Medlem i

13 years 1 month
Indholdselementer
Billede
Sidebar placering
Venstrestillet


Perifer facialisparese er et hyppigt forekommende symptom. Incidensen af idiopatisk perifer facialisparese (Bells parese) er opgjort til cirka 32 pr. 100.000 [1]. Bells parese udgør omkring 66% af tilfælde med ensidig perifer facialisparese [1], og symptomerne svinder uden behandling. Ætiologisk udgør virale og bakterielle infektioner mellem 5,9% [1] og 15% [2] af pareserne, mens neoplasmer udgør mellem 2,7% [1] og 13,5% [2]. Perifer facialisparese kan således være et symptom på sygdomme, hvor prognosen afhænger af tidlig diagnose og behandling. Det er derfor vigtigt at erindre, at forløb, der er atypiske for Bells parese, bør henlede opmærksomheden på mere alvorlige tilstande.

Sygehistorie

En 46-årig mand opsøgte egen læge pga. højresidige ansigts- og øresmerter. Tre måneder senere opstod der en højresidig partiel perifer facialisparese med hængende mundvig, og umiddelbart efter udvikledes et erytema migranslignende udslæt på højre ankel, og der blev påbegyndt standardpeni-cillinbehandling. Patienten havde flere natlige episoder med kortvarig forværring af facialisparesen forudgået af kraftige øresmerter. I de følgende måneder progredierede facialisparesen langsomt.

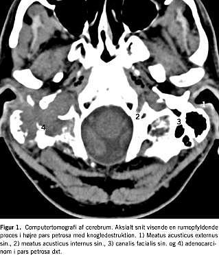
Ved udredning hos en praktiserende otolog blev der fundet let påvirkning af balancenerven på højre side. Ni måneder efter symptomdebuten indlagdes patienten med komplet højresidig perifer facialisparese og tiltagende smerter i højre ansigtshalvdel og øre ledsaget af våd knitren ved tygning. De øvrige kranienerver var upåvirkede. En lumbalpunktur afkræftede neuroborreliose. Ved en objektiv undersøgelse blev der fundet palpationsømhed over højre processus mastoideus. Ved otoskopi fandtes let rødme og hævelse af øregangens loft og bagvæg samt let inflammeret trommehinde med frembuling over flaccidaregionen. En audiometri viste mindre asymmetrisk høretab med overvægt i diskanten på højre side og speech reception threshold (SRT) på 5/0 dB. Ved en magnetisk resonans-skanning blev der påvist væskesignal i højre mastoid med opladning i pars petrosa. Ved en computertomografi blev der påvist en bløddelstumor i højre pars petrosa med knogledestruktion (Figur 1 ). En biopsi fra tumor viste middelhøjt differentieret adenokarcinom. Ved en positronemissionstomografi blev der påvist en 4 × 4 cm stor tumor i højre pars petrosa med relation til og mulig indvækst i cerebellum, og der var mistanke om højresidig angulær glandelmetastase. En helkropsskanning gav ikke mistanke om en primær tumor uden for pars petrosa. Tumoren fandtes inoperabel og patienten blev henvist til stråleterapi.

Diskussion

I det beskrevne forløb gik der syv måneder fra debut af facialisparesen, til patienten fik stillet diagnosen. Facialisparesen var fra starten fluktuerende og langsomt progredierende. Bells parese er typisk akut indsættende, og progression ud over de første 2-3 uger, fluktuation og/eller manglende bedring inden for tre måneder bør lede til differentialdiagnostiske overvejelser [1-4]. Mistanken om Borrelia -infektion kunne ikke verificeres serologisk, og der skete ingen ændring i symptomerne ved relevant antibiotisk behandling [5]. Patienten havde en let påvirkning af balancenerven på højre side, hvilket er atypisk for Bells parese [1, 2, 4]. Smerter bag øret forekommer ved omkring 52% af tilfældene af Bells parese [1], men bør ved atypisk lokalisation eller ved tiltagende eller fluktuerende karakter føre til skærpet opmærksomhed [2, 3]. Endelig bør man ved recidiv eller dobbeltsidig parese overveje diabetes eller en anden systemisk eller neurologisk sygdom [1].

Hvis forløbet af en facialisparese er atypisk for en Bells parese skal differentialdiagnostiske muligheder overvejes, således at mere alvorlige tilgrundliggende tilstande ikke overses.


Rikke Skovsted Schnack-Petersen, Holbergsvej 143, DK-4700 Næstved. E-mail: hschnack@stofanet.dk

Antaget: 26. maj 2004

Interessekonfllikter: Ingen angivet



Sidebar placering
Venstrestillet
Article type
Journal
Magazine
Section
References

<ol class="Litt-list">
<li>Peitersen E. Bell's palsy: the spontaneous course of 2,500 peripheral facial nerve palsies of different etiologies. Acta Otolaryngol 2002;(suppl 549):4-30.</li>
<li>Brach JS, van Swearingen JM. Not all facial paralysis is Bell's palsy: a case report. Arch Phys Med Rehabil 1999;80:857-9.</li>
<li>Breadon GE, Cody DT, Weiland LH. Facial palsy: unusual etiology. Laryngoscope 1977;87:26-34.</li>
<li>Ma KH, Fagan PA. Facial nerve tumours or ``all that palsies is not Bell's''. Aust NZJ Med 1988;18:613-6.</li>
<li>Karkkonen K, Stiernstedt SH, Karlsson M. Follow-up of patients treated with oral doxycycline for Lyme neuroborreliosis. Scand J Infect Dis 2001;33:259-62.</li>
</ol>

Woodwing Id
243125
Fil
Bib ref
Ugeskr Læger 2005;167(17):1863-1864
Authors

Reservelæge Rikke Skovsted Schnack-Petersen, speciallæge Henrik Orkild & reservelæge Kim Werther Sygehus Vestsjælland, Slagelse Sygehus, Otologisk Funktion, og H:S Rigshospitalet, Øre-næse-halskirurgisk Klinik

0 likes