Medlem i

12 years 10 months
Indholdselementer
Billede
Sidebar placering
Venstrestillet
Billede
Sidebar placering
Venstrestillet


Roux-en-Y gastrisk bypass (RYGBP) er den mest benyttede operationsmetode til behandling af sygelig overvægt [1]. Ved operationen ændres de gastrointestinale forhold betydeligt. Ventriklen deles i en ca. 5 cm lang øvre del, pouch' en, og en større nedre del. Jejunum deles ca. 75 cm fra Treitz' ligament, og der laves en gastrojejunal og en jejunojejunal anastomose, så den nedre del af ventriklen udshuntes. Jejunums orale stykke, duodenum og den udshuntede ventrikel danner således et aflukket segment. I et studie fra 1999 havde 11 ud af 4.039 RYGBP-opererede patienter ulcusperforationer i det aflukkede segment. Der kunne ikke i nogen af disse tilfælde påvises fri intraperitoneal luft på en konventionel oversigt over abdomen [2].

Computertomografi (CT) er normalt en velegnet og sensitiv undersøgelse mhp. påvisning af fri intraperitoneal luft hos patienter med perforeret ulcus. I den følgende sygehistorie beskrives, hvor svært det kan være at diagnosticere perforation i det aflukkede segment hos RYGBP-opererede patienter - selv ved brug af CT.

SYGEHISTORIE

I 2011 blev en 39-årig mand indlagt på mave-tarm-kirurgisk afdeling. Han havde fire måneder forinden fået foretaget RYGBP-operation pga. svær overvægt.

Siden operationen havde han haft et vægttab på 15 kg, og der havde ikke været postoperative komplikationer. På indlæggelsesdagen fik han pludseligt indsættende øvre abdominalsmerter. Han var direkte palpationsøm i epigastriet og under højre kurvatur. Resultaterne af standardblodprøver viste normale forhold. Efter indgift af intravenøs og peroral kontrastvæske blev der foretaget en akut abdominal CT med rekonstruerede billeder i tre projektioner. CT'en viste ascites (Figur 1 ) samt strækning og rotation af mesentericakarrene som tegn på mulig begyndende intern herniering. Der var ikke umiddelbart tegn til fri intraperitoneal luft eller gastrisk blowout . På grund af fri væske og abdominale smerter blev det besluttet at foretage akut diagnostisk laparoskopi.

Operationen afkræftede mistanken om intern herniering. Man fandt ca. 500 ml galdefarvet væske og et godt 5 mm langt perforeret ulcus på duodenums første stykke. Perforationen blev lukket i to lag, og patienten blev sat i behandling med antibiotika og syrepumpehæmmer. Fire måneder tidligere havde patienten gennemført en eradikationsbehandling for Helicobacter pylori . Han blev udskrevet i velbefindende tre dage postoperativt.

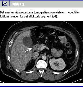
Ved første gennemgang af CT-billederne kunne radiologen ikke påvise fri intraperitoneal luft, men efter information om operationsfundet kunne man på et af transversalbillederne se en yderst diskret lille luftlomme umiddelbart uden for det aflukkede segment (Figur 2 ).

DISKUSSION

Når RYGBP-opererede patienter indlægges med abdominalsmerter, skal flere tilstande særligt overvejes pga. patientens tidligere operation.

Patienterne har som andre patienter med nyanlagte anastomoser risiko for anastomoselækage, specielt i de første to uger postoperativt. Gastrisk blowout og intern herniering er komplikationer, der især er relateret til RYGBP-operation. Disse komplikationer er ligesom anastomoselækage alvorlige og kan indtræffe fra umiddelbart efter operationen til flere år efter det operative indgreb. En særlig diagnostisk udfordring hos RYGBP-opererede patienter er en perforation i enten duodenum eller den udshuntede ventrikel. Diagnostikken vanskeliggøres af, at luften i det aflukkede segment bliver absorberet efter RYGBP-operationen [3]. Herefter kommer der ikke større mængder luft til dette stykke af tarmsystemet. Ved perforationer i det aflukkede segment ses der derfor sjældent fri intraperitoneal luft på røntgenbilleder [2].

Mittermair anbefalede i en kasuistik fra 2007 CT som den optimale billeddiagnostiske metode, når man skal stille diagnosen perforeret ulcus efter RYGBP-operation [4].

I Danmark er netop CT den mest benyttede undersøgelse til udredning af komplikationer i forbindelse med RYGBP-operation. Derfor er denne sygehistorie vigtig, da den minder om, hvordan RYGBP-patienters underliggende tilstand ikke altid stemmer overens med de noninvasive undersøgelsesresultater. Ved CT kan man ikke nødvendigvis påvise større mængder fri intraperitoneal luft ved perforeret ulcus i det aflukkede segment.

Hos RYGBP-opererede patienter med abdominale smerter kan fundet af fri intraperitoneal væske i mere end fysiologisk tilladt mængde tyde på væsentlig intraperitoneal patologi, og der bør udføres akut laparoskopi.

src="/LF/images_ufl/ufl_bla.gif">
Christian Wied , Kirurgisk Afdeling, Hvidovre Hospital, Kettegård Alle 26, 2650 Hvidovre. E-mail: chr.wied@gmail.com

ANTAGET: 14. juni 2012

FØRST PÅ NETTET: 24. september 2012

INTERESSEKONFLIKTER: Forfatternes ICMJE-formularer er tilgængelige sammen med artiklen på Ugeskriftet.dk


  1. Melvin WS. Roux-en-Y gastric bypass is the operation of choice for obesity. J Gastrointest Surg 2004;8:398-400.
  2. MacGregor AM. Perforated peptic ulcer following gastric bypass for obesity. AM Surg 1999;65:222-5.
  3. Gypen BJ, Hubens GJA, Hartman V et al. Perforated duodenal ulcer after laparoscopic gastric bypass. Obes Surg 2008;18:1644-6.
  4. Mittermair R. An unusual complication of gastric bypass: perforated duodenal ulcer. Obes Surg 2007;17:701-3. LI>



Sidebar placering
Venstrestillet
Article type
Journal
Magazine
Section
References

<ol class="Litt-list">
<li>Melvin WS. Roux-en-Y gastric bypass is the operation of choice for obesity. J Gastrointest Surg 2004;8:398-400.</li>
<li>MacGregor AM. Perforated peptic ulcer following gastric bypass for obesity. AM Surg 1999;65:222-5.</li>
<li>Gypen BJ, Hubens GJA, Hartman V et al. Perforated duodenal ulcer after laparoscopic gastric bypass. Obes Surg 2008;18:1644-6.</li>
<li>Mittermair R. An unusual complication of gastric bypass: perforated duodenal ulcer. Obes Surg 2007;17:701-3.</li>
</ol>

Woodwing Id
253696
English summary

Summary Perforated duodenal ulcer in a Roux-en-Y gastric bypass operated patient can be a diagnostic challenge Ugeskr L&aelig;ger 2013;175(9):586-587 Roux-en-Y gastric bypass (RYGBP) is an increasingly used procedure when treating morbid obesity. Due to the extensive gastrointestinal rearrangement, diagnostic evaluation of patients with gastric bypass and acute abdominal pain can be difficult. We present a case of a perforated duodenal ulcer in a RYGBP operated patient, where free abdominal fluid, but hardly any pneumoperitoneum was seen on a computed tomography. Free intraperitoneal fluid is an important finding and should give suspicion of the need for emergency surgery in RYGBP operated patients with abdominal pain.

Bib ref
Ugeskr Læger 2013;175(9):586-587
Authors

Christian Wied1, Gunn B. Akral2, Morten Laksáfoss Lauritsen1 & Lars Peter Skat Naver1 1) Kirurgisk Afdeling, Hvidovre Hospital 2) Radiologisk Afdeling, Hvidovre Hospital

0 likes
Read time
5