Medlem i

12 years 10 months
Indholdselementer
Billede
Sidebar placering
Venstrestillet


De ekkrine kirtler producerer hypotonisk sved til regulering af legemstemperaturen. De findes over det meste af kroppen og er særlig talrige på håndflader og fodsåler.

Primære adenokarcinomer opstået i de ekkrine svedkirtler er yderst sjældne. Porokarcinom er den hyppigste variant med en forekomst på 18:450.000 hudbiopsier (1).

Da denne type cancer aldrig tidligere er beskrevet på dansk, præsenteres her en sygehistorie, der viser det typiske kliniske billede på porokarcinom.

Sygehistorie

En 73-årig kvinde blev henvist med en biopsiverificeret malign adnextumor, et porokarcinom, på højre fod. Patienten havde ni måneder tidligere opdaget et sår på foden, som først blev behandlet konservativt. Paraklinisk var blodprøver normale og røntgen af thorax viste normale forhold. Ved den objektive undersøgelse fandtes en 11/2 × 21/2 cm stor eleveret tumor med ulceration. Tumoren var ikke fikseret til den underliggende fascie. Der var ikke kliniske tegn på regional metastasering, idet der ikke fandtes patologisk glandelforstørrelse eller yderlige kutane læsioner. Tumoren blev excideret makroradikalt i en centimeters afstand og dækket af delhudstransplantat.

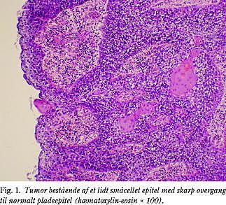
Ved mikroskopien sås hud beklædt med småcellet epitel med lange relativt velafgrænsede tunger, der strakte sig i dybden. Der var tendens til, at cellerne blev større i den dybere del af tumoren. Kernerne havde varierende størrelse, var hyperkromatiske, og nogle var kantede. En del kerner indeholdt store eosinofile nukleoler, og der var få spredt beliggende mitoser. Cytoplasmaet fremtrådte i områder klart, og ved specialfarvning sås det, at disse celler indeholdt rigeligt glykogen. Ud fra disse fund blev det konkluderet, at diagnosen var porokarcinom.

Der var flere steder abrupt overgang til normalt pladeepitel, og i stromaet sås, i relation til tumoren, mange lymfocytter og plasmaceller (Fig. 1 ). Grunden til dette er, at disse fund også er diagnostiske (2).

Resektionsrandene samt bunden var uden tegn på malignitet.

Diskussion

Det første tilfælde af ekkrint porokarcinom (EPC) blev beskrevet i 1963 af Pinkus & Mehregan (3). Siden er der i litteraturen rapporteret om ca. 150 tilfælde (4). Patienter med EPC har en gennemsnitsalder på 67 1/2 år (19-90 år) på diagnosetidspunktet. Begge køn rammes ligeligt (5), og der er ingen evidens for familiær disposition eller udløsende faktorer (6).

Læsionen har ofte været til stede i flere år inden den er blevet diagnosticeret. Den kan variere 1-10 cm i diameter og kan forekomme overalt, hvor der er ekkrine svedkirtler. 50% af tilfældene optræder på underekstremiteterne (30% på benene, 18% på fødderne) (7).

EPC ses makroskopisk som en isoleret lille knude eller et sår. Det er som regel rødt, men kan også være hudfarvet eller pigmenteret (8). Porokarinomet kan opstå de novo eller i forbindelse med et benignt ekkrint poroma (9). De kliniske differentialdiagnoser inkluderer andre neoplasier såsom basalcellekarcinom, seborroisk keratose og pyogent granulom.

Tumoren opstår fra den intraepidermale del af den ekkrine svedkirtels udførselsgang, hvor tumorcellerne ses som tunger eller øer af anaplastiske celler, der kan strække sig til forskellige niveauer af dermis. Kernerne er typisk hyperkromatiske og af uens form og størrelse, mens cytoplasmaet er klart og indeholder glykogengranulater. Desuden ses der ofte abnorme mitoser. Et andet karakteristikum er forekomsten af duktale lumina enten intracellulært eller mellem naboceller (1, 3, 5, 8). Manglende pallisadering og manglende kerneanaplasi adskiller ECP fra basalcellekarcinom (9).

Prognosen for patienter med EPC er god. 80% kureres efter kirurgisk excision. Hos 20% ses der recidiv på samme sted som den oprindelige læsion, og hos andre 20% metastaserer tumoren til regionale lymfeknuder. Disse patienter har en mortalitet på 67% (7). Viscerale metastaser kan forekomme, men er mindre hyppige (8).

Strålebehandling har ikke vist sig at have nogen gavnlig effekt (4), hvorfor det må konkluderes, at makroradikal excision er den eneste effektive behandling af porokarcinom.


Rie C. Stavis, Østbanegade 39, st.th., DK-2100 København Ø.

Antaget den 1. oktober 2002.

H:S Rigshospitalet, afdeling for plastikkirurgi og brandsår, og

H:S Bispebjerg Hospital, patologiafdelingen.



Sidebar placering
Venstrestillet
Article type
Journal
Magazine
Section
References

<ol class="Litt-list">
<li>Mehregan AH, Hashimoto K, Rahbari H. Eccrine adenocarcinoma. Arch Dermatol 1983; 119: 104-14.</li>
<li>Weedon D. Skin pathology. Brisbane: Churchill Livingstone, 1997: 746.</li>
<li>Pinkus H, Mehregan AH. Epidermotropic eccrine carcinoma: a case combining features of eccrine poroma and Paget's dermatosis. Arch Dermatol 1963; 88: 597-607.</li>
<li>Plunkett TA, Hanby AM, Miles DW, Rubens RD. Metastatic eccrine porocarcinoma: Response to docetaxel (Taxotere) chemotherapy. Ann Oncology 2001; 12: 411-4.</li>
<li>Shaw M, McKee PH, Lowe D, Black MM. Malignant eccrine poroma: a study of 27 cases. Br J Dermatol 1982; 107: 675-80.</li>
<li>Johnson RC, Rosenmeier GJ, Keeling JH. A painful step. Arch Dermatol 1992; 128: 1533-8.</li>
<li>Snow SN, Reizner GT. Eccrine porocarcinoma of the face. J Am Acad Dermatol 1992; 27: 306-11.</li>
<li>Huet P, Dandurand M, Pignodel C, Guillot B. Metastasizing eccrine porocarcinoma: report of a case and review of the literature. J Am Acad Dermatol 1996; 35: 860-4.</li>
<li>Girishkumar H, Kamineni S, Hwang RR, Levy J, Sadler R. Eccrine porocarcinoma. Dermatol Surg 1997; 23: 583-4.</li>
</ol>

Woodwing Id
269175
Fil
English summary

Summary Porocarcinoma. Ugeskr L&aelig;ger 2003;165:1141-2. Porocarcinoma is a rare tumor in the intraepidermal sweat gland duct. Clinically, it resembles other neoplasms of the skin. A case of a 73-year-old woman with porocarcinoma with its clinical and pathological features is presented.

Bib ref
Ugeskr Læger 2003;165(11):1141-2.
Authors

Stud.med. Rie C. Stavis, Susanne E. Rasmussen & Christian T. Bonde

0 likes
Read time
4