der normalt ikke ossificerer. Begge typer knoglevækst ses efter amputation og kan forårsage stumpgener i efterforløbet [1].

Her beskrives tre sygehistorier, hvor knoglevækst postoperativt var årsag til stumpsmerter efter elektiv crusamputation.

Sygehistorier

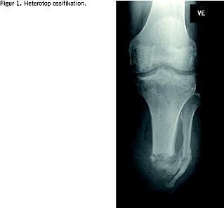
I. En 48-årig mand havde svære kroniske smerter i venstre crus som følge af posttrombotisk syndrom. Efter crusamputation blev det postoperative forløb kompliceret af infektion og gentagne reoperationer. Ved kontrol tre måneder efter udskrivelse havde patienten diskrete fantomsmerter og begyndende neurogene smerter i stumpområdet. Stumpcikatricen var reaktionsløs. Der fandtes betydelig palpationsømhed medialt fortil. En røntgenundersøgelse viste en stor, spids synostose distalt mellem fibula og tibia på samme sted som ømheden. En del af knoglenydannelsen udgik fra bløddelene (Figur 1 ). Synostosen excideredes, og man løsnede en nervegren, der var fast indlejret i knoglekonglomeratet. Knoglekonglomeratet blev fjernet, og indomethacinbehandling blev påbegyndt. Ved en opfølgning seks måneder senere var patienten smertefri. Ved en kontrolrøntgen sås der ingen tegn på heterotop ossifikation.

II. En 71-årig mand, der havde udtalt aterosklerotisk sygdom, hypertension og type 2-diabetes, tidligere akut myokardieinfarkt og aortaaneurisme, blev i 2003 crusamputeret efter arteriel emboli i højre a. poplitea. Det postoperative forløb var ukompliceret uden smerter og med god vægtbæring på stumpdelen. Få måneder efter amputationen fik patienten tryksår ved stumpspidsen. Området var velvaskulariseret med god behåring, men med palpabel knogle umiddelbart under huden. Dette blev bekræftet ved en røntgenkontrol (Figur 2 venstre foto). En spids, skarp eksostose med ovenliggende bursa ved det laterale hjørne excideredes. Ni måneder senere var patienten fortsat smertefri.

III. En 74-årig kvinde fik efter total hoftealloplastik arteriel emboli og deraf følgende crusamputation. Efter næsten tre år, hvor hun havde været mobiliseret med protese, fik hun et inficeret sår ud for stumpspidsen. Dette blev af flere omgange på baggrund af dyrkningssvar behandlet med antibiotika hos egen læge, men uden heling. Der var god gennemblødning, og radiologisk fandt man tegn på ossifikation (Figur 2 højre foto), som blev fjernet kirurgisk. Såret helede, og patienten kunne mobiliseres uden gener fra sin protese.

Diskussion

Knoglevækst i amputationsefterforløb er i litteraturen primært beskrevet hos børn, hvor man karakteristisk ser en konisk forlængelse af knoglen (prævalens 4-35%), hvilket ofte medfører stumpproblemer med flere reoperationer til følge [2].

Efter skeletal modning er knoglevækst i relation til stumpen mindre hyppig [3, 4]. Vi har dog i litteraturen ikke kunnet finde oplysninger om forekomsten efter amputation hos voksne. Hyppigst ses der dannelse af ektopiske sporer [5]. Disse regnes ofte for at være asymptomatiske og nævnes formentlig derfor sjældent i lærebøger. Derimod er der kun rapporteret om to tidligere tilfælde af heterotop ossifikation som årsag til stumpproblemer efter amputation. I begge tilfælde var amputationen forudgået af svære traumer. Der er ikke tidligere rapporteret om heterotop ossifikation efter elektiv amputation som ved sygehistorie I.

Patogenesen bag knoglevæksten er kun delvist kendt. Graden af denne formodes at være styret af lokale sårhelingsreaktioner, afhængigt af skaden på det potentielt osteogene væv (knogle, brusk periost og muskelvæv) før og under amputationen [4]. Hos børn er der påvist en dobbelt så høj incidens af knoglevækst ved posttraumatisk amputation (43%) som ved elektive amputationer (20%) [1, 3]. Hvorvidt graden af knoglenydannelse hos voksne er relateret til graden af præ- eller postoperativt traume, vides dog reelt ikke. Således kendes betydningen af graden af det kirurgiske traume heller ikke. Rent operationsteknisk menes sufficient dække med periost at være vigtig for at undgå knoglevækst postoperativt [5].

Det postoperative forløb hos den amputerede er ikke sjældent kompliceret af stumpgener [5]. Smerter kan opstå bl.a. som følge af tryksår, infektion, dårlig protesetilpasning eller neuromdannelse. Det kan være vanskeligt at fastslå årsagen, idet de kliniske fund ofte er uspecifikke. Formålet med dette arbejde er at henlede opmærksomheden på komplikationer forårsaget af postoperativ ossifikation, såvel ortotop som heterotop. Fænomenet er kun yderst sparsomt beskrevet i litteraturen. De tre sygehistorier illustrerer forskellige kliniske tilstande, inklusive infektion i stumpen, forårsaget af postoperativ knogledannelse. Hvis stumpgenerne tolkes som sår på iskæmisk eller diabetisk baggrund eller som følge af dårlig protesetilpasning risikerer man lange, komplicerede rehabiliteringsforløb og muligvis unødvendig amputation på højere niveau. Ved omhyggelig anamnese, objektiv og paraklinisk undersøgelse (undersøgelse af gennemblødning i området og/eller røntgenoptagelse) kan man sikre protesefunktionen efter et minimalt kirurgisk indgreb (excision af overskydende knogle).

Knoglevækst som differentialdiagnose bør således altid udelukkes tidligt i forløbet ved stumpgener. Amputation på højere niveau kan formentlig i visse tilfælde undgås. Herved reduceres tillige risikoen for at patienten bliver kørestolsbruger, ligesom sandsynligheden for anvendelse af ofte kostbare proteser reduceres. Det er dog ønskværdigt med en afklaring af disse forhold gennem yderligere undersøgelser, og vi planlægger derfor et studie med henblik på dette.


Summary

Residual limb pain from bone overgrowth after amputation

Ugeskr Læger 2008;170(40):3129-3131

Bone overgrowth is classified as either heterotopic or orthotopic ossification. Three cases are reported in which bone overgrowth caused complications in three adult amputees. The cases demonstrate that bone overgrowth is an important differential diagnosis to residual limb pain following amputation. Bone overgrowth after amputation is very seldom described in literature. Furthermore, heterotopic ossification has not previously been reported following complications to initial amputation but only in traumatic amputees.


Niels Risum , Gasværksvej 4B, 2., DK-1656 København V. E-mail: nielsrisum@hotmail.com

Antaget: 10. april 2007

Interessekonflikter: Ingen




Sidebar placering
Venstrestillet
Article type
Journal
Magazine
Section
References

<ol class="Litt-list">
<li>Dudek NL, DeHann MN, Marks MB. Bone overgrowth in the adult traumatic amputee. Am J Phys Med Rehabil 2003;82:897-900.</li>
<li>AK Vocke, A Schmid. Osseus overgrowth after post-traumatic amputation of the lower extremity in childhood. Arch Ortop Trauma Surg 2000;120;452-4.</li>
<li>Abraham E. Operative treatment of bone overgrowth in children who have an acquired or congenital amputation. J Bone Joint Surg (Am) 1996;78:1287-8.</li>
<li>O'Neal ML, Bahner R, Ganey TM et al. Osseus overgrowth after amputation in adolescents and children. J Pediatr Orthop 1996;16:78-84.</li>
<li>Henrot P, Stines J, Walter F et al. Heterotopic ossification: imaging of the painful lower limb stump. Radiographics 2000;20:219-35.</li>
</ol>

Woodwing Id
275750
Fil
English summary

Summary Residual limb pain from bone overgrowth after amputation Ugeskr L&aelig;ger 2008;170(40):3129-3131 Bone overgrowth is classified as either heterotopic or orthotopic ossification. Three cases are reported in which bone overgrowth caused complications in three adult amputees. The cases demonstrate that bone overgrowth is an important differential diagnosis to residual limb pain following amputation. Bone overgrowth after amputation is very seldom described in literature. Furthermore, heterotopic ossification has not previously been reported following complications to initial amputation but only in traumatic amputees.

Bib ref
Ugeskr Læger 2008;170(40):3129-3131
Authors

Læge Niels Risum, fysioterapeut Anne Grønbæk & afdelingslæge Jørgen Jesper Hvolris Bispebjerg Hospital, Ortopædkirurgisk Afdeling og Fysioterapi

0 likes
Read time
6