Medlem i

12 years 10 months
Indholdselementer
Billede
Sidebar placering
Venstrestillet
Billede
Sidebar placering
Venstrestillet

Fraktur af ansigtsskelettet sker oftest på traumatisk basis og håndteres i reglen af øre-næse-hals-læger, øjenlæger eller kæbekirurger. Patienterne er langt overvejende yngre mænd [1, 2]. Perforation af sinus maxillaris ses ved højenergitraumer eller slag direkte mod den pågældende bihule. Symptomerne er smerter, nogle gange ledsaget af subkutant emfysem, der oftest er opstået i forbindelse med næsepudsning.

Diagnosen bliver i reglen stillet ved computertomografi (CT) af ansigtsskelettet, da klinisk undersøgelse med palpation af ansigtsskelettet kan være vanskelig at vurdere på grund af bløddelshævelse.

SYGEHISTORIE

En tidligere rask 53-årig mand blev henvist til en øre-næse-hals-afdeling, da han havde slået venstre kind og siden fået en hævelse over området. Patienten fortalte, at han var faldet ind mod en hylde, hvor en metalnøddeknækker lå fastklemt med håndtaget ud over kanten. Nøddeknækkerens ene håndtag perforerede kinden, hvorved han pådrog sig en flænge på 1 × 2 cm over venstre sinus maxillaris' forvæg, som han tog til skadestuen for at få sutureret. Forinden havde han selv fjernet den penetrerende nøddeknækker. Da patienten pudsede næse, hævede han voldsomt op i området og hørte en piftende lyd. Skadestuelægen beskrev subkutant emfysem og viderehenviste patienten akut til den lokale øre-næse-hals-afdeling.

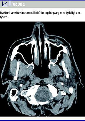
Ved ankomsten var patienten stabil, afebril og velbefindende fraset smerter i venstre del af ansigtet. Ved en objektiv undersøgelse fandtes den tidligere beskrevne flænge over kinden med synlig knogle i bunden samt subkutant emfysem over venstre kind. Der blev fundet normale forhold i ører, næse, mund og svælg. CT af ansigtsskelettet viste fraktur af sinus maxillaris' for- og bagvæg, små mængder blod i bihulen og moderat emfysem i parenkymet foran og bag ved venstre sinus maxillaris (Figur 1 ). Patienten blev sutureret i lokalanæstesi, og der blev påbegyndt peroral dicloxacillin- og benzylpenicillinbehandling. Han blev udskrevet i velbefindende dagen efter. Efter en ambulant kontrol og suturfjernelse en uge senere, hvor alle forhold var normaliseret, blev behandlingen afsluttet uden yderligere kontrol. Der var ingen kosmetisk betydende affladning af kinden, hvorfor man afholdt sig fra yderligere kirurgisk intervention.

DISKUSSION

Penetrerende ansigtstraumer er relativt sjældne i Danmark og ses især ved vold og ulykker. I litteraturen beskrives en sammenhæng mellem frakturer af ansigtsskelettet og den del af kraniet, som omslutter omkring 14% af cerebrum. De centralt placerede ansigtsfrakturer har den højeste prædiktive værdi for, om der også er fraktur af selve kalvariet og/eller basis cranii, der beskytter cerebrum [1]. Der er tidligere fremsat en hypotese om, at bihulerne fungerer som en form for stødabsorberende crash zones, som mindsker overførslen af kraften i slag og stød, hvorved risikoen for frakturer af basis cranii og kalvariet mindskes. Herved er cerebrum bedre beskyttet mod traumer [3].

I denne sygehistorie var subkutant emfysem det eneste tegn på perforation af sinus maxillaris, og traumet virkede umiddelbart ikke så alvorligt, hvorfor man ikke initialt fik mistanke om en fraktur. En fraktureret kæbehule kan give kosmetisk skæmmende affladning af kinden, hvilket er en indikation for operation. Oftest anvendes der ballonanlæggelse i sinus maxillaris og/eller osteosyntesemateriale til formålet [4]. Profylaktisk antibiotikabehandling er omdiskuteret i den internationale litteratur [5]. Af hensyn til resistensudvikling anbefales det ikke rutinemæssigt i Danmark, medmindre der er tale om særligt urene sår, eller der er gået flere dage mellem traume og behandling. Patienten skal være dækket med tetanusvaccine. Såfremt der ikke er komplicerende faktorer, kan patienterne behandles ambulant. For at mindske risikoen for komplikationer er det vigtigt at instruere patienterne i at afholde sig fra at pudse næse, foretage Valsalvas manøvre, dyrke hårdere fysisk aktivitet, svømme eller tage på flyveture 2-3 uger efter traumet.

src="/LF/images_ufl/ufl_bla.gif">
Eva Rye Rasmussen, Øre- næse- og halsafdelingen, Afsnit 0832, Hillerød Hospital, Dyrehavevej 29, 3400 Hillerød. E-mail: eva.rye.rasmussen@dadlnet.dk

ANTAGET: 27. september 2011

INTERESSEKONFLIKTER: ingen

taksigelse: Tak til Røntgenafdelingen, Hillerød Hospital, for assistance med computertomografibilledet.



Sidebar placering
Venstrestillet
Article type
Journal
Magazine
Section
References

<ol class="Litt-list">
<li>Gassner R, Tuli T, Hächl O et al. Cranio-maxillofacial trauma: a 10 year review of 9,543 cases with 21,067 injuries. J Craniomaxillofac Surg 2003;31:51-61.</li>
<li>Pappachan B, Alexander M. Correlating facial fractures and cranial injuries. J Oral Maxillofac Surg 2006;64:1023-9.</li>
<li>Proctor DF, Andersen I. The nose: upper airway physiology and the atmospheric environment. Amsterdam: Elsevier Biomedical Press, 1982:147-9.</li>
<li>Hwang K, You SH. Analysis of facial fractures: an 11-year study of 2,094 patients. Indian J Plast Surg 2010;43:42-8.</li>
<li>Adalarasan S, Mohan A, Pasupathy S. Prophylactic antibiotics in maxillofacial fractures: a requisite? J Craniofac surg 2010;21:1009-11.</li>
</ol>

Woodwing Id
240522
Fil
Conflict of interest
Bib ref
Ugeskr Læger 2011;173(49):3197-3198
Authors

Eva Rye Rasmussen, Helge Arndal & Per Leganger Larsen Øre-, næse- og halsafdelingen, Hillerød Hospital

0 likes