Medlem i

13 years 1 month
Indholdselementer

PECom er en betegnelse for en sjælden gruppe af mesenkymale tumorer, som hovedsageligt er opbygget af perivaskulære epiteloidceller (PEC). PEC har en unik immunfænotype, idet de udtrykker antigener, som peger på både glatmuskulær og melanocytær differentiering. De kan ses i hele gastrointestinalkanalen inklusive pancreas, lever og genitalia interna [1].

Ætiologien er ukendt, og som udgangspunkt anses PECom som benigne tumorer, men med et malignt potentiale [2].

Primært PECom i leveren er sjælden, og den præcise incidens er ukendt. Der er i litteraturen beskrevet 25 PECom-tilfælde, men indtil nu ingen tilfælde i Danmark [3].

SYGEHISTORIE

En 53-årig kvinde var tidligere blevet bilateralt mastektomeret pga. cancer mammae på baggrund af BRCA2-mutation og var nu planlagt til at få foretaget profylaktisk salpingooforektomi.

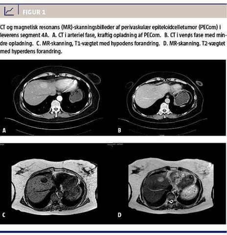
På den præoperative CT af abdomen fandt man en 3 × 2 cm hypovaskulær proces i leveren med kraftig opladning i den arterielle fase og mindre opladning i den venøse fase. En magnetisk resonans-skanning viste en hyperdens forandring ved T2-vægtning (Figur 1D). Initialt havde man mistanke om fokal nodulær hyperplasi eller levermetastase. Ved kontrastforstærket laparoskopisk ultralydundersøgelse fandtes en solitær hypodens proces med kraftigere udvaskning af kontraststoffet i senfasen, hvilket var foreneligt med metastase. Tumoren blev reseceret i samme seance.

Sidebar placering
Venstrestillet
Billede
Sidebar placering
Venstrestillet

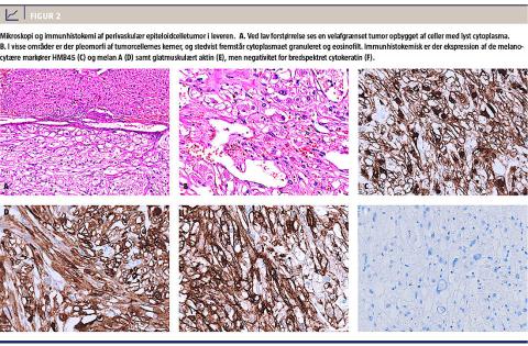
Makroskopisk sås en velafgrænset, ikkeafkapslet lysegrå tumor, som målte 23 mm i maksimal diameter. Mikroskopisk var tumoren velafgrænset (Figur 2A) og opbygget af relativt store epiteloidceller med overvejende klart (Figur 2A), men stedvist granuleret eosinofilt cytoplasma (Figur 2B). Fokalt fremstod tumorcellerne tenformede. Der var udtalt pleomorfi af tumorcellernes kerner og tydelige nukleoler (Figur 2B). Tumorcellerne var ledsaget af talrige blodkar med stedvis ophobning af tumorceller omkring. Immunhistokemisk fandtes ekspression af HMB45 (Figur 2C), melan A (Figur 2D), glatmuskulært aktin (Figur 2E), vimentin og HNF-1B i tumorcellerne. Periodic acid-Schiff (PAS)-farvningen var stedvist positiv, men negativ efter forbehandling med diastase, hvilket tydede på et øget glykogenindhold i tumorcellerne.

Sidebar placering
Venstrestillet
Billede
Sidebar placering
Venstrestillet

Immunhistokemiske farvninger for antigenerne cluster of differentiation (CD)10, CD34, CD45, CD56, CD117, caudal-related homeobox (CDX)2, cytokeratin (CK)7, CK20, bredspektret cytokeratin (CAM5.2 (Figur 2F) og CKAE1/AE3), desmin, gliafibrillært surt protein, glypican 3, hepatocytært antigen, inhibin, murine double minute (MDM)2, myogenin, paired box (PAX)8, p63, synaptophysin, S-100, thyroid transcription factor TTF1, villin, Wilms‘ tumour gene (WT1) og østrogenreceptor var alle negative.

Disse fund var forenelige med diagnosen PECom.

Det postoperative forløb var komplikationsfrit, og ved kontrol-CT efter tre måneder fandtes ingen tegn på recidiv.

DISKUSSION

Primær PECom i leveren er sjældent beskrevet og – så vidt vi ved – ikke beskrevet i Danmark før. PECom blev defineret som selvstændig tumorfamilie af WHO i 2002 [4], og formentlig har mange tumorer, som er blevet klassificeret som angiomyolipomer, været
PECom. Et klassisk angiomyolipom udgøres af en blanding af snoede blodkar, glatmuskelceller og fedt.
PECom bør opfattes som en undertype af angiomyolipom – et såkaldt monotypisk epiteloidt angiomyolipom – hvor PEC-cellekomponenten er dominerende som i vores tilfælde.

Billeddiagnostisk er der ingen sikre kriterier til differentiering af PECom i forhold til andre levertumorer, men grundlæggende er det velvaskulariserede tumorer med tidlig og kraftig kontrastopladning i den arterielle fase og mindre i den venøse fase [5].

Pga. PECom sjældenhed foreligger der kun få studier med langtidsfollowup, og tumorernes maligne potentiale er ikke endeligt afklaret. Enkelte tilfælde med aggressiv vækst og metastatisk sygdom er beskrevet i litteraturen [2]. Man har forsøgt at udarbejde forskellige prædiktorer for disse tumorers maligne potentiale. Der er således foreslået tumorstørrelse > 8 cm, mitoseindeks > 1/50 high-power fields og forekomst af nekrose i tumor. Disse kriterier er udarbejdet fra PECom i kvindelige genitalia interna, men ingen af disse prædiktorer er validerede [1]. Indtil videre anbefales det af WHO, at PECom, som viser infiltrativt vækstmønster, meget høj cellularitet, cytologisk pleomorfi, høj mitotisk aktivitet, atypiske mitoser eller nekrose, bør anses som maligne sarkomer.

Standardbehandlingen af PECom er kirurgisk resektion, men der findes ingen kliniske retningslinjer for videre behandling og opfølgning. [4] Derfor er det interessant at få belyst denne tumortype yderligere.

Korrespondance: Signe Bremholm Ellebæk, Ærøgade 40, 5000 Odense C.
E-mail: s.bremholm@gmail.com

Antaget: 9. januar 2015

Publiceret på Ugeskriftet.dk: 23. februar 2015

Interessekonflikter:

Sidebar placering
Venstrestillet
Article type
Journal
Magazine
Section
References

<h2>
<h2>Litteratur</h2>
<ol type="d">
<li><p>Doyle LA, Hornick JL, Fletcher CD. PEComa of the gastrointestinal tract: clinicopathologic study of 35 cases with evaluation of prognostic parameters. Am J Surg Pathol 2013;12:1769-82.</p></li>
<li><p>Parfitt JR, Bella AJ, Izawa JI et al. Malignant neoplasm of perivascular epithelioid cells of the liver. Arch Pathol Lab Med 2006;8:1219-22.</p></li>
<li><p>Tryggvason G, Blondal S, Goldin RD, et al. Epithelioid angiomyolipoma of the liver: case report and review of the literature. APMIS 2004;112: 612-6.</p></li>
<li><p>Liu D, Shi D, Xu Y et al. Management of perivascular epithelioid cell tumor of the liver: a case report and review of the literature. Oncol Lett 2014;1:148-52.</p></li>
<li><p>Tan Y, Xiao EH. Hepatic perivascular epithelioid cell tumor (PEComa): dynamic CT, MRI, ultrasonography, and pathologic features – analysis of 7 cases and review of the literature. Abdom Imaging 2012;5:781- 7.</p></li>
</ol>
</h2>

Woodwing Id
50557
Fil
Conflict of interest
English title
Perivascular epithelioid cell tumours in the liver
English summary

The PEComa family is a group of tumours having perivascular epithelioid cells (PEC) as the predominating component. PEComas occur in various organs and are considered to be benign tumours. However, rare cases showing pleomorphic morphology, atypical mitoses or necrosis should be considered malignant sarcomas. The precise incidence is unknown but PEComas are reported with increasing frequency. Standard treatment is surgery but there are no guidelines on further follow-up or treatment. PEComa in the liver is a rare tumour, and to our knowledge this is the first published case from Denmark.

Authors workplaces

1) Kirurgisk Afdeling A, Odense Universitetshospital 2) Afdeling for Klinisk Patologi, Odense Universitetshospital

Ugeskr Læger 2015;177:V10140527

Bib ref
Ugeskr Læger 2015;177:V10140527
Article number
V10140527
Authors

Signe Bremholm Ellebæk1, Ole Steen Bjerring1, Bassam Mandi1 & Sönke Detlefsen2

0 likes