Medlem i

13 years 1 month
Indholdselementer

Komplikationer i forbindelse med anlæggelse af en minitrakeostomi er velbeskrevet [1-3]. De kan inddeles i procedurerelaterede (subkutant emfysem, øsofagusperforation, pneumothorax, blødning) og senkomplikationer. Komplikationerne i forbindelse med en allerede anlagt minitrakeostomi er få [1]. I denne sygehistorie beskrives en hidtil urapporteret senkomplikation i form af pneumothorax i forbindelse med en minitrakeostomi.

SYGEHISTORIE

En 39-årig kvinde med multipel sklerose blev bragt til skadestuen pga. vejrtrækningsproblemer. Femten dage før havde hun fået foretaget en minitrakeostomi på en intensivafdeling pga. insufficient hostekraft og dagligt trakealt sugebehov. Der blev ikke taget kontrolrøntgenbilleder af thorax efter anlæggelse af
minitrakeostomien.

Patienten var initialt stabil. På grund af klinisk forværring blev der foretaget arteriepunktur med en inspiratorisk iltfraktion på 32%, som viste flg. værdier: pH 7,16 (referenceværdi: 7,38-7,42), ilttryk 12,4 kPa (referenceværdi: 9,3-12,0 kPa), partialtryk af kuldioxid 15,9 kPa (referenceværdi: 4,7-6,0 kPa). Patienten blev på denne baggrund overflyttet til en intensivafdeling.

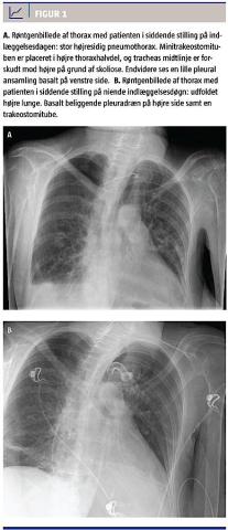
Endelig beskrivelse af røntgenoptagelsen af thorax, der blev taget ved indlæggelsen, inden patienten blev overflyttet til intensivafdelingen, forelå morgenen efter. Der blev konstateret en højresidig pneumothorax. Hun havde ikke tidligere haft pneumothorax. Ligeledes blev det noteret, at minitrakeostomituben var displaceret. På røntgenbilledet fremstod minitrakeostomituben ikke beliggende i trachea, men med et forløb over mod højre thoraxhalvdel (Figur 1 A). Der kunne aspireres luft på minitrakeostomituben, hvilket normalt er indikator for, at den er korrekt placeret. Ved løsning af minitrakeostomien kunne man se, at tuben var displaceret mod højre i stedet for at være placeret i midtlinjen over trachea. Det blev derfor antaget, at minitrakeostomituben var displaceret epitrakealt og havde perforeret højre pleura, hvilket havde forårsaget pneumothoraxen.

Sidebar placering
Venstrestillet
Billede
Sidebar placering
Venstrestillet

Patienten blev behandlet med pleuradræn. På det femte indlæggelsesdøgn fik hun anlagt en permanent trakeostomi. Under trakeostomianlæggelsen kunne minitrakeostomitubens indgangshul identificeres i cutis, men ikke i trachea. Patienten blev udskrevet til hjemmet på tiende indlæggelsesdøgn.

DISKUSSION

Årsagen til den respiratoriske insufficiens hos patienten i sygehistorien viste sig at være en højresidig pneumothorax. Ud fra fund ved røntgenoptagelse af thorax og konstatering af den displacerede minitrakeostomitube, er det overvejende sandsynligt, at der var tale om en senkomplikation i forbindelse med minitrakeostomianlæggelsen. På røntgenbilledet (Figur 1 A) ses det, at tracheas forløb var forskudt til venstre i forhold til midtlinjen. Det var ikke pga. en trykpneumothorax, men pga. patientens grundmorbus med skæv siddestilling og skoliose. Derfor fremstod minitrakeostomituben som beliggende i midtlinjen, hvor den faktiske placering var mod højre thoraxhalvdel. Røntgenbilledet af thorax efter trakeostomianlæggelsen viste samme venstreforskydning af trachea og trakealtuben beliggende i tracheas midtlinje (Figur 1 B). Der blev ikke foretaget en CT af den displacerede
minitrakeostomitube til bekræftelse af hypotesen. Det er uvist, hvornår displaceringen af minitrakeostomituben skete. Patientens plejepersonale beskrev en periode (uvist hvor mange dage), hvor der var problemer med at suge sekret og luft, og det var besværligt at fastgøre plasteret til minitrakeostomien ligesom
minitrakeostomituben var lidt i spænd. Det er sandsynligt, at displaceringen af minitrakeostomituben er sket i den periode. Efterfølgende, ca. fire dage før indlæggelsen, var det igen muligt at suge sekret og luft. Sekretet var dog mere tyndt og gulligt end sædvanligt, hvilket retrospektivt kan tolkes som, at det var pleuravæske.

Ved søgning på PubMed med søgeteksten minitracheostomy blev der fundet 57 publiceringer. Vernon [4] beskrev et tilfælde, hvor en ikke korrekt anlagt minitrakeostomitube forårsagede akut pneumothorax. Det er vigtigt at gøre opmærksom på pneumothorax som senkomplikation i forbindelse med
minitrakeostomi.

Korrespondance: Nicki Eithz Bauer, Lindevej 23, 5250 Odense SV.
E-mail: nicki_e_bauer@hotmail.com

Antaget: 19. december 2013

Publiceret på Ugeskriftet.dk: 3. marts 2014

Interessekonflikter: Forfatters ICMJE-formularer er tilgængelige sammen med artiklen på Ugeskriftet.dk

Taksigelser: Nick Phaff Steen, Bente Rasmussen samt Allan Kimper-Karl takkes for faglig sparring, og Lars Folkestad takkes for korrekturlæsning.

Sidebar placering
Venstrestillet
Article type
Journal
Magazine
Section
References

<h2>Litteratur</h2>
<ol type="d">
<li><p>Wright CD. Minitracheostomy. Clin Chest Med 2003;24:431-5.</p></li>
<li><p>Elliott RH, Barrett P, Tomlinson P. Intrapleural placement of minitracheostomy – egress of air after insertion does not guarantee correct placement. Intens Care Med 1990;16:343-4.</p></li>
<li><p>Claffey LP, Phelan DM. A complication of cricothyroid ‘‘minitracheostomy’’ – oesophageal perforation. Intens Care Med 1989;15:140-1.</p></li>
<li><p>Vernon JW. Pneumothorax caused by minitracheostomy. Anaesthesia 1990;45:172.</p></li>
</ol>

Woodwing Id
26748
Fil
Conflict of interest
English title
First case of pneumothorax as a late complication to a minitracheostomy
English summary

A 39-year-old female with multiple sclerosis was admitted to the emergency department with severe shortness of breath. Fifteen days prior to the admission the patient had undergone a minitracheostomi. At admission a chest X-ray revealed a right-sided pneumothorax and a minitracheostomy tube displaced into the right thorax cavity. The patient was treated with a chest tube and later a permanent tracheostomy. This is the first case report of a minitracheostomy tube causing a pneumothorax not in immediate relation to the procedure.

Authors workplaces

Anæstesiologisk og Intensiv Afdeling V, Odense Universitets-hospital

Ugeskr Læger 2014;176:V08130500

Bib ref
Ugeskr Læger 2014;176:V08130500
Article number
V08130500
Authors

Nicki Eithz Bauer

0 likes