Medlem i

13 years 1 month
Indholdselementer

Metastaser til penis er sjældne, til trods for at penis er rigt vaskulariseret. I litteraturen er der beskrevet 455 tilfælde [1, 2]. Metastaserne udgår oftest fra urogenitalsystemet (71%) [2]. Vi beskriver et tilfælde af rectumcancer, der havde metastaser til penis og primært blev tolket som Peyronies sygdom.

SYGEHISTORIE

En 61-årig mand fik i 2006 stillet diagnosen rectumcancer, T3N1M0. Han fik neoadjuverende strålebehandling i tre måneder efterfulgt af abdominoperineal, makro- og mikroradikal resektion af endetarmen.

Ved 12-månederskontrollen var patienten øm i cikatricen sakralt, og han blev derfor MR-skannet. Man fandt ingen tegn til recidiv. Ved 24-månederskontrollen havde han fået en øm, pladeformet forandring i relation til corpus cavernosum på penis. Forandringen blev tolket som et Peyronies plaque.

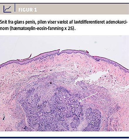
I juni 2009 blev patienten af egen læge henvist til udredning for Peyronies sygdom, da han havde fået to hvidlige, brusklignende forandringer på glans penis, en palpabel cirkumferent tumor ved roden af penis og en 2 cm stor tumor ved corpus cavernosum. Han havde desuden haft stranguri. Ved cystoskopi fandt man 5 cm oppe i uretra en rigt vaskulariseret, hvidlig tumor. Biopsier fra elementerne på glans viste, at der var tale om et adenokarcinom (Figur 1), der immunhistologisk var positivt for CK20 og CDX2, hvilket er foreneligt med metastase fra et rectumadenokarcinom. Skanninger viste multiple metastaser i penis og lungerne, og han fik adskillige serier
kemoterapi igennem de næste år.

Sidebar placering
Venstrestillet
Billede
Sidebar placering
Venstrestillet

Patienten havde i forløbet perioder med stranguri, hvor han fik blærekateter og havde brug for tolterodin, afløst af perioder, hvor han problemfrit kunne lade vandet. Man overvejede flere gange at anlægge topkateter, men flow- og residualurinundersøgelser viste normale forhold, og man afstod herfra. Han havde hyppige urinvejsinfektioner og blev behandlet med forskellige antibiotika. I 2012 fik han pga. natlige smerter i penis pallierende strålebehandling, 3 Gy på ti fraktioner, af penismetastaserne. Han døde i sommeren 2012, tre år efter fundet af metakronemetastaser i penis og lungerne.

DISKUSSION

Ved Peyronies sygdom udvikles der i tunica albuginea fibrøst væv, der kan palperes som et eller flere
plaques på penis. Diagnosen stilles klinisk. Prævalensen af Peyronies sygdom er 10% [3], og sygdommen er derfor betydeligt hyppigere end metastaser til penis, der oftest viser sig som uømme palpable forandringer (hos over 60%) i penisskaftet [2]. Metastaser kan således let forveksles med Peyronies sygdom, og hvis patienten har en anamnese med tidligere kræft i urinveje eller rectum, er det vigtigt at overveje denne differentialdiagnostik.

Det næsthyppigste symptom på metastaser til penis er priapisme (40%) [2]. Andre symptomer på metastaser er urinretention, noduli på penis, ulceration, perineal smerte, ødem, generaliseret hævelse, bred infiltrativ forstørrelse, dysuri og hæmaturi [2]. MR-skanning og PET egner sig godt til vurdering af udbredelsen og evt. mængden af metastaser til penis. Diagnosen stilles ved biopsier.

Metastaser til penis fra en primærtumor i colon eller rectum er sjældent forekommende, idet der kun er beskrevet 78 tilfælde i litteraturen [2]. Spredningen kan ske direkte eller indirekte; muligvis ved retrogradt venøst flow til det dorsale venøse system i penis [2]. Ved malign priapisme har patienten indvækst i corpora cavernosa, og de cavernøse sinuser samt det venøse system blokeres af tumormasser eller tromber.

Differentialdiagnoser til penismetastaser er ud over Peyronies sygdom idiopatisk priapisme, infektiøs ulceration, syfilis, tuberkulose og primær peniscancer [4]. Behandlingen af metastaser til penis afhænger af primærtumoren og sygdomsudbredelsen.

Patienter med metastaser til penis har oftest udbredt metastatisk sygdom og dårlig almentilstand, og over 80% af dem dør inden for seks måneder [5]. Peyronies sygdom er den hyppigste årsag til plaques på penis, og derfor vil de fleste pladeformede forandringer naturligt blive tolket som dette. Hvis patienter med forandringer på penis har en anamnese med tidligere eller nuværende kræft i urinvejene, sigmoideum eller rectum, er det vigtigt at overveje metastaser som differentialdiagnose.

Korrespondance: Majken Munk Brønserud, Bakkevej 8, 5450 Otterup.
E-mail: majken.munk.broenserud@rsyd.dk

Antaget: 22. april 2013

Publiceret på Ugeskriftet.dk: 5. august 2013

Interessekonflikter:

Sidebar placering
Venstrestillet
Article type
Journal
Magazine
Section
References

<h2>Litteratur</h2>
<ol type="d">
<li><p>Eberth CJ. Krebsmetastasen des Corpus cavernosum penis. Virchows Arch 1970;51:145.</p></li>
<li><p>Zhu YP, Yao XD, Zhang HL et al. Penile metastasis from primary bladder cancer: a study of 8 cases and re-view of the literature. Onkologie 2012;35:196-9.</p></li>
<li><p>Taylor FL, Levine LA. Peyronie‘s disease. Urol Clin N Am 2007;34:517-34.</p></li>
<li><p>Hizli F, Berkmen F. Penile metastasis from other malignancies. Urol Int 2006;76:118-21.</p></li>
<li><p>Osther PJ, Løntoft E. Metastasis to the penis: case reports and review of literature. Int Urol Nephr 1991;23:161-7.</p></li>
</ol>

Woodwing Id
48778
Fil
Conflict of interest
English title
Penile metastasis from rectum cancer primarily interpreted as Peyronie&rsquo;s disease
English summary

We report an unusual case of penile metastasis derived from a rectal adenocarcinoma, which was first interpreted as Peyronie&lsquo;s disease. The patient had a single palpable mass in the penile shaft within the corpus cavernosum, with no ulceration or pain in the area. Two years earlier he had been treated for rectal cancer with neoadjuvant radiation therapy and abdomino&shy;perineal resection. The mass in the penis later turned out to be a manifestation of widespread metastatic disease. The patient lived three years after discovery of metachronous metastases in penis and lungs.

Authors workplaces

1) Thoraxkirurgisk Afdeling, Odense Universitetshospital,
2) Patologisk Afdeling, Vejle Sygehus
3) Organ- og Plastik-kirurgisk Afdeling, Vejle Sygehus
4) Urologisk Afdeling, Fredericia Hospital

Ugeskr Læger 2015;177:V02130088

Bib ref
Ugeskr Læger 2015;177:V02130088
Article number
V02130088
Authors

Majken Munk Brønserud1, Flemming Brandt Sørensen2, Hans Rahr3 & Palle Jörn Sloth Osther4

0 likes