Medlem i

12 years 10 months
Indholdselementer

Det alternative behandlingsområde er i de seneste år vokset markant i Danmark. Således steg andelen af danskere, der på et tidspunkt havde modtaget akupunktur, fra 16,0% i 2005 til 28,8% i 2017 [1]. Til trods for det store antal behandlinger er der ikke nogen systematisk indsamling af oplysninger om bivirkninger efter alternative behandlingstiltag. Det gælder også for akupunktur, som principielt er en invasiv procedure, og hvor komplikationer rapporteres jævnligt, men på kasuistisk basis [2]. På denne baggrund indfases der i 2021-2024 en lovpligtig uddannelse for ikkesundhedsfaglige akupunktører i at udføre akupunktur på brystkassen [3].

Vi beretter her om en patient, der påførte sig selv pneumothorax ved akupunktur. Selvpåførte alvorlige komplikationer i forbindelse med akupunktur er ikke tidligere belyst i litteraturen og bliver formentlig ikke omfattet af den forestående lov.

SYGEHISTORIE

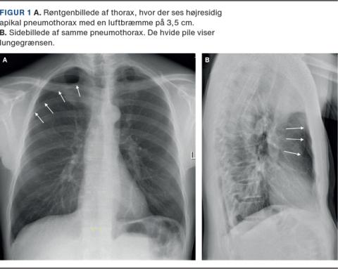
En lungerask patient med kroniske nakke-ryg-smerter søgte en alment praktiserende læge pga. en subjektiv fornemmelse af »tung vejrtrækning«. Han blev henvist til røntgenoptagelse af thorax, hvor man fandt højresidig pneumothorax (Figur 1).

Sidebar placering
Venstrestillet
Billede
Sidebar placering
Venstrestillet

Ved udspørgen viste det sig, at patienten for år tilbage søgte hjælp til sine nakke-ryg-smerter hos en uddannet akupunktør. Denne udførte akupunktur i punkter på brystkassen, hvilket havde nogen effekt på smerterne. Imidlertid gik akupunktøren på pension i 2018. Patienten overtog derfor selv og blev uden yderligere uddannelse sin egen akupunktør med nåle indkøbt på internettet. Han havde, et døgn før symptomerne med tung vejrtrækning opstod, udført selvakupunktur i området omkring kravebenet.

Han blev behandlet med 12 French-pleuradræn og udskrevet i velbefindende og symptomfri efter to døgn.

DISKUSSION

Pneumothorax er blandt de hyppigste, livstruende komplikationer i forbindelse med akupunktur og beskrives ofte efter indstik på brystkassens bagside (den øvre ryg) [2]. Øvrige mekaniske komplikationer i forbindelse med akupunktur afspejler den anvendte anatomiske region. Ved nålestik på brystkassens forside er der i kasuistikker og små, systematiske opgørelser set pneumomediastinum, hjertetamponade og andre direkte skader i hjertet. Ved anvendelse af ryggens øvrige akupunkturpunkter er der beskrevet subdurale og subaraknoidale blødninger samt direkte skader på centralnervesystemet. Infektion efter akupunktur er velbeskrevet og velforklaret ved brud på hudens barriere og mangelfuld sterilisering af nåle. Ligeledes kan perifere nerveskader forekomme ved anvendelse af ekstremiteternes akupunkturpunkter [2].

Patienterstatningen fik i perioden 2013-2018 indberettet i alt 40 utilsigtede hændelser forårsaget af danske autoriserede akupunktører [4]. Bag dette beskedne tal er der formentligt et skyggetal pga. manglende indberetning og skader forårsaget af ikkeautoriserede akupunktører. I et stort prospektivt studie med 229.239 tyske patienter, der havde fået akupunktur, angav 2,2% således at have oplevet behandlingskrævende komplikationer efter en akupunkturbehandling [5]. I Danmark er der intet centralt register for antallet af akupunkturbehandlinger, herunder nåleindstik på brystkassen, eller for komplikationer i forbindelse hermed, og det er derfor umuligt at lave et meningsfuldt risikoestimat.

Danske patienter har generelt stor tiltro til alternative behandlere uafhængigt af behandlerens uddannelsesniveau. Patienten i sygehistorien havde ingen relevant uddannelse og var ikke bekendt med lungernes tætte udbredelse i forhold til kravebenet. Det er uklart, hvor almindeligt det er at udøve akupunktur på sig selv. Dette er, så vidt vi ved, den første beretning om en alvorlig komplikation efter selvudført akupunktur.

I det vedtagne lovforslag [3] står, at akupunktur må udføres af alle, men ikke på brystkassen. Hvis der anvendes akupunkturpunkter på brystkassen, skal udøvere, der ikke er læger, kiropraktorer eller udfører arbejdet i offentligt sygehusregi, have gennemført en sundhedsuddannelse på minimum 660 undervisningstimer, hvoraf de 250 timer skal være dedikerede til akupunktur. Om dette tiltag vil reducere antallet af komplikationer, vil formentlig ikke kunne påvises pga. den formodede meget lave hyppighed af komplikationer.

Med akupunkturs tiltagende popularitet må man til trods for den strengere lovgivning forvente en stigning i antallet af komplikationer. Tilsvarende er indberetning af komplikationer vigtig for at kunne monitorere omfanget og øge opmærksomheden på området. For den læge, der behandler eventuelle komplikationer, er grundig anamnese afgørende, da patienten ikke altid selv kan koble symptomerne med årsagen. Samtidig er akupunkturnåle særdeles tynde og efterlader oftest ikke synlig skade på huden.



KORRESPONDANCE: Henrik Lynge Hovgaard. E-mail: hnrkhvgrd@hotmail.com
ANTAGET: 7. december 2020
PUBLICERET PÅ UGESKRIFTET.DK: 25. januar 2021
INTERESSEKONFLIKTER: ingen. Forfatternes ICMJE-formularer er tilgængelige sammen med artiklen på Ugeskriftet.dk
LITTERATUR: Findes i artiklen publiceret på Ugeskriftet.dk

Sidebar placering
Venstrestillet
Article type
Journal
Magazine
Section
References

Litteratur

  1. Ekholm O, Jensen HAR, Davidsen M et al. Sundheds- og sygelighedsundersøgelsen 2017. Alternativ behandling. Statens Institut for Folkesundhed, 2018.

  2. Xu S, Wang L, Cooper E et al. Adverse events of acupuncture: a systematic review of case reports. Evid Based Complement Alternat Med 2013;2013:581203.

  3. Autorisationsloven § 74 a. Danskelove.dk (7. aug 2020).

  4. Sundheds- og Ældreudvalget 2017-18 SUU Alm.del endeligt svar på spørgsmål 426 Offentligt. https://www.ft.dk/samling/20171/almdel/suu/spm/426/svar/1465299/1856221.pdf (11. nov 2020).

  5. Witt CM, Pach D, Brinkhaus B et al. Safety of acupuncture: results of a prospective observational study with 229,230 patients and introduction of a medical information and consent form. Forsch Komplementmed 2009;16:91-7.

Woodwing Id
37238
Fil
Conflict of interest
English title
Pneumothorax after self-performed acupuncture
English summary

Henrik Lynge Hovgaard, Peter Juhl-Olsen & Kristian Brogaard Krogh

Ugeskr Læger 2021;183:V08200603

Acupuncture is gaining popularity in Denmark. Needle insertion in the chest area is associated with the risk of serious adverse events. In Denmark, a law has been passed requiring formal education if a practitioner wishes to perform acupuncture in the chest area. In this case report a novice inflicted a right-sided pneumothorax upon himself by using acupuncture in the upper chest area with needles obtained over the internet.

Authors workplaces

1) Operation og Intensiv, Regionshospitalet Viborg, 2) Operation og Intensiv, Regionshospitalet Randers, 3) Bedøvelse og Operation, Aarhus Universitetshospital, 4) Institut for Klinisk Medicin, Health, Aarhus Universitet, 5) Center for Akutforskning, Health, Aarhus Universitet

Ugeskr Læger 2021;183:V08200603

Bib ref
Ugeskr Læger 2021;183:V08200603
Article number
V08200603
Authors

Henrik Lynge Hovgaard1, 2, Peter Juhl-Olsen3, 4 & Kristian Brogaard Krogh1, 5

0 likes