Medlem i

12 years 10 months
Indholdselementer

Phalanxfrakturer og -luksationer forekommer hyppigt. Incidensen er 68/100.000 årligt [1]. Primærbehandlingen sker ofte i almen praksis eller på en skadestue. Størstedelen af frakturerne er minimalt displacerede og ekstraartikulære og kan behandles ikkeoperativt. Ved intraartikulære frakturer, frakturluksationer eller ledsagende sene- eller ligamentskader kan det være en udfordring at afgøre, om der er operationsindikation, og hvornår håndkirurgisk vurdering er relevant. En overset eller fejlbehandlet phalanxfraktur kan resultere i nedsat funktion, stivhed, kroniske smerter og deformitet [2]. I denne artikel gives en kort oversigt over de mest almindelige phalanxfrakturer og -luksationer og behandlingen af dem samt retningslinjer for, hvornår patienterne bør henvises til kirurgisk vurdering.

Sidebar placering
Venstrestillet
Billede
Sidebar placering
Venstrestillet

 

 

ANATOMI

Den proksimale phalanx hænger sammen med med metakarpalknoglen i et modificeret kugleled (MCP-

leddet) med mulighed for fleksion/ekstension, radial-/ulnardeviation og nogen rotation. Det proksimale interfalangeal (PIP)-led er et hængselled med fleksion/ekstension. Det stabiliseres med kollaterale ligamenter og en volarplade [3]. Dorsalt over phalanges sidder ekstensorsenen, som er todelt. To ekstensorsener løber hen over MCP-leddet på anden og femte finger, mens en enkelt løber over tredje og fjerde finger. Over PIP-leddet deler senen sig i en central snip og to sidesnipper. Dette giver en bedre bøjefunktion. Over det distale interfalangeal (DIP)-led fortsætter en enkelt tynd og dårligt vaskulariseret sene til yderphalanx. Volart på fingrene sidder fleksorsenerne i en seneskede, som binder senerne ned til knoglen for at give styrke og undgå bowstringing. Disse bløddelsstrukturer har en stabiliserende funktion ved frakturer, men kan også medvirke til frakturskred, specielt ved skrå- og spiralfrakturer. På første finger er der to phalanges og to ekstensorsener. Volart sidder fleksorsenen i en seneskede med en anden pulley-konstruktion end på fingrene og har funktion primært til interfalangeal (IP)-leddet og MCP-

leddet. Ulnart sidder et kollateralt ligament (UCL),

som sikrer stabilitet ved valgusstress og forhindrer

subluksation [4]. Radialt stabiliserer et kollateralt ligament ved ulnar deviation. På siden af fingrene ligger

ligamentstrukturer, som sammen med de intrinsiske muskler stabiliserer huden og senerne [5-7].

 

DIAGNOSTIK

Ved klinisk mistanke om phalanxfraktur tages der røntgenbilleder i tre planer, anteriort-posteriort, lateralt og skråt med friprojektion af fingeren. Man vurderer forkortning, vinkling og ledfladernes involvering. Rotation kan kun vurderes ved klinisk undersøgelse. CT kan undertiden være til hjælp, særligt ved kondylfrakturer. Der skal altid undersøges for ledsagende sene- og nervelæsioner.

 

FRAKTURTYPER HOS BØRN

Traumemekanismen er ofte klem- eller lacerationsskader i hjemmet hos mindre børn og sportsaktiviteter hos større børn [8]. Frakturer i epifysen opdeles efter Salter-Harris-klassifikation (Figur 1) [9]. Diafysefrakturer er mindre hyppige hos børn end hos voksne og kan behandles med buddy taping. Displacerede frakturer kræver ofte åben reposition og fiksering med K-tråd eller skrue [10]. Subkapitale frakturer ses næsten udelukkende hos børn. Kondylerne på phalanx er ikke fuldstændigt ossificerede, men består overvejende af brusk, som kan adskilles fra diafysen og displaceres volart eller dorsalt om diafysen [11]. Displacerede frakturer kræver reposition og pinning, eventuelt foretaget åbent [11]. Blodforsyningen sker via kollaterale ligamenter [10], og der er risiko for avaskulær nekrose af det distale fragment, fingeriskæmi og pseudoartrose ved multiple pinning-forsøg [12].

Sidebar placering
Venstrestillet
Billede
Sidebar placering
Venstrestillet

 

 

Brud på den proksimale phalanx

Brud på den proksimale phalanx forekommer hyppigt og ses som oftest på femte finger [10]. Vækstzonen i den proksimale del af phalanx er biomekanisk svagere end de omkringliggende ligamentstrukturer, og epifysen involveres ofte. Salter-Harris-klassifikation type II ses hyppigst [10]. Bruddet behandles med lukket reposition, buddy taping og tidlig mobilisering, hvis der ikke foreligger rotationsfejlstilling [13]. Frakturerne har stort remodelleringspotentiale i sagittalplanet. Ved

rotationsfejlstilling og lateral deviation kan operativ behandling med lukket reposition og pinning være indiceret [10]. Salter-Harris-klassifikation type III er meget sjælden, men kræver ofte åben kirurgi [14].

 

Brud på den distale phalanx

Klemskade med samtidig neglelejeskade er den hyppigst forekommende fraktur hos førskolebørn [15]. Frakturen behandles med evulsion af neglen, rigelig skylning, reposition og sutur af neglelejet [10]. Ved åbne epifysefrakturer med fleksionsdeformitet og proksimal evulsion af neglen (Seymourfrakturer) er der stor risiko for infektion, og der bør skylles, reponeres og pinnes [15]. Dropfinger hos børn er ikke velundersøgt, men operationsindikationen er mere liberal end hos voksne [15].

 

FRAKTURTYPER HOS VOKSNE

Brud på den proksimale phalanx

Ved brud på den proksimale phalanx ses der tre frakturtyper af distale kondyler: type 1, som er ikkedisplaceret og unikondylær, type 2, som er displaceret og unikondylær, og type 3, som er komminut og bikondylær. Ved fraktur på den proksimale phalanx kan de intrinsiske muskler forårsage yderligere frakturskred med volar vinkling af det proksimale fragment. Ustabile frakturer på den proksimale phalanx kan oftest pinnes med minimal irritation af ekstensorapparatet [16].

 

Brud på mellemphalanx

Brud på mellemphalanx inddeles i kondylfrakturer (proksimale eller distale) og skaftfrakturer. Den distale del kan være dorsalt eller volart vinklet som følge af træk fra den overfladiske fleksorsene, som insererer på mellemphalanx, eller den centrale ekstensorsene, som hæfter på dorsalsiden af mellemphalanx [17].

 

Brud på den distale phalanx

Brud på den distale phalanx er den hyppigste frakturtype på hånden og kan inddeles i skaftfrakturer, frakturer som inddrager neglelejet, frakturer af den dorsale basis (dropfinger) og frakturer af den volare basis med afrivning af fleksorsenen (Jerseyfraktur) [18]. Denne fraktur opstår typisk, når yderstykket udsættes for kraftig ekstensionskraft på et let flekteret DIP-led. Der er risiko for retraktion af senen, hvorfor der bør henvises til en håndkirurg [2].

 

Generelt

Ved åbne frakturer anlægges der fingerblok, som muliggør primær kirurgisk sårvask og débridement. Der er ingen evidens for, at profylaktisk antibiotikabehandling ved åbne fingerfrakturer mindsker infektionsrisikoen, hvorfor tidlig kirurgisk behandling bør prioriteres over antibiotika [19]. Hvis der er samtidig skade af neglelejet, kan det være nødvendigt at reponere neglen og

sy neglelejet efterfulgt af immobilisering af DIP-leddet i ekstension i tre uger [20]. Der er rapporteret om gode resultater efter ikkeoperativ behandling ved mindre dorsale afrivninger [18].

De fleste ekstraartikulære brud på den proksimale phalanx og mellemphalanx kan behandles ikkeoperativt med immobilisering i gips eller skinne, hvis fejlstillingen kan reponeres til en acceptabel stilling (forkortning under 6 mm, vinkelfejlstilling under 15 grader og ingen rotationsfejlstilling) [21]. Ved ustabile brud kan der anvendes fiksering med ekstra- eller transartikulær pinning. Kan reposition ikke opnås lukket, kan der anvendes åben reposition og skrueosteosyntese [21]. Ved intraartikulære brud og ledinkongruens kan operation være indiceret [20].

 

FRAKTURLUKSATIONER

I DET PROKSIMALE INTERFALANGEALLED

Frakturluksationer er hyppigst dorsale [22] og ses bedst i lateral projektion. Subluksationer ses som et

V-formet hul i den dorsale ledlinje (V-tegn) [23]. Der forekommer ofte læsion eller avulsionsfraktur af volarpladen med tab af volar støtte [2]. Mindre skader behandles med buddy taping og tidlig intensiv træning for at forhindre senfølger. Ved større avulsionsfragmenter kan de kollaterale ligamenter miste kontakten til mellemphalanx, som derfor sublukserer dorsalt (Figur 2) [24]. Volare frakturluksationer kan være ledsaget af

læsion af ekstensorsenens centralsnip, og der kan ses hyperfleksion med manglende ekstension i PIP-leddet (Elsons test) [2], hvilket kan være svært at teste akut. Frakturluksationer betragtes som stabile, når mindre end 30% af ledfladen er involveret, og når en eventuel subluksation forbliver reponeret i mindre end 30 graders fleksion [23]. Derudover skal leddet kunne ekstenderes og flekteres i en glidende bevægelse [3]. Frakturluksationer behandles med extension block-skinne i fuld fleksion, men med begrænset ekstension i PIP-leddet [22]. Over tre uger øges ekstensionen gradvist [23]. Volare frakturluksationer behandles med skinne i fuld ekstension og begrænset fleksion [2]. Ved involvering af mere end halvdelen af ledfladen er frakturluksationer ustabile [3]. Der kan foretages extension block pinning, hvor der sættes en K-tråd intraartikulært i den proksimale phalanx for at blokere ekstensionen i PIP-leddet og dermed forhindre subluksation eller luksation [23]. Ved kominutte frakturer af basis af mellemphalanx kan man anvende ekstern fiksering [22], eventuelt kombineret med intern fiksering og tidlig aktiv bevægelse [23]. Teknikken kan være udfordrende, og der er risiko for infektion og frakturskred [23].

Volarstabilitet kan søges genoprettet gennem atroplastik af volarpladen med operativ fiksering med knogleanker på den proksimale phalanx. Komplikationerne omfatter recidiverende subluksation, fleksionskontraktur og hyperekstension. Ved knusning af ledfladen kan leddet søges rekonstrueret med en hemihamat atroplastik, hvor frakturen stabiliseres med en autolog osteokondral graft fra os hamatum. Komplikationer i forbindelse med denne teknik er postoperativ artrose og ledkontraktur [25]. Endelig kan ustabile frakturer med større frakturfragmenter reponeres åbent og fikseres internt med skruer [22]. Under hele behandlingen er det meget vigtigt at vedligeholde og bevare bevægelsen, dette er som oftest en opgave for en specialiseret ergoterapeut [22].

Sidebar placering
Venstrestillet
Billede
Sidebar placering
Venstrestillet

 

 

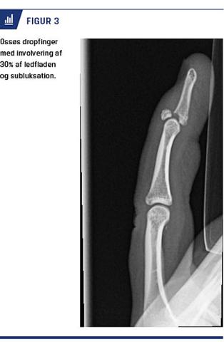
DROPFINGER

Formålet med behandlingen af dropfinger er at genoprette den aktive ekstension i DIP-leddet. Der er ikke konsensus om behandlingsmodalitet og -længde [26]. De fleste forfattere anbefaler dog operativ behandling ved åbne læsioner, involvering af mere end en tredjedel af ledfladen (Figur 3), subluksation, ledinkongruens og svigt af ikkeoperativ behandling [27]. Ved skinnebehandling holdes DIP-leddet kontinuerligt ekstenderet i en neutral stilling i seks uger, mens PIP-leddet er frit bevægeligt [27]. Behandlingen gentages, hvis DIP-leddet flekteres inden for seks uger, og der opstår reruptur eller refraktur [27]. Nogle forfattere anbefaler intermitterende immobilisering med efterfølgende brug af natskinne. 40% af de skinnebehandlede har imidlertid en persisterende strækkedefekt på 5-10 grader i DIP-leddet, mens 70% af patienterne har hudproblemer

efter skinnebehandling [27]. Behandlingssvigt kan

resultere i svanehalsdeformitet, hvor ekstensionen i DIP-leddet er ophævet, mens volarpladen er intakt og udøver fleksion i DIP-leddet. Ekstensionen af mellemphalanx er bevaret og forårsager hyperekstension i PIP-leddet. Endelig er der risiko for udvikling af atrose i DIP-leddet [28]. Der er beskrevet talrige operationsmetoder, såvel perkutane med transartikulær K-trådfiksering som åbne med transossøs sutur, skrue- eller

skinneosteosyntese. Komplikationer er infektion,

hudnekrose, negledystrofi, artrose og stivhed i leddet. Disse komplikationer er mindre udtalte ved perkutan kirurgi end ved åben kirurgi, mens ulempen her kan være vanskelighed med at opnå eksakt reposition [28].

Sidebar placering
Venstrestillet
Billede
Sidebar placering
Venstrestillet

 

 

LÆSION AF FØRSTE FINGERS

ULNARE KOLLATERALE LIGAMENT

Fleksibiliteten i første fingers MCP-led er meget individuel, og ved mistanke om UCL-læsion testes stabiliteten derfor bilateralt med fiksering af første metacarp og samtidig abduktion af den proksimale phalanx, såvel i fuld ekstension (totalruptur) som ved 30 graders fleksion i MCP-leddet (partiel ruptur). Er der mere end 35 graders løshed eller mere end 15 graders sideforskel, bør man have mistanke om UCL-læsion [29]. UCL-

læsioner inddeles i intakt ligament med ømhed (grad I), delvis ruptur (grad II) og komplet ruptur (grad III) [4]. Ledsagende ossøs skade, subluksation og isolerede frakturer af den proksimale phalanx eller første metakarp ses på røntgenoptagelser. Behandling med immobilisering af MCP-leddet i fire uger efterfulgt af genoptræning anbefales ved stabile læsioner. MCP-leddet immobiliseres i let fleksion, mens IP-leddet er frit bevægeligt for at modvirke stivhed [4]. Ved ustabile læsioner med displacering af UCL superficielt for adduktoraponeurosen kan suturering med et knogleanker og tidlig mobilisering anvendes [4]. Større avulsionsfragmenter kan osteosynteres med skruer eller tension-band [30]. Ved kroniske ligamentskader kan der foretages rekonstruktion med senegraft (palmaris longus sene) [30]. Ved eksisterende atrose kan der foretages atrodese [4].

 

KONKLUSION

Ikkedisplacerede, stabile frakturer og ossøs dropfinger med involvering af mindre end en tredjedel af ledfladen og uden subluksation kan behandles på en skadestuen. Intraartikulære frakturer, frakturluksationer i PIP-leddet, svært komminute og åbne frakturer (inkl. Seymour-fraktur), såvel som subkapitale frakturer og kondylfrakturer hos børn bør konfereres med eller henvises til håndkirurgisk vurdering. Tidlig mobilisering skal altid tilstræbes.

 

 

Korrespondance: Paula Engel. E-mail: paula.engel@me.com

Antaget: 30. maj 2018

Publiceret på Ugeskriftet.dk: 6. august 2018

Interessekonflikter: ingen. Forfatternes ICMJE-formularer er

tilgængelige sammen med artiklen på Ugeskriftet.dk

Sidebar placering
Venstrestillet
Article type
Journal
Magazine
Section
References

Litteratur

  1. Ootes D, Lambers KT, Ring DC. The epidemiology of upper extremity injuries presenting to the emergency department in the United States. Hand (N Y) 2012;7:18-22.

  2. Borchers JR, Best TM. Common finger fractures and dislocations. Am Fam Physician 2012;85:805-10.

  3. Unglaub F, Langer MF, Hahn P et al. Fractures of the proximal interphalangeal joint: diagnostic and operative therapy options. Unfallchirurg 2016;119:133-143.

  4. Avery DM, 3rd, Caggiano NM, Matullo KS. Ulnar collateral ligament injuries of the thumb: a comprehensive review. Orthop Clin North Am 2015;46:281-92.

  5. Stanley D. Surgical anatomy of the hand and upper extremity. Bone Joint J 2004;86-B:779.

  6. Minamikawa Y, Horii E, Amadio PC et al. Stability and constraint of the proximal interphalangeal joint. J Hand Surg Am 1993;18:198-204.

  7. Leibovic SJ, Bowers WH. Anatomy of the proximal interphalangeal joint. Hand Clin 1994;10:169-78.

  8. Ljungberg E, Dahlin LB, Granath F et al. Hospitalized Swedish children with hand and forearm injuries: a retrospective review. Acta Paediatr 2006;95:62-7.

  9. Salter R, Harris W. Injuries involving the epiphyseal plate. J Bone Joint Surg Am 1963;45:587-622.

  10. Abzug JM, Dua K, Bauer AS et al. Pediatric phalanx fractures. Instr Course Lect 2017;66:417-27.

  11. Al-Qattan MM, Al-Qattan AM. A review of phalangeal neck fractures in children. Injury 2015;46:935-44.

  12. Al-Qattan MM. Nonunion and avascular necrosis following phalangeal neck fractures in children. J Hand Surg Am 2010;35:1269-74.

  13. Vadstrup LS, Jorring S, Bernt P et al. Base fractures of the fifth proximal phalanx can be treated conservatively with buddy taping and immediate mobilisation. Dan Med J 2014;61:A4882.

  14. Crick JC, Lemel MS. Salter-Harris type III epiphyseal fractures of the proximal phalanx. J South Orthop Assoc 1998;7:259-63.

  15. Lankachandra M, Wells CR, Cheng CJ et al. Complications of distal

    phalanx fractures in children. J Hand Surg Am 2017;42:574e571-574e576.

  16. Singh J, Jain K, Mruthyunjaya et al. Outcome of closed proximal phalangeal fractures of the hand. Indian J Orthop 2011;45:432-8.

  17. Seno N, Hashizume H, Inoue H et al. Fractures of the base of the middle phalanx of the finger. J Bone Joint Surg Br 1997;79:758-63.

  18. Bachoura A, Ferikes AJ, Lubahn JD. A review of mallet finger and jersey finger injuries in the athlete. Curr Rev Musculoskelet Med 2017;10:1-9.

  19. Metcalfe D, Aquilina AL, Hedley HM. Prophylactic antibiotics in open distal phalanx fractures: systematic review and meta-analysis. J Hand Surg Eur Vol 2016;41:423-30.

  20. Lee SG, Jupiter JB. Phalangeal and metacarpal fractures of the hand. Hand Clin 2000;16:323-32.

  21. Verver D, Timmermans L, Klaassen RA et al. Treatment of extra-articular proximal and middle phalangeal fractures of the hand: a systematic review. Strategies Trauma Limb Reconstr 2017;12:63-76.

  22. Calfee RP, Sommerkamp TG. Fracture-dislocation about the finger joints. J Hand Surg Am 2009;34:1140-7.

  23. Shah CM, Sommerkamp TG. Fracture dislocation of the finger joints.

    J Hand Surg Am 2014;39:792-802.

  24. Glickel SZ, Barron OA. Proximal interphalangeal joint fracture dislocations. Hand Clin 2000;16:333-44.

  25. Frueh FS, Calcagni M, Lindenblatt N. The hemi-hamate autograft arthroplasty in proximal interphalangeal joint reconstruction: a systematic review. J Hand Surg Eur Vol 2015;40:24-32.

  26. Wada T, Oda T. Mallet fingers with bone avulsion and DIP joint subluxation. J Hand Surg Eur Vol 2015;40:8-15

  27. Turner AR, Cooper JS. Mallet finger. StatPearls Publishing, 2017.

  28. Botero SS, Diaz JJH, Benaida A et al. Review of acute traumatic closed mallet finger injuries in adults. Arch Plast Surg 2016;43:134-44.

  29. Rhee PC, Jones DB, Kakar S. Management of thumb metacarpophalangeal ulnar collateral ligament injuries. J Bone Joint Surg Am 2012;94:

    2005-12.

  30. Pulos N, Shin AY. Treatment of ulnar collateral ligament injuries of the thumb: a critical analysis review. JBJS Rev 2017;5:01874474-201702000-00005.

Woodwing Id
115800
Fil
Conflict of interest
English title
Phalangeal fractures of the hand
English summary

Phalangeal fractures are common in all ages. Stable, extra-articular fractures can be treated non-operatively by closed reduction and buddy taping, while surgical fixation should be considered for unstable and displaced extra-articular fractures and most intra-articular fractures. The treatment should aim at early, active mobilisation in order to achieve the optimal functional outcome. Since intra-articular frac­tures, proximal interphalangeal joint fracture dislocations, open fractures and certain paediatric fractures can lead to poor functional outcome, referral to a hand surgeon is recommended.

Authors workplaces

1) Ortopædkirurgisk Afdeling, Nordsjællands Hospital, Hillerød 2) Handkirurgiska kliniken, Skånes Universitetssjukhus, Malmö 3) Håndkirurgisk Afsnit, Ortopædkirurgisk Afdeling, Herlev og Gentofte Hospital 4) Ortopædkirurgisk Afdeling, Sjællands Universitetshospital Køge 5) Institut for Klinisk Medicin, Københavns Universitet Ugeskr Læger 2018;180:V12170901

Bib ref
Ugeskr Læger 2018;180:V12170901
Article number
V12170901
Authors

Paula Sophia Juliane Engel1, Elisabeth Brogren2, Lars B. Dahlin2, Niels Henrik Søe3 & Stig Brorson4, 5

0 likes