Medlem i

13 years 1 month
Indholdselementer

Partiel priapisme (PP) også kaldet segmentær corpus cavernosum (CC)-trombose, er en sjælden urologisk tilstand. Den skyldes en okkluderende trombose, som i CC resulterer i lavtrykspriapisme proksimalt for trombosen. Der er kun beskrevet 35 tilfælde i verdenslitteraturen, hvorfor der fortsat er uklarhed om både ætiologi og optimal behandling af tilstanden.

SYGEHISTORIE

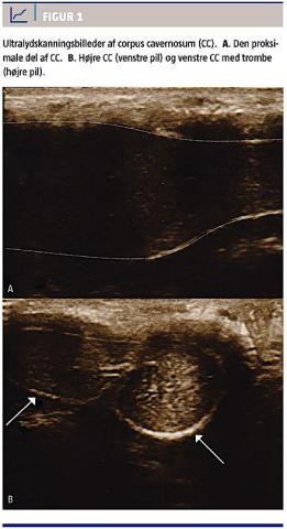
En 70-årig mand blev indlagt på en urologisk afdeling med anæmi (hæmoglobinniveau 3,9 mmol/l) og symptomer i form af svær træthed, men var dog oppegående og uden øvrige anæmisymptomer. Han havde ni måneder tidligere fået diagnosen blærecancer, som på diagnosetidspunktet var dissemineret til bækken og rygsøjle og blev behandlet med transuretral resektion af patologisk væv i blæren, palliativ strålebehandling mod blæren og palliativ kemoterapi. Efter transfusion med seks portioner SAG-M over et døgn fik patienten smerter i perineum og proksimalt i penis. Begge steder kunne et hævet og smertefuldt område, som ikke var til stede ved indlæggelsen, palperes. Patienten havde ikke været udsat for traumer mod penis og fik ingen medicinsk behandling, som kunne tænkes at disponere for PP. Fire dage efter symptomdebut fik han pga. fortsatte smerter foretaget ultralydskanning med farve-Doppler af penis, hvorved man påviste en forstørret, blodfyldt (erigeret) proksimal CC uden blodgennemstrømning
(Figur 1). Ved den distale afgrænsning af dette område kunne der ses en trombose. Ved en CT to måneder tidligere havde man ikke i det lille bækken påvist tumorer, som kunne afklemme det venøse tilbageløb. Patienten kunne smertedækkes sufficient med paracetamol og tramadol og blev sat i behandling med lavmolekylært heparin (LMWH) 12.500 IE en gang dagligt i tre måneder med henblik på opløsning af trombosen. Ved kontrol ti uger efter påbegyndelsen af af LMWH-behandlingen var den partielle erektion væk, ligesom ømhed og smerter var forsvundet. Patienten havde i årevis lidt af komplet erektil dysfunktion, hvorfor den erektile funktion efter endt behandling ikke kunne vurderes.

Sidebar placering
Venstrestillet
Billede
Sidebar placering
Venstrestillet

DISKUSSION

Symptomerne på PP er oftest en hævet og øm udfyldning i perineum samt dysuri pga. uretral obstruktion fra den erigerede CC [1]. Generelt inddeles priapisme i lavtryks- og højtrykspriapisme. Lavtrykspriapisme er en smertefuld iskæmisk tilstand, der skyldes et kompromitteret venøst afløb med efterfølgende kompartmentsyndrom i CC. Tilstanden kræver akut behandling i form af aspiration, adrenalininjektioner eller kirurgi for at undgå impotens. Højtrykspriapisme skyldes et ofte traumatisk udløst uhindret arterielt flow ind i CC med en permanent ikkeiskæmisk erektil tilstand til følge. Denne behandles med nedkøling, ultralydvejledt kompression eller selektiv embolisering af det blødende kar og giver ikke risiko for impotens. Ved PP formodes det, at en bindevævsmembran i CC prædisponerer for dannelse af tromboser her, idet en sådan membran er fundet i over halvdelen af de rapporterede tilfælde [2]. Trombosedannelse ses da, hvis patienten udsættes for en udløsende faktor som for eksempel intensiv cykling, seksuelt relaterede penile traumer, hæmatologiske lidelser, stofmisbrug, brug af alfablokkere, brug af sildenafil og fysisk inaktivitet [3]. I vort tilfælde havde patienten fået blodtransfusion, hvilket kan disponere for venøse tromboser [4], hvorfor dette kan have udløst tilstanden.

Differentialdiagnostiske overvejelser såsom en absces i perineum, en forstørret lymfeknude og prostatitis resulterer ofte i uvirksom antibiotisk behandling. PP er tidligere forsøgt behandlet både kirurgisk og medicinsk. Ved kirurgisk intervention med korporal incision og udtømning af trombemasse (samt eventuel anlæggelse af cavernosum-spongiosum-shunt) er der dog beskrevet skade på den erektile funktion, hvorfor den medicinske behandling med LWMH eller acetylsalicylsyre må betragtes som førstevalg. Kirurgisk intervention reserveres til patienter, som ikke kan smertedækkes med perorale analgetika [3]. Der er beskrevet behandlingsforsøg med adrenalininjektioner i CC og forsøg på nåleaspiration, men uden tilfredsstillende effekt [5]. Nåleaspiration kan dog have diagnostisk værdi ved fund af lav pH og lav iltmætning i det aspirerede blod. Prognosen ved medicinsk behandling er god, hvad angår remission og bevarelse af den erektile funktion, idet kun en af 22 konservativt behandlede patienter fik erektil dysfunktion [3].

Korrespondance: Peter Høyerup, Urologisk Afdeling D, Roskilde Sygehus,
Køgevej 7-13, 4000 Roskilde. E-mail: hoyerup@gmail.com

Antaget: 7. januar 2014

Publiceret på Ugeskriftet.dk: 24. marts 2014

Interessekonflikter:

Sidebar placering
Venstrestillet
Article type
Journal
Magazine
Section
References

<h2>LITTERATUR</h2>
<ol type="d">
<li><p>Llado J, Peterson LJ, Fair WR. Priapism of the proximal penis. J Urol 1980;123:779-80.</p></li>
<li><p>Hulth M, Albersen M, Fode M et al. Idiopathic partial thrombosis of the corpus cavernosum: aetiology, diagnosis and treatment. Scan J Urol 2013;47:163-8.</p></li>
<li><p>Høyerup P, Azawi NH. BMJ Case Rep 2013:bcr2013200031.</p></li>
<li><p>Khorana A, Francis CW, Blumberg N et al. Blood transfusions, thrombosis, and mortality in hospitalized patients with cancer. Arch Intern Med 2008;168:2377-81.</p></li>
<li><p>Lewis JH, Javidan J, Keoleian CM et al. Management of partial segmental priapism. Urology 2001;57:169.</p></li>
</ol>

Woodwing Id
28457
Fil
Conflict of interest
English title
Partial priapism
English summary

Partial priapism, also called partial segmental thrombosis of the corpus cavernosum, is a rare urological condition. Factors such as bicycle riding, drug usage, penile trauma and haematological diseases have been associated with the condition. Medical treatment with low molecular weight heparin (LMWH) or acetylsalicylic acid is first choice treatment, and surgery is preserved for patients unresponsive to analgesics. In this report we describe the case of a 70-year-old man with partial priapism after blood transfusions treated successfully with LMWH.

Authors workplaces

Urologisk Afdeling D, Roskilde Sygehus

Ugeskr Læger 2014;176:V11130680

Bib ref
Ugeskr Læger 2014;176:V11130680
Article number
V11130680
Authors

Peter Høyerup, Claus Dahl & Nessn Htum Azawi

0 likes